Cookie Consent byPrivacyPolicies.comen attendant Nice... - Eugenol

en attendant Nice...

Humator t9r5wy - Eugenol
humator

06/10/2005 à 22h33

voici un cas paro qui me pose problème: Homme 39 ans, non fumeur, exellente santé ( spotif +++). PAJ dans un mauvais contexte occlusal ( bout à bout et contact essentiellement en posterieur. Je suis un peu paumé sur ce coup là! surtout sur le devenir des molaires. Des pistes avant d'en parler à nice? merci

Retro0803 s8yjoa - Eugenol
Occlusion mamdqo - Eugenol
Pano0905 j8u5ih - Eugenol
Retro0301 bozyme - Eugenol
Retro0803 orlm0q - Eugenol
Retro0301 j2jptq - Eugenol
Retro0301 ydrh0o - Eugenol
Retro0301 crehes - Eugenol

Humator t9r5wy - Eugenol
humator

06/10/2005 à 22h39

ci joint des retro de mars 2001 et aout 2003 de 46 qui montre l'evolution du cas..

Retro0301 aj0l1f - Eugenol
Retro0803 j629aw - Eugenol

Squash u44zd8 - Eugenol
steph

07/10/2005 à 01h39

Je ne suis pas sûr de voir une PAJ avec les destructions dentaires visibles à la pano.
D'autant que sur tes rétro la lésion évolue autour d'une dent, la 46, de façon évidente alors que 47 n'a pas bougé.
Il doit exister des facteurs locaux à éliminer, l'occlusion n'étant pas spécialement favorable.
Ma piste à explorer, atteinte paro sur une zone de surcharge occlusale?
Si oui, ajustement occlusal pour démarrer, contention si fortes mobilités, ODF puis prothèse fixée.


phil

07/10/2005 à 02h24

il s'agit d'une parodontite avec un caractère agressif a priori......première chose faire le point ......que c'est-il passé entre 2001 et aujourd'hui ... y a t il eu traitement ..si oui lequel et y a t il eu maintenance ....
donc refaire un bilan complet .. entretien clinique serré + bilan radio long cone + microscope + tests microbio complémentaires
il y a du Pg surement ( c'est très virulent cette petite bête ) ..il te faudra peut être un antibio ...mais fait le point en premier ...

ensuite e dehors des ATB , tu reprends tout de A à Z comme si c'était un nouveau cas .... le contrôle de plaque la suppression des irritants locaux etc...les surcharges occusales qui ont aggravées surement la situation .....tu conserves tout et tu réévalueras après maitrise de l'infection et recherche d'un gain d'attache le plus naturel possible ....
les dents douteuses seront réévaluées ensuite ......faut pas s'affoler comme disent les suisses ...


Humator t9r5wy - Eugenol
humator

07/10/2005 à 10h10

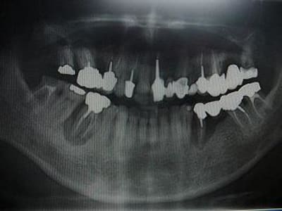
quelques précisions: pas de traitement, mais on s'y met.
comme ressace toujours phil, la pano ne suffit pas, il faut un bilan long cone ( ha, ha!). C'est vrai et dans ce cas, on voit très mal une méga poche en M et P de 17. les poches sur 17, 35 et 46 suintent la danette un max...
En fait, je me gourre, j' ai parlé de PAJ un peu vite, il faut que je revois avec lui, entre autre la cause de perte des dents.
Pour le micro, j'ai pas, mais j'attend Nice pour voir si un confrère pas trop loin de mon trou nous recevrais...( pour me convertir définitivement!).
Les mobilités sont peu importantes malgré l'image.
Enfin pour répondre à steph, je ne pense pas que l'occlusion soit le facteur de cette resorption, car l'atteinte est quant meme partout.
Pour ce qui est de regler l'occlusion, dans un tel cas, comment faire? des meulages sont impossible: trop à supprimer...


dagobert

07/10/2005 à 10h29

PAJ à 39 ans, c'était irréaliste.

Le problème est évidemment d'origine endodontique sur ces deux dents. Regarde les lésions. Cette guangue autour de 46 et 35 (si ma memeoire est bonne ) est caractéristique.

Dernière précision, on ne voit pas les poches sur un bilan radio, qu'il soit rétroalvéolaire ou pas. On voit des lésions osseuses.
Les poches sont visualisables uniquement par le sondage. Eh oui, je sais c'est dur à entendre, mais il va falloir s'y faire.

Pour le reste , il y a en plus un problème parodontal, mais en dehors des zones ou les dents sont en cause ( en tous cas leur traitement,), le traitement va être plus simple que tu ne le pensais.

Courage.


