Cookie Consent byPrivacyPolicies.comcas clinique: besoin d'aide!!! - Eugenol

cas clinique: besoin d'aide!!!

limlim

08/12/2005 à 08h12

C'est plus facile avec les moulages de depart.
Pour moi on est en face d'un probleme de deglutition infantile qui est surement a l'origine de l'endognathie maxillaire et qui perturbe toute l'occlusion qui effectivement ne ressemble a rien de stable(pas de contact sur les points d"appui primaire).Ceci expliquant aussi les prbs de DV.
Reeducation linguale a cet age ??????? Je n'y crois pas trop.
L'appareil de contention aggrave le probleme linguale car il prend la place necessaire a la langue pour bien se positionner.
Je suis pres a donner la moitie de mes honoraires a qui m'explique comment corriger a tous les coups une deglutition infantile et une respiration buccale.


isaïe

08/12/2005 à 08h30

Pas certain de la responsabilité première de la déglutition infantile.
Ce qui est sûr par contre, c'est qu'il fallait une expansion du max sup en denture lactéale pour intercepter le plus tôt possible l'articulé croisé (à 3 ou 4 ans par exemple, c'est obtenu en moins de 3 mois, record actuel: 15 jours) L'abstention dans ces cas induit une croissance asymétrique jusqu'au bas de la colonne vertébrale. L'attente est pathogène et radiologiquement décelable.

La main gauche plus haute signe une hypotonie droite.
S'il existe vraiment une asymétrie sans IM, il est utile d'en trouver l'origine: piercing, anneau contraceptif (qui donne hypo gauche), lentilles de contact, cérumen unilatéral, bague trop serrante, etc...
Comme le dit Limlim, le retour du blocage vertical sur les cuspides d'appui primaires est LA priorité, la langue suivra si la symétrie du tonus musculaire général est obtenue en bout de course.
A noter que j'ai des tas de patients qui interposent, parfois à temps partiel d'ailleurs, avec ou sans perte de DV et sans le moindre souci ni atm ni à distance et ce, depuis des années. Par contre, 50 microns de côté et on crashe.

Note.
C'est pas le sujet, mais l'interception précoce de ce genre de cas avec plaque et patins occlusaux, permet par les patins de retrouver immédiatement une symétrie de tonus musculaire, contrairement aux plaques d'expansion sans patins, aux collages de compo unilatéraux (Planas).


Ylfwcw979cz1jnx9gfqeaxndiuzk - Eugenol
Algi

08/12/2005 à 14h55

"Le seul truc qui me fait mal au bide, c'est d'avoir à coller des onlays compo sur des dents absolument saines et exemptes de caries ou de reconstitutions.

Que feriez-vous si c'était votre fille qui était dans ce cas???"

Perso j'ai des cuspides molaires avec des pentes à 40/45°, les pentes condyliennes suivent et mes problémes ATM sont sans doute à lier à cette morphologie à la con.

Selon Gerber et planas, les pentes cuspidiennes/pentes condyliennes devraient être maxi de 15 à 10°...

Me concernant ça signifie soit meulages extrémes soit inlays pour combler les fosses et arriver à des pentes plus sages....

J'hésite depuis bientot 2 ans à le faire mais sans doute je vais me jeter en 2006....



A ce titre: question à Humb, Isaie, jeff, jeff2 et pas "l'autre" (;0)): êtes vous d'accord sur "ça", sur le fait que des pentes condyliennes à plus de 25/30° soient pathologiques?


Cuisinier2 vnbbxx - Eugenol
jeff2

08/12/2005 à 15h39

Algi Ecrivait:
A ce titre: question à Humb, Isaie, jeff, jeff2 et pas "l'autre" (;0)):

Je crois que l'"autre" aurait le droit de donner son avis (sans references biblio , bien sur)

êtes vous d'accord sur le fait que des pentes condyliennes à plus de 25/30° soient pathologiques?

