Cookie Consent byPrivacyPolicies.comLivres du Dr Charon - Eugenol

Livres du Dr Charon

phil

04/12/2005 à 15h16

Excusez-moi j'ai pas pu répondre plus vite j'étais privé d'eugenol !!! depuis 2 jours ...... donc voicii la réponse pour Dagobert point par point .....

je reponds aux autres querstions après ......
Dagobert Ecrivait:
-------------------------------------------------------
> question 1 ......est-ce le tartre le problème au
> départ ou le biofilm ?
> Et si c'était les deux??? Après tout, le tartre
> retient le biofilm.....(un bien grand mot)

le biofilm n'est pas un grand mot ....je te ferais si tu veux personnellement un topo.......car manifestement tu connais pas vraiment bien........ en attendant demande à amibien ce qu’il en pense.........il va y avoir de profonds changements dans les 10 ans qui viennent sur l’approche des biofilms avec l’émergence d’une nouvelle approche thérapeutique , de nouveaux medicaments et peut être la fin de l’ére des antibiotiques .....mais la t’iras chercher les references d’articles .....je garde les miennes.....

JE N'AI PAS DIT QUE LE TARTRE N'ÉTAIT PAS UN SOUCI MAIS C'EST JAMAIS PRIORITAIRE faut pas tout mélanger ....la priorité c'est la prise en compte du contrôle de plaque par le patient pour diminuer la charge et devoir comment cela répond ....tous les patients ne sont pas égaux toutes les réponses tissulaires ne sont pas équivalentes. l’essentiel est de déterminer le cadre dans laquelle se développe l’infection et de d’évaluer la réponse .....c’est 100 fois + important ! et mes 2premiers rendez vous sont consacrés à cela plutôt qu’au détartreur. ensuite j’attends encore 1 mois pour laisser le temps au patient de devenir efficace .....car sinon ton détartrage en + risque d’être à refaire donc t’auras travaillé pour rien !

> question 2 : qui doit contrôler en premier le
> biofilm le praticien ou le patient ?
> et si c'est le patient ne doit-on pas prouver
> avant tout que ce que l'on avance ( son rôle dans
> le resultat est fondamental ) et dans ce cas y a t
> il encore interet à detartrer tôt ! ( c'est à dire
> dans le mois ou les 2 mois après le premier
> contact )
> Et si c'est le praticien???

si c’est le praticien tu risque d’ agir trop vite ! et tu ne te mets pas dans les conditions pour que le patient comprenne son rôle .....Si tu le revois 1 mois après un détartrage fait à la première séance et que cela va mieux car cela va mieux la plupart du temps mais pas toujours !. et que tu lui dis ....et bien vous voyez votre rôle est important lui te répondra .....ah non docteur c’est vous qui avez détartrer et c’est pour cela que ca va mieux !.....c’est une nuance importante pour le patient qui devra rester efficace des années .
le fait de détartrer tot diminuera l’inflammation donc ca ira mieux mais mets plus en danger le système d’ancrage profond plus exposé au départ car l’epithelium de poche est une vraie passoire mais aussi et surtout qui risque d’être agressé avec le detrartreur.......

> question 3 combien de temps faut il à un patient
> pour devenir efficace??
> Combien de temps surtout peut il le rester.....

alors la t’es pas bon si tu dis ca parce que justement avec mon approche je n’entamme rien d’important justement tant qu’il ne maitrise pas bien sa plaque ....et s’il maitrise bien crois moi ensuite il n’y aura pas de soucis ....il y aura bien des petits relachement mais il sera informé et aidé

> question 4 est-ce alors important de détartrer
> tant que le patient n'est pas efficace??
> Pourquoi pas détartrer, d'autant que ça l'aidera à
> être efficace ......

.la on va tourner en rond .......le detartrage tu le feras mais un peu plus tard .....cela ne l’aidera pas à être plus efficace au départ sauf peut être en interdentaire mais comme le premier mois il lui faut maitriser son brossage avec la brosse classique c’est pas dramatique s’il ne commence ses brossettes que 15 jours ou 3 semaines après ! il y a rarement urgence !

