Cookie Consent byPrivacyPolicies.comlabo a part - Eugenol

labo a part

Prothos

14/11/2005 à 02h03

Pour info, on ne tasse plus la céram comme cela se faisait il y a 20 ans car cela mélange les différentes masses montées et de plus cela modifie la teinte. D'autre part on obtient de meilleurs résultats lorsque la céram n'est pas trop déshydratée avant le début du programme de cuisson.

Le dentiste à la clef en silicone ne s'inspirait pas du produit que tu cites. Il avait juste mal compris la technique de la clef en silicone qui sert à la confection des armatures en cire. Il pensait qu'on pouvait aussi mouler la céram avec.

Dans le même registre, y a aussi:

-ceux qui veulent qu'on "rallonge" un peu le bord métal de l'armature une fois un bridge céramique fini (malgré un essayage armature).
-ceux qui rebasent une armature métal avec du silicone avec l'espoir que le prothésiste puisse remplacer le silicone par du métal, un peu comme un rebasage résine.
-ceux qui prennent des mordus postérieurs en silicone sans s'imaginer que l'effet "ressort" du silicone ne permet pas d'avoir un calage précis.

ETC....

Ce qui laisse penser que certains praticients manquent d'expérience pratique dans la frabrication des prothèses dentaires ou se base sur des techniques théoriques qu'ils n'ont pas testé.
C'est un peu comme si on demandait à son garagiste de changer un pneu sans démonter la roue, mais en soulevant la voiture de coté.





raoul Ecrivait:
>
> Et pour toi Prothos juste un petit conseil.
> Tasse bien ta ceram cru et absorbe le liquide au
> sec. Monte ta ceram 5% en sur dimmension et seche
> 30 minutes sous 600 degrees avant d'envoyer ton
> programme de cuisson. Ainsi tu eviteras les
> fissures et l'aspect terne.
> Cheers
> L'australien
>



ceux qui

14/11/2005 à 10h23

Ceux qui veulent qu'on repare une céramique cassée croyant que l'on peut rajouter un petit morceau sans tout reprendre étant donné que la cuisson primaire de l'opaque est supérieure à celle de la dentine .
Ceux qui veulent qu'on soude à la céramique des éléments en plus lorsqu'elle est finie et que la chappe n'a pas été prévue pour.
Ceux qui pense que l'on fait tout avec des clefs ( même ouvrir des portes ).
Ceux qui veulent le travail pour hier avant que l'empreinte soit prise .
Ceux qui trace la ligne du sourir sur les cires en diagonal car il ne le font pas face au patient et qui s'étonne d'avoir un montage de travers .
etc...
et ceux qui ont le meilleur prothésiste ;)


Image19 iebot6 - Eugenol
athos

14/11/2005 à 12h42

bin ça y est!!! on se renvoie nos trucs a la figure...

pfff!!! décourageant.bye.


canard59

14/11/2005 à 15h41

Idem. Bye bye.


Platre Pierre

14/11/2005 à 15h57

Itou.


raoul

14/11/2005 à 22h13

ceux qui Ecrivait:
-------------------------------------------------------
> Ceux qui veulent qu'on repare une céramique cassée
> croyant que l'on peut rajouter un petit morceau
> sans tout reprendre étant donné que la cuisson
> primaire de l'opaque est supérieure à celle de la
> dentine .

Réponse: Sabler l’élément prothétique a l’aide d’oxyde alumine 15 microns. Préparer un mélange 50% opaquer et 50% body basse fusion. (Low fusion) Appliquer une couche fine sur le métal expose, tasser et absorber le liquide. Sans cuisson, appliquer soigneusement les masses basse fusion du body et incisale si nécessaire. Sculpter le rajout légèrement en sur- dimension et cuire a 70% de vide sous basse température.
Maquillage et glaçage aussi a basse température.


> Ceux qui veulent qu'on soude à la céramique des
> éléments en plus lorsqu'elle est finie et que la
> chappe n'a pas été prévue pour.

