Cookie Consent byPrivacyPolicies.com8 sur l'échelle du trouillomêtre - Eugenol

8 sur l'échelle du trouillomêtre

Images 1 qtgoxf - Eugenol
ciwil

11/10/2005 à 00h33

vendredi matin, 9h30
rdv : Mr Kelgalère Martial
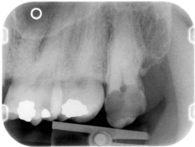
acte prévu: avulsion 28, cariée, coiffée d'une perruque gingivale, des hanches un peu larges et des jambes qui n'en finissent pas.
incision, fraisage osseux mésial pour rompre l'intimité d'avec la 27, en vue d'une séparation de corps incontournable.
je manoeuvre au syndes faucille, au luxateur SDI, pas au Cryer, on n'est pas des sauvages.
mobilisation, luxation, élévatio.....
élévatio....., je recommence élévatio....
elle se met à tourner sur elle même, elle me nargue , du genre :<< t'as dit que j'avais des grosses hanches, tu m'auras pas! >>
OK! je te présente Davier, c'est mon pôte, il va t'emmener danser.
elle cède (toutes les mêmes, elles n'aiment que les brutes un peu bêtas, style Davier, boule à zed, machoîres d'acier, que du muscle, aucune conversation ).
Davier fait pas dans la tendresse, il l'emmène avec son sac à dos de marque "tubérosité de Lonchamp" et lui arrache sa robe.
J'ai honte !
la 27 paraît comme un arbre suspendu en haut des falaises d'Etretat.
pas de suture parce que plus de barbach, j'ai tout donné aux chiens d'Amibien, compression, explications, recommandations, ordonnance, n° de portable perso, à bientôt, euh à très bientôt.
Bon là , j'ai 2 options:

1) on se reprend.
patiente suivante: Mme Géléboul Gaëlle

2) je tente de battre le record du triathlon breton :
course à obstacles jusqu'à la plage puis traversée de l'atlantique à la nage.
pour le vélo on verra plus tard.

reflexion,
décision : avec mon sens de l'orientation, je vais me retrouver au Bosphore, donc patiente suivante.

depuis, appels, pas de douleur, RAS, un peu surpris par l'étendue de la plaie (tu m'étonnes Elton).

qu'est-ce qu'il risque de se passer (risques hémorragique et neuroloqique semblent éloignés) ?

radio demain si j'y pense.


Logo vuaztn - Eugenol
mac

11/10/2005 à 00h38

ciwil Ecrivait:

> qu'est-ce qu'il risque de se passer (risques
> hémorragique et neuroloqique semblent éloignés) ?
>


rien, t'inquiete.


S8ysxdzhdqgw00w4q6m07a5d47q2 - Eugenol
didier72

11/10/2005 à 00h40

rien. Ah si... ça va cicatriser.


Squash u44zd8 - Eugenol
steph

11/10/2005 à 00h43

Très, très bon ciwil.


Image19 iebot6 - Eugenol
athos

11/10/2005 à 01h00

ah Ciwil...juste avant d'aller dodo ça détend...


canard59

11/10/2005 à 09h08

athos Ecrivait:
-------------------------------------------------------
> ah Ciwil...juste avant d'aller dodo ça détend...


Et le matin, ça fait rire, c'est pas confraternel (toutes façons, c'est pas le bon post)mais ça fait rire .


alhoun

11/10/2005 à 13h50

du ciwil pur jus. un peu saignant quand même!!. :)


Images 1 qtgoxf - Eugenol
ciwil

11/10/2005 à 16h04

la suite vendredi...

 étaitbien fgt6zb - Eugenol

S8ysxdzhdqgw00w4q6m07a5d47q2 - Eugenol
didier72

11/10/2005 à 16h13

on voit qu'effectivement elle avait de belles hanches...


