Cookie Consent byPrivacyPolicies.common premier...all on 4.... - Eugenol

mon premier...all on 4....

Pébé.

04/03/2006 à 18h58

Ouais, on pourrait dire ça comme ça, mais ça n'est que mon avis.


carole

17/03/2006 à 14h33

les nouvelles de ginette: tout va bien ;) ...

0 douleur - 0 gène - un plaisir vrai de retrouver son palais et de pouvoir vivre normalement.... un gros point noir : elle trouve les 2 mois encore à attendre avant le all on 4 mandibulaire trop long ;)

nous allons très probablement faire un all on 4 Md en nobel guide, vous aurez les images si vous le souhaitez.


carole

01/04/2006 à 14h05

Des nouvelles neuves!
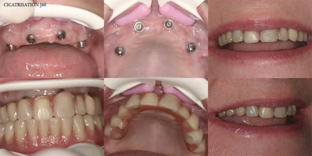
ce matin, 9heures... nous sommes à J59...

Ginette j60 qhdbxm - Eugenol
Rx pnlu5j - Eugenol

carole

01/04/2006 à 14h13

J'oubliais... douleurs 0, bien etre 100%, proprioception en cours, aucun devissage spontané, serrage 15 newton.

j' ai juste retravaillé très ponctuellement le contact muqueux sous la selle (en distal de la 22) pour compenser une perte legere de contact consécutive à la fin de l' oedeme muqueux... bref, ça faisait un peu zozotter ginette qui méritait pas ça ;)
...


Amibien

01/04/2006 à 18h47

et le test des bras, que dit-il ???


carole

01/04/2006 à 20h03

j' attends l' occluso dans quelques jours... en attendant, je reste rigoureuse, laborieuse, et terriblement classique: test du papier articulé...

si non, si c' est l' autre test des bras, celui de se faire embrasse par sa patiente, et de l' embrasser à son tour, celui-là était au rendez_vous...c' est toujours un grand plaisir que de voir ginette pour son suivi.

Au fait... nous somme à J60, soit 58 jours après la pose du bridge provisoire...
si je me souviens bien, en écoutant certains, avec debelles greffes, nous serions à J-270 avant la mise en charge... (attente pour la greffe et l' ostéointégration...sans parler des blessures de la PAT prov, et son instabilité...et en ne tenant pas cas des opérations à répétitions...)


prochain suivi dans 40 jours environ.


024 vownvo - Eugenol
annie

01/04/2006 à 21h28

bon Carole tu n'as que des compliments,alors pour t'éviter la grosse tête je vais te poser deux questions de super novice
1/ pourquoi autant de différence de taille et de couleur entre la 11 et la 21 ,?
2/ pourquoi n'y a t-il pas centrage des points incisifs médians sup et inf
la troisième tu y as répondu,les implants étant visibles
simple curiosité


carole

01/04/2006 à 21h45

annie Ecrivait:
-------------------------------------------------------
> bon Carole tu n'as que des compliments,alors pour
> t'éviter la grosse tête je vais te poser deux
> questions de super novice
> 1/ pourquoi autant de différence de taille et de
> couleur entre la 11 et la 21 ,?

parce que je fais pas la prothèse!!! oups, ça y est, j' ai la grosse tete!! ;) lol
non, en fait, à cause de l' axe de l' implant qui était dessous, j' ai du meuler la dent 21 le jour J de la chir/empreinte...et la prothé n' en avait pas une exactement idem sous la main ... en outre, en bouche, ça ne m' avait pas choqué...ça fait meme naturel...mais maintenant que tu le dis... au prochain passage de ginette par le cabinet, je lui égalise au moins les hauteurs de 11 et 21 ... ton regard est plus frais que le mien ne l' étais... et je suis stt omnubilé par l' occlusion, le serrage des vis, les RX... bref... j' avais pas vu que la rep en urgence du jour J se voyant autant... merci!

