Cookie Consent byPrivacyPolicies.comSupraclusion - Eugenol

Supraclusion

Debutant

26/09/2005 à 16h44

Pouvez vous faire part de vos methodes pour "ouvrir l'occlusion" notamment chez les hypodivergeant severes ?


Avatar transparent iqadnc - Eugenol
adhoc

26/09/2005 à 18h24

En fixe, ici la technique de ricketts avec arcs discontinus est intéressante.
Arc de base avec un tip back 6et 7 , ceci en haut et en bas.


Debutant

26/09/2005 à 18h38

Le tip sur les sectionnels n'ont t ils pas tendance à verser la molaire sans repercussion sur la hauteur au niveau PM ?


Avatar transparent iqadnc - Eugenol
adhoc

26/09/2005 à 19h06

L'essentiel ne réside pas dans le tip back (juste un plus), mais dans l'arc de base qui , par sa forme, ingresse le bloc 2-2 et par action réaction egresse en effet les molaires.


Debutant

26/09/2005 à 19h19

Donc pas de sectionnels de stabilisation de 4 à 6 pour permettre la reaction molaire ?
Merci adhoc pour tes reponses


Avatar transparent iqadnc - Eugenol
adhoc

26/09/2005 à 19h30

Apres le mouvement que l'on observe assez vite, j'avoue que je passe en arc droit en évitant les sectionnels (dificile a maitriser). Ceci a moduler en fonction des dimensions transversales et sagittales.

Si ton patient est jeune, les dispositifs mobiles faits par ton proto sont tres efficaces. Et c'est le but de l'interception quand tu peux la faire.


Debutant

26/09/2005 à 20h05

Dispositifs mobiles genre plan retro incisif ou andressen + meulage resine ?


Avatar transparent iqadnc - Eugenol
adhoc

27/09/2005 à 11h44

Exactement.
Il serait intéressant d'entendre les affficionados du traitement fonctionnel SB.


Icon poker h4nm2d - Eugenol
jeff

28/09/2005 à 22h56

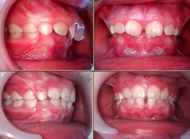
Pour adhoc , deux exemples de traitement par activateur SB.

Le premier montre la levé de supra dans une 2.2.

Ce qui est interessant , c'est de voir que la supra, en même temps que la correction de la classe 2 ( double effet kiss cool ), c'est effectuée en permetant la poursuite de l'éruption physiologique des 6.
( pour faire plaisir a Occlusion ! )
Et pas seulement par ingression incisive, comme avec un arc de base.

Le traitement n'est pas fini, il reste encore de la supra, et à carrer la mandibule, selon les critères d'équilibre de Planas.

Sb classe2.2 - Eugenol

Icon poker h4nm2d - Eugenol
jeff

28/09/2005 à 23h06

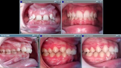
Deuxième exemple, avec une photo récente, puisque cas déja présenté sur eugénol.

Là ce qui est interessant, c'est de voir l'espace d'inocclusion au niveau des dents de lait.

En effet, il y avait une usure importante des dents de lait. Ce qui est considéré comme normal par Planas, du fait d'un bon fonctionnement des latéralité.

En dentosophie, on va trouver cela pathologique, signe d'un problème : notre petit patient se bouffe lui-même, fonctionne sur un schéma de destruction, qui ne peut que s'agraver au fil du temps.

Le traitement par activateur lui a permis de sortir de ce schéma, et de reprendre une croissance verticale interrompue, tout du moins diminuée.

Sb encombrement levé de supra fqhy3h - Eugenol

Avatar transparent iqadnc - Eugenol
adhoc

29/09/2005 à 02h11

Tres intéressant et résultats magnifiques; merci, jeff!
Si tu pouvais rajouter a l'iconographie les images de tes appareils, nous serions aux anges@+++


catrose

29/09/2005 à 11h37

j'aurais traite aussi avec arc de base,Ricketts

jeff,
tout pareil qu'adhoc,tres interessant , memes demandes mais j'en rajoute encore: developper aussi l'idee de "carrer" la mandibule et nous donner l'evolution au niveau squelettique
voila,ne t'inquiete pas,c'est tout pour aujourd'hui...