Réponse : Couler un modèle avec ancien élément prothétique en position. Scier et préparer les dies des nouveaux éléments. Dans un flacon de polyuréthane verser de l’acide fluorhydrique . Laisser reposer toute la nuit. Retirer l’armature qui est propre de toute traces de céramique et rincer a l’eau courante.
Repositionner l’armature sur le modèle et stabiliser a l’aide d’une cire. Procéder avec le waxing des nouveaux éléments de façon a rejoindre l’ancien bridge pour soudure ultérieure. Couler l’infrastructure, sabler, gratter, ajuster et laisser un espace de 1mm entre les deux armatures. Préparer un mélange de duralay ou poudre/liquide par capilarite, combler l’espace et monter le duralay tout autour de l’espace.
Investire le bridge et laisser sécher. Préchauffer afin d’éliminer toute trace de duralay et procéder a la soudure primaire haute fusion. Pour les soudures au laser, observer les instructions du fabriquant.

Le recyclage est bon pour l'environement. C'est pour ca que nous avions une image pure et verte.
Ici en Australie on a pas St Quantain......LOL

> Ceux qui pense que l'on fait tout avec des clefs (
> même ouvrir des portes ).

Réponse :Les clefs tirée peuvent servir de rajout d’une ou même plusieurs dents sur un appareil amovible, voir même des crochets. Une clef est utile dans la fabrication d’un élément provisoire. La clef donne une indication de la position de l’armature par a port au waxing esthétique. Les clefs sont un outil indispensable dans l’exercice de l’art dentaire, Y compris le montage des céramiques.

> Ceux qui veulent le travail pour hier avant que
> l'empreinte soit prise .

Réponse : Cela s’appelle « Booking » en Anglais. Comme le technicien livre le travail souvent une heure après l’heure du rendez- vous au fauteuil, mes assistantes demandent sur les fiches de travail, que la prothèse soit prête 3 jours avant le rendez- vous du patient.



> Ceux qui trace la ligne du sourir sur les cires en
> diagonal car il ne le font pas face au patient et
> qui s'étonne d'avoir un montage de travers .
> etc...

Réponse : Cher Docteur, Il me semble que la ligne du sourire et légèrement en diagonale.
Prière de bien vouloir vérifier et confirmer la ligne du sourire. Merci pour votre aimable coopération. Amicalement, Bla Bla Bla.



> et ceux qui ont le meilleur prothésiste ;)
>

Réponse : Et je demande a Mr le modérateur que fonts les malaxeurs de plâtre dans un forum d’académiciens ?


Prothos

15/11/2005 à 01h26

On peut dire que ce sont des solutions à la raoul


Prothos

15/11/2005 à 01h43

Le problème qui se pose est simple: les prothésistes dentaire d'aujourd'hui ne sont plus ceux qui apprenaient leur métier sur le tas sans formation approfondie.
Les écoles de prothèse d'aujourd'hui demandent souvent au jeune voulant apprendre le métier d'avoir un niveau bac. Puis il y a 2 ou 3 ans d'apprentissage pour avoir un CAP. Ensuite il y a la formation supérieure qui dure encore 2 ou 3 ans. Au final ce prothésiste dentaire confirmé aura suivi 5 ou 6 années de formation professonnnelle après le bac, ce qui équivaut à un bac +5/6 en prothèse dentaire.

Pour finir mon explication j'aurais besoin de savoir combien d'année de formation en prothèse dentaire bénéficie un chirurgien dentiste sortant de la fac?






athos Ecrivait:
-------------------------------------------------------
> bin ça y est!!! on se renvoie nos trucs a la
> figure...
>
> pfff!!! décourageant.bye.



