Cookie Consent byPrivacyPolicies.common premier...all on 4.... - Eugenol

mon premier...all on 4....

carole

05/04/2006 à 00h41

par contre, avec de la bétadine, ça dure...

enfin, moi, je met de l' elugel dans l'intrados, et lors de la mise en place des connectiques, il en ressort toujours par l'intérieur des piliers titanes...je place alors beaucoup de cotton pour ne pas avoir de difficultées à retrouver les vis, puis du flow (si durée courte et si non visible....)...et hop, c' est rapide et efficace.


Image 4 lrchtq - Eugenol
Alain

05/04/2006 à 00h51

merci carole,
tu n'as pas de bouchons de flow qui prennent leur liberté après quelques semaines? Le coton ne fait pas "amortisseur" dessous?
PS: la bétadine ne colore pas ton compo? la verte? comment la dilues-tu?


carole

05/04/2006 à 21h41

Alain Ecrivait:
-------------------------------------------------------
> merci carole,
> tu n'as pas de bouchons de flow qui prennent leur
> liberté après quelques semaines?


pas encore arrivé...mais ça ne serait pas grave...


> Le coton ne fait
> pas "amortisseur" dessous?

en fait, le cotton, bien tassé, se comporte bien...


> PS: la bétadine ne colore pas ton compo? la verte?
> comment la dilues-tu?

utilisé pure avec la vis

mais si tu relis le post, perso, je prèfère l' elugel....



Image 4 lrchtq - Eugenol
Alain

05/04/2006 à 22h13

Banco! je teste sur le prochain!

Merci al, merci carole.


newone

10/04/2006 à 21h17

patafix.
ca marche aussi.


carole

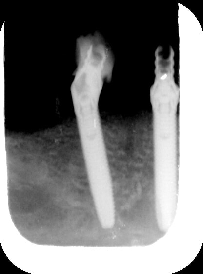
12/05/2006 à 21h08

suivi J100... ras...que du bonheur...bon, on attend quand meme la définitive...programmée en fin d' année....

PJ les RX du jour

Ginette1 m6wcq1 - Eugenol
Ginette2 fmx7wf - Eugenol

carole

12/09/2006 à 19h19

des news....nous venons de finir il y a 1h l' arcade antagoniste (mandibulaire s'il y en a qui ne suivent pas ;) en all on 4 version nobel guide... 4 implants de 4x18mm tous bloqués à plus de 45 newton...si vous etes sages, je vous poste quelques photos ;)

PS: on a fait du nobel guide à ciel ouvert....

PS2: Ginette viens de finir une tarte au citron (sans la croucroute ;) et c' est qu' un debut???correga n' a qu' à bien se tenir ;) lol

PS3: dedicace à amibien, jeff2, .... bcp d' autres et stt Isaïe...les tests de bras sont incroyablement utiles et top moumoutte cf marie-hélène pour finir le réglage finement...

PS4: Ginette a mal du coté gauche, hypotonique avec son ancienne occlusion, idem qd idee noires, ...donc je crois fort les doigts pour que ce moment fort (pas franchemlent agréable, mais fort) ira dans le sens des choses positives qui l' attendent, et nous allons suivre de près l' os, et celle qui est autour, notemment au niveau de l' épaule....

PS5: yaurapasdeps6


Amibien

12/09/2006 à 21h37

elle est trop ! euh top !


carole

12/09/2006 à 21h51

Alain Ecrivait:
-------------------------------------------------------
> merci carole,
> tu n'as pas de bouchons de flow qui prennent leur
> liberté après quelques semaines? Le coton ne fait
> pas "amortisseur" dessous?

je tasse bcp le cotton, et j' ai eu de la chance, c' est pas parti, mais ça va m' arriver demain...ce n' est u' une question de jours... oups, j' oublie, oui, ça m' estr arrivé il y a 3 ou 4 semaines je crois... ben... spray, dosiseptine, et recotton ;) pas grave!

de toute façon, il faut controler ses serrages à 1 mois.... lol

> PS: la bétadine ne colore pas ton compo? la verte?
> comment la dilues-tu?

je la dilue pas...

en fait, je met de l' elugel dans l' intrados, c' est tout...

mais bcp de confrères trouvent que ap la bétadine, quand on demonte, ça sent pa, alors qu' après l' elugel, ça sent pfs un peu l' anaerobie... quanbd je serais plus vieille, je te dirai selon mon expérience, pour le moment, no soucis avec l' elugel....



carole

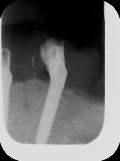
12/09/2006 à 21h53

rx du haut...8 mois après...

