Cookie Consent byPrivacyPolicies.comGreffe gingivale - Eugenol

Greffe gingivale

Pratique94

28/09/2005 à 00h06

Bonjour,

Je souhaiterais savoir de quelle manière se pratique l'incision lors d'un prelevement du greffon au palais pour un conjonctif enfouit.


Merci d'avance pour vos réponses.

Pratique94


phil

28/09/2005 à 00h53

tu peux faire 2 incisions parallèles séparées de 2 mm environ et tu dissèques en profondeur parallèlement à la surface jusqu'a avoir la hauteur désirée

tu peux aussi faire un volet avec une incision près du collet des dents ( pas trop tout de même .. 4 à 5 mm )et une incision mesiale perpendiculairement à la première mais tu dissèques toujours sur 2 plans .Tu rabats ensuite le volet et tu sutures une fois le greffon pris

tu fais tout cela en respectant les dimensions nécessaires au recouvrement du site receveur

si t'as jamais fait entraines toi sur une machoire de porc ...facile et pas cher...
le livre de MONET CORTI et BORGHETTI " chirurgie plastique parodontale " présente sans doute la technique .......


Grueavatar nptrc9 - Eugenol
Le Choixpeau magique

28/09/2005 à 11h55

Certains embarquent tout et dissèquent sur la table, mais je suppose que ça doit faire plus mal après.


Amibien

28/09/2005 à 12h12

Pratique94 Ecrivait:
-------------------------------------------------------
> Bonjour,
>
> Je souhaiterais savoir de quelle manière se
> pratique l'incision lors d'un prelevement du
> greffon au palais pour un conjonctif enfouit.
>
>
> Merci d'avance pour vos réponses.
>
> Pratique94

Procure-toi le livre de Naoshi Sato "Atlas clinique de chirurgie parodontale", l'iconographie est excellente et les textes lourds à digérer mais bien écrits...


Pratique94

28/09/2005 à 15h58

phil Ecrivait:
-------------------------------------------------------
> tu peux faire 2 incisions parallèles séparées de 2
> mm environ et tu dissèques en profondeur
> parallèlement à la surface jusqu'a avoir la
> hauteur désirée
>
> tu peux aussi faire un volet avec une incision
> près du collet des dents ( pas trop tout de même
> .. 4 à 5 mm )et une incision mesiale
> perpendiculairement à la première mais tu
> dissèques toujours sur 2 plans .Tu rabats ensuite
> le volet et tu sutures une fois le greffon pris
>
> tu fais tout cela en respectant les dimensions
> nécessaires au recouvrement du site receveur
>
> si t'as jamais fait entraines toi sur une machoire
> de porc ...facile et pas cher...
> le livre de MONET CORTI et BORGHETTI " chirurgie
> plastique parodontale " présente sans doute la
> technique .......
>

Serait-il possible que tu me fasses une sorte de schéma par rapport au palais et aux dents pour bien visualiser l'incision.

Merci par avance.


phil

28/09/2005 à 17h31

envoie moi un mail privé je te donnerai mon adresse email et te donnerais des doc en pièce jointe


carole

28/09/2005 à 22h28

Le Choixpeau magique Ecrivait:
-------------------------------------------------------
> Certains embarquent tout et dissèquent sur la
> table, mais je suppose que ça doit faire plus mal
> après.


j' embarque tjrs tout..et ça cicatrise trèèèèèèèèèèèèèèèèèèèèèèèèèèèès bien, sans soucis, il faut juste un plaque palatine....mais je suis sqpeed, je posterai plus tard.....


phil

28/09/2005 à 22h44

oui bien sur cela cicatrise mais quand c'est possible la double incision et le prélèvement donne des suites très simples au palais .. ceci dit quand tu emportes tout et que tu enlèves l'epithelium tu vois mieux peut être ce que tu fais surtout quand tu débutes
moi je realise très souvent un petit volet . Je prend le conjonctif et je rabats......


Icon poker h4nm2d - Eugenol
jeff

28/09/2005 à 23h32

Possible aussi : une seule incision horizontale, et dissection du greffon à l'aveugle : tres peu de suite post-op, pas de plaque palatine.


phil

29/09/2005 à 00h19

en fait il en faut 2 ! pour dissequer une au dessus une au dessous du greffon conjonctif ..mais c'est effectivemment et c'est le mot disséquer en aveugle


carole

29/09/2005 à 16h54

je confirme mon statut de débutante....et j' ai besoin d' y voir, en plus, ça permet de placer une hemocolle quand une des artrioles te fait rrrhhhh .... et là, vive la plaque palatine qui aide bien...stt quand on prélève sur un maxillaire édenté, puisque il y a une grosse perte du volume de muqueuse potentielle à prélever (on se retrouve vite près de l' hémi canal artériel....) bref, perso, j' ai bersoin d' y voir, et la plque pal aide bien pour la compression post op + ça limite le risque de tic de succion effectué par certains patients+ça limite bcp les douleurs, enfin, je crois, j' en ai pas eu perso....
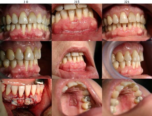
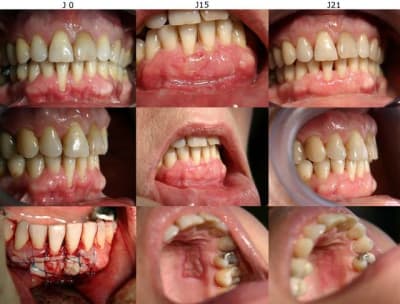
voici un cas avec photo de la cicat du palais à 15j et 21j.....

