Tous les forums
dentisterie gériatrique
18/10/2005 à 23h49
Plusieurs cas de reconstitutions sur des patients âgés mais ne voulant pas être considérés comme des vieux
1er cas patient de 82 ans
19/10/2005 à 00h39
Emma, tu es fatigante... ta facilité (au moins vue d'ici) à réaliser toutes sortes de cas de façon aussi "idéales" est tout simplement démoralisante...
Pas de méprise... C'est une remarque admirative.
19/10/2005 à 09h50
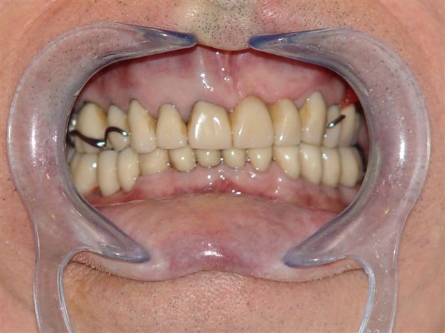
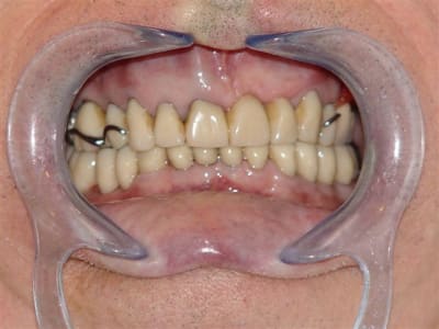
Un autre cas, patient 91 ans, désirant ne plus avoir d'appareil à la mandibule, très exigeant.
Après avoir éliminé les implants, nous avons opté pour un bridge complet avec extensions postérieures et un complet haut, avec surélévation de la DVO.
Premier essai, la gamelle, la perte osseuse au niveau des édentations donnait un rendu esthétique désastreux ( vous voyez que ça m'arrive de rater quelque chose, mais dans ce cas je recommence jusqu'à ce que ce soit acceptable).
J'ai réfléchi, eh oui, ça arrive aussi aux blondes et j'ai pensé aux réalisations sur implants avec fausses gencives ce qui a été fait remarquablement bien par mon prothésiste et, au bout de 2 mois de traitement, le patient est reparti tout heureux avec ses nouvelles dents.
19/10/2005 à 11h30
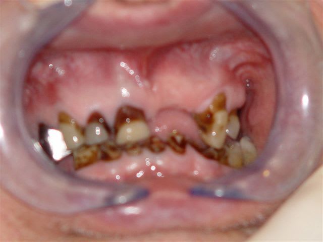
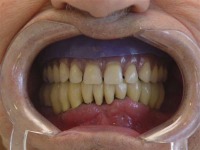
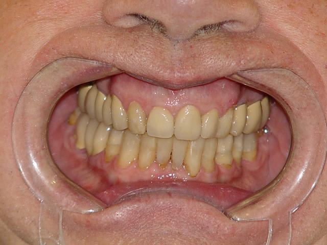
suite des photos du cas précédent, excusez moi pour la qualité de certaines images, je ferai mieux la prochaine fois, je dois revoir ce patient car quelques retouches étaient nécessaires, pose définitive mardi.
19/10/2005 à 13h28
didier72 Ecrivait:
-------------------------------------------------------
> tu as aussi refait le sup?
Regarde bien la photo de départ, l'occlusion étant loin d'être top et le complet porté par le patient étant très ancien (il a un nouvel appareil depuis un an, mais ne le porte pas car il est insupportable)oui, j'ai refait le haut pour corriger l'occlusion.
19/10/2005 à 13h31
encore un cas: patient de 71 ans, traité en dentosophie depuis fevrier, je ne peux pas vous montrer les photos du visage, c'est dommage, car ce patient a totalement changé d'aspect depuis 8 mois et en mieux bien sûr, une véritable métamorphose, une renaissance!