Gin8m1 wfymdg - Eugenol
Gin8m2 rdbaga - Eugenol
Gin8m3 zsapdx - Eugenol

carole

12/09/2006 à 21h55

l' implant en 25 aurait pu etre un peu plus distalé....mais plus court...


carole

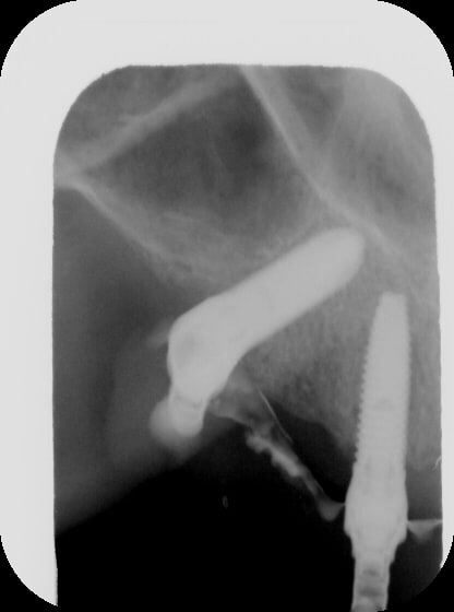
12/09/2006 à 21h55

je vous montre le bas ;) oups!


(rrrhhh....les radio, dans ces secteurs là aplatissent tout, on dirait des implants presque parallèles... rrhhhh...)

Gin1 vfjd6v - Eugenol
Gin2 lzgl9h - Eugenol
Gin3 zmirus - Eugenol

carole

12/09/2006 à 22h04

Et pour les paro amoureux, du noflapless ;)

Pas de ga svdirk - Eugenol
No flapless tmntsi - Eugenol
Mordu nobguide zxh4qz - Eugenol
Big foret bzomqd - Eugenol

carole

12/09/2006 à 22h06

ça faisait bien longtemps que je ne vous avais pas embetés avec mes photos ;)


damdam

12/09/2006 à 22h09

Bravo, super, çà donne envie de s'y mettre.....


S8ysxdzhdqgw00w4q6m07a5d47q2 - Eugenol
gai-luron

12/09/2006 à 22h11

oui, le tout c'est d'y arriver


Img 1744 z0evts - Eugenol
dumaille

13/09/2006 à 23h40

ces quoi les deux petites couilles que ton patient à dans son vestibule?
ça à l'air agreable


Image 4 lrchtq - Eugenol
Alain

14/09/2006 à 00h16

Merci pour les tofs carole. Beau boulot.


Grueavatar nptrc9 - Eugenol
Le Choixpeau magique

14/09/2006 à 01h33

Moi des cas comme ça, ça me donnerait envie de faire dentaire. Pourquoi est-ce que j'ai fait une fac de .... de quoi déjà ?


Avatar ow44t3 - Eugenol
Chicot

14/09/2006 à 17h07

dumaille Ecrivait:
-------------------------------------------------------
> ces quoi les deux petites couilles que ton patient
> à dans son vestibule?
> ça à l'air agreable
>


je suis comme Dumaille, c'est quoi les p'tits boudins roses ??


Squash u44zd8 - Eugenol
steph

14/09/2006 à 18h22

L'écarteur.


carole

14/09/2006 à 21h20

steph Ecrivait:
-------------------------------------------------------
> L'écarteur.


and the winner is.... lol


viiii, c' est l' ecarteur kerr, tiptop pratique...stt quand on n' a pas de cottons salivaire...c' est + qu' un ecarteur photo, ça sert bcp ds les cas antérieurs qd on monte des compo tests sans digue ou plein d' autres choses fun!

mais heuuuu... ne me dites pas que ces boudinous vous font plus parler que le reste... vous zettes pas très curieux du resenti chir, de la technique, de la patiente... ben alors, zettes encore en wacances zou koa????


Dos02 qpcfgi - Eugenol
Rick

14/09/2006 à 22h01

Mais non carole, déjà débrayé mais lentement, le soleil ramolli un peu la ciboule.
J'attendais les dents, le mordu-nobguide me fait flipper, tel que, Ginette n'est pas présentable.
Carole….Carole.. mais c'est bien sur, tu as fait le circuit? Amibien n'a pas osé!


carole

14/09/2006 à 23h22

na, pas fait le circuit, meme si...
pour les photos de fin, je ne voulais pas surcharger, ce n'était pas l' interet direct je crois,...(le bridge immédiat provisoire était dejà fini avant la chir, donc, il est beau, pas comme le bridge prov du max sup qui a souffert de la rapidité d' exé necessaire et de l'axe des implant antérieurs à cause de la pro-alvéolie max...)...


Dos02 qpcfgi - Eugenol
Rick

15/09/2006 à 10h02

Donc, acte II, bridges définitifs max et mand accordés comme un Stradivarius.
Merci carole


1...4567