Cookie Consent byPrivacyPolicies.comun autre univers... - Eugenol

un autre univers...

al

28/10/2005 à 18h21

adhoc Ecrivait:
-------------------------------------------------------

> Je pense qu'il a voulu dire

adhoc je pense que tu penses très mal. c'est très gentil à toi d'essayer de jouer les conciliateurs, mais il n'y a rien à concilier.

définitivement, il y a ceux qui savent tout sur tout, et qui le font savoir avec la hauteur condescendante qui convient à leur immense savoir, et les autres tous petits dont je fais partie.

je te signale à toutes fins utiles, qu'on a jamais vu le grand maître, poster le moindre de ses travaux, puique je te rappelle, en principe le but de tout celà, c'est de soigner au mieux les patients.

donc j'aimerais bien voir des choses. moi j'en ai posté, mais il paraît que c'est quelconque. j'aimerai voir toutes ces merveilles obtenues régulièrement grâce aux techniques/tests/jugements etc.

bref, en d'autres termes, on aimerait bien autre chose que du blah, blah, blah.


alhoun

28/10/2005 à 18h48

Clémenceau, un grand petit homme à moustache , disait, en parlant de l'andouillette:
l'andouillette, c'est comme la politique, il faut que ça sente la merde, mais pas trop.
on pourrait rajouter que trop d'andouillette tue l'andouillette. passer de l'andouillette morte à l'andouille est un peu tiré par les cheveux, je vous le concède, mais je suis obligé de constater que Marc Apap est une andouille. qui n'a pas toujours tort, cela va de soi. par exemple, il est évident que dans le cas de sbire, les loupes donnent du bide. à moins que ça ne soit l'andouillette! mais je m'égare.
donc, mon cher Marco, il y a une unanimité chez tous les utilisateurs d'aides optiques, des loupes grossissantes pour la plupart, et toi qui ne t'en sers pas viens nous asséner que c'est de l'andouillette? pardon, de la merde? franchement, on croit rêver. on t'as vu plus pertinent, plus argumenté, mais là, franchement?
je l'ai déjà dit: depuis que je les ai, je ne les enlève que pour prendre ma douche et pour manger (des andouillettes de chez bobosse), je constate une amélioration dans ma position, même si ma nuque semble plus penchée, j'ai les yeux reposés après une journée de boulot et surtout, puisqu'on travaille à la sueur de son front, je vois des choses insoupçonnées qui me facilitent grandement le travail, et donc une qualité accrue.
que les loupes aient des inconvénients, sans doute, mais comme en toute chose, il faut peser le pour et le contre, et si le pour l'emporte, tant pis pour toi.
arrête de faire l'andouille.


Ivetol gth5hw - Eugenol
ivetol

28/10/2005 à 18h55

Marc Apap Ecrivait:
-------------------------------------------------------
> Bravo Emma, et merci d'avoir eu le courage de te
> montrer
> Je constate que tu as tout de même la tête
> fortement penchée vers le bas, et que ta distance de travail (enfin, celle à laquelle tu places l'objet que tu regardes, un endo-stand il me semble) ...

Blablabla, c'est hallucinant !


Moi je vais en rajouter une couche : Tu demandes des photos pour voir comment on se tient quand on travaille : C'est comme si je postais une photo de Fernando Alonso dans sa voiture et que tu arrivais à dire comment il conduit et s'il va avoir mal au dos ! ( Alors qu'il est peut-être arrêté au feu rouge à regarder la belle blonde Catrose qui vient de traverser... )

4 Points : (Je vais faire comme toi Marco)

* Tu ne peux pas juger des "defauts" des loupes sur une image statique mais à la limite sur une vidéo ou tu vois le praticien travailler.

* A moins que tu aies 10/10 aux 2 yeux, je ne vois pas comment tu aurais pu essayer des loupes correctement, car il faut qu'elles soient correctrices et réglées à ton écartement bipupillaire et ta distance de confort de travail. (Ta distance focale préférée en qq sorte )

* Moi aussi j'ai éssayé tout autre engin à moins de 200 € (avant de mettre la main au chéquier car ce n'est pas donné certes)et je peux te dire que cela n'a RIEN à voir. C'est comme si on comparait en photo un objectif 70 mm 3:5 à 150€ avec un 70 -Nikon ouverture 1:2 stabilisé à 1500 €.

