Cookie Consent byPrivacyPolicies.common premier...all on 4.... - Eugenol

mon premier...all on 4....

Humator t9r5wy - Eugenol
humator

17/06/2008 à 15h55

pour répondre à carole, 2 ans après, je suis toujours très (trop?) méfiant...
Trop d'inquiétude pour moi de mastiquer sur 4.
Mais je reconnais que c'est séduisant ( tout comme les sirènes!)
merci carole pour le suivit !


carole

17/06/2008 à 21h46

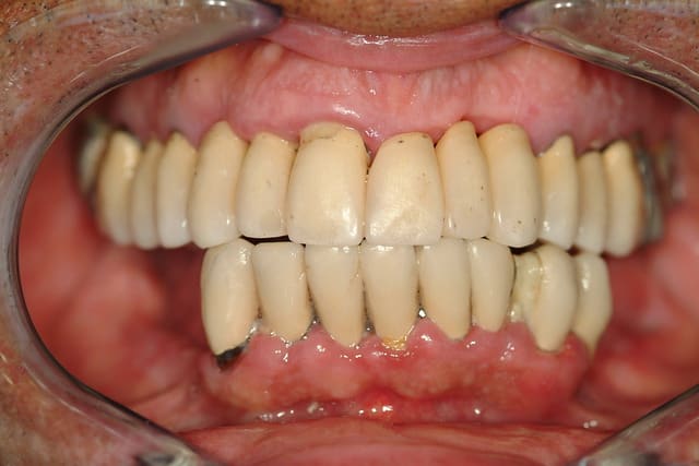
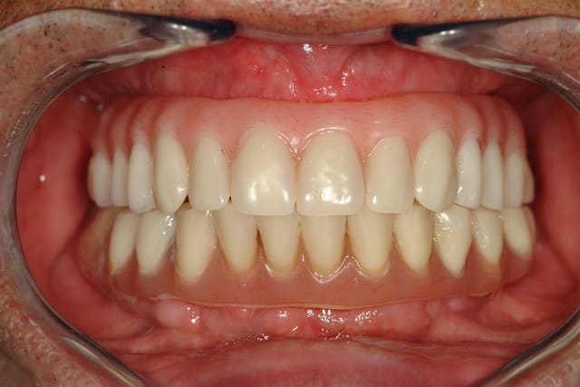
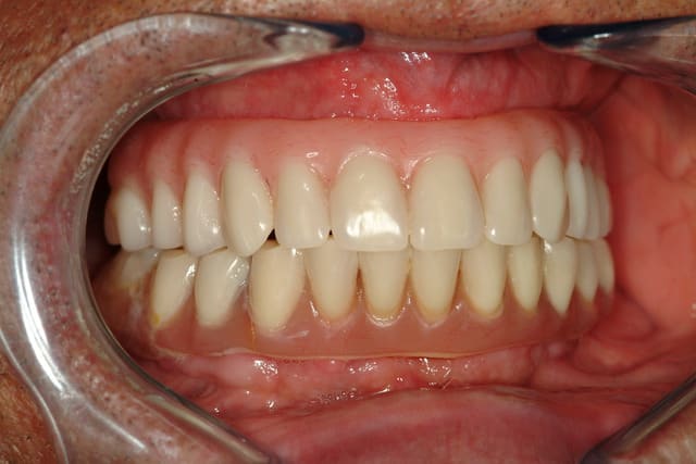
je suis aussi d'une prudence assez grande, et je preconise toujours le all on 6... le all on 4 restant pour moi l'alternative graft less quand on ne peut mettre les 6 i stratégiques... surtout au maxillaire (comme ici)...
quand c'est un probleme d'argent, je prefère faire un "joli" geste...c'est plus élégant et moins risqué :)
...


Utilisateur anonyme

18/06/2008 à 15h30

trimarc Ecrivait:
-------------------------------------------------------
> bravo
>
> le résultat est très bien

> par contre je ne comprend pas pourquoi quelqu'un
> avec ton talent fait ce type de chirugie/prothèse
> je ne pense pas que 4 implants puissent supporter
> (avec une telle angulation en plus) une
> mastication efficace

Les molaires jouent donc un rôle primordial dans la répartition des charges au sein du système, les contacts entre les molaires génèrent en effet 100% de contraction musculaire, alors que les contacts entre les incisives génèrent des contractions musculaires beaucoup moindres, ce vraisemblablement suite à un mécanisme d’inhibition des contractions au départ des propriocepteurs desmodontaux des incisives.

Chez des patients édentés molaires, il y a inhibition de la contraction musculaire lors des contacts incisifs mais il faut savoir que 60% des charges musculaires vont se reporter sur les ATM, alors que dès qu’il y a rétablissement du tampon molaire, ces charges sur les ATM ne seront plus que de 5%.
>

????



Images 1 qtgoxf - Eugenol
ciwil

22/06/2008 à 15h39

carole Ecrivait:
--------------------------------------------------
> je suis aussi d'une prudence assez grande, et je
> preconise toujours le all on 6... le all on 4
> restant pour moi l'alternative graft less quand on
> ne peut mettre les 6 i stratégiques... surtout au
> maxillaire (comme ici)...


surtout quand les recommandations martelées de garder une hygiène parfaite et une alimentation semi-molle pendant quelques semaines n'est que moyennement respectée pendant la phase de prothèse provisoire.