Peute tre, mais des pentes condyliennes, je ne vais pas m'amuser a les meuler..
par contre des pentes cuspideiennes reduites vont sans aucun doute provoquer une relaxation neuro musculaire par le moindre effort a faire et encore tout depend de l'age. A 40 ans , ca me fait mal au coeur de voir des pentes cuspidiennes a 35 degre chez des marothoniens de mangeurs de pates et qui viennent te voir pour des problemes de tendinites..
Mais ca sert a rien de les reduire, ca peut aussi servir a reduire leur AFMP, mais avant de passer par une plaque pour reduire leur AFMP a zéro et deur leur faire courir un marathon avec cette plaque (inférieure?

Maintenant question plus orthodoxe..
J'ai passé de 12 a 23 ans a grincer des dents de facon a user mes canines, meme qu'a la dentoclinic il m'ont demandé qui avait usé mes canines ( afmp egaux et tres faibles)
Il faut sans doute du temps pour meuler ses dents (symbole) ronger son frein (symbole)
il reste cette grande enigme du livre ouvert dont parle le docteur Caffin quand on ouvre la bouche de nos patients, mais chacun a son parcours, faut'il toujours regler? meuler? rajouter? de quoi qu'on se mele?



isaïe

08/12/2005 à 16h06

si la mise en im ou les latéralités entraînent une asymétrie, je pense qu'il faut corriger, le patient est en danger.
Pourquoi je le pense? Parce que la correction supprime un tas de pathologies à distance. Statistiquement imparable.
Les pentes cuspidiennes sont à corriger dans la mesure où les mouvements provoquent des asymétries toniques, sinon pourquoi modifier?


Ylfwcw979cz1jnx9gfqeaxndiuzk - Eugenol
Algi

08/12/2005 à 16h12

Ben justement pasque malgré meulages, bruxisme outrancier et usures qui vont avec, gouttieres et autres SB je continue à pas être bien dans mes dents et à entendre de loin en loin de sales bruits dans mes ATM....

Oilà!!

Bon, je sais, c'est un forum de praticiens et pas de patients mais en l'occurence j'ai changé de casquette, et toc!


isaïe

08/12/2005 à 17h27

Faudrait peut-être qu'on se refasse une rencontre?


Ylfwcw979cz1jnx9gfqeaxndiuzk - Eugenol
Algi

08/12/2005 à 20h44

Et pourquoi pas! Depuis le temps que je dis qu'il faut que tu nous fasse une belle et bonne conférence sur les bras!

A caser dans les prochaines rencontres confraternelles au soleil?

En ce qui me concerne faudrait disposer d'un fauteuil ou au moins un micro tour pour memeuler un peu.

De mon coté je vais sans doute tenter les collages (je le fais bien à mes patients ce serait un comble que je teste pas sur moi, non?).

Ensuite si je continue à être mal foutu ben restera lourdes ou occlusion.... t'imagine ma geule avec des REIOR et des GAL partout? ;0)

ps: je déglutis dents serrées et langue au palais, pas vraiment le type DSD... mais comme je me suis pas filmé en 16 images secondes.....


Images eb1m5g - Eugenol
tonio

08/12/2005 à 22h59

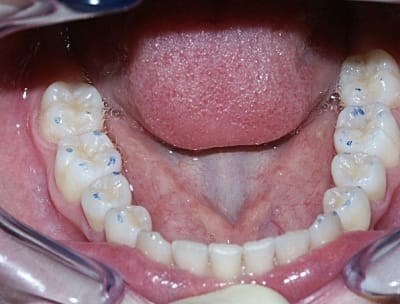
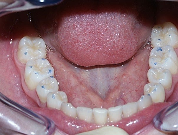
merci de vos réponses, voilà la suite...

d'abord je fais un erratum: les douleurs sont localisées à l'ATM droite et non pas à gauche comme je le disais plus haut.