* Enfin, si tu trouves qu'on penche trop la tête vers le bas avec des loupes, cela voudrait dire qu'on regarderait le champ opératoire par-dessus les loupes! ( un peu comme ceux qui portent des demi-foyers et qui regardent au loin par-dessus et en baissant un peu la tête )Cela n'a pas de sens !


Logo vuaztn - Eugenol
mac

28/10/2005 à 18h58

je sors le goudron et les plumes?


S8ysxdzhdqgw00w4q6m07a5d47q2 - Eugenol
didier72

28/10/2005 à 19h01

je voudrais juste vous signaler que le message de 13h56 où il est dit qu'il vaut mieux pas de loupes que des loupes est signé Apap Marc en noir, et non Marc apap en bleu...


al

28/10/2005 à 19h17

sbire Ecrivait:
-------------------------------------------------------
> hop

sbire offre toi d'urgence une fibre optique, tu verras c'est le jour et la nuit.


Audi tt 2007 jzsdts - Eugenol
sbire

28/10/2005 à 19h19

prévu sur le nouveau mathos d'ipala à nice.

le microscope op est passé en priorité.



Ca fait maigrir?


al

28/10/2005 à 19h30

sbire Ecrivait:
-------------------------------------------------------

> Ca fait maigrir?


le compte en banque certainement... pour le reste essaie l'andouillette


catrose

28/10/2005 à 19h43


Shabbat Shalom a vous tous aussi...


Amibien

28/10/2005 à 19h44

the king Ecrivait:
-------------------------------------------------------
> le jour où la sécu reconsidérera les honoraires
> d'un traitement de racine, là j'achèterai meme un
> microscope à balayage s'il le faut!!!


J'ai compris pourquoi la sécurité sociale rechigne à revaloriser les soins dentaires, en fait la plupart des dentistes travaillent comme des manches et même si les soins sont revalorisés les manches ne travailleront pas mieux pour la cause... alors ton microscope tu ne l'auras jamais...


Amibien

28/10/2005 à 19h47

Loic Ecrivait:
-------------------------------------------------------
> agree 100 % avec stephane, cela fait 8 ans
> maintenant que je travail sous microscope... Je
> dirais tout de même qu'il y a une période
> d'adaptation un peu difficile a passer car il
> n'est pas évident de travailler en vision
> indirecte (enfin moi j'ai eu du mal). Il m'a fallu
> personnellement 6 mois (et oui je suis lent).
> Au debut, je mettais 5 min a trouver la bonne
> position pour voir la dent deja et ensuite pour la
> voir nette !
> Maintenant, mon microscope me sert pour jeter
> simplement un coup d'oeil ou pour carrement faire
> tout le soin. J'en suis a mon deuxieme micro car a
> l'époque ou j'ai acheté le premier, il était
> destiné aux ORL, sans camera etc... J'ai donc
> reinvesti ds un pico le jour ou Zeiss l'a sorti.
> Cela fait 3 ans que je l'ai et dans 10 ans, il
> sera comme neuf. Seul probleme rencontré, une
> consommation de lampes qui est assez honnereuse.
> sinon, aucun regret.
> 15 000 euros c lourd mais au niveau communication,
> qualité de travail, plaisir... ca les vaut.
>
> Loic


Loic, on ouvre un cabinet à nous deux ?


alhoun

28/10/2005 à 20h00

catrose Ecrivait:
-------------------------------------------------------
> > Shabbat Shalom a vous tous aussi...
>
>


hé, nous on se fait pas mater par alonso!

mais shabbat shalom à toi aussi :)


Image19 iebot6 - Eugenol
athos

28/10/2005 à 21h39

heu...pareil.

sinon, Sbire, tu sais que t'es beau dans l'effort?!...


al

28/10/2005 à 21h49

athos Ecrivait:
-------------------------------------------------------
> heu...pareil.

comme ça a l'air d'être de l'hébreu pour toi je vais t'expliquer.

shabbat, viens de sabbatique, qui comme chacun le sait veut dire glander. d'ou année sabbatique.

shalom, est le contraire de shalfemme. comme chacun sait aussi, catrose étant blonde, elle s'adresse aux seuls hommes.

donc traduction : salut à toi glandeur à longueur d'année.

c'est du propre tout ça. shalom et shalfemme à tous aussi.


