Cookie Consent byPrivacyPolicies.comj' ai osé essayer.... - Eugenol

j' ai osé essayer....

carole

15/09/2005 à 01h04

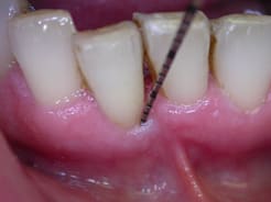
attelle en fibres puis surf puis inj de parocline... j' y croyais pas....et pourtant...

emdogain pour la prochaine étape....

Av ap web flp4xi - Eugenol

Image 4 lrchtq - Eugenol
Alain

15/09/2005 à 01h11

waow!


dent

15/09/2005 à 01h24

j’ai regardé la radio 76578990 fois… bin waow…


phil

15/09/2005 à 02h46

bravo carole,excellent ..
moi j'attendrais peut être encore un peu avant emdogain .. tu peux encore en obtenir par cicatrisation naturelle .. ca fait 2 ans que je dis que le parodonte peut être déminéralisé mais qu'il peut rester un ancrage organique !
combien de temps entre le debut et la seconde radio .. la cicatrisation d'un cas comme ca en naturel c'est 8 mois mini

perso parocline ou autre chose je sais pas si c'est vraiment utile
plutôt atb par voie générale car il peut y avoir des bacteries dans les tissus et récidive ensuite.......

attention à l'endodonte qui pourrait être le point faible ensuite

demain je vous en montre un mais il est pas tout à fait terminé en cicatrisation ( 6 à 8 mois ) même chose mais c'est pas une canine c'est une incisive du bas et moi j'ai demandé l'endodontie ( peut être une erreur )

ces cas marchent sur les monoradiculés . par contre molaire et pM + délicat

carole t'es vraiment quand même hors norme !


Richard

15/09/2005 à 11h31

Bonjour,

bravo Carole c'est assez impressionnant, comme quoi on peut y arriver aussi sans laser

Phil à quel moment penses tu que le tt endo doit être effectué -avant la paro -après la paro?
qu'est ce qui te fait penser que l'endodonte est atteint?(les tests thermiques?)
y a-t-il invariablement une atteinte endo quand on a une telle atteinte paro?
merci pour les réponses.


Image19 iebot6 - Eugenol
athos

15/09/2005 à 11h39

ah....Carole, t'as pas fini de nous mettre minable?!

mais ça rassure si tu dis que ça peut marcher...

mais tu promets hein? dis...

Inscription chez dame carole rpsxds - Eugenol
Inscription chez dame carole yz02dl - Eugenol

Image19 iebot6 - Eugenol
athos

15/09/2005 à 11h43

pffff....encore gourré!
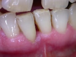
resultat a 1mois, fremissement...

Carolomaniaque phtel6 - Eugenol

phil

15/09/2005 à 12h22

ben bravo vous êtes tous bons alors ??


phil

15/09/2005 à 12h36

a mon tour alors


phil

15/09/2005 à 12h37

j'y arrive pas ...

C dscn1407 w2dnhk - Eugenol
C dscn1905 agaesm - Eugenol
C dscn2348 szobci - Eugenol

phil

15/09/2005 à 12h39

si ...alors la suite ....

Radio head lmaawz - Eugenol
Dscn2392 g5ghvo - Eugenol

phil

15/09/2005 à 12h41

cicatrisation à 6 mois


Amibien

15/09/2005 à 13h31

phil Ecrivait:
-------------------------------------------------------


> carole t'es vraiment quand même hors norme !



Quoi c'est seulement maintenant que tu t'en rends compte ????????????????????

Moi ça fait presque un an si pas plus que j'avais perçu cela...


Logo vuaztn - Eugenol
mac

15/09/2005 à 13h37

Amibien Ecrivait:
-------------------------------------------------------
> phil Ecrivait:
> --------------------------------------------------
> -----
>
>
> > carole t'es vraiment quand même hors norme !
>
>
>
> Quoi c'est seulement maintenant que tu t'en rends
> compte ????????????????????
>
> Moi ça fait presque un an si pas plus que j'avais
> perçu cela...
>


Ben hur arrête ton char! ça fait même pas un an que Carole viens sur eugenol.