> question 5 comment evaluer cette efficacité?
> Oui, comment???

ok je vais expliquer mauis dans un prochain post

> question 6 est ce que la cicatrisation se fera
> partout au même rythme ?
> Surement pas, mais ca n'est pas un argument pour
> attendre...

non c’est un argument pour être progressif et ne pas détartrer betement par quadrant mais par bouche ( si si cela se fait par quadrant ...et même detartrage surfacage par quadrant ce qui est une ineptie ! ) on ne touche pas aux zônes encore trop irritées simple règle de prudence il me semble .

> question 7 combien faut-il de temps pour obtenir
> une bonne reponse tissulaire ? 1 mois 2 mois et
> quels délais vais-je appliquer entre chaque
> séances..
> A force d'attendre, on perd du temps....

que voila un bon roi bien pressé ! quel est l’objectif d’un traitement traiter une infection qui existe parfois depuis 20 ans le plus vite possible ou le plus durablement possible ! c’est toute la différence du concept ! en + je ne perds pas de temps puisque cela cicatrise ( le parodonte me le dit crois moi et même parfois avant le patient ! )........et si cela ne cicatrise pas bien et bien moi j’ai un gros avantage par rapport au conventionnel c’est que j’ai pas encore fait de chirurgies ou d’actes plus complexes et je vais rechercher la cause avant d’aller plus loin ( défaut de brossage mais peut être aussi presence de bacteries virulentes ou problèmes environnementaux pour le patient ) on temporise on recherche la cause on traite et on ne continue que si on a compris .


> question 8 compte tenu de toutes les autres
> questions ais-je vraiment intéret à détartrer
> tôt?
> Ben oui.....

ben non.......ce matin j’avais une patiente qui est sous previscan et qui a une paro de l’adulte .....je n’ai pas interet à détartrer trop tôt et n’importe comment parce que cela peut saigner ...j’ai intérete à essayer de diminuer l’inflammation dabord ....enfin il me semble donc je vais progressivement et cela saigne très peu et il est important pour cette patiente de ne pas lui envoyer des bacteries dans les tissus et comme par hasard cela cicatrise très bien ...pour ce cas ou je prends de multiples precautions pourquoi n’en ferais-je pas autant pour tous les cas ?

> question 9 tant que le parodonte est fortemment
> inflammatoire et donc actif n'y a t il pas un
> risque de détruire un peu plus les tissus ( le
> saignement ne prouve - t il pas que l'on a pénétré
> dans les tissus ?)
> C'est quoi un parodonte actif??? Ca saigne parce
> que c'est enflammé. Quand le patient brosse, ca
> saigne et ce n'est pas parce que le patient s'est
> enfilé la brosse dans les tissus.....

oui tu as raison mais il sera moins agressif vis à vis des structures profondes avec sa brosse à dent que toi avec ton détartreur !.. son saignement à lui est du a l’inflammation externe disons .....avec un détartreur c’est dans la poche et parfois loin sans véritable vision ! c’est cela qui me fair peur.....
( je te conseille l’expérience suivante .. tu prends des loupes grossissement 2,6 tu attend qu’il n’y ait plus d’inflammation comme je le preconise , tu travailles en transilluminartion et tu regarde après passage d’un sonique la paroi tissulaire de la poche ...pas de gros saignement mais l’épithelium de poche est un peu abimé .....fais le regarde et tu comprendras que l’on irrite très vite les tissus. Si je fais cela avec des tissus enflammés je te dis pas en + le risque que tu prends a faire passer des bactéries dans les tissus et ailleurs dans la bouche ! avec le risque de détruire un peu plus de parodonte .....


