Cookie Consent byPrivacyPolicies.comun cas pas banal - Eugenol

un cas pas banal

Avatar ow44t3 - Eugenol
Chicot

27/09/2005 à 10h52

Patient de 92 ans qui veut "refaire" ses dents

Rj qrpblg - Eugenol
Img 1179 kda4a5 - Eugenol
Img 1181 cn767s - Eugenol

alhoun

27/09/2005 à 11h00

tu travailles avec bloumbloum?


Avatar ow44t3 - Eugenol
Chicot

27/09/2005 à 11h13

non non, je ne suis qu'un modeste Lorrain !!!

Ci joint les modèles d'études où l'on voit la forte abrasion des faces linguales des inf

Img 1941 lyl8n6 - Eugenol
Img 1943 brehiu - Eugenol
Img 1945 ivvyna - Eugenol

S8ysxdzhdqgw00w4q6m07a5d47q2 - Eugenol
didier72

27/09/2005 à 11h33

je passe


Bx1 spw1cx - Eugenol
BX

27/09/2005 à 11h33

Tu l'envoies chez Dietschi, il devrait pouvoir tout maquiller en blanc.


Logo vuaztn - Eugenol
mac

27/09/2005 à 11h40

BX Ecrivait:
-------------------------------------------------------
> Tu l'envoies chez Dietschi, il devrait pouvoir
> tout maquiller en blanc.


Pour blanchir t'as le luxembourg pas très loin non plus.


Ivetol gth5hw - Eugenol
ivetol

27/09/2005 à 12h02

92 ans... Il va falloir faire vite... Demande toujours un gros acompte... (premier point essentiel du plan de traitement )


Cuisinier2 vnbbxx - Eugenol
jeff2

27/09/2005 à 13h40

même en oubliant son age, faut espérer que ce soit une classe 3 adaptative et que tu pourras remonter en bout a bout?
si la coquette veut des implants ca va etre coton et pour moi impossible en bas
sinon je vire 44 et 34, stellite bas avec abrasion des antérieures
en haut gros doute sur l'exploitation de 23 26 et 14, resterait 13 12 21 11, tu pourrais recouronner, completer par des implants sans chercher a reconstruire les secteur molaires et le fait qu'elle soit en bout a bout( si c'est possible) lui faire un plateau masticatoire de 5 a 5, elle devrait etre contente, esthetiquement et fonctionnelement


alhoun

27/09/2005 à 13h54

jeff2 Ecrivait:
elle devrait etre contente



surtout si tu lui mets un coup de vibreur...;

bon, je connais la route.



Avatar ow44t3 - Eugenol
Chicot

27/09/2005 à 15h59

pourquoi tout de suite "elle", "la coquette"...

C'est un monsieur de 92 ans, pas une dame !!

Les hommes aussi prennent soin de leurs dents, même si c'est moins fréquent...

Pas d'implants au programme car "ce n'est plus de son âge". J'ai proposé par devoir d'information sans insister de trop, 92 ans tout de même !

Budget "raisonnable" et le monsieur veut être tranquille (donc peu de maintenance).

Controle de plaque difficile, car le monsieur tremble un peu

C'est un cas de compromis :

- pas de séance trop longue ni trop fréquente (92 ans quand même)

- facile à nettoyer

- il veut pouvoir manger

- il faut que ça soit assez confortable, car les inf sont sensibles un peu au froid (tu m'étonnes...).

Son ancien stelitte ne le gênait pas trop (et pourtant il avait de quoi...)

- polymédicamenté mais rien de trop sérieux. (un peu d'anticoag, et peu de diabéte, ... comme bcp de séniors)

Il m'a envoyé sa soeur pour me "tester" il y a quelque temps:
sa soeur de 96 ans !
Elle est très contente du CH et CB que je lui ai fait il y a quelques semaines. Elle peut manger et parler ! Quand elle est venu me voir pour la première fois, la pôvre avait un "provisoire" Ht et Bs depuis plus d'un an suite à des exo multiples. Elle ne pouvait plus parler ni manger...

... à suivre ...


alhoun

27/09/2005 à 16h28

quel âge?


Avatar ow44t3 - Eugenol
Chicot

27/09/2005 à 16h39

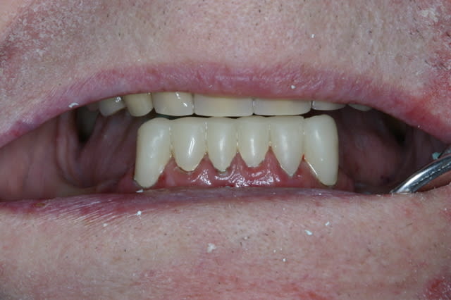
exo des dents du haut et CH provisoire pour tester la DVO et le bout à bout
Taille et prov des inf

Img 1216 u5jar3 - Eugenol
Img 1218 l91rtp - Eugenol
Img 1219 ocdtga - Eugenol

Image19 iebot6 - Eugenol
athos

27/09/2005 à 16h45

ah bin t'as fait du ménage! qu'est ce qu'il en pense le monsieur?