Je vous livre le compte rendu fait par le radiologue sur le télérachis:

- pas de bascule pelvienne.
- pas de déviation scoliotique.
- hyperlordose lombaire significative.
- pas de spondylolyse.
- on note une petite surcharge au niveau des articulations postérieures en L5-S1 liée à l'hyperlordose lombaire.



Compte rendu de l'IRM des ATM:

- protocole: séquences dynamiques en sagittales droite et gauche, et réalisation de séquences sagittales en T2.

- résultat: sur les séquences T2, il n'y a pas dépanchement intra-articulaire. Le ménisque gauche est correctement situé et sa mobilité est satisfaisante lors de l'ouverture de la bouche. A droite, il semble exister une désinsertion postérieure du ménisque qui se luxe antérieurement, particuliérement lors de l'ouverture de la bouche.

- Conclusion: la subluxation antérieure de la bouche ouverte se fait normalement: la ménisque gauche présente une cinétique normale, tandis que le ménisque droit semble présenter une luxation antérieure.

Les examens ont été prescrits par l'ortho. Je ne sais pas si l'IRM était indispensable pour confirmer le diagnostic d'antéposition discale.

voili voilou.

je posterai le reste des photos ce week end.

D'autres remarques???


Humb

08/12/2005 à 23h52

Les pentes cuspidiennes sont en rapport étroit avec la pente condylienne ,le plan d'occlusion,la pente incisive,le plan axio-orbitaire,cf le trapèze de Vienne de Slavicek:
si on ne touche pas aux pentes cuspidiennes,il faut jouer sur le reste pour avoir une mécanique qui fonctionne bien,cependant le verdict des "bras" est impitoyable maintenant.
Pourquoi pas une petite remise à niveau?


cdi

10/12/2005 à 19h31

Avec l'arrivée des photos des moulages initiaux, je me suis dit" est ce le même cas", car:
avec la présentation du sujet (debut novembre)on parlait de classe III avec menton en galoche et en fait il semble qu'il y avait une grosse supra avec belle déviation à gauche et inversé d'articulé gauche.
La maman avait surement flashé sur le menton qui devait bien ressortir à cause du pli sous la lèvre inf.
Le trt ortho a du ramener la mand vers la droite mais comme le max n'est pas assez large la branche montante D remonte en Ar et le condyle vient compresser sa zone de réception.Il me semble donc qu'il faille bien augmenter la dimension transversale du max et la dv surtout à droite pour bloquer ce condyle droit dans sa course.J'avoue que c'est complexe mais elle ne doit pas être bien (cf photos),alors il faut faire qq chose.


isaïe

10/12/2005 à 20h24

"...alors il faut faire qq chose."
D'accord avec cdi


Images eb1m5g - Eugenol
tonio

11/12/2005 à 19h07

bon je vous laisse encore quelques photos pour que vous puissiez argumenter la discussion.



Sinon, j'aimerai bien que quelqu'un me donne un vrai plan de traitement pour la patiente et la chronologie des thérapeutiques. Merci.

Panoramique cijd3b - Eugenol
Radiocervicales stxith - Eugenol
Irmatm tb9z6p - Eugenol
Rim1 n9brt8 - Eugenol

Humb

11/12/2005 à 23h22

Sur cervicales:je considère que la posture n'est pas au top,mais bon...
Sur le 5ème et 8ème cliché,je devine une postériorisation du condyle,donnant une compression de la zône bilaminaire,qui a l'habitude de générer beaucoup de symptômes.
Le reste est ininterprètable pour moi sur ces retransmissions,atm et ménisques très flous.


occlusion

12/12/2005 à 17h16

Tonio 08-12-05 : "plaques d'axpansion qui ne sont plus activées mais qui lui servent à la soulager. Le port de ces plaques est nocturne".
>
Béquilles la nuit (8 h) et rien le jour (16 h).
Est-ce normal, Docteur?

Tonio 08-12-05 : "De son propre aveu, elle a une interposition linguale pendant la déglutition, la fameuse DSD... "
>
Même sans voir les photos, keske t'attends, Docteur, pour augmenter la hauteur des dents chez une DSD, ancienne DSI notoire ?

