Cookie Consent byPrivacyPolicies.compulpite sous bridge... les radios!!! - Eugenol

pulpite sous bridge... les radios!!!

Images eb1m5g - Eugenol
tonio

10/04/2006 à 23h41

j'ai revu aujourd'hui en urgence une patiente qui présentait une pulpite sous un pilier de bridge.

Le confrère que je remplace a effectué un bridge de 45 à 47 sur la patiente. La 45 est dévitalisée avec un IC, l'endo est au dessus de tout soupçon. La 47 a été taillée vivante car exempte de soin préalable.
L'ajustage et l'esthétique du bridge céramo-métallique (à base or) est aussi nickel.

Le bridge a été livré un mois et demi auparavant et scellé provisoirement. Il a recu la patiente, il y a 15 jours pour le sceller définitivement au RelyX.

J'ai vu la patiente la semaine dernière, elle avait une douleur diffuse à la mastication et qui diffusait dans l'oreille. J'ai effectué un réglage occlusal du bridge car il y avait une interférence dans la latéralité travaillante.

Les douleurs ont diminué mais persistaient. Je l'ai revue aujourd'hui car elle présentait des signes manifestes de pulpite sur la 47.
Avec l'accord du praticien, j'ai procédé à l'ouverture de chambre de cette dent à travers le bridge, après avoir galéré pour anesthésier la dent causale. J'ai appliqué un coton imbibé d'eugénol + cavit (pas le temps de faire l'endo correctement).

Bref, c'est les boules d'abimer un beau bridge tout neuf...

Comment gérer vous ce genre de mésaventure?

Qu'utilisez-vous pour sceller ou coller sur dent vivante ou sur ce genre de reconstitution?

Perso, j'aurais tendance à démonter le bridge (ou le couper), faire l'endo, la reconstitution et refaire le bridge à mes frais. Et vous?
dans un cas comme celui là, j'aurais plutôt privilégié un bridge CCC car moins de transmission de la chaleur (à la différence d'un bridge avec une armature base or)

Lui, je pense qu'il prévoit de faire l'endo et mettre un compo par dessus.


Coeur n9py1g - Eugenol
patvat

11/04/2006 à 08h15

j utilise fujicem GC en pistolet
desceller est dangereux je prefere la trepanation plus confortable aussi pour le patient


pollux

11/04/2006 à 09h23

un implant.


alhoun

11/04/2006 à 10h06

exemple type de dentisterie chirurgicale iatrogène: la 47 était parfaitement saine, maintenat elle va avoir une endo, et la suite des évènements?
ce patient a-t-il eu le choix? y en a qui font des procès pour moins que ça.


Images eb1m5g - Eugenol
tonio

11/04/2006 à 10h17

patvat Ecrivait:
-------------------------------------------------------
> j utilise fujicem GC en pistolet
> desceller est dangereux je prefere la trepanation
> plus confortable aussi pour le patient


Ok, j'ai trépané la dent en essayant de ne pas claquer la céramique. Ce n'était pas évident car tous les repères anatomiques sont perturbés.


Images eb1m5g - Eugenol
tonio

11/04/2006 à 10h21

alhoun Ecrivait:
-------------------------------------------------------
> exemple type de dentisterie chirurgicale
> iatrogène: la 47 était parfaitement saine,
> maintenat elle va avoir une endo, et la suite des
> évènements?
> ce patient a-t-il eu le choix? y en a qui font des
> procès pour moins que ça.

Je sais bien alhoun. Je suppose que la dent était exempte de soin mais je ne peux l'affirmer absolument.

La suite des événements? Et apparemment, c'est bibi qui va s'envoyer l'endo... Et je galère pour trouver les canaux mésiaux... car la patiente part en vacances à l'étranger la semaine prochaine...


Coeur n9py1g - Eugenol
patvat

11/04/2006 à 10h30

tu n es PAS RESPONSABLE tu n as pas a culpabiliser pense au chir qui met un pansement et qu une gangraine gazeuze l oblige a amputer tu as fait au mieux ce ne sont que des aleas que tu domines en reintervenant


pollux

11/04/2006 à 10h30

tonio Ecrivait:
------------------------------------------------------
>
> Je sais bien alhoun.



non tu sais pas puisque tu demandes s'il valait pas mieux faire un bridge tout céram.

un implant point barre.


Images eb1m5g - Eugenol
tonio

11/04/2006 à 10h34

t'es qui, nom d'un chien?