J0 j15 j21 urxgbr - Eugenol

31ulysse

09/10/2005 à 13h09

Bonjour je suis nouveau sur ce site, j'exerce en haute garonne.
En fait tu peux faire plusieurs type de recouvrement.
Si tu dois faire une greffe epithélio-conjonctive, c'est assez simple, tu prélèves tout. Préviens ton patient des douleurs post-op.
Pour un greffon conjonctif pur, tu peux faire deux incisions parallèles à 1 mm d'écart et disséquer en profondeur. Il faudra eléminer l'épithélium, et tu limiteras la zone cruantée.
Après tu peux faire des volets à deux ou trois incisions. 2 incisions perpendiculaires, ou 3 incisions comme si tu faisais un rectangle que tu ne termines pas. Un fois ces volets levés tu prélèves dessous. Puis tu resutures les volets.
Avantages: pas de zone cruantée.
inonvénients: technique plus difficile, risque de nécrose du volet.
Pour éviter la nécrose du volet on a mis au point la technique avec une seule incision parallèle aux collets des dents, puis on dissèque sans décoller. Mais là déjà il faut être balèze.
Tout dépend de ton habileté, mais ça plus tuen fera et plus elle s'améliorera. Mais aussi tout dépend de l'épaisseur de la muqueuse du palais. Sur un un palais fin prévois toujours une plaque de protection palatine.


phil

09/10/2005 à 14h05

pour les plaques les faire avec un système thermo formé .. pas cher rapide à faire et très efficace..

petite precision si nécrose du volet palatin c'est pas grave ca cicatrise en seconde intention comme l'épithèlio conjonctive ....


Ylfwcw979cz1jnx9gfqeaxndiuzk - Eugenol
Algi

12/10/2005 à 14h54

On parlera de l'apport du laser dans ce type de chirurgie à Nice si vous voulez bien (je pense que certain conférencier que je connais bien aura des trucs à dire).

ici le laser ne servira évidemment pas dans la phase chirurgicale mais vient aprés, en plus pour aider à cicatriser (membrane biologique).

Un cas similaire vu en juillet: volet d'exploration palatin, pile sur la créte en vue de rechercher une lesion osseuse residuelle (trouvée et en plus elle communiquait avec le sinus).

j'ai ensuite simplement repositionné le lambeau et "suturé" au laser. Fermé/épithélialisé en 48 heures, sans plaque puisque fait en quasi urgence.

ps: si plaque en plus pour bloquer le lambeau c'est encore mieux.


phil

12/10/2005 à 15h04

c'est sur tu as raison de prédciser cet avantage enorme du laser ....
j'ai hâte de te voir en chair et en os !!!!!


Ylfwcw979cz1jnx9gfqeaxndiuzk - Eugenol
Algi

12/10/2005 à 15h13

Juste une precision: il est possible de "suturer" juste par collage de sang coagulé au laser à condition que le lambeau ne soit pas du tout mobilisé ni mobilisable lors des fonctions buccales sinon c'est evidemment un echec quasi assuré si on met pas de points.


phil

12/10/2005 à 16h32

precision oh ombien importante !


carole

12/10/2005 à 21h21

merci bcp à vous pour ces info, il me tarde qu' on en parle de vive voix et avec conf à l' appui ;)

(youpppppiiii, plein de choses à découvrir!)


Ylfwcw979cz1jnx9gfqeaxndiuzk - Eugenol
Algi

13/10/2005 à 11h24

Quelle flamme Carole!

Moi en, ce moment, c'est plutot "quelle flemme" mais je me fais violence....

A bientot à Nice


31ulysse

14/10/2005 à 12h43

Il existe un nouvel instument chirurgical qui emploi la dissociation moléculaire. Il rompt les liaisons hydrogènes entre les cellules, pas de saignement, traits d'incision très fins, c'est spectaculaire.


phil

14/10/2005 à 14h35

des precisions ..........


31ulysse

15/10/2005 à 12h09

J'avoue que je ne me rappelle plus la marque de cet instrument. J'ai juste assisté à une démonstration de Poulmaire, lors d'un TP d'anatomie à bordeaux. J'ai pu l'essayer, c'est étrange, comme sensation, cela change du bistouri. Mais je peux essayer de retrouver le nom.


phil

15/10/2005 à 12h13

31ulysse Ecrivait:
-------------------------------------------------------
> J'avoue que je ne me rappelle plus la marque de
> cet instrument. J'ai juste assisté à une
> démonstration de Poulmaire, lors d'un TP
> d'anatomie à bordeaux. J'ai pu l'essayer, c'est
> étrange, comme sensation, cela change du bistouri.
> Mais je peux essayer de retrouver le nom.


oui oui moi cela m'interesse .....

ne serait-ce que pour le découpage exsangue de mes petitesz vieilles ! du nettoyage en moins !


31ulysse

15/10/2005 à 12h48

Je vais rechercher. et dès que j'ai l'info, je l'envoie.


phil

15/10/2005 à 15h41

merci mon ami


12