> 2/ pourquoi n'y a t-il pas centrage des points
> incisifs médians sup et inf

souviens-toi du premier post
http://www.eugenol.com/eugenol/file.php?2,file=4594
et regarde d' où on est parti...le bridge prov que tu vois a été réalisé en un temps très court d' après l' ancienne proth partielle adjointe résine provisoire de la patiente, qui était déjà une proth immédiate post extractionnelle...que j' avais posé le jour de l' extraction des dents post il y a plusieurs mois.
dans ces conditions, on n' a pas toujours l' aisance que l' on a pour adapter 2 PAT entre elles... on a du jouer avec les dents restantes...et le tout avec les petites difficultés techniques des proth immédiates...

bref, au maxillaire, c' est la meme proth qui a été en premier une proth partielle immédiate, puis un bridge prov complet pour mise en charge imlmédiate...
et à la mandibule, c' est aussi un complet immédiat...qui avait été réalisé et poséen meme temps que celui du maxillaire.... d'où le pourquoi du comment...


le milieu inter-incisif maxillaire, en outre, est bien dans le plan médian du visage...ça reste l' élément important...


> la troisième tu y as répondu,les implants étant
> visibles
> simple curiosité

c' était quoi la troisieme?
je suis curieuse aussi ;)



024 vownvo - Eugenol
annie

01/04/2006 à 21h53

la troisieme,les implants étant visibles je crois que tu as dit que tu allais corriger les contacts muqueux
pour la taille de la 21,ton proto peut tricher en rajoutant de la résine rose, au collet de manière à la diminuer
une autre question,si l'on fait des implants,l'avantage n'est il pas d'avoir une prothèse fixe plutot que mobile,ou dans ce cas ce n'est que pour stabiliser une prothèse moins envahissante,et pas le même devis qu'un bridge complet je suppose


Dos02 qpcfgi - Eugenol
Rick

02/04/2006 à 16h59

"1/ pourquoi autant de différence de taille et de couleur entre la 11 et la 21 ,?
2/ pourquoi n'y a t-il pas centrage des points incisifs médians sup et inf"

Excuse Annie que je mette ma fourchette, il ne s’agit point de défendre Carole.
Bien des imperfections j’avais remarque sur la transitoire mais pas au point de les soulever, et je ne suis pas tendre, ainsi q’avec moi-même.

Résine rose entre les dents et formes asymétriques. Accorder l’ensemble avec le volume des implants, ligne du sourire, occlusion et temps imparti, j’imagine avant tout le désarroi du ou de la proto à la livraison de la prothèse. (pas compris par le CD lambda non initié.)
Il arrive que certains cas posent des difficultés en termes de temps et réalisation, le manque d’objectivité au départ qui s’acquiert à mesure de l’avancement du travail, pour un résultat issu du pif et de l’expérience, le parfait, requis et souhaité n’es pas toujours possible.

A tout bien tout honneur, merci Carole de montrer des cas au résultat final incertain et souhaité correct. Beaucoup trop n’osent pas montrer leurs cas par peur du regard ou verdict inquisiteur, mais parfaits voyeurs de trous de lorgnette.


024 vownvo - Eugenol
annie

02/04/2006 à 17h33

tu veux dire Rick que j'aurais du me taire? je pense que ce sont des retouches qui pourraient améliorer le résultat final
quand au centrage des pts incisifs,j'en demandais l'explication
Carole me remercie et toi tu m'accuses,s'il faut dire amen à tout travail présenté,sans dire ce que l'on pense,je n'en vois pas l'intérêt,sinon de rendre evidemment hommage(il n'y a pas l'equivalent au féminin) à la personne qui les présente




Dos02 qpcfgi - Eugenol
Rick

02/04/2006 à 17h50

La problématique temps réalisation m’amène au cas d’une star du théâtre « princesse », jamais de temps disponible.