Image19 iebot6 - Eugenol
athos

15/09/2005 à 13h51

pis d'abord, rendons a Athos ce qui lui revient...dites!!!! vous vous etes assz foutu de moi au debut avec Carole!!!!


donc je revendique légitimement le droit de dire....ah....toi tu sais....


phil

15/09/2005 à 13h55

oh non bien entendu cela fait longtemps que je sais . c'est une princesse une reine même de l'art dentaire ....je lui avais pas dit alors j'ai rattrappé mon retard


Bx1 spw1cx - Eugenol
BX

15/09/2005 à 14h00

Merci pour ces clichés vraiment impressionnants.

Il semblerait qu'une dent n'est jamais totalement perdue tant que le praticien garde espoir.


phil

15/09/2005 à 15h28

cela fait 15 ans que je tente de recuperer ainsi .. Cela ne marche pas toujours mais en général souvent pour les monoradiculées ... le premier cas que j'ai fait j'ai , j'ai perdu la dent parce qu'une rhyzalyse s'est créée 10 ans après .. sans doute les conséquences du trauma inflammatoire initial ...

par contre je suis persuadé qu'il ne faut pas sonder pas irriguer plus qu'il ne faut surtout si comme dans le cas ou celui de Carole la composante occlusale prend le dessus sur la composante infectieuse .. Si abcès en urgence atb probabiliste de type metronidazole ...pas de tests . J'ai mis volontairement la sonde sur la photo pour montrer qu'à 6 mois seulement j'avais sondé pas avant.au niveau muqueux c'est cicatrisé mais au niveau osseux il faut encore 3 mois au moins
par contre toujours soustraire la dent à la charge

l'endo j'hesite parfois par contre si elle doit être faite pas dépasser du tout pour ne pas irriter le parodonte profond .

mon cas présenté sera normalement expliqué dans le detail à Nice


Image19 iebot6 - Eugenol
athos

15/09/2005 à 16h51

approche paro en premiere intention
approche endo en premiere intention

quiqu'a commencé? c'est la poule ou l'oeuf?

plus serieusement, Phil, comment déterminer????

s'il y a une composante endo, le traitement sans endo n'est il pas voué a l'echec? ou est ce la facilité de faire l'endo d'abord pour eliminer une cause ou un risque d'echec?


phil

15/09/2005 à 17h18

dans un cas comme le mien je fais traiter l'endo en premier puis approche paro . Mon problème majeur est que je ne sonde pas donc diag differentiel plus délicat entre endo pure et paro pure ou endo paro .vu le contexte la survie de la dent est en cause donc je préfère faire une endo pour rien plutôt qu'un echec ou qu'une recidive qui peut être mal tolérée .....
sur le plan pratique contention 1 - endo 2 - contexte paro 3


Image19 iebot6 - Eugenol
athos

15/09/2005 à 17h41

hihi!!!! j'ai bon!...


Amibien

15/09/2005 à 19h40

mac Ecrivait:
-------------------------------------------------------


>
> Ben hur arrête ton char! ça fait même pas un an
> que Carole viens sur eugenol.
>
>
>



Tu tétais encore le lait maternel l'année dernière et tu lisais encore tes BD de Top Gun...

Comment peux-tu affirmer cela ? Tu te trompes mon gars...

http://www.eugenol.com/eugenol/read.php?9,18445,25381#msg-25381 1er décembre 2004

j'ai dit "presque un an" de mémoire... , tu peux relire mes premiers posts la concernant et je le disais déjà à l'époque...

alors Ben Hur il te met la pâtée... vas-y bouffe...


P.S. vérifie ton orthographe...


phil

15/09/2005 à 20h14

benhur ou lokki luke ?


Logo vuaztn - Eugenol
mac

15/09/2005 à 20h26

Si pas plus...


Amibien

15/09/2005 à 20h38

mac Ecrivait:
-------------------------------------------------------
> Si pas plus...


Amibien est peiné de voir ses prétendus amis lui chercher constamment des poux dans sa belle chevelure...

Entendez-vous une fois pour toutes et choisissez votre camp...

Moi c'est aux aurores dans le pré et je vous laisse le choix des armes...


12...