Squash u44zd8 - Eugenol
steph

07/10/2005 à 10h39

Pour régler l'occlusion au mieux, si pas de mobilités, les provisoires te seront d'un bon secours.
Et comme notre bon roi j'y vois plurôt un problème endo.
Tiens-nous au courant.


phil

07/10/2005 à 14h37

dagobert Ecrivait:
-------------------------------------------------------
> PAJ à 39 ans, c'était irréaliste.
>

Tu as raison mais attention l'age n'est pas un vrai critère ......on peut avoir des séquelles de patho et des récidives .....seule l'entretien et l'histoire du patient nous donne des indic

> Le problème est évidemment d'origine endodontique
> sur ces deux dents. Regarde les lésions. Cette
> guangue autour de 46 et 35 (si ma memeoire est
> bonne ) est caractéristique.
il y a peut etre pb endo ou fracture ou félûre des dents ( contexte occlusal .... )
>
> Dernière précision, on ne voit pas les poches sur
> un bilan radio, qu'il soit rétroalvéolaire ou pas.
> On voit des lésions osseuses.
> Les poches sont visualisables uniquement par le
> sondage. Eh oui, je sais c'est dur à entendre,
> mais il va falloir s'y faire.

oui disons pour etre puriste qu'il n'y a pas de lésions osseuses non plus....... mais parodontales .. il faut effectivemment faire attention à ce que l'on dit !

> Pour le reste , il y a en plus un problème
> parodontal

oui et il faut faire le point qu'il y ait paro endo fracture ou félûre à mon avis

mais en dehors des zones ou les dents
> sont en cause ( en tous cas leur traitement,), le
> traitement va être plus simple que tu ne le
> pensais.

une fois l'origine du problème trouvé le problème est simplifié !

> Courage.



phil

07/10/2005 à 14h40

humator Ecrivait:

> Pour le micro, j'ai pas, mais j'attend Nice pour
> voir si un confrère pas trop loin de mon trou nous
> recevrais...( pour me convertir définitivement!).

a nice tu manipuleras ......et tu pourras poser toutes les questions
> Les mobilités sont peu importantes malgré
> l'image.


> Enfin pour répondre à steph, je ne pense pas que
> l'occlusion soit le facteur de cette resorption,
> car l'atteinte est quant meme partout.

l'occlusion n'est pas toujours loin de la à l'origine des résorptions osseuses mais elle est un facteur aggravant très souvent





Squash u44zd8 - Eugenol
steph

07/10/2005 à 18h35

Oui si l'endo est en cause, l'occlusion n'a fait qu'aggraver le problème en créant des surcharges fonctionnelles.


Humator t9r5wy - Eugenol
humator

07/10/2005 à 22h41

bon, je suis loin d'etre d'acc avec vous consernant l'endo: regardez l'evolution de la lesion, de 2001 à 2003, sur les retro: il me semble très peu probable que l'endo ( pas top, ok mais d'apparence pas si tocarde) soit en cause. On voit en 2001 une atteinte distale, clairement paro.
En plus, problème endo sur 46, sur 35 et 17 qui engendrerais de telles lésion, c'est twilight zone! pour l'occlusion, je suis plus d'accord dans son role agravant important.
le problème sera de retuire une telle ouverture... ( on couronne tout?).
Pour revenir à une eventuelle origine endo, quelqu'un a déja vu une telle atteinte endo? ( je doute...)


Squash u44zd8 - Eugenol
steph

07/10/2005 à 23h00

Ouais chez mon assistante après collage d'un composite, à distance très confortable de la pulpe.
Ben elle a chopé une nécrose carabinée avec ce type de lésion, l'endo a résolu le problème de façon miraculeuse, mais j'y ai passé qq séances à désinfecyer à l'hypochlorite, aléser avec du glyde et Cie.
Alors le problème d'origine endo j'y crois.

Quant à tout couronner peut-être pas, mais avec des moulages, un articulateur et du papier tu peux déjà visualiser la faisabilité en bouche.


phil

07/10/2005 à 23h01

moi j'ai tendance à penser comme toi ....mais ne pas éliminer totalement cette possibilité de rapports avec l'endo.......du toute façon il faut traiter le parodonte........en priorité c'est lui le plus malade pour le moment...
la question qui moi me turlupine depuis le départ car elle conditionne un peu tout :Y a t il eu traitement paro ? En effet il y a 2 ou 3 ans il y avait une lésion .......donc
- soit il y a eu traitement et donc echec ou pb endo paro....
- soit il y a pas eu traitement et dans ce cas le coté endo .. ben j'attendrais