ceux qui

15/11/2005 à 10h04

raoul Ecrivait:
-------------------------------------------------------
> ceux qui Ecrivait:
> --------------------------------------------------
> -----
> > Ceux qui veulent qu'on repare une céramique
> cassée
> > croyant que l'on peut rajouter un petit morceau
> > sans tout reprendre étant donné que la cuisson
> > primaire de l'opaque est supérieure à celle de
> la
> > dentine .
>
> Réponse: Sabler l’élément prothétique a l’aide
> d’oxyde alumine 15 microns. Préparer un mélange
> 50% opaquer et 50% body basse fusion. (Low fusion)
> Appliquer une couche fine sur le métal expose,
> tasser et absorber le liquide. Sans cuisson,
> appliquer soigneusement les masses basse fusion du
> body et incisale si nécessaire. Sculpter le
> rajout légèrement en sur- dimension et cuire
> a 70% de vide sous basse température.
> Maquillage et glaçage aussi a basse température.
>
>
> > Ceux qui veulent qu'on soude à la céramique des
> > éléments en plus lorsqu'elle est finie et que
> la
> > chappe n'a pas été prévue pour.
>
> Réponse : Couler un modèle avec ancien élément
> prothétique en position. Scier et préparer les
> dies des nouveaux éléments. Dans un flacon de
> polyuréthane verser de l’acide fluorhydrique .
> Laisser reposer toute la nuit. Retirer l’armature
> qui est propre de toute traces de céramique et
> rincer a l’eau courante.
> Repositionner l’armature sur le modèle et
> stabiliser a l’aide d’une cire. Procéder avec le
> waxing des nouveaux éléments de façon a rejoindre
> l’ancien bridge pour soudure ultérieure. Couler
> l’infrastructure, sabler, gratter, ajuster et
> laisser un espace de 1mm entre les deux
> armatures. Préparer un mélange de duralay ou
> poudre/liquide par capilarite, combler l’espace et
> monter le duralay tout autour de l’espace.
> Investire le bridge et laisser sécher. Préchauffer
> afin d’éliminer toute trace de duralay et procéder
> a la soudure primaire haute fusion. Pour les
> soudures au laser, observer les instructions du
> fabriquant.
>
> Le recyclage est bon pour l'environement. C'est
> pour ca que nous avions une image pure et verte.
> Ici en Australie on a pas St Quantain......LOL
>
> > Ceux qui pense que l'on fait tout avec des clefs
> (
> > même ouvrir des portes ).
>
> Réponse :Les clefs tirée peuvent servir de rajout
> d’une ou même plusieurs dents sur un appareil
> amovible, voir même des crochets. Une clef est
> utile dans la fabrication d’un élément provisoire.
> La clef donne une indication de la position de
> l’armature par a port au waxing esthétique. Les
> clefs sont un outil indispensable dans l’exercice
> de l’art dentaire, Y compris le montage des
> céramiques.
>
> > Ceux qui veulent le travail pour hier avant que
> > l'empreinte soit prise .
>
> Réponse : Cela s’appelle « Booking » en Anglais.
> Comme le technicien livre le travail souvent une
> heure après l’heure du rendez- vous au fauteuil,
> mes assistantes demandent sur les fiches de
> travail, que la prothèse soit prête 3 jours avant
> le rendez- vous du patient.
>
>
>
> > Ceux qui trace la ligne du sourir sur les cires
> en
> > diagonal car il ne le font pas face au patient
> et
> > qui s'étonne d'avoir un montage de travers .
> > etc...
>
> Réponse : Cher Docteur, Il me semble que la ligne
> du sourire et légèrement en diagonale.
> Prière de bien vouloir vérifier et confirmer la
> ligne du sourire. Merci pour votre aimable
> coopération. Amicalement, Bla Bla Bla.
>
>
>
> > et ceux qui ont le meilleur prothésiste ;)
> >
>
> Réponse : Et je demande a Mr le modérateur que
> fonts les malaxeurs de plâtre dans un forum
> d’académiciens ?
>





Il fallait y voir surtout de l'humour , mais bon ...
Ensemble vraiment lamentable , les réponses techniques et les quelques furtifs stages de labo que M. Roual a peut être effectué remontent certainement à il y a plus de trente ans ! les techniques relationelles labo -cabinet aussi , mais je ne désespère point, les gens qui sont sur eugénol sont ceux qui souhaient évoluer , en principe ?
>



protox

15/11/2005 à 12h56

D'accord avec toi ''ceux qui '' , des solutions telles que celles de Roual c'est du bricolage à la petite semaine , autant tout refaire on gagnera du temps ou prévoir à la base selon les règles de l'art , mais il vient presque d'une autre planète je crois , c'est un autralopithèque un peu moqueur :))


3 76 hchzpi - Eugenol
King Kong

18/11/2005 à 17h48

raoul Ecrivait:
-------------------------------------------------------
Et je demande a Mr le modérateur que
> fonts les malaxeurs de plâtre dans un forum
> d’académiciens ?


Mais LOL !!!!! rien qu'avec cette phrase on voit le niveau ...

La vitesse de la lumière est supérieure à celle du son. C'est pourquoi bien des personnes sont brillantes jusqu'à ce qu'elles ouvrent la bouche.



