Cookie Consent byPrivacyPolicies.comdark vador le retour - Eugenol

dark vador le retour

carole

05/05/2006 à 16h30

COAAAAAAAAAAAAAAAAAAAAAAAAAA!!!!!!!!!!!! algi, LA DIGUE!!!!!!!!!!! roudvindiou, attends que je te revoies!!!!!!

big merci de montrer un vrai cas comme on en a svt, avec les difficultés et les solutions que tu as mis en place ;) bravo... rdv ds 3,mois pour la rx de ctrl...


al

05/05/2006 à 16h49

Quand j'ai montré la radio d'endo au laser qui a inauguré ce fil, à Yves Yana, il a commencé par me féliciter. et ensuite il m'a dit,

"Tu ne dois jamais sous-estimer ta seule capacité intérieure à obturer tous les canaux." et ensuite "je suis certain que tu peux traiter ce cas et avoir un résultat similaire sans laser ça n'est rien d'autre qu'une question de volonté ! "

p... c'est dur de vouloir essayer de faire aussi bien qu' Yves Yana. A vous dégouter d'avoir un laser :)

je précise que la radio jointe c'est un de ses cas.

Dscn5337 nsldly - Eugenol

al

05/05/2006 à 17h19

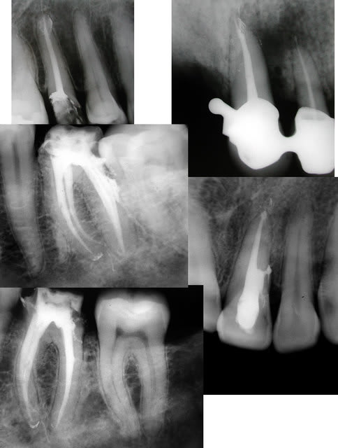
et pour le plaisir des yeux, quelques cas qu'il m'a envoyé...

Yana pas faire pareil ccgqar - Eugenol

Image19 iebot6 - Eugenol
athos

05/05/2006 à 17h21

ni laser (mais bon...mopi ça me rassurerait plutot), mais aussi ni rotation continue? tu confirmes al?

comme quoi, les outils, la technique...du moment que le but est atteint...


al

05/05/2006 à 17h24

à la main, athos, à la main. la rotation continue, ça l'intéresse pas :(


Image19 iebot6 - Eugenol
athos

05/05/2006 à 17h27

si je maitrisais a la main comme ça je me passerais aussi du reste!!!

etonnante tout de meme cette 21 et son canal lateral, visiblement il le voulait celui la (ou est ce une image de resorption intra?), s'il l'a vu avant je me demande bien comment il a fait...


al

05/05/2006 à 17h34

y a bien une résorption interne. pj la préop

Dscn5150 jjwlr6 - Eugenol

Bx1 spw1cx - Eugenol
BX

05/05/2006 à 19h10

Yoda, pardon Yana a dit ""Tu ne dois jamais sous-estimer ta seule capacité intérieure à obturer tous les canaux." et ensuite "je suis certain que tu peux traiter ce cas et avoir un résultat similaire sans laser ça n'est rien d'autre qu'une question de volonté ! "

Tout est donc une question de mental ( et d'hypochlorite accessoirement ).




024 vownvo - Eugenol
annie

05/05/2006 à 21h15

pour plus belles que soient les obturations d'Y Yana,sur lesquelles il n'y a evidemment rien à redire et qui inspirent le respect, il n' y a pas l'effet feu d'artifice de ton obturation laser,qui laisse à penser que quoiqu'on obture il en restera encore

ps par contre l'obturation est plus compacte,il n'a laissé aucune place pour la plus petite espece de bactérie


famos

05/05/2006 à 22h40

al,
pas de rotation continue ? pas de laser ?
totalement impossible !!!!!!!!!!!!!!!!!!!!
tous ces cas ne peuvent pas être faits seulement à la main sans rotation continue, ils sont trop parfaits; ou alors c'est un génie ce type là.
et c'est quoi sa technique d'obturation, al ?


maxims

05/05/2006 à 22h51

Annie, je me trompe peut-être mais je crois que la 13 a un max de canaux accessoires en mésial. t'as pas la préop al ?
de toute façon, c'est clean, rien a dire
Moi je croyais que c'était qu'un type noyé dans ses bouquins de fondamentale.
Il a quoi comme formation, je m'inscris de suite.
bye


maxims

05/05/2006 à 22h53

Famos
t'as rien compris, c'est pas un génie, c'est le jedaï lui-même
bye


024 vownvo - Eugenol
annie

05/05/2006 à 22h57

oui effectivement la 13 a plein de petits canaux accessoires,ils étaient cachés par le petit encart d'impression

pour Maxim,s'inscrire à la même formation,c'est bien mais sur 100 d'inscrits,chiffre prix en exemple,un seulement sortira du lot,comme pour tout,beaucoup d'appellés et peu d'élus