> question 10 si le parodonte est fragile en
> particulier dans les alvéolyses verticales doit-on
> prendre des précautions et lesquelles ?
> Pourquoi le parodonte serait il plus fragile dans
> les cas d'alvèolyse verticale? Tu sors ça d'où??

je remettrai mes images OK........la tu as vraiment besoin que l’on t’explique ...... petite idée que j’ai déjà donnée quans tu as une parodontite apicale tu as déminéralisation mais pas perte d’attache forcemment et quand tu traites la cause ca cicatrise ......par du même principe en paro ...il existe parfois encore un ancrage collagénique ( et ca tu ne peux le savoir facilement malheureusement ) mais hyperfragile .....si tu detartres en aveugle sans precaution et trop vite tu risque de détruire l’attache directement ou indirectemment par l’inflammation créée

> question 11 si je démontre que dans une situation
> donnée ( alveolyse verticale ) le fait d'obtenir
> une réparation très très importante du système
> d'ancrage profond de façon totalement naturelle
> cela ne doit-il pas alors s'appliquer à toutes les
> situations cliniques mais est ce que cela est
> applicable à toutes les situations
> Ben démontre le déjà alors......


voir image des cas ..

> question 12 Si j'agis ainsi quels seront les
> inconvénients dans quels cas et pourquoi .....que
> devrais-je alors choisir ?
> L'inconvénient c'est que tu perds deux mois avant
> de traiter un parodonte malade. Or, autant tu ne
> prouve rien, autant toutes les études montrent que
> les traitements parodontaux entraînent des gains
> d'attache et des diminutions des profondeurs de
> poche. En plus, faire de la paromed????? et
> laisser une infection carabinée pendant des mois,
> c'est prendre un risque avec la santé du patient.

faux c’est dangereux de détartrer une plaie qui represente 40 cm2 et qui est encore infectée que le patient ne contrôle pas encore suffisamment .......ce n’est pas le tartre le problème c’est le biofilm .donc si tu détartres tôt tu risques au contraire d’en envoyer partout comme je l’ai dit et d’avoir une bactériemie plus marquée que si tu attends un peu et que la charge est moindre ! on peut lancer une étude si tu veux !

JE NE LAISSE PAS D’INFECTION CARABINÉE CROIS MOI AUTREMENT MON PARODONTE N’IRAIT PAS MIEUX 6 MOIS APRÈS !

et puis réfléchis quand tu as une approche conventionnelle tu fais un détartrage t’attends de 2 mois de cicatrisation avant de réévaluer ( sondage ) .....ensuite tu fais surfaçages puis t’attends 3 mois de cicatrisations ......ca fait 5 mois .....ben moi pour les mêmes cas je vais mettre 6 mois en ayant été moins agressif c’est sur au pire avec le même resultat qu’une approche conventionnelle mais au mieux en ayant recupéré de l’attache ou du moins fermé de façon beaucoup plus fiable sur le long terme les zônes très enflammées car si la reponse naturelle se fait et que le patient brosse bien c’est une reponse à mon avis plus fiable .........

> Tes arguments sont mauvais.. et basés sur rien.

LES TIENS NE SONT PAS BEAUCOUP MIEUX ! ET JE TE TROUVE BIEN PEREMPTOIRE POUR QUELQU’UN QUI DIT NE PAS FAIRE DE PARODONTIE !

il s’agit d’une approche clinique fondée on peut dire sur la preuve ( experience seulement )......mais cela marche très bien ......

essayes honnetement fais comme je te dis sur quelques cas et dans 1 an on en reparle ........

le danger de détartrer tôt existe .. avoir une approche douce a plein d’avantages....IL N’EST PAS SUR QUE JE GAGNE DE L’ATTACHE MAIS IL EST BEAUCOUP PLUS SUR QUE JE N’EN PERDE PAS CONTRAIREMENT AUX APPROCHES CLASSIQUES ! et je me mets dans de meilleures conditions pour en gagner je penses !

IL EST RISQUÉ de Detartrer sans precautions et en aveugle .....c’est ce que je veux faire passer......des parodontites peuvent peut être se développer sur le long terme parce qu’au départ du temps de la gingivite les praticiens n’ont pas pris les precautions nécessaires ......je n’ai pas de preuves bien sîur mais prendre des précautions élimine surement ce risque !

pour finir si tu as une parodontite chronique avec bp de facteurs locaux tu risques moins d’avoir des soucis si tu fais un détartrage sans prendre trop de précaution surtout s’il n’y a pas de facteurs de risques autres associés .......par contre si tu as une parodontite agressive avec des bacteries virulentes et ou des défauts de réponses tissulaires je te conseilles sincèrement de faire comme je dis .