Protho Zoer

18/11/2005 à 18h52

Certaines même sont tellement bêtes qu'elles ont même le droit d'en manger :))


labotox

19/11/2005 à 11h36

Protho Zoer Ecrivait:
-------------------------------------------------------
> Certaines même sont tellement bêtes qu'elles ont
> même le droit d'en manger :))





On peut aussi leur décerner le bonnet qui ira bien avec , plutôt que le bicorne ) dans ce cas ce sera dans '' son '' intérêt.


raoul

24/11/2005 à 02h02

labotox Ecrivait:
-------------------------------------------------------
> Protho Zoer Ecrivait:
> --------------------------------------------------
> -----
> > Certaines même sont tellement bêtes qu'elles
> ont
> > même le droit d'en manger :))
>
>
>
>
>
> On peut aussi leur décerner le bonnet qui ira bien
> avec , plutôt que le bicorne ) dans ce cas ce sera
> dans '' son '' intérêt.

_____________________________________________

Alors les prothos- on a du mal a digerer les solutions simples aux problemes techniques sans infliger une facture onereuse au patient et a son dentiste? Hen?
Je vous demande qui est bete? Celui qui fournis une molaire avec la morpho d'un gamin de six ans pour une patiente de soixante ans? oui bien le dentiste qui a etait "forcer" a prendre des cours de prothese afin de pouvoir les raser correspondent au dents adjacentes abbrasees?
Raoul


Protho Zoer

24/11/2005 à 11h00

Bizarre , bizarre par un coup de baguette magique , plus de faute d'orthographe et de syntaxe !
enfin admettons , qu'il soit Australien ...
Le voilà maintenant défenseur des intérêts français , heureusement qu'il est là ;(
Techniques du siècle dernier ,lapalissade et zizani , vraiment sympa ce type .


Prothos

24/11/2005 à 12h34

> Alors les prothos- on a du mal a digerer les
> solutions simples aux problemes techniques sans
> infliger une facture onereuse au patient et a son
> dentiste? Hen?

Ce qui serait interressant de savoir c'est si vous accepteriez de payer le cout réel pour faire faire ce genre de bidouillage.
Et entre nous, la facture onéreuse au patient ne vient jamais du prothésiste.


> Je vous demande qui est bete? Celui qui fournis
> une molaire avec la morpho d'un gamin de six ans
> pour une patiente de soixante ans? oui bien le
> dentiste qui a etait "forcer" a prendre des cours
> de prothese afin de pouvoir les raser
> correspondent au dents adjacentes abbrasees?
> Raoul
>
>

Celui qui est bête est celui qui "rase" la molaire pour qu'elle ressemble aux dents adjacentes en se moquant complètement que celle ci se retrouve en sous occlusion. C'est pas grave, on fera une couronne en face pour remettre tout ça en occlusion.


raoul

24/11/2005 à 21h54

Prothos

C'est impossible comme tu peut etre "tarer"!

Depuit quand il faut des cours de prothese pour raser une molaire?
Par contre il en faut absolument pour raser ta catastrophe de morpho et la reprendre avec de la ceramique crue.
La concurence entre vous les prothos, de celui qui monte la plus belle molaire avec les plus haute cuspides. Moi je n'en veut pas de "Kilimandjaro" ou "Everest" sur une patiente de soixante ans avec dents adjacentes abrasees!

Discussion close! Le forum Protheseland est specialement concus pour les malaxeurs de platre.

Raoul L'australien. IP adresse verifiable par le moderateur. Reseau: xtra.co.nz Telecom NZ/Telstra Australia