Bien des inconnues se présentaient et notamment le nombre de dents à remplacer, vu l’urgence le protocole prévisionnel quantité/décision/ posait des difficultés
Le jour J, empreintes prises un dimanche matin because relâche, prothèse posée l’après midi, fallait faire en un temps minuté une pap résine unilat sup 17>22

Pas d’empreintes préalables d’étude, le bridge antérieur risquant de venir avec l’empreinte.
Pas de bases d’enregistrement, mordus silicone, bridge bancal

Heureusement j’avais commandé plusieurs jeux de dents en double, ai du refaire la prothèse le résultat de la première ne me convenait pas. Travail réussi en temps/résultat escompté mais ça aurait pu être une catastrophe, annulation du spectacle du lendemain et remboursement des places acquises.
Une PBM s’ensuivi ainsi qu’en bas, choix d’implants non convaincants par ma princesse, qui est ravie des prothèses actuelles mais poseront des problèmes, la remise en état fonctionnel est incompatible avec son emploi du temps, jusqu’a la prochaine urgence.


Dos02 qpcfgi - Eugenol
Rick

02/04/2006 à 18h09

Non-Annie ne prend pas ça comme une boutade personnelle, j’aurais écrit tout autant dans les mêmes circonstances pour un cas à toi comme à celui de saint pierre.
Toute critique est constructive, et bien que ne connaissant pas carole je ne la voie pas vexer le travail de son proto. Le 2eme post te donne peut être un peu de lumière.
De toute façon je pense des transitoires que serviront de référence pour mieux faire les définitives.

Annie humblement, as-tu pensé demander à ton proto d’assister au déroulement du travail et faits d’une demi-journée au sein du labo ? C’est très enrichissant et gratifiant en tous points de vue.
Amicalement.


Dos02 qpcfgi - Eugenol
Rick

02/04/2006 à 18h51

Pour le plaisir Annie
Suite d’un affreux transitoire avec fausse gencive que je n’ose pas montrer dont le jugement critique m’a beaucoup aidé.

Bon01 krcerj - Eugenol

carole

02/04/2006 à 20h03

please... no fight!!! ;) je ne crois pas que 100% de nos travaux soient à 800% parfaits sur tous les points...surtout dès que l' on pratique des actes où les délais sont très brefs... comme ici, où le travail est un travail d' équipe: radiologue, prothé, assistante, et dentiste... sans oublier que, qu'on le veuille ou non, tout ne revet pas la meme importance à nos yeux quand on est "responsable" d' un traitement un peu lourd pour un patient....

ensuite, c' est comme pour les photos des mannequins, qui, meme plus que canon (Patrick;) , voient leurs jambes se ralonger, leur teint s' illuminer, et leurs petits bouttons disparaitre!!!! nous sommes à l' ère du numérique et du lissé...et notre oeil s'habitue à décortiquer les images.
Je sais très bien me servir de photoshop, mais ne m' en sert jamais sur mes cas cliniques. Il suffit d' une fois pour le faire systématiquement par la suite....
il fait nul doute à personne que ce qui nous parait parfois un très bon résultat à échèle des yeux, se révèle etre perfectible sur des photos...et tant mieux, car ça nous aide à nous améliorer.
Annie a bien compris que le petit déséquilibre esthétique était causé par le timing uniquement... et, très sincèrement, meme avec cette coquetterie, je ne rougis pas, car, ce que je retiens de ce cas, c' est d' avoir géré la globalité sans ombre, d' avoir des positions d' implant relativements optimales vis à vis des sinus.. (difficiles de leur coller plus sans rentrer dedans, n' est ce pas? ;) et d' avoir une prothèse très naturelle, fonctionnelle, particulièrement équilibrée pdv occlusion, et 100% passive sur les implants.

en outre, petit appel à nouveau à tous ceux qui ont des photos de cas similaires...


Icon poker h4nm2d - Eugenol
jeff

02/04/2006 à 20h50

et pour donner une dernière precision à annie, c'est bien de la prothèse fixé transvisé, et non de la complète stabilisée.