Je ne parlais pas de ce cas précis mais des matériaux en général qui constituent les armatures sous les dents vivantes. Pffff....


pollux

11/04/2006 à 10h37

le frère de castor.

je t'ai répondu bridge sur dents vivantes intactes = implant.


Image19 iebot6 - Eugenol
athos

11/04/2006 à 10h37

un implant ET un coiffe sur la premo...

donc aussi, une coiffe et un inlay sur la molaire pouvaient aussi rivaliser avec l'implant quant aux contraintes et au service rendu.

mais le probleme ne se pose plus puisque c'est fait, alors l'endo s'impose, et un compo devrait suffire pour l'instant, imagine Tonio, tu depose tout et tu as un bug, genre felure, là ça deviendrait compliqué...au bout d'un moment faut laisser le patient tranquille...


al

11/04/2006 à 12h01

pollux, la question n'était comment faire pour éviter cette situation, mais comment résoudre le problème une fois qu'il se déclare.

sur qu'un implant eut été l meilleure solution.
mais ce n'est pas ce qui a été fait. alors que faire ?

personnellement, j'aurais choisi la trépanation de la couronne et l'endo. ensuite, refaire ou ne pas refaire bonne question à traiter au cas par cas.


S8ysxdzhdqgw00w4q6m07a5d47q2 - Eugenol
didier72

11/04/2006 à 12h07

mais comme le dit tonio, le problème est effectivement la perte des repères anatomiques classiques, donc souvent pas facile.


pollux

11/04/2006 à 12h35

al Ecrivait:
-------------------------------------------------------
> pollux, la question n'était comment faire pour
> éviter cette situation, mais comment résoudre le
> problème une fois qu'il se déclare.
>
> sur qu'un implant eut été l meilleure solution.
> mais ce n'est pas ce qui a été fait. alors que
> faire ?
>

comme tu l'as dit faire l'endo, pour la suite on a aucun élément pour se décider.


Utilisateur anonyme

11/04/2006 à 13h01

pollux ou le retour vers le futur:
un BBD point barre(et ton implant .. tu peux te le mettre sous le bras)


024 vownvo - Eugenol
annie

11/04/2006 à 17h41

le cas se tord,que va répondre pollux?


pollux

11/04/2006 à 17h49

pollux a peur de créer un désordre spatio-temporel.


024 vownvo - Eugenol
annie

11/04/2006 à 17h59

pollux Ecrivait:
-------------------------------------------------------
> pollux a peur de créer un désordre
> spatio-temporel.

pollux a peur? que va dire Castor?


Pa050055 igyagy - Eugenol
MARK

11/04/2006 à 23h07

Vas-y Pollux, tu as trouvé ta Margotte!
Tourniquotons autour du pot :)))


Blue eye thumb medium dx1i0w - Eugenol
bill

12/04/2006 à 01h29

Vraiment on se marre bien ici.
Composite point barre.
Inlay point barre.
Implant point barre.
Décidément elle est haute...


Images eb1m5g - Eugenol
tonio

12/04/2006 à 02h09

athos Ecrivait:
-------------------------------------------------------
> un implant ET un coiffe sur la premo...


oui ça aurait été la solution de choix surement. Je ne sais pas pourquoi la solution du bridge a été privilégiée. Peut être y avait-il quelque chose sur la 47 avant???


>
> donc aussi, une coiffe et un inlay sur la molaire
> pouvaient aussi rivaliser avec l'implant quant aux
> contraintes et au service rendu.
>
ben là je ne suis pas trop d'accord avec toi mon athos. A la fac, on m'a toujours appris à ne pas mélanger les genres, du genre inlay-inter-couronne et privilégier les solutions symétriques inlay-inter-inlay ou couronne-inlay-couronne. Sinon, on court à la cata. enfin, c'est ce qu'on m'a appris...



> mais le probleme ne se pose plus puisque c'est
> fait, alors l'endo s'impose, et un compo devrait
> suffire pour l'instant, imagine Tonio, tu depose
> tout et tu as un bug, genre felure, là ça
> deviendrait compliqué...au bout d'un moment faut
> laisser le patient tranquille...


Pas question que je démonte le bridge que je n'ai pas fait et puis j'ai pas le temps, l'agenda est blindé jusqu'à la fin de mon rempla. J'ai réussi à dégager 1H15 pour faire le traitement. Je vais devoir sortir les loupes (c'est un peu plus de travailler avec sans AD au fauteuil). Je vais devoir y aller mollo pour pas trop fêler la céram. Et je vais galérer à mort pour trouver les canaux mésiaux.