Tonio 08-12-05 : (photos)
>
- Modèles : très belle supraclusion antérieure et infragnatie organiques latérales. Donc, très belle DSD magistrale et ou il ne reste plus qu'à appliquer ce qui est écrit supra.
- Patiente :
M..de Tonio : malgré ses beaux yeux bleus, c'est la fille de ma voisine de palier ! :-)

isaïe 08-12-05 : "Pas certain de la responsabilité première de la déglutition infantile".
>
Faut parfois revenir en arrière sur les Bases fondamentales, mi p'tit fi !
Et sans aucune Brasophilie recaptée à l'horizon.

Jeff2 08-15-05 : "J'ai passé de 12 a 23 ans a grincer des dents de facon a user mes canines"
>
Il doit y avoir des PM et/ou des incisives dans le coup, non?

Jeff2 08-15-05 : "faut'il toujours regler? meuler? rajouter? de quoi qu'on se mele?"
>
La question ne se pose jamais chez l'adulte, lorsque le praticien n'intervient que SSI les relations sociales du patient sont perturbées. Cela n'empêche jamais "prévention", ni "interception" chez enfant / adolescent.

Tonio 08-12-05 : "les douleurs sont localisées à l'ATM droite"
>
Tiens : un PTE droit douloureux ! Donc : "çà avance et vers la gauche".
C'est dû à un bruxisme dans le secteur antéro-latéral gauche, souvent accompagné de protrusion mdb.
Conclusion définitive et irrévocable : dépêches-toi de lui augmenter la hauteur de ses dents = réduction EIOR ("Espace libre" des Gnathos d'Eugenol) et tu auras les grâces de ta jolie patiente pour toute l'éternité, grand Veinard !

Occlusalement Vôtre !


Images eb1m5g - Eugenol
tonio

14/12/2005 à 16h16

je veux bien lui augmenter la hauteur de ses dents mais quelqu'un serait-il fichu de me proposer un plan de traitement avec les étapes???

C'est ce que j'attends aussi...

J'ai essayé de vous fournir un max de renseignements, alors aidez-moi, pardi!!!


michel

15/12/2005 à 15h00

isaie
quelle formation as tu fait en occluso
que nous conseilles ?
merci


isaïe

15/12/2005 à 17h33

Cher Michel,
Conseils après 25 ans de lecture, de cours, de conférences et... d'observation: beaucoup lire, écouter les auteurs qui ont déjà été cités ici et observer.
L'occlusion commence quand les premières dents arrivent en bouche et est indissociable du moindre de nos actes. De la dentisterie sans occlusion, ça n'existe pas.
Il est donc utile d'intégrer tout ce qui s'est dit, même si on ne l'utilise pas ou si on y est opposé pcq il faut pouvoir justifier ses propres choix thérapeutiques. Pourquoi je ne touche à rien, pourquoi j'augmente la DV, pourquoi je meule, pourquoi je remplace, pourquoi j'extrais, etc... Ces questions élémentaires permettent déjà d'éliminer beaucoup de pratiques incertaines, d'objectifs thérapeutiques flous: c'est le flou et les contradictions qui rendent l'occlusion si rébarbative.
Si je devais donner un cours d'occlusion, je parlerais uniquement du tonus musculaire, de son mécanisme et de ses parasites, le phénomène de la contraction volontaire ou réflexe étant totalement accessoire. Tout le reste, articulateurs, reliefs occlusaux, diduction et tout ce qu'on veut, feraient l'objet de travaux pratiques délassants visant à mettre en lumière le rôle du déterminant dentaire, ENORME pathogène, sur le tonus musculaire général.


occlusion

15/12/2005 à 19h05

tonio gromelait seul dans son coin :
> J'ai essayé de vous fournir un max de renseignements, alors aidez-moi, pardi!!!
>
D'accord : envois à bibi la fin d'une vidéo phonétique dont tu trouveras un protocole dans le post d'à côté.