024 vownvo - Eugenol
annie

03/04/2006 à 04h03

merci pour cette précision,et l'hygiène se gère t-elle de la même façon qu'un bridge "normal" ou il y a til d'autres impératifs?
Ps/ pour Carole,si j'avais su que c'était fixé je n'aurais peut -être rien dit,de toute façon bravo pour la présentation de tes cas,ton enthousiasme,et ta soif de perfectionnement


024 vownvo - Eugenol
annie

03/04/2006 à 04h14

pour Rick
qui demandait

Annie humblement, as-tu pensé demander à ton proto d’assister au déroulement du travail et faits d’une demi-journée au sein du labo ? C’est très enrichissant et gratifiant en tous points de vue.
Amicalement.

° | °
j'ai souvent été au labo pour discuter de cas présentés et montrer ce que je voulais exactement
et profiter ainsi de voir les étapes de leur travail,aucun problème entre nous sur ce plan la















carole

04/04/2006 à 01h38

annie Ecrivait:
-------------------------------------------------------
> merci pour cette précision,et l'hygiène se gère
> t-elle de la même façon qu'un bridge "normal" ou
> il y a til d'autres impératifs?
> Ps/ pour Carole,si j'avais su que c'était fixé je
> n'aurais peut -être rien dit,de toute façon bravo
> pour la présentation de tes cas,ton
> enthousiasme,et ta soif de perfectionnement

annie, je pense que tu as du revisiter le recap du ttt immédiat de cette patiente pour re-visionner non pas la 21 mais la forme de l' arcade, des contactes muqueux, des suprastuctures prothétiques, et des orifices d' acces pour transfixer le bridge prov en MCI....

aussi, sur les photos, on voit le contact muqueux qui doit etre le siège d' une hygiene très pointilleuse.... il faut avoir expliqué et s' assurer que la patiente ait bien compris la zone à brosser, tout autour des piliers multi-unit.
en soit, c' est proche d' un bridge sur pilotis, plus que d' un bridge traditionnel....meme si tout doit toujour etre bien brossé.

ici, l' hygiène est notamment au niveau muqueux avec des muqueuses fines et sensibles... brosse à dents 15/100eme bienvenues, avec brossettes, elugel, et listerine.
controle de l' efficacité par nos soins lors des séances obligatoire, avec explication des pts faibles.


un détail: avant de revisser la suprastructure lors des seances de suivi, je badigeonne toujours l' intrados d' elugel. (bétadine possible aussi... enfin, dans l' esprit, ça reste proche...).



Amibien

04/04/2006 à 02h16

Carole,

au lieu de mettre de l'élugel, tu peux essayer un mélange de dioxyde de titane et d'eugénol, la chambre de la vis restera comblée et clean et le film de pâte reste vraiment micrométrique...

ce mélange reste meuble et s'enlève facilement...


Image 4 lrchtq - Eugenol
Alain

04/04/2006 à 22h23

A ce propos, comment obturez-vous vos cheminées d'accès aux vis de prothèse? J'en suis toujours au Systemp inlay pour protéger les têtes des vis, puis compo par dessus. Avez-vous une méthode plus pratique?

Merci d'avance.


al

04/04/2006 à 23h38

une boulette de coton et basta. tu sais quand on retrouve des années après dans des chambres pulpaires des boulettes de coton, je vois pas quel mal il y aurait à en mettre une dans un puit en titane.


Image 4 lrchtq - Eugenol
Alain

04/04/2006 à 23h55

merci al mais ça poque, les vieux cotons! beurk!

suivant!


al

04/04/2006 à 23h57

tu imbibes d'hypochlorite, et y a aucun problème d'odeur après.


Image 4 lrchtq - Eugenol
Alain

05/04/2006 à 00h28

j'en doute quelques années après. Il doit bien se produire une contamination des puits par infiltration entre la prothèse et les piliers non? Le NaClO du coton, après quelques heures, il n'existe plus...


12345...