Cookie Consent byPrivacyPolicies.comlaser - Eugenol

laser

carole

04/03/2006 à 02h43

steph Ecrivait:
-------------------------------------------------------
> Allors dis-nous ce qui t'a poussé à acheter cette
> "usine à gaz" ?

la paro...



> Que ce soit un plus, je veux bien le croire, mais
> ça ne change pas ta pratique.


c' est là ou je sous estimais le laser, et c' est là ou toi aussi, tu peches par ignorance....mon laser me sert bcp en oc, endo, paro, chir....sans oublier la bobologie apthistique ou autre....



Coeur n9py1g - Eugenol
patvat

04/03/2006 à 15h52

moi je soigne toutes les angines les aphtes les gercures les taches brunes


ZORBECA

05/03/2006 à 15h45

patvat Ecrivait:
-------------------------------------------------------
> moi je soigne toutes les angines les aphtes les
> gercures les taches brunes


Il semble que ça ne marche pas pour le Chikungunya!!!

Dommage:)


Icon poker h4nm2d - Eugenol
jeff

05/03/2006 à 18h56

par contre , cela marche super bien pour l'herpes.


Squash u44zd8 - Eugenol
steph

05/03/2006 à 19h54

carole Ecrivait:
-------------------------------------------------------

> là ou toi aussi, tu peches par ignorance....mon
> laser me sert bcp en oc, endo, paro, chir....sans
> oublier la bobologie apthistique ou autre....


Oui ça c'est certain, mais le peu de biblio trouvée sur pubmed me pousse à la prudence.
Je ne conteste pas le confort du prat et du patient, mais bon tu fais tout aussi bien sans, non?


carole

05/03/2006 à 21h09

steph Ecrivait:
-------------------------------------------------------
> Oui ça c'est certain, mais le peu de biblio
> trouvée sur pubmed me pousse à la prudence.


meme avec toute la biblio du monde, c' est tellement opérateur dépendant qu'il faut etre prudent pas essence...mais pour moi, prudence est apprendre, et faire progressivement....
il y a qd meme 20 ans de recul...

> Je ne conteste pas le confort du prat et du
> patient, mais bon tu fais tout aussi bien sans,
> non?

non ;) parce que ce ce que tu fais avec le laser , tu peux le faire sans, mais ce que fait le laser, tu ne peux le faire autrement que par le laser.... pour activer l' hypochlorite, pour propulser la pate endo ds les cx accessoires, pour decontaminer les surf dentinaires, pour desensibiliser en fusionnant la surface, pour le h2o2+laser ds les poches, pour la péri-implantire, pour la bio stimulation, pour faire sublimer un instrument en métal cassé ds un canal, ...la liste est vraiment longue.... c' est tout sauf du bla bla et du confort...c' est un réel outil complémentaire qui devient vite indispensable, en complément de tout le reste bien sur puisque le laser, par lui meme uniquement, ne fait rien (sf bobologie...)...



carole

05/03/2006 à 21h10

patvat Ecrivait:
-------------------------------------------------------
> moi je soigne toutes les angines les aphtes les
> gercures les taches brunes



quel protocole fais-tu?


Bjorn

06/03/2006 à 19h11

carole Ecrivait:

> stimulation, pour faire sublimer un instrument en
> métal cassé ds un canal,





Ca se sublime à quelle température un protaper?

Quelles sont les conséquences d'un tel échauffement sur les tissus dentaires et parodontaux?

Merci.



Ivetol gth5hw - Eugenol
ivetol

06/03/2006 à 20h11

C'est la question que je me posais. J'ai fait cette experience : en tenant entre les doigts nus un protaper, en réglant la puissance du laser à7.5w 250mj, j'ai fait fondre en qq sec le bout de ce protaper sans même sentir un échauffement de la partie que je tenais entre les doigts : explication : la montée en T° est très très courte 150 micro sec pour monter a 1800°C (par seconde). La chaleur ne diffuse pas dans le reste du métal et encore moins dans le canal.


le maxx

06/03/2006 à 20h25

Ouais ben moi la chaleur je la sens 'achement je sais par pourquoi..
Bizarre, non?

Laser qa0pud - Eugenol

Bjorn

06/03/2006 à 23h36

ivetol Ecrivait:
-------------------------------------------------------
> j'ai fait fondre en qq sec le bout de
> ce protaper sans même sentir un échauffement de la
> partie que je tenais entre les doigts :

....

