Cookie Consent byPrivacyPolicies.comavis aux cadors de la greffe - Eugenol

avis aux cadors de la greffe

Image 4 lrchtq - Eugenol
Alain

15/09/2005 à 02h36

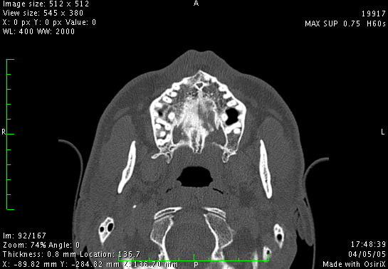
Je viens de revoir un jeune homme que j'ai dépanné en urgence cet été, suite à un problème infectieux récidivant sur sa 11.

De retour de vacances, son praticien a finalement extrait cette dent et l'a adressé à un stomato pour une éventuelle implantation, mais à la vue du scan (et selon mon patient) ce dernier n'est pas chaud pour une greffe. (proximité du canal palatin)

Voici quelques images, qu'en pensez-vous?


Image 4 lrchtq - Eugenol
Alain

15/09/2005 à 02h38

Pas moyen de joindre mes jpg!


Image 4 lrchtq - Eugenol
Alain

15/09/2005 à 02h40

nouvel essai...

Image1 re07sv - Eugenol
Image2 bipeqb - Eugenol

Image 4 lrchtq - Eugenol
Alain

15/09/2005 à 02h41

raté!


Image 4 lrchtq - Eugenol
Alain

15/09/2005 à 02h43

la suite

Image3 btt7m9 - Eugenol
Image4 vfgrxh - Eugenol

Image 4 lrchtq - Eugenol
Alain

15/09/2005 à 02h44

et fin.

Image5 frcyrd - Eugenol
Image6 uqu0uf - Eugenol
Image7 vdepwc - Eugenol

Amibien

15/09/2005 à 03h09

Il faudrait voir à plus fort grossissement mais si ton os receveur saigne ta greffe prendra...

Il faut bien penser où prendre l'os, le modeler finement et surtout t'arranger pour que le greffon cortico-spongieux ait bien de la spongieuse...

Il faudra aussi bien viser pour transfixer le tout...


ambroise

15/09/2005 à 14h02

est ce vraiment un problème si la vis touche le canal paltain?


ambroise

15/09/2005 à 14h03

le tout est d'avoir une bonne immobilisation du greffon. Le Canal palatin n'a jamais été un sanctuaire inviolable


Avatar ow44t3 - Eugenol
Chicot

15/09/2005 à 15h47


Dans le cas d'un canal large, ne faut-il pas sectionnner le contenu du canal palatin et faire un curetage soigneux avant de le combler et de transfixer le greffon corticospongieux en vestibulaire ?

Ceci afin d'éviter une" pollution" par le tissus vasculo-nerveux du site de la greffe ou de l'implantation ce qui nuirrait à la bonne ostéointégration ?

La 11 a été extraite par alvéolectomie ou reste-il une cortical (même très fine) en vestibulaire ?


Image 4 lrchtq - Eugenol
Alain

15/09/2005 à 17h00

Ce n'est pas moi qui ai procédé à l'exo, à mon avis exo simple, mais les multiples infections ont eu raison de la table externe.


ambroise

15/09/2005 à 19h34

fais un scan avec des coupes coronales tu verras bien


Amibien

15/09/2005 à 19h55

ambroise Ecrivait:
-------------------------------------------------------
> fais un scan avec des coupes coronales tu verras
> bien


