Cookie Consent byPrivacyPolicies.comDIS-MOI PAS QUE C'EST PAS VRAI? - Eugenol

DIS-MOI PAS QUE C'EST PAS VRAI?

LdL

02/02/2006 à 15h25

Elles sont très belles, ça me rappelle le "Top Francis*", florilèges des radios des plus belles horreurs d'un confrère voisin dans un cabinet. Il va de soi que ce prat. ne s'appelait pas Francis.

Je vais voir mon cher peter ce que j'ai en magasin.

Petite question: tu avais du Chaterton pour Clochette ?









*: les prénoms ont été changés.


Logo vuaztn - Eugenol
mac

02/02/2006 à 15h36

LdL Ecrivait:
------------------------------------------------------
> Petite question: tu avais du Chaterton pour
> Clochette ?




mdr



Ylfwcw979cz1jnx9gfqeaxndiuzk - Eugenol
Algi

02/02/2006 à 20h40

Par pure analogie avec notre noble art je dirais que clochette sans chaterton c'est décés assuré et même décés vain.... cf "fan de Pal" pour ceusses qui sont pas trop sensibles, y'a une photo qui explicite un peu mieuxla chose.....



ps: m'enfin bande d'obsédés!!!! "analogie", de "analogue"; analogue qui n'a rien à voir, je le rappelle, avec proctologue. Ceci dit, vu la teneur hautement licencieuse et pas du tout consensuelle du post, le raccoursi voire la confusion étaient prévisibles.

Confusion, consensuel, analogue.... je sens que clochette va encore morfler.

Tiens, ça me rappelle ce que disait à Clochette jeune fée inexpérimentée sa frangine plus grande passée maitre dans l'art de faire sonner son grelot: "Si tu veux que ça marche, vibre ô ma soeur".....


Squash u44zd8 - Eugenol
steph

02/02/2006 à 20h55

Je suis bien content d'avoir attendu pour voir tes photos peterpan...non, je ne regrette rien.


60px peter pan by nk - Eugenol
peterpan

02/02/2006 à 21h34

Aller 2 petites nouvelles pour le dessert


Avatar transparent iqadnc - Eugenol
adhoc

02/02/2006 à 21h44

On va faire ceinture. N'oublie pas le dernier "joindre" juste juste avant de "envoyer"!!!!!!!!


60px peter pan by nk - Eugenol
peterpan

02/02/2006 à 21h48

allez on ressaye -------------------------------------adhoc t'es un frère pour moi-------------------et t'as vu y a de la couleur----------------------avant tout promettez moi de ne pas en parler à Raoul,il pourrait avoir une mauvaise image de la dentisterie française et cela pourrait faire tourner le lait des kangourouses-------------------revenons au sujet, que faire?? :ED OU HN? Attendre le mois de mai?appeler la cnsd ou l'ujcd? y a plus personne.Peut etre mon comptable? prendre un avocat?appeler le dentiste conseil?Je me faire remarquer? je risque un controle?que dire au patient?adhoc m'a dit tte vérité n'est pas bonne à dire. Je risque de passer pour un collabo?Ou faire une dépression?Je me sens pas bien,aidez moi je vous en supplie, j'en peu plus...Et clochette qui m'attend..........

Photo 004 xm49tl - Eugenol
Photo 005 at2sjw - Eugenol

Avatar transparent iqadnc - Eugenol
adhoc

02/02/2006 à 22h03

Allez, peterpan, un beau geste; un traitement correct avec un tenon qui n'est pas sur 3 mm,mais sur 6 ou plus; allez cherche bien dans ton musée, tu vas trouver, YESSSS.


024 vownvo - Eugenol
annie

02/02/2006 à 22h08

Peterpan,la deuxième photo c'est quoi comme gateau
c'est un peu flou,clafoutis?


60px peter pan by nk - Eugenol
peterpan

02/02/2006 à 22h10

ça y est merci adhoc j'ai nettoyé et mis la provisoire mais j'ai vomi 2 fois,vite un bain de bouche et à moi clochette bonne nuit les potes

Photo 007 oxysc8 - Eugenol
Photo 001 kh2hi3 - Eugenol

Avatar transparent iqadnc - Eugenol
adhoc

02/02/2006 à 22h12

Gros polype gingival?


60px peter pan by nk - Eugenol
peterpan

02/02/2006 à 22h22

non non adhoc c'était tout simplement un peu de hum-hum ,allez bye ,mes nausées me reprennent


Avatar transparent iqadnc - Eugenol
adhoc

02/02/2006 à 22h23

T'en es à combien de mois? Tu sais, les 2 premiers mois, c'est normal!


60px peter pan by nk - Eugenol
peterpan

02/02/2006 à 22h32

t'inquiète je vais le faire sauter,j'en ai marre de me la faire mettre par qui tu sais-------------------bon n'oublie pas ma question HN? OU ED?---------t'as la nuit pour réfléchir, bye ,d'avance merci


60px peter pan by nk - Eugenol
peterpan

02/02/2006 à 22h39

non non annie, c'était de la vraie hum hum sous la couronne vas voir la 2eme photo, une fois nettoyée ça fait moins claffoutis ,attend la suite ,j'ai mieux pour plus tard, bonne nuit


024 vownvo - Eugenol
annie

02/02/2006 à 23h17

peterpan Ecrivait:
-------------------------------------------------------
> t'inquiète je vais le faire sauter,j'en ai marre
> de me la faire mettre par qui tu
> sais-------------------bon n'oublie pas ma
> question HN? OU ED?---------t'as la nuit pour
> réfléchir, bye ,d'avance merci


ne rève pas trop,c'est indu!!


Avatar transparent iqadnc - Eugenol
adhoc

02/02/2006 à 23h21

C'est un original, il me plait bien , ce jeunot, on va pas s'ennuyer!


024 vownvo - Eugenol
annie

03/02/2006 à 01h10

Peterpan,pas bête ton idée de separer toutes les racines des dents pour compter 2Xsc33,mais c'est qd même un peu long non de les séparer ,est-ce que ça justifie la différence?
Adhoc,même sentiment que toi


Allen Fresh

03/02/2006 à 14h59

record battu?

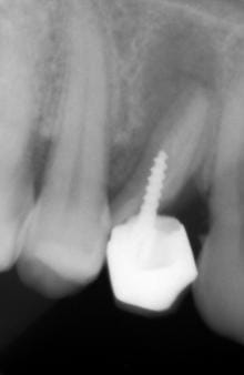
Screw glugm0 - Eugenol

Grueavatar nptrc9 - Eugenol
Le Choixpeau magique

03/02/2006 à 17h01

Ou est-ce que ça s'achète vos couronnes à visser directement dans les trous des racines ? Il y a plusieurs tailles ?


60px peter pan by nk - Eugenol
peterpan

03/02/2006 à 21h24

alors là allen je dis bravo, je te discerne le 1ER PRIX PROVISOIRE SECTION RADIO,les larmes m'en viennent aux yeux, excuse je suis très émotif---------------------------------------------il y aura un résultat trimestriel , donc pr le 1er, au 1ER AVRIL avec comme récompense un envoi, autorisé par les eugénoliens, suite à un vote dèmocratique bien sur(cela changeras leurs habitudes), a la cnsd ,l' ujcd et publication souhaitée ds l'indépendantaire, nous éviterons la sécu pour ne pas perdre l'augmentation du joli mois de mai tout en gardant celle de l'urssaf:que tout ceci reste entre nous --------------------------------------allez mes amis, a vos archives radios ET photos


12