Cookie Consent byPrivacyPolicies.comlabo a part - Eugenol

labo a part

3 76 hchzpi - Eugenol
King Kong

23/12/2005 à 12h15

Je Ecrivait:
-------------------------------------------------------
> Je crois rêver , tiens dans le même genre il
> existe un appareil dans lequel on rentre le
> patient et au bout de cinq minutes il en ressort
> avec des dents en céramique toutes neuves , génial
> ! ça marche très bien , et c'est l'avenir ,
> demandez le pour noël , je peux toujours rêver ,
> je est réaliste ;))


Ba oui mon gars !! WAKE UP !!!!

Tu sais au début on fesait des couronnes à bagues........mais les techniques ont évoluées car y'a des personnes qui se sont sorties les doigts du cul.....

Tu ressembles vraiment à l'archétype du prothé qui veut que rien ne bouge et qui reste assis voir le temps défiler....

Je te renvoies au Mensuel de la Profession "Prothèse Dentaire" qui vient de paraitre où au début il y un article fort interressant, le point de vue d'un professionnel qui part à la retraite... tu verras tu t'y reconnaitras...
Mais aprés tout tu y es abonné ????


jean Plâtre

23/12/2005 à 12h24

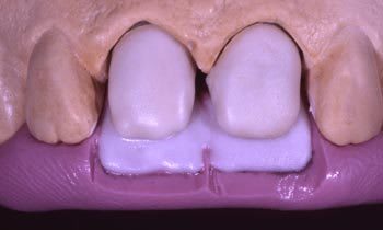
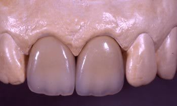
Sincèrement, je ne pense pas que la technique des clés soit une révolution, je suis d'accord.Je l'ai beaucoup utilisée comme toi pour le montage des composites.Les résultats obtenus étaient remarquables par l'absence de porosité interne, le problème le plus récurrent des compos.On peut interagir sur la viscosité des masses par le froid et le chaud, froid pour durcir, chaud pour fluidifier.L'intérêt est d'obtenir des masses Dentine conformes au Wax de départ.Il suffit d'enlever la partie réservée à l'émail avec disque et fraise diamantées après polymérisation des Dentines.Coloration interne pour les mamelons et effets divers et repolymérisation.Les masses Opales sont disposées sous le contrôle de la clé (on peut même faire de la segmentation latérale)puis polymérisées.L'émail de finition chauffé avec un séche cheveux est pressé avec la clé.Le résultat, les angles de raccordement et les séparations interdentaires ne sont plus à modifier par grattage.L'esthétique est remarquable, sans effort et sans porosités de type inclusion d'air entre les couches, points noirs etc.
La même technique est appliquée pour la céram et les résultats que vous avez vu en photo se passent de commentaires!
Je ne suis pas le "chantre de la clé" ou le prosélyte du silicone, je remarque simplement qu'il serait dommage d'ignorer une technique abordable, voire même de la dénigrer sans l'avoir essayée.
On ne parle plus içi d'une technique d'il y 20 ans, mais d'une technologie très actuelle.
Bonnes fêtes à tous,
JP


Jje

23/12/2005 à 14h56

Je parlais d'une machine bien plus sophistiquée , celle-là fait diagnostique , soins , tailles , prothèses , pose et encaissement , mais elle ne sera destinée qu'a la sécu ... elle fonctionne aussi sur le principe des clefs et du séche cheveux , génial , il n'est même plus nécessaire d'avoir des mains et une tête et de faire des études .
Bon , maintenant j'attend le père noël , sagement , pour qu'il me change mon vieux tour à pédales .


carnassier

24/12/2005 à 09h20

T'en a pris plein les dents Je moi je pense que dans l'ensemble tu as raison , ils sont bien plus rétrogrades que toi . Il faut avoir des peaux de saucisson devant les yeux pour ne pas voir que dans un avenir proche , l'UFSBD ayant tellement bien fait son travail que le travail va se raréfier de plus en plus , à l'instar de ce qui ce passe dans les pays ayant commençé ces campagnes bien avant nous ( Pays -Bas , Danemarque etc.., certaines années il n'y a pas de promo qui sortent de dentaire ... )chez nous déjà certains cabinets ne se revendent plus , c'esdt un signe fort . Donc comme toi , je pense que seul les meilleurs vont rester et qu'il vaut mieux une solide expérience le reste , oui on peut croire à la technique mais après , et en toute connaissance de ses côtés pervers .