val

29/09/2005 à 14h52

jeff Ecrivait:
-------------------------------------------------------
> Deuxième exemple, avec une photo récente, puisque cas déja présenté sur eugénol.
>
>
> Le traitement par activateur lui a permis de
> sortir de ce schéma, et de reprendre une
> croissance verticale interrompue, tout du moins
> diminuée.


jeff, cela m'interesse de connaitre la durée du traitement de ce cas avec SB. Merci


Icon poker h4nm2d - Eugenol
jeff

29/09/2005 à 21h06

Bien, cela fait pas mal de questions. ( mais j'aime cela :-) , sinon je ne posterais pas de cas !)

J'ai commencé il y a quelques années à utiliser des Position Trainer ( Ortho + ) suite à une conférence de Daniel Rollet.

Ensuite : stage Clausade et découverte de l'activateur en silicone "Chanet", puis formation dentosophie et SB latex.

Donc, pour le cas "SB classe2.2" : Position Trainer de dec 2000 à juin 2002. Interruption, je devais reprendre en multibagues en juillet 2004, et decide finalement suite aux stages effectués d'essayer en SB : SB latex en sept 2004, traitement toujours en cours.

Pour le cas "SB encombrement " : début en SB silicone en dec 2003, puis latex .

Pour les rapport osseux, il faudrait que je demande des téléradios actuelles. Effectivement, cela pourrait être intéressant.

Position trainer s1vzdw - Eugenol
Activateur silicone chanet vdxymn - Eugenol
Sb latex rkepjx - Eugenol
Sb latex carré xryp92 - Eugenol

Icon poker h4nm2d - Eugenol
jeff

29/09/2005 à 21h08

La mandibule carrée : c'est la troisième loi de Planas.
1ere loi: au maxillaire, existe 3 bourgeons embryonnaires, à la mandibule, 2 bourgeons. Si on stimule une dent d'un bourgeon, nous entraînons l'égression de toutes les dents du même bourgeon.

2eme loi : Les AFMP ( voir le post sur la contention ) doivent être égaux, et il doit y avoir un contact sur toutes les dent coté travaillant, et toutes les dents coté balançant sauf la canine.

3 eme loi: pour vérifier la 2 eme loi, les incisives inférieures doivent être alignées, et donc la mâchoire carré.

Mandibule carrée bcbhxg - Eugenol

Debutant

30/09/2005 à 17h13

jeff : merci pour tes post (tres interressant )
Existe t il des bouquins sur TT SB( en francais)


catrose

30/09/2005 à 19h05

jeff Ecrivait:
-------------------------------------------------------

>
> 3 eme loi: pour vérifier la 2 eme loi, les
> incisives inférieures doivent être alignées, et
> donc la mâchoire carré.
>

merci pour ces precisions

ce qui veut dire qu'on ne pourra pratiquement jamais verifier les lois de Planas en multibagues: aucun arc preforme n'est carre.incompatibilite Planas/MB?
Puisque tu pratiques les deux techniques,comment les conjugues tu?


Zoe   son arriv e whwqpj - Eugenol
emma

30/09/2005 à 19h26

jeff Ecrivait:
-------------------------------------------------------
> Deuxième exemple, avec une photo récente.

Beau travail jeff, ça fait plaisir de voir des eugenaliens défendre la dentosophie et montrer des cas aussi parlant.

Pour ce cas précis as tu utilisé le SB uniquement ou as tu employé d'autres techniques style plaques à pistes et/ou taquets de surélévation?


Icon poker h4nm2d - Eugenol
jeff

30/09/2005 à 23h45

Catrose, tu touche la un point délicat. En fait, j'essaye simplement de faire au mieux. Donc, mes traitements MB , je les termine comme je l'ai appris en arc droit, avec positionneur. ( cela m'est arrivé une fois de revoir un enfant qui répondais pile poil aux loi de Planas, et qui avait carré sa mandibule tous seul , dans un positionneur du commerce classique ( ortho + ).

J'ai rencontré une consoeur qui "carrait" ses arc acier en finition.


Merci emma. Dans les deux cas, uniquement activateur.