Image19 iebot6 - Eugenol
athos

28/10/2005 à 21h51

aie!!!! aurais je insulté quelqu'un? bon bin pareil quand meme!


canard59

28/10/2005 à 21h51

Hé Sbire, j'ai les mêmes que toi ...



De blouses .

(du bidon ausi, ça doit être la coupe des blouses )


Audi tt 2007 jzsdts - Eugenol
sbire

28/10/2005 à 21h56

je me disais aussi.. c'était soit ça soit mon ad qui traffique sous photoshop pour m'embêter et comme je l'ai pas ce logiciel...ça me rassure. Merci!


Marque a3 orange fyvhyq - Eugenol
Marc Apap

28/10/2005 à 22h42

Ivetol, quelle marque de loupes as-tu ?



Marque a3 orange fyvhyq - Eugenol
Marc Apap

28/10/2005 à 23h01

Suite et précisions : je répète que pour la santé du praticien, il est préférable de travailler sans loupes qu'avec des loupes qui entraînent un port de tête plus penché.
Il est possible que mes essais aient été faits avec des systèmes qui ne me conviennent pas (ce n'était pas une question de réglages, ils étaient faits pour moi). Il est possible également que mon prothésiste, qui a des loupes Orascoptic faites sur mesure, soit lui aussi inadapté à ces loupes ( à moins que ce ne soit le contraire) parce qu'il penche plus la tête avec les loupes que sans. Ce qui est sûr, c'est qu'il ne s'en était pas aperçu avant que je le lui fasse constater. Un de ses collaborateurs a pu le vérifier aussi.
Il est donc possible que, malgré le plaisir et le confort de vision offert par les loupes, certains d'entre vous ne se soient pas aperçus que leur tête était encore plus penchée. Il est également possible que cette mauvaise attitude ne les gêne pas. Il est également possible que tout soit parfait pour eux, car l'angle de déclinaison des loupes leur correspond.
Personnellement, je ne supporte pas (physiquement, car je souffre) d'avoir la tête exagérément penchée vers le bas.
Ce que j'écris là n'est pas une idée personnelle.:
J Am Dent Assoc. 1999 Jul;130(7):1096-100.

Declination angle and its role in selecting surgical telescopes.

Rucker LM, Beattie C, McGregor C, Sunell S, Ito Y.

Department of Oral Health Sciences, Faculty of Dentistry, University of British Columbia, Vancouver, Canada.

BACKGROUND: Clinicians usually expect manufacturers to provide properly adjusted surgical telescope products. However, to ensure optimal selection and adjustment, the clinician must understand certain contributing factors, particularly the optical declination angle. METHODS: The authors have developed a simple, stepwise approach for determining a clinician's optimal working posture and declination angle. This information is then applied to each specific surgical telescope to assist the clinician in ascertaining whether the telescopes comply, or can be made to comply, with the individual needs of the clinician. RESULTS: After the optimal working posture and declination angle have been identified and defined, any surgical magnification system can be evaluated for suitability and proper adjustment. CONCLUSIONS: Declination angle is a key feature in the selection and adjustment of surgical telescope systems, permitting telescopes to be adjusted to meet the clinician's needs instead of forcing the clinician to make compromises to fit the telescopes. CLINICAL IMPLICATIONS: Properly selected and well-adjusted surgical telescopes can enhance dental operating postures and positions, resulting in sound clinical ergonomics. Poor selection and adjustment can result in poor postures and positions.


Audi tt 2007 jzsdts - Eugenol
sbire

28/10/2005 à 23h11

bon ok mais pour avoir fait attention à ce genre de considération ergonomique, je n'ai pas ressenti de tel problème.
La photo? C'est pas OK?

il est evident que si tu prends une distance de travail à 3mètres, c'est pas fameux, dans mon cas, je suis à 30cm et le patient étant assez haut, ça me va même si je trouve le système casque un peu encombrant et les réglages sont à refaire de temps en temps. Par contre, l'angle de visée est réglable puisque loupes montées sur rotule.

Pour ton labo, à mon avis, puisqu'il n'a aucun impératif par rapport au patient, la distance de travail mesurée pour ses loupes est trop courte, c'est tout.