si tu écoutes Ambroise tu vas parer à toute éventualité... hi hi hi


gerard

16/09/2005 à 03h00

bonjour alain et autres eugenoliens,
effectivement ton cas est typique des problemes rencontrés en zone anterieure.
les ecueils se situent a mon sens a plusieurs niveaux
1/ bien estimer la guerison osseuse au vu des antecedents infectieux cités me parait le plus important pour une bonne prise d'une greffe d'apposition- mieux vaut opérer 01 site "propre" a 3-06 mois q'un site douteux plus précoce.
une bonne decortication du site receveur et la fixation rigide du greffon sur un site qui saigne te donneront toutes les chances de succes.
2/ estimer la perte osseuse dans les 3 sens de l'espace- la greffe ne va pas forcément te redonner de la hauteur perdue ou des papilles...
3/ choix du site donneur
vu ta coupe reconstituée, tu auras surement plus d'os a la symphyse qu'au ramus mais la encore, le scan préop est hyper important pour estimer ton site donneur
4/ le canal naso palatin n'est pas un probleme du tout, Chicot a mille fois raisons,il te suffit de virer son contenu et le remplacer par un bio mat ou mieux de l'autogene et tu oublies les craintes infondées du stomato; dans ce canal pas grand chose d'inquiétant ou de dangereux et tu gagneras en vestibulolingual.
voila mon humble avis, il faudra bien que les chir dent fassent a terme toutes leurs greffes mineures!!!
bon courage pour la suite, si tu documentes ton cas, ca sera super pour tous de voir la suite .
amicalement, gerard


gerard

16/09/2005 à 03h03

ah oui,j'oubliais...
il n'y a PAS de cadors de la greffe, juste des praticiens qui essaient de leur mieux.


Image 4 lrchtq - Eugenol
Alain

16/09/2005 à 03h22

Merci Gérard


Amibien

16/09/2005 à 12h50

d'accord avec gérard sur toute la ligne et je trouve qu'il écrit bien... je suis jaloux...


Avatar ow44t3 - Eugenol
Chicot

16/09/2005 à 15h21

Amibien Ecrivait:
-------------------------------------------------------
> d'accord avec gérard sur toute la ligne et je
> trouve qu'il écrit bien... je suis jaloux...


mais toi aussi tu écris bien Ami-bien !


firebird

18/09/2005 à 01h19

tout à fait d'accord avec gérard
De plus si tu ne veux pas t'embêter avec un prélèvement à la symphise tu peux commander un greffon d'os de banque ( TBF/BIOBANK) que tu taille et surtout bonne fermeture primaire du site.
A mon sens tu auras certainement à faire une greffe de conjonctif enfoui pour récupérer de l'épaisseur gingivale ainsi que des papilles ceci au vu de l'image 3D mais tu n'as pas pris de photos en bouche et il est délicat de confirmer ce deuxième temps.
Encore d'accord avec gérard il n'y a pas de cador mais des praticiens qui essaient de leur mieux.


carole

19/09/2005 à 16h04

classique, mais comme tous, d' ac sur toute la ligne...


juste un truc....ça doit faire space de cureter le canal naso palatin...qui l' a dejà fait ici????

autre détail, est-ce qu' on y passe une fraise à os pour l' aviver avant de greffer?

si non, pour les petits comblements, je préfère la xenogreffe per-pose d' implant: c' est moins mutilant...(je vous posterai un cas bientot sur une 11)

si non, quand nous trouveront-ils des membranes au dessus desquelles la muqueuse guerrit aussi vite que quand on ne greffe pas???? (oups, autre que PRF)


Amibien

19/09/2005 à 21h34

il faut que tu essaies le mectron...


gerard

19/09/2005 à 21h54

carole Ecrivait:

>
> juste un truc....ça doit faire space de cureter le
> canal naso palatin...qui l' a dejà fait ici????
>
> autre détail, est-ce qu' on y passe une fraise à
> os pour l' aviver avant de greffer?

salut carole et autres lecteurs,
pour avoir une bonne prise du materiau,tu as raison ,il est utile d'aviver les parois a la fraise boule.
pour un gros canal bien identifié comme sur le cas cité ici, ca vient tout seul ;on a parfois un saignement notable au moment du curetage du canal mais qui cède facilement a la compression.
mes patients ne se sont jamais plaints d'un déficit sensitif alors pourquoi s'en priver?
bonne journée
amicalement, gégé


Amibien

20/09/2005 à 18h31

La nature est bien faite... on tire de l'os par çi, on curette un nerf par là et tout est comme avant...