Avatar ow44t3 - Eugenol
Chicot

27/09/2005 à 16h47

Content, il a plus mal !


Image19 iebot6 - Eugenol
athos

27/09/2005 à 16h49

le passage a la mobile totale en haut? il a digéré ça sans probleme a 92ans?


Cuisinier2 vnbbxx - Eugenol
jeff2

27/09/2005 à 16h57

de toute facon , si il voulait pas d'implant, il n'y avait que le complet, et c'est ce qui a permis de faire le bloc en bas niveau finance


Image19 iebot6 - Eugenol
athos

27/09/2005 à 17h35

oui, ma question est simplette; mais je crains toujours le passage psychologique et mecanique a la prothese totale chez les personnes agées qui ont gardé des points de mastication fixes toute leur vie

je le crains tellement quej'aurais surement ete dans l'erreur de vouloir conserver par exemple une dent de chaque coté...


Avatar ow44t3 - Eugenol
Chicot

27/09/2005 à 20h42

la 23 était morte, je ne pouvais que garder éventuellement 13 mais quel intérêt ?

Avoir une prothèse qui tourne autour ?

Si la 23 avait été encore costaud, j'aurai envisagé peut-être des boutons pressions sur 13-23 pour garder la proprioception, l'os et une meilleur tenue.

Le CH provisoire est très bien accepté

Vu l'occlusion, il était exclu de garder une sup et de remettre le patient en bout à bout, car l'ortho...???


Image19 iebot6 - Eugenol
athos

27/09/2005 à 20h56

c'est sur t'as bien assuré le coup pour le papy, c'est sain, c'est beau, c'est fonctionnel!
surement qu'il va recourir le guilledoux...


Grueavatar nptrc9 - Eugenol
Le Choixpeau magique

28/09/2005 à 22h21

Tu vas faire quoi pour les secteurs postérieurs mandibulaires ? Une PBM sur couronnes fraisées ?


Avatar ow44t3 - Eugenol
Chicot

28/09/2005 à 22h49

vi, je solidarise 43 à 33, fraisage 43 42 32 33 et un bête stellite avec des crochets.

Les glissières, j'aime bien mais ça demandent une certaine habilité du patient et un bon controle de plaque, ce qui n'est pas trop le cas


Avatar ow44t3 - Eugenol
Chicot

29/09/2005 à 14h37

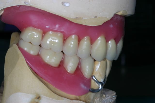
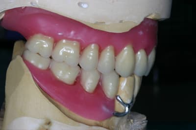
et voilà..... c'est fini

Img 1947 pwotbu - Eugenol
Img 1948 jjnwbv - Eugenol
Img 1950 vwwqhc - Eugenol
Img 1965 ksiofb - Eugenol

Cuisinier2 vnbbxx - Eugenol
jeff2

29/09/2005 à 15h23

Beau travail Chicot
ma petite réserve d'occluso, de voir des dents de 20 ans dans une bouche de 92
perso j'aurais tout fait abrasé sévére, ca oblige a former le prothésiste et a monter en semi adaptable.
Mais en tout cas , on souhaite que tous les CD travaillent comme toi


Avatar ow44t3 - Eugenol
Chicot

29/09/2005 à 15h42

jeff2 Ecrivait:
-------------------------------------------------------
> Beau travail Chicot
> ma petite réserve d'occluso, de voir des dents de
> 20 ans dans une bouche de 92
> perso j'aurais tout fait abrasé sévére, ca oblige
> a former le prothésiste et a monter en semi
> adaptable.
> Mais en tout cas , on souhaite que tous les CD
> travaillent comme toi

T'as raison j'aurai pu animé

mais pourquoi monter en semi adaptable ?

Un bon quick préréglé, des bourrelets d'ocl sur base dur (PEI rebasé a partir de l'emp II) et hop, même pas besoin d'arc facial. J'utilise les arcs en fixe pour les canines ou les reconstructions de grandes étendues.


Image19 iebot6 - Eugenol
athos

29/09/2005 à 16h05

oui c'est chouette
pas de barre cingulaire en bas?
sinon, pour l"animation", papy va s'en garger au fil du temps non?


12