19/10/2005 à 13h38
adhoc Ecrivait:
-------------------------------------------------------
> >
> Il fait de la résistance?
Pas le papy, le complet haut Adhoc
:)
19/10/2005 à 21h24
dans le dernier cas quel a été l'apport de la dentosophie?
sinon, bin... compliments répétés, hommages appuyés, envie non dissimulée légèrement teintée de jalousie....
19/10/2005 à 23h32
athos Ecrivait:
-------------------------------------------------------
> dans le dernier cas quel a été l'apport de la
> dentosophie?
Tout d'abord, merci à tous et toutes pour vos encouragements, c'est tellement sympa de redonner une certaine dignité à nos ainés en écoutant leurs doléances et en essayant de répondre à leur attente.
pour te répondre Athos, je dirais que ce cas est de la dentosophie pure et dure.
C'est avec et par la dentosophie que j'ai pu réhabilité l'équilibre global de ce patient.
Va voir ton mail privé, je te posterai les résultats sur la physionomie du patient.
19/10/2005 à 23h41
Emma, si douce et toujours là...je verrai cela demain a mon cab, merci...
rectif! j'ai reçu chez moi les premieres photos...tres étonné du resultat! en effet, convaincant...j'ai hate de voir la suite! des horizons inconnus s'ouvriraient ils encore?!...
tres sympa de ta part en tous cas...
19/10/2005 à 23h57
Je viens d'essayer de faire des recherches sur Eugenol et je n'ai rien trouvé : qu'est ce que la dentosophie?
20/10/2005 à 10h45
Merci sbire
Besombes, Soulet, Padovan, Da Cunha, Planas, personnages connus et si méconnus !
Dur, dur, pour ceux qui n’étaient pas là au début d’eugenol.
Mêlée, enchevêtrement, mélange de genres, techniques de dépistage analyse et synthèse complexes mais ô combien salutaires pour le bien être des patients perdus dans le labyrinthe des cabinets ignares de ces connaissances.
Vues et appréciées par l’autre bout de la lorgnette, les controverses de Algi, Emma, Isaïe, Jeff2, Occlusion, Trismus et j’en oublie.
La table est mise ne manquent que les convives.
20/10/2005 à 23h38
Athos, maintenant que tu as trouvé une spécialiste en dentisterie gériatrique, tu peux prendre un RV...hi..hi..
20/10/2005 à 23h39
athos Ecrivait:
-------------------------------------------------------
> tu as fait aussi la dent à Sophie Sbire?
???
20/10/2005 à 23h49
athos Ecrivait:
-------------------------------------------------------
> tu as fait aussi la dentosophie Sbire?
Non, pas pour le moment...trop de choses en cours mais l'an prochain pourquoi pas.
Tu viens?
20/10/2005 à 23h56
bin, au debut j'étais tres sceptique, voir meme retif...peut etre le nom, dentosophe...mouais....bof.
mais les quelques resultats que j'ai pu voir sont tout de meme assez étonnants, le concept cependant m'ecchappe totalement; mais je n'ai jamais été déçu en suivant les conseil de notre blondissime, alors....
20/10/2005 à 23h57
ZORBECA Ecrivait:
-------------------------------------------------------
> Athos, maintenant que tu as trouvé une spécialiste
> en dentisterie gériatrique, tu peux prendre un
> RV...hi..hi..
tu peux toujours rire, mais pour voir Emma j'accepterai bien de vieillir encore un peu plus vite...
21/10/2005 à 00h17
sbire Ecrivait:
-------------------------------------------------------
> athos Ecrivait:
> --------------------------------------------------
> -----
> > tu as fait aussi la dentosophie Sbire?
>
>
> Non, pas pour le moment...trop de choses en cours
> mais l'an prochain pourquoi pas.
>
> Tu viens?
L'an prochain pas possible c'est soit cette année soit dans deux ans.