> > La chaleur ne diffuse pas dans le reste du métal
> et encore moins dans le canal.
>

Pas bien compris: la partie que tu tenais entre tes doigts a fondu au pas?





Ivetol gth5hw - Eugenol
ivetol

07/03/2006 à 11h46

est-ce que c'est plus explicite avec cette photo ?

Test cclfm2 - Eugenol

greg

07/03/2006 à 12h14

ivetol Ecrivait:
-------------------------------------------------------
> Sinon, la journée sur le laser à Garancière a été
> très riche en apprentissage(...)

ivetol, cette journée s'est passée quand plize ? Et sais-tu s'ils en font régulièrement ?
C'est le genre d'infos qui m'intéresse beaucoup :p

greg


Ivetol gth5hw - Eugenol
ivetol

07/03/2006 à 12h17

c'était le 25 fevrier, prochaine le 1/04/06 je crois.


greg

07/03/2006 à 12h51

merci :)

Question: c'était une journée qui parlait de LASER en général ? D'une marque en particulier ? Un dîner de gala avec danses brésiliennes était-il prévu ? :)


Bjorn

07/03/2006 à 17h18

ivetol Ecrivait:
-------------------------------------------------------
> est-ce que c'est plus explicite avec cette photo ?


Je ne vois pas la sublimation...




024 vownvo - Eugenol
annie

07/03/2006 à 19h39

Bjorn Ecrivait:
-------------------------------------------------------
> ivetol Ecrivait:
> --------------------------------------------------
> -----
> > est-ce que c'est plus explicite avec cette photo
> ?
>
>
> Je ne vois pas la sublimation...
>
>c'est le propre d'une sublimation de ne pas être visible
>
>



carole

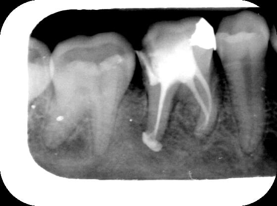
07/03/2006 à 21h12

bon, voici un cas tout neuf...hervé, abces endo paro.. vu en urgence le 1er mars....ttt: ouverture+h2o2/laser ds poche.... voici les photos à J0 et J5 + rx de l' endo laser du J5...(petit delta racine distale)...

Herve 06 03 jx4qxn - Eugenol
Herve 01 03 lwmdl3 - Eugenol
Herve 01 03 ap laser vuhph7 - Eugenol
Herve 01 03 ap laser 2 q6gp8d - Eugenol

024 vownvo - Eugenol
annie

07/03/2006 à 21h51

bien belle cicatrisation en effet


Blue eye thumb medium dx1i0w - Eugenol
bill

08/03/2006 à 00h52

c'est bien carole mais tu es encore trop speed, tu as oublié la radio.... ;-)


carole

08/03/2006 à 20h23

bill Ecrivait:
-------------------------------------------------------
> c'est bien carole mais tu es encore trop speed, tu
> as oublié la radio.... ;-)


ben....ma connection a planté ap l' envoie des 4 photos!!! censure!!!!!
les rx:

Herve1 srtd1v - Eugenol
Herve2 x3cy3h - Eugenol

Amibien

09/03/2006 à 12h24

Carole,

le laser donne d'excellents résultats pour les lésions paro conséquentes à une infection endodontique, c'est un cas typique de guérison miraculeuse, bravo...


Logo vuaztn - Eugenol
mac

09/03/2006 à 13h13

Amibien Ecrivait:
------------------------------------------------------ c'est un cas typique de guérison miraculeuse,


pas pratique tout ça s'il faut aller à Lourdes.



Amibien

09/03/2006 à 14h24

Lourdes a provoqué plus de morts de pélerins sur les routes s'y rendant que de miracles parmi les malades parvenus jusque là...

Notez que je ne nie pas les miracles...


Ivetol gth5hw - Eugenol
ivetol

11/03/2006 à 01h13

Correction, voici Les prochaines dates de cours à Garanciére (AUI- Pr Missika )

10 juin 2006 ou 09 septembre 2006

Pour répondre à Bjorn sur la sublimation, j'ai pris une photo pour te montrer comment je tenais le protaper pendant que je le fais fondre sans que ça me brûle les doigts. Il faudrait faire un film pour voir l'instrument rougir puis fondre... Mais je ne peux pas le réaliser en moins de 200Ko... a moins de le faire avec mon téléphone !!! OK , j'essaie lundi et vous envoie ça en MMS !


1...4567