Humator t9r5wy - Eugenol
humator

08/10/2005 à 00h02

ok phil, y a pas eu traitement: à l'époque, un peu dépassé par les evenements... Je pense que je vais commencer, par le commencement: soins locaux à fond, démo... le micro serai le bienvenu pour m'éclairer sur le type de flore présente ( origine endo ou paro). En tout cas se sera avec plaisir qu'on en reparlera sous le soleil du midi.
Steph, je n'ecarte pas la possibilité que tu suggère et effectivement, mettre le cas sur articu est une très bonne idée, merci. En plus, le patient est très sympa et motivé.


phil

08/10/2005 à 00h20

humator Ecrivait:
-------------------------------------------------------
> ok phil, y a pas eu traitement: à l'époque, un peu
> dépassé par les evenements... Je pense que je vais
> commencer, par le commencement: soins locaux à
> fond, démo... le micro serai le bienvenu pour
> m'éclairer sur le type de flore présente ( origine
> endo ou paro). En tout cas se sera avec plaisir
> qu'on en reparlera sous le soleil du midi.

Sans soucis ......documente et amène tout ......

> Steph, je n'ecarte pas la possibilité que tu
> suggère et effectivement, mettre le cas sur articu
> est une très bonne idée, merci. En plus, le
> patient est très sympa et motivé.

normal il est entre les mains d'un praticien lui aussi sympa et motivé !


Squash u44zd8 - Eugenol
steph

08/10/2005 à 00h44

Tiens-nous au courant, je suis curieux de connaitre l'évolution de ton patient.
Bon courage.


Amibien

08/10/2005 à 16h42

C'est très curieux en effet...

Il faut suivre ce que Phil propose...

Il y a certainement beaucoup de stress chez ton patient...

Tu dis qu'il fait du sport, lequel ? Il y a fort à parier qu'il grince les dent pendant l'effort...


phil

08/10/2005 à 17h28

et s'il est pas bien dans son occlusion ne diminue - t il pas ses performances spotives ?


Humator t9r5wy - Eugenol
humator

08/10/2005 à 19h34

il fait du vélo, et du ski de rando ( chaque année bien placé à la pierra menta). Apparement vie très saine de nos montagnes...


Grueavatar nptrc9 - Eugenol
Le Choixpeau magique

10/10/2005 à 15h35

phil Ecrivait:
-------------------------------------------------------
> moi j'ai tendance à penser comme toi ....mais ne
> pas éliminer totalement cette possibilité de
> rapports avec l'endo.......du toute façon il faut
> traiter le parodonte........en priorité c'est lui
> le plus malade pour le moment...

En même temps comment guérir le parodonte si on a un réservoir permanent d'infection provenant de l'endodonte ?



phil

10/10/2005 à 18h44

tu as raison ...tout doit être maitrisé mais rien n'empêche de traiter les pathologies en parallèle.......une fois l'entretien fait le contrôle de plaque est mis en place et si l'on estime une endo nécessaire elle est réalisée.....S'il y a doute sur l'endo on temporise mais on reste vigilant et à l'écoute . dans ce cas il est évident qu'il faut traiter le parodonte .....cela stabilise les endeodontes des dents vivantes aussi !


Blue eye thumb medium dx1i0w - Eugenol
bill

11/10/2005 à 01h54

Phil , tu as vu ce dépassement d'anthologie ? ;-)


Ylfwcw979cz1jnx9gfqeaxndiuzk - Eugenol
Algi

11/10/2005 à 19h04

Un cas en cours: on commence en decembre 2004,36 mobile++++ motive la consultation mais paro généralisée et donc on commence par là.

Traitement soins locaux SEUL depuis decembre 2004 (pas eu le temps de caser la litho/laser,pas eu le temps de s'attaquer à la 36).

On a repris en septembre et la 36 était stabilisée et de mobilité tout à fait supportable depuis plusieurs mois (alors que rien n'a été fait dessus).

Bref, on a commencé les soins sur la 36 y'a "que" 15 jours : en premier lieu j'ai déposé la coiffe puis déposé l'amalgame puis déposé le screw post disrtal. Ensuite j'ai d'abord envisagé reprise endos puis coiffe sur 2 inlay core avec espace pour brossette puis je me suis apperçu que racine mésiale était fendue àla sénace d'aprés et donc dent perdue.

Dent perdue mais dent supportée et stable depuis presque 1 an avec seul traitement paro local (H202/biacr et huiles essentielles).

Noter l'amelioration radio de la quantité d'os entre decembre 2004 et maintenant (alors que je le répéte rien n'a été fait sur cette dent).

ps: on va extraire et sans doute poser un implant et je pense que le site est + à même de recevoir une vis en titane maintenant qu'un an en arriére.


Ylfwcw979cz1jnx9gfqeaxndiuzk - Eugenol
Algi

11/10/2005 à 19h20

impossible joindre images pour l'instant.

esaierai + tard.


Ylfwcw979cz1jnx9gfqeaxndiuzk - Eugenol
Algi

11/10/2005 à 19h23

les images....

ben non!! encore raté...


12