jean Plâtre

28/11/2005 à 16h10

Une discussion qui dérape c'est vraiment dommage pour l'esprit du forum qui est un lieu de rencontre privilégié. Les "Arracheurs de dents" y rencontrent les "Malaxeurs de Plâtre" et peuvent échanger librement sans que celà devienne un défouloir à rancoeurs. Soyez des gens responsables qui ont envie de partager sans renvoyer à d'autres les images et les poncifs éculés entre dentistes et prothésistes.
Désolé pour toi Raoul car tu es un animateur de ce forum respecté. Prothos, tu es comme moi un invité sur ce forum, ne gâche pas la chance qui t'es offerte de pouvoir débattre. Même si l'on est pas d'accord on peut garder les formes et sa courtoisie, c'est le propre du débat contradictoire.
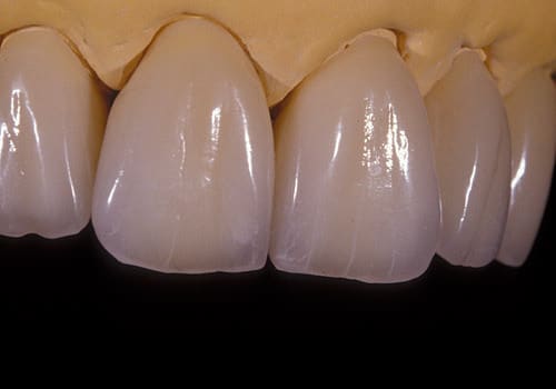
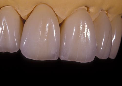
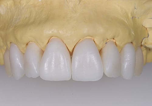
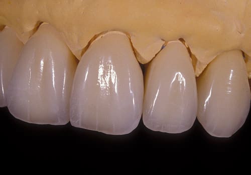
Je vous joins quelques photos extraites du site de Jan LANGNER, un céramiste allemand remarquable. Il a developpé un système fantastique avec des facettes en cire, des modèles cliniques de référence et une technique de réalisation d'éléments céramique à l'aide de clés en silicone. Le système est commercialisé sous le nom de CALLA PLUS en Allemagne et distribué par le partenaire de Jan Langner,
Eugénolement,
JP

29a tnkjee - Eugenol
09ab yl1p3g - Eugenol
27a cyzcit - Eugenol
29a psndqb - Eugenol

Cuisinier2 vnbbxx - Eugenol
jeff2

28/11/2005 à 16h17

ouaouhhhh!!! quelle belles céramiques!!
céramo céramique?, serais interessant de connaitre le protocole de montage, mais en tout cas superbe!!


Image19 iebot6 - Eugenol
athos

28/11/2005 à 16h45

ah bin quand meme!!! ça donne envie de revenir...merci JP!


Pierre ponce

29/11/2005 à 15h01

jean Plâtre Ecrivait:

> Je vous joins quelques photos extraites du site de
> Jan LANGNER, un céramiste allemand remarquable. Il
> a developpé un système fantastique avec des
> facettes en cire, des modèles cliniques de
> référence et une technique de réalisation
> d'éléments céramique à l'aide de clés en silicone.



Tout à fait d'accord avec toi Jean Plâtre , certain ne reste pas de marbre dans ce pugilat ridicule .
Par contre je reste perplexe sur la partie de technique des clès silicone pour monter la céramique ! , peut nous fournir un peu plus de détail ( photos ) de cette technique révolutionaire ? Merçi d'avance .
Pierre .

>


Plâtre Pierre

29/11/2005 à 18h16

Itou , pas cool Raoul !


jean Plâtre

29/11/2005 à 18h37

Quelques photos encore...

09ab jxnuju - Eugenol
27a ahei24 - Eugenol
29 b7qvbk - Eugenol

jean Belli

09/12/2005 à 16h13

Bravo pour vos magnifiques travaux .
Quelle marque de céramique utilisez-vous pour la réalisation des biscuits ?


jean Plâtre

09/12/2005 à 18h44

quel enthousiasme pour ces belles cérams...qui ne sont pas de moi mais de Jan Langner (voir posts précedents)mais merci pour lui. La technique est basée sur des familles de facettes parmi les plus représentatives de près de cinq mille bouches examinées et moulées.
-Avantage n°1 des facettes. Le prothésiste peut utiliser d'autres formes plus naturelles d'aspect et des arrangements différents que les habituels stéréotypes
-Avantage n°2 du wax up réalisé.Ce n'est plus un simple essayage esthétique lambda mais une validation réelle de forme et fonction
-Avantage n°3. La réalisation d'un "vrai" provisoire esthétique devient une étape simple de labo avec un vrai plus.
Si le "provisoire" est validé par le patient (et il accepte dans 95% des cas)il ne subsiste aucun doute sur l'acceptation finale du bridge ou des unitaires. La réalisation finale céramique étant faite avec les clés silicone ou du wax up ou d'après le bridge provisoire modifié par le binôme Patient/Praticien. La réalisation céramique avec les clés décrite et réalisée par Jan Langner est un peu longue et technique pour être simplifiée dans un post. J'aurais peut être le plaisir d'en reparler sur le forum...
JP.


123...