A noter que j'étais assez satisfait des résultats que j'obtenais à l'époque uniquement avec le Position Trainer. Je pense que je ne suis pas le seul, car chez ortho +, ils ont continué a dévelloper ce style d'appareil ( pour eux, uniquement en interception ).


JL

04/10/2005 à 01h53

Bonsoir jeff,

Avec votre recul actuel sur "Channet" (en PVC coloré en bleu) et "SB latex", auriez-vous une préférence sur l'un ou l'autre ?

et pourquoi ?

Mon dentosophe m'a répondu que "je préfère le latex, car c'est plus vivant" : pargumenet peu convainquant en ce qui me concerne (je ne crois pas à son explication psycho-psychique, mais crois à l'action mécanique de SB latex : 2 cas d'ados de 15 et 13ans traités, avec des résultats ultra-rapides)...

Y a-t-il une différence d'efficacité sur le traitement ?

Est-ce que "Channet" ne serait pas moins contraignant que "SB latex" pour les enfants peu disciplinés ou qui ont des trous de mémoires phénoménaux ?


Icon poker h4nm2d - Eugenol
jeff

04/10/2005 à 10h07

L'avantage du silicone, c'est le gout : il n'y en à pas !
De plus, le protocole est + simple, je crois : c'est port 1 h par jour pendant télé, devoir ... + nuit.

Le protocole dentosophie avec SB latex est plus contraignant, le principe est une rééducation des fonctions primaires ( mastication, déglutition, respiration ) qui ne peut se faire que dans la "conscientisation" de se que l'on fait : donc: exercice spécifique ou l'on ne fait que ça, + nuit.

Le latex est plus élastique, et permettrait une meilleurs stimulation dentaire ( loi des bourgeons de Planas ). Enfin, on peut bricoler le SB latex : coller des mainteneurs d'espace, des plans de sur-occlusion, des perles anti-langue, le carrer ...

Exo sb qnwzcv - Eugenol

JL

04/10/2005 à 15h22

Mes 2 enfants n'ont jamais fait cet exo (position réglementaire, calme, concentration sur "son oeil interne" qui se promène"...).

Ils ont utilisé leur SB latex en "mâchouillage intensif", pendant leur devoir, devant la télé, en promenade, en "jardinage" (ma fille), en écoutant de la musique remuante (mon fils)...

Il n'ont eu qu'un seul activateur (une seule pièce) jusqu'à présent (le N°5) : mon fils a 9 mois de traitement (percé au plusieurs endroits), ma fille, 8 mois de durée, mais 3 mois de mâchouillage intensif. Leur SB a perdu leur raideur initiale dès la fin du 2e mois (déjà percé après 2 mois de mâchouillage)...

C'est peut-être pour cette raison que les résultats ont été si spectaculaires durant les 2 premiers mois, puis ralentissement de progression depuis ...

Et pour la contention après un traitement ODF MB ou SB latex, pourquoi pas utiliser un activateur en silicone ???


Icon poker h4nm2d - Eugenol
jeff

04/10/2005 à 22h22

En ait, c'est l'inverse, au bout de 4 à 6 mois, ils devenent moins élastiques et il faut les changer. De même s'il sont percés. Pour la contention, pourquoi pas , mais n'ayant pas tout à fait la même forme, cela n'est pas vraiment de la contention.


JL

06/10/2005 à 01h28

Merci jeff de votre réponse.

Chez nous, c'est le contraire : l'activateur est devenu tout mou (perte de raideur), n'exerce plus le même effort qu'avant sur les dents pour la même amplitude de déformation (F=k.dx : F=effort de réaction du latex à une compression dx, k=raideur, courbe nonlinéaire pour latex).

A la dernière séance, mes 2 enfants ont signalé que leur activateur respectif était percé, le dentiste a décidé de continuer sans rien changer

Nous avons RdV la semaine prochaine avec le dentiste : s'il ne propose pas de nouvel activateur, il faudrait que j'en réclame (ça m'embête beaucoup : je n'aime pas réclamer !!!).


Icon poker h4nm2d - Eugenol
jeff

09/10/2005 à 16h35

Un autre exemple : Jeune fille de 9 ans et demi. traitement commencé en janvier, revue hier. Uniquement en activateur.

Exemple supra sb vafkci - Eugenol

12