au plaisir de continuer la discussion




Logo vuaztn - Eugenol
mac

04/12/2005 à 15h36

phil Ecrivait:
------------------------------------------------------

je sais pas.
trop long pour moi.


phil

04/12/2005 à 15h47

Le Choixpeau magique Ecrivait:
------------------------------------------------------
>
> Mais pourquoi cette obsession de ne pas vouloir
> faire saigner ? Je ne suis pas un lecteur assidu
> du JPIO mais il semble qu'un certain nombre
> d'études récentes montrent que le caillot sanguin
> grâce à tout un tas de machins et de trucs a un
> effet inducteur de la cicatrisation.
Si je suis assez séduit par l'hypothèse selon
> laquelle des liaisons organiques seraient encore
> présentes qui pourraient guider la cicatrisation,
> et par ton approche de sondage en deuxième
> intention, cette histoire de saignement me laisse
> dubitatif.

oui tu as raison dans le sang il y a tout ce qu'il faut pour cela mais un premier conseil étudie la réponse cicatricielle des différents tissus car le plus important dans la cicatrisation c'est le tissu qui répondra .....en général c'est l'épithélium qui repond le plus vite ( reponse de protection pour fermer la plaie ) et tu as formation d'un Epith de jonction long .....
quelque soit la thérapeutique utilisée sauf les techniques de régénération. la plupart du temps tu obtiens cet EJL ,au mieux tu peux avoir une attache conjonctive mais souvent avec des fibres // à la racine ......mais sans formation osseuse et avec une formation cémentaire inconstante .......j'attends des doc sur la cicatrisation après laser justement car c'est un point essentiel mais j ene vois pas comment le laser retarderait la prolifération épithéliale .......
donc je ne penses pas que le fait de faire saigner modifie profondemment ces phénomènes qui sont inhérents aux tissus plus qu'au caillot ....par contre le caillot contient des facteurs de croissance .
le saignement n'est pas dramatique mais il faut se garder d'aller trop loin avec ses instruments dans les poches parce que la presence de fibres collagéniques encore ancrées est la meilleure garantie pour éviter que l'épithélium ne " plonge vers les profondeurs " tu vois ce que je veux dire .......




> Une question bête: sur les patients présentant des
> quantités importantes de tartre, les brossettes
> sont très difficiles voies impossibles à passer,
> comment faire dans ces cas là si on ne détartre
> pas d'emblée ?

tu as le temps .......si le patient ne passent que ses brossettes que 1 mois après le début c'est pas si grave ( les parodontites la plupart du temps existent depuis 10 ans et celles qui sont les plus agressives ont parfois peu de dépôts donc.......)
en reponse à dagobert premier roi j'ai précisé qu'il était plus important de vouloir traiter durablement une infection que de vouloir la traiter rapidemment ........


> Est-ce que ça ne pourrait pas être un bénéfice
> psychologique pour le patient de brosser sur un
> terrain assaini "esthétiquement" ? Comment bien
> faire comprendre l'intéret du révélateur de plaque
> au patient qui verra son tartre coloré en rouge à
> cause des bactéries qui font bronzette dessus ?

IL FAUT LUI EXPLIQUER QUE C'EST LE BIOFILM SUPERFICIEL QUI EST PRIORITAIRE .....le révélateur de plaque colore toujours plus facilement le tartre parce qu'il est poreux ! moi je leur explique que les bactéries se développent comme le corail et que c'est surtout les parties superficielles qui sont les plus importantes à contrôler au départ ......mais je leur precise bien que j'enlèverai le tartre bien entendu .....


> > constatation detartrage bp moins douloureux pas
> de
> > saignements ou très peu ( donc tu ne rentre pas
> > dans les tissus )
>
> N'est-il pas possible d'obtenir un résultat
> similaire en détartrant dans un premier temps en
> supragingival, puis en avançant au fur et à mesure
> des séances en même temps que la gencive se
> rétracte par diminution de l'inflammation ? (je
> suis conscient que je me contredis un peu là par
> rapport avec ce que j'ai dit plus haut).

c'est exactemment comme cela qu'il faut faire ! et c'est pour cela que c'est une ineptie comme le dit BONNER mais d'autres aussi de travailler par quadrant ........