Humator t9r5wy - Eugenol
humator

12/10/2005 à 10h04

très bon, le coup du sac à dos! ( j'en ai eu moi aussi des comme ça)


Images 1 qtgoxf - Eugenol
ciwil

14/10/2005 à 20h40

l'image est trompeuse, on voit le palais osseux en perspective mais le trait vertical d'alvéolectomie juste en distal de 27 reflète la réalité clinique.

Aprèsyenamois u5u0iv - Eugenol

Cuisinier2 vnbbxx - Eugenol
jeff2

15/10/2005 à 01h39

belle regularisation de crete osseuse, que tu ne peux même pas coter car faite au cours de la séance d'extraction.
Encore un coup de la cpam


Amibien

16/10/2005 à 00h24

Si j'ai une huit comme ça, je fait l'endo, la reconstruction et la couronne en céramique... quatre heures de boulot et je demande au moins 1.800 euros...

Mon prothésiste rigole toujours là-dessus car sur son carnet de commande les huit ne sont pas prévues..

Pense à faire des couronnes...

Par contre si j'ai une huit pire que ça à extraire, je prends la zekrya et je la fraise en quatre, en six s'il le faut mais je ne force jamais, le risque hémorragique est quand même important dans cette région si tu fractures les tables osseuses...


Images 1 qtgoxf - Eugenol
ciwil

16/10/2005 à 02h41

"Si j'ai une huit comme ça, je fait l'endo, la reconstruction et la couronne en céramique... quatre heures de boulot et je demande au moins 1.800 euros..."

telephone à Athos, demande lui de te fourguer sa 4L et en une semaine, pour 100000 euros, tu lui en fais une ferrari.

sacré Amibien, toujours aussi....
déconneur


al

16/10/2005 à 08h39

ciwil Ecrivait:
-------------------------------------------------------

> qu'est-ce qu'il risque de se passer ?

Rien, que veux-tu qu'il se passe ? A part celui du très joli narratif, tous ceux qui ont font de l'avulsion de la 8 sup, une occupation fut-elle très épisodique, peuvent raconter des histoires dans le même style.

Par contre, moi je vois sur tes radios, des amalgames, qui mériteraient eux aussi des avulsions, mais beaucoup plus conservatrices ;)

Non j'arrête, je vais me faire traiter de criminel par quelques esprits chagrins. Et qui sait, on va même me demander si j'ai des études, sur la transformation des 4L en Ferrari.


Logo vuaztn - Eugenol
mac

16/10/2005 à 11h23

al Ecrivait:
-------------------------------------------------------

> Par contre, moi je vois sur tes radios, des
> amalgames, qui mériteraient eux aussi des
> avulsions, mais beaucoup plus conservatrices ;)
>



Al malgré tout le devoir de confraternité que je te dois je me vois dans l'obligation de contacter l'OMS ;-)


Image19 iebot6 - Eugenol
athos

16/10/2005 à 11h28

pfff...
maintenant j'ai des doutes angoissants...
ma 4l est elle encore aux normes?...


Utilisateur anonyme

16/10/2005 à 11h33

Bah! t'affole pas il sufit de mettre des ampoules neuves et de changer les balais d'essuie glace et c'est reparti!


Amibien

16/10/2005 à 14h21

ciwil Ecrivait:
-------------------------------------------------------
> "Si j'ai une huit comme ça, je fait l'endo, la
> reconstruction et la couronne en céramique...
> quatre heures de boulot et je demande au moins
> 1.800 euros..."
>
> telephone à Athos, demande lui de te fourguer sa
> 4L et en une semaine, pour 100000 euros, tu lui en
> fais une ferrari.
>
> sacré Amibien, toujours aussi....
> déconneur
>
>


mais non mon bébé.... je peux te montrer des cas... le temps de les retrouver... et puis as-tu seulement proposé à ton patient de garder la dent ou as-tu décidé toi-même de la virer en même temps que la moitié de sa mâchoire ? Je suis sût qu'il aurait préférer allonger plutôt que de se faire mutiler... hé hé hé

elle est belle a dentisterie moderne... franchement c'est qui qui a déconné avec le patient ? non mais !