Pa050055 igyagy - Eugenol
MARK

28/10/2005 à 23h14

bonsoir les mecs, j'arrive après la bataille.
j'ai raté la bagarre en direct, je vais pas me retaper le fil en entier, voici quelques questions auxquelles il ne m'a pas semblé trouver de réponses.
ayant essayé loupe et fibre, mes quetions s'adressent aux experts et/ou utilisateurs ici rassemblés:
- les loupes à travers les verres de lunette, semblent moins encombrantes, et compatibles avec une correction de myope pour une vision large par dessus les loupes, vrai ou faux?
- peut-on accentuer l'inclinaison de ces loupes vers le bas, éventuellement à travers un verre bombé vers le bas, afin de limiter la position penchée de la tête?
- dans cette disposition, est-il à craindre que la fatigue gagnée sur l'inclinaision au niveau de la nuque, se traduise par une fatigue occulomotrice du fait de l'inclinaison du regard vers les pommettes?
- peut-on imaginer, ou trouver, des loupes, à travers ou collées sur lunettes, dotées de prismes rattrapant cette angulation de la nuque ou du regard, jusqu'à permettre le redressement total des deux, à l'instar de la position de travail sur microscope?
- le port de fibre lumineuses sur bandeau séparé, n'est-il pas préférable à sa fixation sur lunettes, pour en amoindrir le poids et l'encombrement, y compris du champ visuel au dessus des loupes?
- par ailleurs, de cette manière, n'est-il pas souhaitable de pouvoir profiter si nécessaire de la fibre, sans les loupes?
- enfin les loupes amovibles avec potence articulée à fixer sur lunettes, s'accomodent-elles sur des lunettes correctrices, et ne sont-elles pas plus contraignantes en manipulation-réglages, comme en limitation du champ visuel, par l'encombrement de celui-ci au delà des loupes?

à tous bonsoir et merci de vos réponses intelligentes, issues de votre expérience!


Marque a3 orange fyvhyq - Eugenol
Marc Apap

28/10/2005 à 23h18

Sbire, tu es vraiment têtu : il ne s'agit pas d'une question de distance de travail !


Marque a3 orange fyvhyq - Eugenol
Marc Apap

28/10/2005 à 23h23

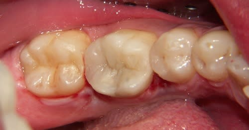
Pour al : inlays en Miris sur 36 et 35. Sur la 37, j'avais préalablement fait une obturation OM, qui passe mieux inaperçu, en méthode directe avec exactement les mêmes teintes du même composite. L'aspect grisé est sans doute dû à une couche dentine insuffisante, ou (c'est la conséquence) une couche émail trop importante. Il est donc intéressant de voir qu'en fonction de l'épaisseur des couches, indication qu'il est difficile de donner au prothésiste, on peut avoir des effets différents. Le patient est quand même très content.

Avant1 f7hsib - Eugenol
Digue1 ez17hg - Eugenol
Fin1 uxhf5f - Eugenol

Pa050055 igyagy - Eugenol
MARK

28/10/2005 à 23h25

éh non , c'est pas les centimètres, c'est les degrés qui fonch...


Audi tt 2007 jzsdts - Eugenol
sbire

28/10/2005 à 23h25

quand même un peu non il me semble!!!

j'suis têtu mais je me soigne marc!

si quand tu regardes une dent qui ne peut ^étre nette qu'à 40cm de tes yeux, le patient est situé plus bas donc tu penches la téte. NON?

si la distance est ramenée à 30cm, ou t'es stupide, ou tu montes le fauteuil, l'angle de vision diminue donc (!!) et l'inclinaison du cou également. C'est pas ça ou j'suis trop bête?
Je me souviens plus trop de mes cours de physique en sup mais à mon avis, ça y fait un pau, non?


apres que les systèmes comme orascoptic aient des angles prédéterminés qui obligent pour "viser" de pencher la tête, j'en sais rien...
As tu testé le systme casque zeiss??? il a pour intérêt de pouvoir être tester puisque pas sur mesure.
Si oui recommence sinon ta g.... ou alors je te prête une paire. Il faudra un certain apprentissage mais tu devrais y ariver.

Ou alors explique pourquoi ce phénomène se passe.


1...456...