> >......il en effet essentiel qu'il
> > comprenne avant que l'on touche que ce qu'il
> fait
> > est important
> >
>
> Je suis plutôt d'accord avec ça.


merci d'avoir demander ces précisions elles étaient importantes !


Abeille lzfkas - Eugenol
domi38

05/12/2005 à 00h09

Toujours prêt à monter au créneau, phil!
Merci, car l'essentiel est dit!


phil

05/12/2005 à 00h26

pour ceux qui connaissent pas ......le test de stimulation de charon

Test de stimulation   charo uesnz4 - Eugenol

phil

05/12/2005 à 00h39

après l'évaluation au stimulateur l'evaluation microscope

il manque l'évaluation clinique .......c'est pas tout à fait dans l'ordre mais faut pas trop; m'en demander


phil

05/12/2005 à 00h42

zut

Zone active gwp7rr - Eugenol
Repos lcqsnm - Eugenol

phil

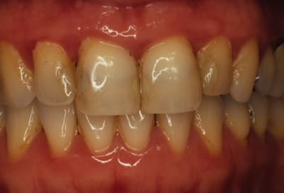
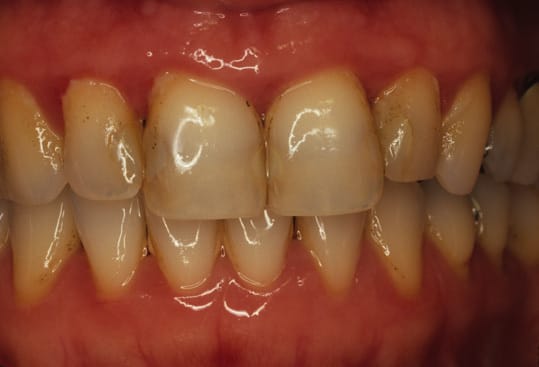
05/12/2005 à 00h49

evidemment la première chose à voir c'est visuellement.....ici un cas ou le brossage permet une mise au repos ........c'est mieux pour détartrer au bout de 2 mois ......bien sur dans ce cas les retractions étaient inévitables car l'alvéolyse etait horizontale et le parodonte de type intermédiaire ( il n'y a que le parodonte epais qui peut ne pas trop se rétracter )

Copie de avt brossage zee5jn - Eugenol
Copie de apres brossage  exvd16 - Eugenol

phil

05/12/2005 à 01h03

dans tout cela il n'y a rien de sorcier !.........
et c'est mieux d'enlever le tartre dans une bouche ou les lésions sont au repos ! et moins risqué sur le plan microbiologique et cellulaire ......faut faire confiance à la nature et ne pas trop la chahuter !


LdL

06/12/2005 à 11h32

Démonstration intéressante, phil, et je te crois dans ce que tu dis, mais, tu n'as pas répondu à mon besoin d'études... sauf à me citer le cas de Carole, qui, en soi, ne prouve rien du tout, comme tu le dis toi meme c'est clinique, basé sur l'expérience...

Mais, visiblement, ça marche.

Je suis conscient cependant de l'amélioration d'hygiène nécessaire avant d'y mettre un nez de détartreur.

Quitte à être dans les sujets qui fâchent les meds/chir... tu vois Pg et Pi dans ton croscope ?

(là, je te taquine)...



Amicalement,


phil

06/12/2005 à 12h36

LdL Ecrivait:
-------------------------------------------------------
> Démonstration intéressante, phil, et je te crois
> dans ce que tu dis, mais, tu n'as pas répondu à
> mon besoin d'études...

mon raisonnement est le suivant .....si sur des alvéolyses verticales profondes je peux récupérer de l'attache de façon importante il en ait peut être de même pour tous les cas mais bien entendu et tu as raison je n'ai pas de preuve scientifique à l'appui puiqqu'il faudrait mesurer avant puis après et comme c'est impossible puisqu'il ne faut pas toucher cela ne reste qu'une intuition clinique ......dès que j'ai 5 minutes je mets plusieurs cas pour montrer que c'est reproductible ......la seule condition poiur que cela fonctionne étant de ne pas avoir des lésions trop anciennes surement .