Pict0076  large  xpgwww - Eugenol
Pict0077  large  xde4iv - Eugenol

cavapeter

22/06/2008 à 22h11

pour les minis implants, j'utilise un système francais depuis 2 ans et demie. L'implant est de 2, 2.5, ou 3 mm de diam et long 11mm et 13mm et surtout en grade 4 donc plus costaud. Un autre aspect interessant, c'est qu'il est conçu avec un pas variable (espace entre les spires à l'apex de 1mm et se terminant au col à 0.7 mm) ce qui ameriole considerablement l'ancrage primaire. Pour info, je pose ce type d'implant en faisant une petite incision de décharge. J'ai egalement pose ces implants au maxillaire superieur, et ça marche à condition de respecter le protocle de la societe qui commerciale ces implants.
Pour les echecs (9 sur 70 poses). C'est pas la solution miracle, mais je suis content de stabiliser les complets haut et bas de mes petites mamies qui ne veulent pas subirent de greffes pour une expansion de crete.


P1010130 jpci1f - Eugenol
MarcB6

03/03/2010 à 14h13

carole écrivait:
----------------

> en outre, petit appel à nouveau à tous ceux qui ont des photos de cas
> similaires...

Bonjour Carole,

Je découvre ton post assez récemment.
Je fais également beaucoup de cas similaires
extraction implantation et mise en charge immédiate ou différée à quelques jours.
J'ai abandonné la MCI au maxillaire sur 4 implants c'est trop risqué.
Aucun filet de secours, je préfère avoir au moins 6 implants bloqués à min 30 Ncm, pour mettre en charge un maxillaire complet.
A la mandibule 4 implants, ça fonctionne très bien, j'en ai fait beaucoup aussi.
Je tacherai de mettre sur le site d'autres photos.
Je fais cet après midi un Maxillaire avec plusieurs dents à extraire.
Voici déjà un cas avec 6 implants maxillaire et mandibulaire.
Le bas est pour le moment en résine, on doit passer plus tard à un bridge vissé sur armature métallique.

Cordialement

--
marcB6

Dscf0729 eezfrb - Eugenol
Dscf0288 alldcj - Eugenol
Dscf0291 srvzpt - Eugenol
Dscf0283 usejbi - Eugenol
Dscf0769 tpgocn - Eugenol
Dscf0771 mnea7l - Eugenol
Dscf0788 asxgfn - Eugenol
Dscf0280 pyotip - Eugenol
Dscf0281 f11x4i - Eugenol
Dscf0282 bmrfkw - Eugenol
Planche charmois 1 a24nyw - Eugenol

3f3boxni50k58rq7e9ce9ddqrxgk - Eugenol
dentiste57

03/03/2010 à 14h22

merci pour tes photos marc, mais as tu des photos des phases préparatoires ?
sur le bridge du haut , il y a beaucoup de résine, quid du nettoyage?


P1010130 jpci1f - Eugenol
MarcB6

03/03/2010 à 15h16

dentiste57 écrivait:
--------------------
> merci pour tes photos marc, mais as tu des photos des phases préparatoires ?
> sur le bridge du haut , il y a beaucoup de résine, quid du nettoyage?

Salut D57,

Désolé, D57, je n'ai pas la méthodologie de tout prendre en photos et tout archiver.

Souvent je me limite aux photos avant, en cours de traitement (pas de chirurgie) et après.
C'est bien pour cela que je ne poste pas les cas que je réalise.

J'admire pour cela certains confrères du forum qui font ça avec brio.

Je vais tacher de faire un cas "step by step" et le poster.

Le maxillaire a été fait en 2009 et la mandibule en 2007.

Pour répondre à ta question sur le nettoyage.
ce qui est primordial c'est d'avoir une crête la plus plate possible.
Il ne faut pas hésiter à faire des régularisation pendant la chirurgie.
En effet si la crête est plate, on peut demander au prothèsiste de faire l'intrados légèrement convexe.
De cette façon l'hygiène est facilitée.
Hydropulseur aussi vivement recommandé.

Cordialement

--
marcB6


berli

19/03/2010 à 19h49

tres joli cas
Je pratique egalement depuis un moment les all in 4 max< et <
Dans l'absolue je prefere aussi all in 6 max> mais souvent pas de volume osseux en arriere des piliers ant des sinus max et donc mep de 2 implants obliques dans la zone post
pour arriver aux 6 prothetiques

le moins evident est de conserver une angulation maxi
pendant le forage (souvent tres soft du fait de la qualité mediocre de l'os)malgres l'aide du guide malo
il est aussi difficile . d'obtenir une convexité de l'intrado(preconise par malo and co)par le labo

ce type de tt est en effet border line mais que faire pour tter des patient edentés depuis lgtps porteur de PAC + ou- stables avec cretes fortement resorbées et demandeur de tt fixe?
graft = grand confort pour le mep des implants ...
mais longueur du tt , patho gene de certain patients , cout ...
Je regrette de ne pas pouvoir iconographier mes cas car une seule aide op pdt les interventions ...
Merci à tous de nous permettre d'evoluer et de prendre le temps de poster leur belles photos et reflexions divers
Bye


1...67