Je vais faire l'endo, après, c'est le titulaire qui jugera ce qu'il faudra faire pour la suite.

La suite, vendredi.


Pa050055 igyagy - Eugenol
MARK

12/04/2006 à 10h51

bill Ecrivait:
-------------------------------------------------------
> Vraiment on se marre bien ici.
> Composite point barre.
> Inlay point barre.
> Implant point barre.
> Décidément elle est haute...


ah, tu trouves aussi? :)


Zoe   son arriv e whwqpj - Eugenol
emma

14/04/2006 à 21h25

tonio Ecrivait:
> . Je vais
> devoir y aller mollo pour pas trop fêler la céram.

Pour ne pas exploser la ceramique il faut utiliser le CA bague rouge en douceur et en irrigant à donf, sinon cata.


Images eb1m5g - Eugenol
tonio

15/04/2006 à 00h34

tonio Ecrivait:
-------------------------------------------------------
> athos Ecrivait:
> --------------------------------------------------
> -----

> La suite, vendredi.





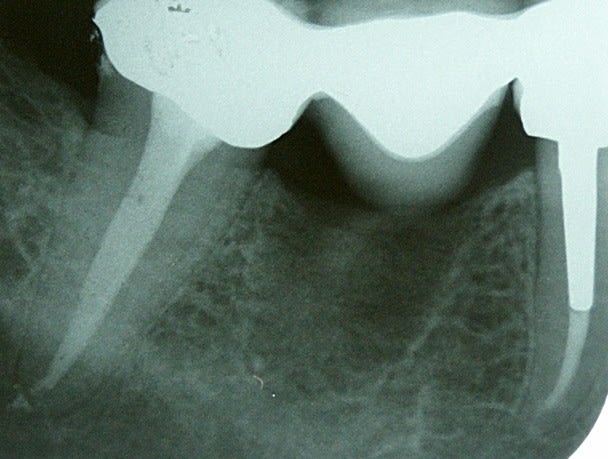
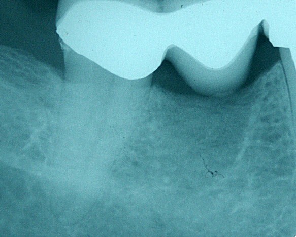
Ben voilà, j'ai fait l'endo aujourd'hui: digue, protaper, mac spadden, loupes orascoptic.

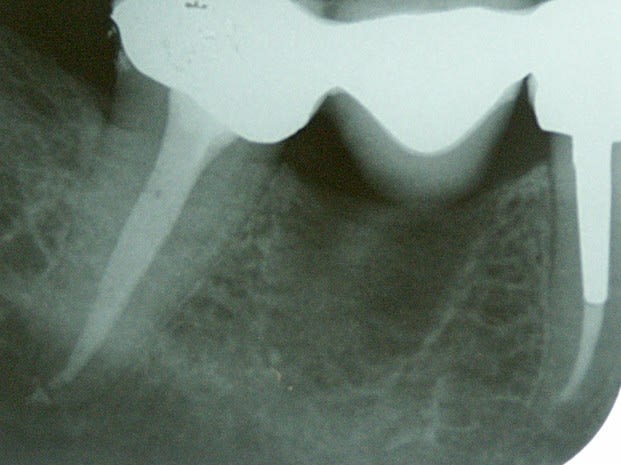
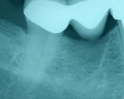
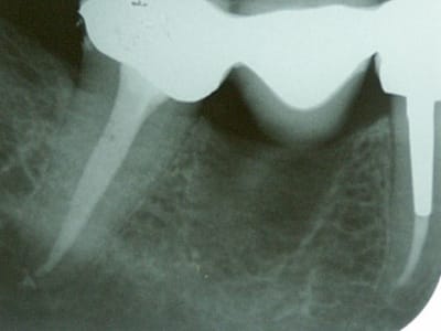
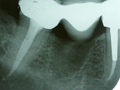
Je n'ai finalement trouvé qu'un seul gros canal dans cette fichue 47. J'ai du préparer à 45, tellement le foramen était gros. Il faisait bugger le root ZX.

Ci-jiont je vous file les radios.

La patiente est en or et a été super patiente pendant le soin.

Pict0134 ljkfxo - Eugenol
Pict0135 f9ixd3 - Eugenol
Pict0136 mvbr6x - Eugenol

024 vownvo - Eugenol
annie

15/04/2006 à 02h24

t'as quand même eu du pot dans ton malheur,de n'avoir qu'un si gros canal,en tout cas bravo!


12