en ncas d'alvéolyse horizontale avec un parodonte assez epais qui ne se rétracte pas on peut peut être je pense obtenir une attache selon le même principe ..je crois que j'ai un cas ......faut que je le recherche .....toujours sur des paro extrême ou je dois temporiser .......c'est comme cela que l'on s'en rend compte ...

mais si le détartrage est mis en pace doucement après que le patient contrôle sa plaque effectivemment il y a bp moins de risque de perdre de l'attache et il y a de forte chances d'en gagner ......mais est-ce que l'on prend toujours suffisamment de précautions .....

pou pi et Pg je te repondrais un peu + tard .......j'ai qq qui attends ......

normalement je dois caoser à Toulouse .....un de ces jours ......on pourrait peut être en parler ........attention derrière les biofilms il y a de véritables nouveautés qui se profilentr mais j'en parlerai à toulouse pas avant


sauf à me citer le cas de
> Carole, qui, en soi, ne prouve rien du tout, comme
> tu le dis toi meme c'est clinique, basé sur
> l'expérience...
>
> Mais, visiblement, ça marche.
>
> Je suis conscient cependant de l'amélioration
> d'hygiène nécessaire avant d'y mettre un nez de
> détartreur.
>
> Quitte à être dans les sujets qui fâchent les
> meds/chir... tu vois Pg et Pi dans ton croscope ?
>
> (là, je te taquine)...
>
>
>
> Amicalement,



Grueavatar nptrc9 - Eugenol
Le Choixpeau magique

06/12/2005 à 13h01

Autre question bête: dans ton poly, à propos de la pâte magique, tu dis qu'il faut utiliser de l'eau oxygénée à 10 volumes (si je me souviens bien, je ne l'ai pas sous les yeux) et qu'il faut la dilluer, mais tu ne précises pas de combien.


phil

06/12/2005 à 14h13

Le Choixpeau magique Ecrivait:
-------------------------------------------------------
> Autre question bête: dans ton poly, à propos de la
> pâte magique, tu dis qu'il faut utiliser de l'eau
> oxygénée à 10 volumes (si je me souviens bien, je
> ne l'ai pas sous les yeux) et qu'il faut la
> dilluer, mais tu ne précises pas de combien.

5 volumes ........1/2 eau 1/2 h202


phil

06/12/2005 à 22h48

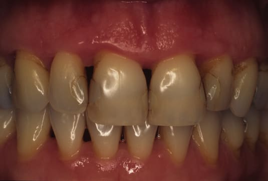
comme je l'avais promis je mets et remet 3 cas d'alveolyse terminales avant après .....bon on peut critiquer que l'on aurait pu envisager autre chose mais de toute façon il faut stabiliser la parodontite avant tout donc autant essayer et recuperer du tissu osseux avant .......

ces cas m'interpellent car ils demontrent à postériori quil existe bien un ancrage de fibres collagéniques vraissemblablement .....du moins c'est mon opinion.......pour ces cas il me parait prudent pour obtenir une reparation du système d'ancrage profond de ne pas sonder de ne pas détartrer de ne pas surfacer
et je me dis peut être betement que ce qui semble etre valable pour cela l'est peut être dans bien d'autres situations et que mieux vaut avancer prudemment.....ce n'est pas dans les livres il n'y a pas d'études sur ce phénomène mais carole avait été la première à montrer qu'elle pouvait en faire autant et d'autres ont suivi montrant que c'était reproductible .....
le tout est de savoir si l'ancrage collagénique est encore present et ca c'est impossible de le savoir pour le moment......

en tout cas cela me plait de reuperer ces dents .......j'attend qu'un joyeu génie me donner les moyens de refaire ensuite le parodonte jusu'au collet .......alors la les implants seront obsolètes .......j'attend depuis 15 ans déjà et je me languis ......