Samprune

26/12/2005 à 14h36

D'accord avec toi , mon protho est bien meilleurs qu'un cerec ;)et moi aussi !
En plus il fait la mobile , les bridges ,les stellites , coute bien moins cher au final ,consomme des fournitures ,donc fait travailller les dépots , il m'envoie des patients , et je suis pote avec lui , mais attention tout de même à ne pas confondre technique et technologie ( sujet du bac 2005 !)


douste

27/12/2005 à 18h13

cerec caca !!!


Cachole

01/01/2006 à 23h30

Oui pas mal,ou quand on entend des dentiste nous demander de rajouter un peu de "plastique" sur une cassure d'une prothèse adjointe,ou de renforcer avec du "tulle"...mais bon eux on les "appelle" DOCTEUR.!!!


raoul

02/01/2006 à 05h49

Cachole Ecrivait:
-------------------------------------------------------
> Oui pas mal,ou quand on entend des dentiste nous
> demander de rajouter un peu de "plastique" sur une
> cassure d'une prothèse adjointe,ou de renforcer
> avec du "tulle"...mais bon eux on les "appelle"
> DOCTEUR.!!!
********************************************
HaHHHHH Je les aime moi ces petits prothos

2006 le petit malin se réveille? Ou direz-je « smart ass » ?

1) Le Glossaire du plastique de A – Z. Rajoutez un peu de Plastique, Acrylique ou Resine is all the same:
http://www.industrie.gouv.fr/cgi-bin/industrie/FranceTech/v_lienparc.pl?francais-parcours_7-vf_p7_gloss

Puisse que les “Docteurs” doivent absolument soumettre ‘evidence based dentistry ‘ pour prouver leurs points, voici une autre preuve :

http://www.chem-mats.mmu.ac.uk/Syllabus/units/62DT1283.pdf Processing of heat-cured polymethylmethacrylate acrylic resin.


2) Tulle ou mèche largement utiliser dans la chirurgie, notamment, de l’hernie. Cela s’appelle le ‘ rapiéçage’
‘on tend de plus en plus à rapiécer la paroi déficiente avec une prothèse synthétique. La mise en place d'un filet ou d'un obturateur consiste à rapiécer la paroi avec une prothèse qui n'est pas une véritable plaque rigide, mais en réalité un tulle en polypropylène souple assurant une bonne tolérance. Les mailles du tulle sont colonisées par les cellules du tissu de cicatrisation. La prothèse peut être mise en place’

http://www.chirurgie-hernie.com/Pathologie/traitements.html

Donc: un tulle en polypropylène souple pour renforcer la résine ! Kapishe ? Understand ? Anselege ? Hevanta ? Fhamta ? En quelle autre langue te demander si tu as pigé ?

Comme dirait mon père ; si t’es pas passer par l’école vas te coucher.

Docteur Raoul


jean Plâtre

02/01/2006 à 11h50

http://www.healthmantra.com/frc1.htm

A lire avant de poster!
JP


jean Plâtre

02/01/2006 à 11h53

http://www.polydentia.ch/fr/prodotti.asp?LID=3&level=2&node=65-80&F=45&CID=45

Un autre aussi!
JP


raoul

02/01/2006 à 12h32

Merci Jean Paul

Tu as raison les fibres composite pour la conjointe.

Le tulle ou meche maille en polypropylene pour l'adjointe c'est moins cher et plus pratique pour le renforcement d'une surface importante.