Bx1 spw1cx - Eugenol
BX

05/05/2006 à 23h41

L'an dernier guttaman nous faisait découvrir une radio bonne à vous donner des cauchemars et signée Dr Sleiman ( un autre as de l'endo ?)
http://www.eugenol.com/eugenol/file.php?8,file=1128 : tout à la force du poignet pourrait-on dire.

J'avoue que j'y pense souvent quand je me lance dans une bio sur une centrale ; quant à l'égaler, c'est une autre histoire.


024 vownvo - Eugenol
annie

05/05/2006 à 23h46

ils sont pistonnés c'est sur!


Bx1 spw1cx - Eugenol
BX

05/05/2006 à 23h57

Dans la vie ou dans un canal, le piston est un élément fondamental.


024 vownvo - Eugenol
annie

05/05/2006 à 23h59

pourquoi ils ne nous donnent pas l'adresse ou le trouver,ils se la gardent bien sur


al

06/05/2006 à 21h26

maxims Ecrivait:
-------------------------------------------------------
> Moi je croyais que c'était qu'un type noyé dans
> ses bouquins de fondamentale.

c'est avant tout un clinicien hors pair

> Il a quoi comme formation, je m'inscris de suite.

C'est un élève de Schilder. Mais tu vas avoir beaucoup de difficulté à suivre son cours, puisque paix à son âme de très grand de l'endodontie, Schilder est mort en janvier dernier.

Ceci dit, l'endodontie, au delà du matériel, c'est d'abord une question de temps. Je n'ai pas la radio ici, puisque n'étant pas au cabinet, mais hier, j'ai eu une 36 dont la radio montrait sur la racine distale une jolie double courbure, plus un apex quasiment à 90°. pour éviter de casser, j'ai traité à la main les 9/10èmes. Eh bien le résultat est là. Sans casse de protaper, qui n'ont servi qu'en fin d'alésage, plus pour fignoler qu'autre chose.

Mais ça m'a pris une heure trois quart, dont quasiment une heure pour le seul canal distal.


Marque a3 orange fyvhyq - Eugenol
Marc Apap

06/05/2006 à 21h42

Bon, pour reparler d'Yves, que j'ai interviewé la semaine dernière pour une certaine revue:
il fait tout à la main, mais s'il obtient d'aussi belles obturations avec des canaux latéraux et tout et tout, c'est parce que ses canaux baignent dans l'hypochlorite.
Et le principal inconvénient qu'il trouve à la rotation continue et au ni ti, c'est que ça va tellement vite, que l'irrigation à l'hypo est trop rapide pour dissoudre bien toute la pulpe.
J'espère que je ne déforme pas trop sa pensée.


famos

06/05/2006 à 23h49

ah bon?
Pas de laser, pas de rotation continue vraiment ?
Il ne va pas se faire beaucoup d'amis parmi les fabricants celui-là !
Chapeau


al

09/05/2006 à 16h25

en attendant le cas sus-cité, une 47 dont le patient sort à l'instant.

c'est pas encore du yana, mais j'y travaille...

Preop grk5g6 - Eugenol
Postop1 d44dob - Eugenol
Postop2 defile dwvugm - Eugenol

Grueavatar nptrc9 - Eugenol
Le Choixpeau magique

09/05/2006 à 16h58

La préparation est (très) jolie, mais l'obturation n'a pas l'air très dense. Ne serait-ce pas un inconvénient de ton protocole laser ?


S8ysxdzhdqgw00w4q6m07a5d47q2 - Eugenol
didier72

09/05/2006 à 17h01

le manque de densité tient à quoi? racine D

oups j'avais pas vu le post antérieur, désolé.
Cette différence de densité a-t-elle une importance?


al

09/05/2006 à 17h08

mais non, y a pas de problème.

la densité apparente sur le canal mésial, c'est parce qu'il y a superposition de deux canaux. voir image défilée.

c'est simplement la gutta que j'utilise qui n'est pas radiologiquement aussi opaque qu'un thermafill.

voilà.


S8ysxdzhdqgw00w4q6m07a5d47q2 - Eugenol
didier72

09/05/2006 à 17h11

ok merci