Copie de dscn2595 af4iup - Eugenol
Alveo term ec5jug - Eugenol
Al2 awn5ru - Eugenol

phil

06/12/2005 à 22h52

qui plus est je vous rappelle le rayon d'action impressionnant d'une piqure sur un doigt ......imaginez dans le parodonte de vos patients ce que cela peut donner ......difficile à vérifier mais cela fait réfléchir non ?

Dscn2701 cammdn - Eugenol

j&b

07/12/2005 à 13h20

Oui mais les cas que tu présentes sont des lésions mixtes endo paro. L'origine du foyer etait peut etre endo donc supprimée par l'obturation du systeme canalaire ?
Il serait interressant d'avoir la meme chose sur des lésions paro profonde sur pluriradiculées.
Ne vaut il pas mieux perdre un peu d'attache et permettre un netoyage plus aisé gage d'une stabilité à long terme?


phil

07/12/2005 à 14h15

j&b Ecrivait:
-------------------------------------------------------
> Oui mais les cas que tu présentes sont des lésions
> mixtes endo paro. L'origine du foyer etait peut
> etre endo donc supprimée par l'obturation du
> systeme canalaire ?

non non ces dents étaient vivantes .....c'est moi qui demande l'endo pour éviter une eventuelle complication ......les lésions au dela de l'apex sont à mon avis du à l'hypermobilité.....

> Il serait interressant d'avoir la meme chose sur
> des lésions paro profonde sur pluriradiculées.

Tu as raison j'ai essayé et j'essaye encore parfois en accord avec le patient mais je n'ai pas de bons eu résultas car souvent il y a ds atteintes interadiculaires associées et la c'est souvent perdu surtout au maxillaire.....et contenir une molaire dont la charge est appliquée est supérieure et qui parfois se trouve en bout d'arcade rendant une contention pas facile c'est bp plus risqué ......ceci dit de nombreux défauts verticaux pas aussi prononcés bien sur se ferment sur les pluradiculées

Quoi qu'il en soit ce que j'ai voulu dire c'est qu'il faut être très prudent et qu'il existe un système d'ancrage organique souvent plus important qu'on ne le pense !

> Ne vaut il pas mieux perdre un peu d'attache et
> permettre un netoyage plus aisé gage d'une
> stabilité à long terme?

ah non ! nous sommes la pour gagner de l'attache .....c'est absurde ton raisonnement ( en toute amitié ! ) .c'est au fabriquants de matériel de trouver les bons accessoires et on a une panoplie suffisante actuellement entre les brossettes le fil dentaire et autres stimulateurs .....



j&b

07/12/2005 à 15h35

Oui je suis d'accord mais comment un patient peut il aller netoyer au fond d'une poche ? ou faut il considérer qu'un netoyge supra gingival suffit? (je pars du principe qu'on ne sait pas si il y a reattache puisque pas de sondage )


phil

07/12/2005 à 16h04

j&b Ecrivait:
-------------------------------------------------------
> Oui je suis d'accord mais comment un patient peut
> il aller netoyer au fond d'une poche ? ou faut il
> considérer qu'un netoyge supra gingival suffit?
> (je pars du principe qu'on ne sait pas si il y a
> reattache puisque pas de sondage )

en thérapeutique etiologique pourquoi le patient irait nettoyer ses poches.....
en traitement de maintenance pour delles qui pourraient rester pourquoi pas !


31ulysse

08/12/2005 à 19h38

Plusieurs études ont montré qu'un contrôle de la plaque supra-gingivale a un effet sur l'écologie des poches. S'il y a des sites réfractaires, voir si l'on a besoin d'une antibiothérapie ou d'un abord chirurgical, et ce que je pense mais que je ne peux pas prouver le laser ne serait il pas un excellent outil pour la maintenance...


phil

08/12/2005 à 20h41

31ulysse Ecrivait:
-------------------------------------------------------
> Plusieurs études ont montré qu'un contrôle de la
> plaque supra-gingivale a un effet sur l'écologie
> des poches. S'il y a des sites réfractaires, voir
> si l'on a besoin d'une antibiothérapie ou d'un
> abord chirurgical, et ce que je pense mais que je
> ne peux pas prouver le laser ne serait il pas un
> excellent outil pour la maintenance...

pas + que le reste à mon avis .......