Bonne et Heureuse Annee 2006


makdeux

02/01/2006 à 22h36

bonjour, IL me semble anormal qu'un dentiste ne soit pas au courant de ce qui se fait "dans son dos". Il est clair qu'on ne peut déléguer sans en payer les conséquences, une étude sur paralléliseur( qui d'habitude relève du labo) de l'axe d'insertion d'une pap, par exemple. le prothésiste recherchera souvent l'axe d'insertion le plus vertical possible et se fichera comme de sa dernière chemise de la dualité tissulaire et de tous les basculements possibles lors des activités quotidiennes du patient. et meme de ceux qui sont dus uniquement à la peanteur. Il faut donc pouvoir lui transmettre le modèle de travail avec un axe d'insertion choisi et matérialisé. Ma prof de prothèse me disait il y'a 25 ans, le prothésiste ( avec un accent aigu, mon dieu!) doit "sentir" en vous le maitre de l'art, celui qui sait. Si on ne sait pas, on ne peut pas peser sur le cours des travaux. Il faut donc savoir.


mesdeux

03/01/2006 à 12h37

tu n'as cas faire plus que de la valplast ... le para//élisme poupoune ! au moins tu n'auras plus à craindre pour ton dos ;)


Yves Ocron

03/01/2006 à 16h41

Bonne année à tous les prothos et puis aux dentiste aussi(bonne résolution oblige;).
Je viens de lire la totalité des 5 pages de cette partie du forum et je constate avec regrets que rien ne change malheureusement.
Encore et tjs ces petites gueguerres prothos-prothos , prothos-chirdents .C'est à celui qui aura le plus fait, le plus lu mais pas forcement le mieux compris...Je sais bien qu'il est utopiste de penser qu'un jour tout ce petit monde pourra travailler ensemble main dans la main,avec le sourire et en écoutant les doléances de son interlocuteur...
De toute façon chacun à sa petite recette magique et son coup de patte.N'oublions pas que la prothèse est un art et qu'au même titre qu'un joiller ou qu'un peintre chacune de nos oeuvre est unique et chacun de nous, prothos ou chirdent, l'interpretera à sa manière.
Poignée de main virile à tous mes confrères.
PS:il n'y a pas que la céram dans la vie il y a aussi les stellites


Lise Osit

03/01/2006 à 18h54

Yves Ocron Ecrivait:
-------------------------------------------------------
> Bonne année à tous les prothos et puis aux
> dentiste aussi(bonne résolution oblige;).
> Je viens de lire la totalité des 5 pages de cette
> partie du forum et je constate avec regrets que
> rien ne change malheureusement.
> Encore et tjs ces petites gueguerres
> prothos-prothos , prothos-chirdents .C'est à celui
> qui aura le plus fait, le plus lu mais pas
> forcement le mieux compris...Je sais bien qu'il
> est utopiste de penser qu'un jour tout ce petit
> monde pourra travailler ensemble main dans la
> main,avec le sourire et en écoutant les doléances
> de son interlocuteur...
> De toute façon chacun à sa petite recette magique
> et son coup de patte.N'oublions pas que la
> prothèse est un art et qu'au même titre qu'un
> joiller ou qu'un peintre chacune de nos oeuvre
> est unique et chacun de nous, prothos ou chirdent,
> l'interpretera à sa manière.
> Poignée de main virile à tous mes confrères.
> PS:il n'y a pas que la céram dans la vie il y a
> aussi les stellites
>

et la 3ième mi-temps ;°)


Yves Ocron

03/01/2006 à 20h56

A la tienne Lise Osit.Ils n'ont qu'à continuer à s'engueuler, nous en attendant on boit un coup.
(Grande spécialité du prothésiste en plus des cérams et des stellites).Je te souhaite une année pleine de travail et bien prospère...et aux autres aussi.


Yves Oclar

04/01/2006 à 16h49

Yves Ocron Ecrivait:
-------------------------------------------------------
> A la tienne Lise Osit.Ils n'ont qu'à continuer à
> s'engueuler, nous en attendant on boit un coup.
> (Grande spécialité du prothésiste en plus des
> cérams et des stellites).Je te souhaite une année
> pleine de travail et bien prospère...et aux autres
> aussi.


Ca c'est bien dit ! plein de bonnes choses à vous tous et à Sam.anta Ris aussi .