Avatar ow44t3 - Eugenol
Chicot

16/10/2005 à 16h14

Je rejoins l'ami amibien:

as-tu envisagé la possibilité de conserver cette sagesse ?

Tu as mis en péril la santé paro de la 7 (falaise d'étretat) pour virer une 8 sans atteinte paro-endo.

Vu les clichés elle semble accessible alors pourquoi pas: endo-ic-co avec une éventuelle élongation coron. ?

eh oui, tout n'est pas si simple, ton patient pourra-t-il évoquer un manquement au devoir d'information, une perte de chance ou une mutilation volontaire devant les tribunaux ???

Ne rions pas, ça arrive, même la sécu s'y met. On m'a rapporté le cas où il y a plainte en pénal de la sécu pour des bridges sur dents saines malgrès consentement éclairé du patient au motif que ce type d'acte ne fait plus partie des données acquises de la science quand un implant peut-être posé "de façon simple"


Images 1 qtgoxf - Eugenol
ciwil

16/10/2005 à 17h06

Chicot Ecrivait:
-------------------------------------------------------
> Je rejoins l'ami amibien:

BON COURAGE!

> as-tu envisagé la possibilité de conserver cette
> sagesse ?

J'AI CONSERVE LA SAGESSE DE L'EXTRAIRE


> Tu as mis en péril la santé paro de la 7 (falaise
> d'étretat) pour virer une 8 sans atteinte
> paro-endo.
>
> Vu les clichés elle semble accessible alors
> pourquoi pas: endo-ic-co avec une éventuelle
> élongation coron. ?

T'AS RAISON SIMON, PROPOSER UNE ELONGATION CORONAIRE POUR SAUVER UNE 28 SOUS-MUQUEUSE A QQ'1 DONT LA MOITIE DES DENTS EST DANS LE MEME ETAT QUE TON PSEUDO ET QUI NE VIENT QU'EN URGENCE ME PARAIT JUDICIEUX MAIS JE RISQUE DE NE PAS Y PENSER A JEUN

> eh oui, tout n'est pas si simple, ton patient
> pourra-t-il évoquer un manquement au devoir
> d'information, une perte de chance ou une
> mutilation volontaire devant les tribunaux ???

J' EVOQUERAI L'ALEA THERAPEUTIQUE, LA 27 SE PORTE COMME UN CHARME SI CA PEUT TE RASSURER



Amibien

16/10/2005 à 20h03

Un aléa thérapeutique qui te coûte bonbon et qui te rapporte des clopinettes... et ton patient rencontrera un jour un "cher confrère" qui dira :"Mais !!! qui vous a mutilé à la dynamite ?"

Pour te rassurer, je procède de la sorte depuis le jour où la tubérosité est venue avec la dent et un morceau de membrane de schneider.... hi hi hi


bloumbloum

19/10/2005 à 01h11

T'as bien fait de l'emlever,je ne crois pas possible a moins de passer par le conduit auditif ,de faire une taille correcte de la dent pour placer une couronne.sans parler du scellement etc.
La tuberosite qui vient avec ,c'est malheureusement un truc qui arrive,et on s'en remet ,toi,comme le patient.Ce qui est etonnant ,c'est que meme quand on est conscient du risque de fracture,il n'y a pas grand chose a faire,mais j esuis pret a apprendre.....


Images 1 qtgoxf - Eugenol
ciwil

02/01/2009 à 15h41

re-
ce matin, j'ai cueilli le bulot, le rocher et les algues
je HAIS les 28.


S8ysxdzhdqgw00w4q6m07a5d47q2 - Eugenol
gai-luron

02/01/2009 à 16h06

et surtout, tu as retrouvé le post, plus de 3 ans après.


12