Cookie Consent byPrivacyPolicies.comeclaircissement ou dentosophie? - Eugenol

eclaircissement ou dentosophie?

Zoe   son arriv e whwqpj - Eugenol
emma

23/09/2005 à 20h03

Question à un euro!

Eclaircissement ou dentosophie d7ttj1 - Eugenol

Cuisinier2 vnbbxx - Eugenol
jeff2

23/09/2005 à 20h39

occlusodontie


Image19 iebot6 - Eugenol
athos

23/09/2005 à 21h11

quel delai pour ce resultat étonnant?


S8ysxdzhdqgw00w4q6m07a5d47q2 - Eugenol
didier72

23/09/2005 à 21h27

lumière


Zoe   son arriv e whwqpj - Eugenol
emma

23/09/2005 à 21h29

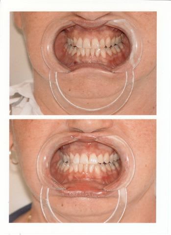
En effet, patiente qui machouille depuis 10 jours seulement, se sent bien mais alors très bien avec le machouilleur, la première photo a été faite après lithotricie et polissage au prophyjet d'EMS + poudre Kavo, la deuxième après les 10 jours et nuits d'APF de soulet-Besombe.

Les profs nous avaient parlé d'éclaircissement dû à l'activateur et au bien être qu'il pouvait apporter en voici la preuve, ça m'a épatée je vous l'assure.


Image19 iebot6 - Eugenol
athos

23/09/2005 à 21h30

et voila qu'Emma me ré insinue un nouveau doute! tu es terrible tu sais!


Zoe   son arriv e whwqpj - Eugenol
emma

23/09/2005 à 21h32

quel doute Athos?


Cuisinier2 vnbbxx - Eugenol
jeff2

23/09/2005 à 21h35

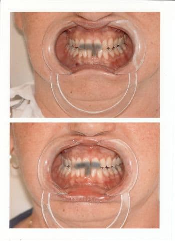
Pourquoi avoir pris les photos en avancée mandibulaire et pas en IM?


Avatar transparent iqadnc - Eugenol
adhoc

23/09/2005 à 21h40

Yes , why? (la latero déviation avec décalage IIncisif est éloquente)
Sinon, c tres beau!


Image19 iebot6 - Eugenol
athos

23/09/2005 à 21h45

z'avez l'oeil les gars!

sinon, bin Emma des doutes sur tout! mon cab (j'ai terminé!) la longueur de mes pivots, le travail a cout horaire, pis maintenant la dentosophie...pffff....je serais jamais toi.


Avatar transparent iqadnc - Eugenol
adhoc

23/09/2005 à 21h58

Ouais , mon athos, deux styles différents mais deux cab qui tournent bien et les points d'union sur eugénol avec une dentisterie efficace a plusieurs facettes. Que demander de plus?


Image19 iebot6 - Eugenol
athos

23/09/2005 à 22h04

l'innaccessible étoile!


Zoe   son arriv e whwqpj - Eugenol
emma

24/09/2005 à 00h52

adhoc Ecrivait:
-------------------------------------------------------
> Yes , why? (la latero déviation avec décalage
> IIncisif est éloquente)
> Sinon, c tres beau!
>


On ne ditinguait pas l'éclaircissement aussi bien sur les photos d'occlusion, voilà pourquoi j'ai posté celles-ci, mais vous ne perdez rien pour attendre, je vous poste dès lundi l'évolution de la DVO en 10 jours de machouillage par une patiente de 50 ans hyper motivée, peut-être même trop!!!


Grueavatar nptrc9 - Eugenol
Le Choixpeau magique

24/09/2005 à 03h04

Comme didier72, je pense que tes deux photos ne sont pas comparables au niveau de l'exposition et/ou de l'éclairage.

En ramenant l'exposition à un niveau comparable sur les deux photos, et en masquant les zones où on a un reflet ajouté sur la deuxième photo, on se rend compte qu'il n'y a pas eu d'éclaircissement.

Eclaircissement ou dentosophie 2 dqidqu - Eugenol

Zoe   son arriv e whwqpj - Eugenol
emma

24/09/2005 à 09h46

Je ne suis pas au cabinet, donc je ne peux pas poster d'autres photos, mais je le ferai lundi, l'éclaircissement a bien eu lieu, peut être moins flagrant, mais les dents de la patiente ont gagné en luminosité, elle ne sont plus ternes comme au début du traitement.

Pour la lumière et l'éclairage, ce sont les mêmes puisque j'utilise systématiquement le flash et que les photos sont prises dans une pièce éclairée en lumière du jour artificielle.


S8ysxdzhdqgw00w4q6m07a5d47q2 - Eugenol
didier72

24/09/2005 à 11h07

Emma, on te croit évidemment, mais il me semblait qu'un reflet faisait que l'éclaircissement paraissait plus franc, qu'il y avait comme un effet d'optique. Mais si tu le postes, c'est que l'as bien sur constaté de visu.
Bon week-end.


Grueavatar nptrc9 - Eugenol
Le Choixpeau magique

24/09/2005 à 15h25

Néanmoins, un teintier aurait donné plus de force à la démonstration.


phil

24/09/2005 à 20h04

le visage n'est pas eclairé de la même façon et l'on voit la différence de luminosité sur sa peau ........Ce n'est pas facile ma prauvre emma ......la photo a ses limites .........surtout avec un flash qui ecrase tout ( il faut un diffuseur ).... a mon avis même le teintier n'aurait rien apporté .
n'empeche que tes observations sont très interessantes...