Yves Ocron

04/01/2006 à 17h02

Tiens tiens Yves Oclar, ne serions nous pas parents éloignés ? Apparement nous avons les mêmes "racines"......


Yves Oclar

04/01/2006 à 17h12

Possible , mais y en a des Yves !:))


Prothos

04/01/2006 à 22h08

Bonjour,

J'invite vraiment tous les prothésistes à lire le message suivant, c'est amusant, drole et si innocent :o))))) (Docteur Jean Plâtre pense qu'il est possible de mouler une céram dans une clef en silicone :o )) )

J'invite également tous les chirdents à essayer sa technique :o))






jean Plâtre Ecrivait:

> Oh là Oh là,
> Vous semblez être en panne au niveau technique ou
> sur le plan de l'information. Je vous signale que
> j'avais laissé un lien pour le site de Langner et
> je pense que RAOUL, dentiste avisé et surfeur, est
> déjà allé faire un tour.Si ce sujet vous semble
> "irréalisable" techniquement, désolé pour vous.La
> technique et les matériels (pour la mise sous vide
> des mélanges de pâte crue et la condensation de la
> pâte dans LES CLES)sont en vente libre (ROTEC à
> Paris mais de mémoire, je n'ai plus les docs que
> j'avais ramené de l'IDS à Cologne). A la relecture
> de mes posts précédents, ma description était
> fidèle:
> Essayage esthétique à l'aide de facettes en cire,
> fournies dans le système
> Clés en silicone du projet esthétique
> Bridge provisoire avec les clés
> Réalisation du bridge Céramique dans les clés
> silicone.Pour Info,la mise en cuisson des pâtes
> provoque un retrait de cuisson d'environ 25% à 30%
> en volume. Quel est le problème pour remettre le
> bridge cuit dans la clé? La rétraction est utile
> car elle va libérer de l'espace dans la clé pour
> insérer les masses Effets et Opalescentes. Il
> n'est pas défendu de "mettre en forme" le biscuit
> pour recevoir la stratification suivante. Les
> masses ajoutées seront à nouveau condensées dans
> la clé.
> Amicalement,
> JP
>
>
> _



adolphe

05/01/2006 à 00h53

b


Yves Ocron

05/01/2006 à 09h23

b ?????
bien,bof,b..e,beurk,bien,ballo,bioplast,bi-pins??????????


jean Plâtre

05/01/2006 à 10h41

Mon cher Prothos,
Félicitations pour ton aimable invitation adressée à l'ensemble des lecteurs du forum. J'éspère qu'ils ne manqueront pas une telle occasion de venir rire aux larmes en découvrant l'étendue de ton vide professionnel.Que tu penses sincèrement que tu ne soit plus en âge d'apprendre ou de simplement t'informer, libre à toi! N'avoir à longueur d'interventions que des propos critiques, aucun problème, c'est la liberté de ton du forum qui l'autorise et merci encore aux Modérateurs.
(Docteur Jean Plâtre pense qu'il est possible de mouler une céram dans une clef en silicone :o )) )
Mais quel crétin ce JP te dis tu en te frappant sur les cuisses!Pas croyable d'être aussi ringard...Manquerait plus que ça marche son histoire, alors là, on aura tout vu Pffff.
Pour une dernière fois et pour continuer à te faire hurler de rire, je t'adresse ainsi qu'aux lecteurs assidus du forum, ces quelques photos extraites des liens que j'avais laissés pour info.
En attendant avec impatience les photos de tes travaux qui ne manqueront pas, à coup férir, de mettre un point final à ce débat haut en couleurs, je te dis à bientôt.
JP

Bild x yoj3n8 - Eugenol

jean Plâtre

05/01/2006 à 10h49

Désolé, l'ensemble des photos n'a pas été joint, je recommence...

Bild e z7ablv - Eugenol
Bild g nqg5lk - Eugenol
Bild i blyqnd - Eugenol
Bild d nvtqb4 - Eugenol

jean Plâtre

05/01/2006 à 10h52

Suite...

Bild m hujhje - Eugenol
Bild n ssmawa - Eugenol
Bild p eelnvg - Eugenol
Bild s klo2z3 - Eugenol