Cookie Consent byPrivacyPolicies.comvos avis m'intéresse.... - Eugenol

vos avis m'intéresse....

arno

07/10/2005 à 12h29

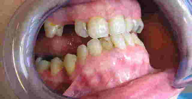
Patiente, environ 30 ans,reçue cette semaine, avec pour motif de consultation une réhabilitation complète de sa bouche + motif esthétique.

Quelques soins à réaliser, ce qui n'est pas un problème, par contre l'occlusion est particulièrement étrange.

Elle se positionne spontanément comme sur les 1ères photos, et je n'ai pas pu la manipuler plus en arrière. En articulé inversé, je retrouve une hauteur normale mais cette position lui cause des douleurs aux ATM.

Claquements bilatéraux aux niveaux des ATM, et un trajet de fermeture en baillonette avec décrochement à droite.

Sur la pano on retrouve cette drôle de mandibule... Infra alvéolie molaire et supra incisive...

On lui a parlé de chirurgie quand elle était ado, mais elle a refusé et n'est pas très chaude pour cette solution aujourd'hui...

Pour les dents absentes, origine carieuse bien sûr, mais elle parle également d'agénésies multiples.

qu'en pensez-vous???
merci
arno

N 1 cy0zq7 - Eugenol
N 2 oo3xsp - Eugenol
N 3 ghszgz - Eugenol
N 4 t4r1xq - Eugenol

arno

07/10/2005 à 12h30

et la pano.

Pano t3nkwa - Eugenol

Fourre tout 05 12 08 017 apc4pu - Eugenol
Pier

07/10/2005 à 18h20

Bonjour,ce qu'il est intéressant de noter, c'est l'aspect des procès alvéolaires, qui sont assez marqués et le fait que tu n'as pratiquement plus de calage occlusal postérieur avec en corollaire une propulsion mandibulaire pour aller mastiquer sur quelque chose.
Apparemment elle était en classe III.
Par contre il manque des éléments.
Comment est la DV, comment se fait la déglutition; avec ou sans interposition linguale, est-elle un" respirateur buccal" avec l'allongement caractéristique de la face.
Avec tous ces renseignements, on popurra y voir plus clair mais déjà, il te faut penser avant toute chose à retrouver un calage postérieru.
Bonne chance


Zoe   son arriv e whwqpj - Eugenol
emma

07/10/2005 à 18h40

beau cas de dentosophie, tu dois amener ta patiente dans la position qu'elle adopte spontanément en surélevant d'autant sa DVO, en augmentant de façon harmonieuse au maxillaire en prenant le plan de Francfort (//à l'horizontale) comme référence et à la mandibule.

Ci joint des photos d'un cas où j'ai surélever l'occlusion de façon drastique et où le patient se trouve très à l'aise.

Avant après 6 mois de dentosophie 2 ujtzfh - Eugenol
Avant après 6 mois de dentosophie uytjeb - Eugenol

Squash u44zd8 - Eugenol
steph

07/10/2005 à 18h44

D'accord avec Pier, retrouver le calage post semble la priorité, comment est la bonne question?
Il existe un problème articulaire à régler tout d'abord, donc une gouttière évolutive pour retrouver une DV, éliminer les symptômes articulaires.
Par la suite c'est une autre histoire, de toute façon de nombreux réglages sont à prévoir a priori.
Courage.


arno

07/10/2005 à 19h57

quelques réponses à vos questions: pas d'interposition linguale, pas respirateur buccal et plutôt une augmentation de la DV.

La position qu'elle adopte spontanément est le bout à bout de la photo 1.

J'avoue ne pas voir comment retrouver une occlusion postérieure, vu l'espace actuel!!

merci de votre aide


Icon poker h4nm2d - Eugenol
jeff

07/10/2005 à 22h40

avec de grandes dents, pour mieux te manger, mon enfant...


Fourre tout 05 12 08 017 apc4pu - Eugenol
Pier

08/10/2005 à 02h25

Je ne voudrai pas te contrer mais pour ce qui est de l'interposition linguale; sur la photo 1 on voit bien la langue qui déborde sur les dents postérieures restantes.
Pour ce qui est de la DV, il y a une raison pour laquelle elle adopte la position 1.
Elle s'y sent plus à l'aise que quand elle est dans une autre position.
Alors; il n'y a pas effondrement de la DV, car il y a eu égression des dents restantes, accompagnées parles procès alvéolaires, mais pour ce qui est de la suite, tu dois tester par des provisoires si une fois les arcades réhabilitées, elle continue à supporter cette situation.
On en revient au cas décrit par Emma.
Il s'agit dans ce cas de pereniser une DV nouvelle choisit par le patient et ce qui semble être une élévation drastique n'est en fait qu'un rétablissement de situation .
Bon courage et bonne chance.
Un cas comme celui-là, il faut l'aborder de façon logique et simple.
La réalisation peut paraitre complexe mais en fait, ce que tu vois est la réaction à une série d'actions qui étaient diriger dans le mauvais sens.
Il ne faut surtout pas intelectualiser le problème.
Retrouve ou trouve le point de départ de cette série d'actions et démèle la pelote.


Cuisinier2 vnbbxx - Eugenol
jeff2

08/10/2005 à 11h39

C'est un trés beau cas et trés interessant.
Je te conseille de prendre ton dossier sous le bras et d'aller voir une grosse pointure de maxillo facial( Tulasne si tu es sur paris)
avec les possibilités qu'il dira pourra faire, tu mettras ton plan de traitement en place.
Mais... attention si la patiente arrive a trente ans avec cette bouche , c'est qu'il y a un passif extrement lourd, même si elle te dit le contraire.
Donc bien connaitre la vie de cette patiente, ces moyens financiers car ca risque d'etre honnereux si on veut eviter la mobile.