Cookie Consent byPrivacyPolicies.competit pepin - Eugenol

petit pepin

azerty

28/04/2006 à 21h38

couronne posée il y a 1.5 ans. pas de pb particulier au niveau de douleur a la percussion,mobilité... pas de gonflement,mais une fistule s'est formée en vest de la 25(le cone de la radio qui va sur le coté) que faire? ab, 48 heures après la fin, rebelotte. curetage peri appical? caa marché 8 jours. et pourtant le patient n'a pas mal, juste ce bouton a la con qui est apparu qd la couronne s'est décollée.le ttmt a été refait avant la pose

que faire? heeeeeeelllppppppppppppp!!


azerty

28/04/2006 à 21h38

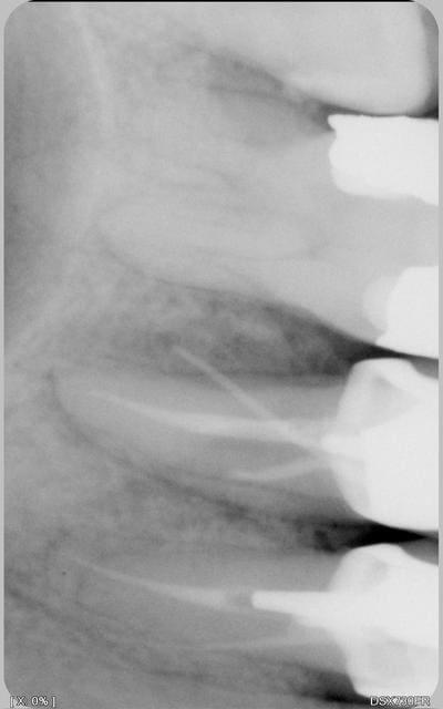
la radio


azerty

28/04/2006 à 21h39

la radio bis

A trs95z - Eugenol

Utilisateur anonyme

28/04/2006 à 22h12

Je ne suis qu'une AD mais petite idée : la dent ne s'est pas fracturée dans l'axe du cône? C'est peut être ce qui a provoqué le descellement de la couronne, surtout que le pivot à l'air aussi dans l'axe du cône.


Grueavatar nptrc9 - Eugenol
Le Choixpeau magique

28/04/2006 à 22h13

Tu es sûr que c'est une fistule et pas un problème dermato ? Ton cône, si il est bien placé, semble pointer sur le néant. Sur quelle longueur approximative s'enfonce-t'il ?


al

28/04/2006 à 22h18

j'aimerais juste comprendre la prescription d'antibiotiques.

sinon, il me semble, mais je me trompe surement que les canaux n'ont pas été suffisamment instrumentés.

maintenant, il peut aussi s'agir d'une fêlure, et seul l'élévation d'un lambeau pourra le confirmer.

et pour finir, sombre le pronostic, très sombre.

mais ce n'est que mon avis, et pour le partager, il faudrait que je voie le patient. et comme je le verrai pas, alors même mon propre avis, je ne le partage pas...


faouz

28/04/2006 à 22h50

Entièrement d'accord avec Al (une fois n'est pas coutume). Je penche plus vers une fêlure. Que donne le sondage paro?


azerty

29/04/2006 à 17h50

le sondage paro ne donne rien pas de perte d'attache. pas de sensations de fêlures au toucher.pas de douleur en acrasant. couronne non mobile et dent idem.le decollement du lambeau a montré une cavité beante entre 25 26


faouz

29/04/2006 à 18h33

cavité à quel niveau: 1/3 CR, moyen, apical...?


024 vownvo - Eugenol
annie

29/04/2006 à 19h57

on ne peut trop juger sur la radio,mais il me semble qu'il y a un défaut d'ajustage de la cr,qui est débordante coté distal,ce qui pourrait provoquer ce problème
évidemment à vérifier à la sonde,peut -être un défaut d'incidence de la radio?


al

29/04/2006 à 20h03

jamais vu une couronne débordante donner une fistule. pour une raison simple, c'est que ça provoque une poche ouverte, et donc pas besoin de fistule.


Img 1392 s73srk - Eugenol
Guttaman

29/04/2006 à 22h52

Je pense que :
1°) Le canal que tu a traité me semble un peu court niveau obturation. As-tu réalisé ta LT avec un localisateur d'apex ?
2°) Tu as presque fait une perforation...
3°) Tu as un deuxième canal non traité.

Je m'explique sur ce dernier point :
Ton obturation n'est pas centrée par rapport aux limites externes de ta racine --> donc il y a un deuxième canal.
Celui que l'on voit (traité à 1/2), me semble trop excentré pour être le "vrai" deuxième canal.

En espérant t'avoir un peu aidé.

NB : il se peut aussi que tu sois face à un seul canal en 8 et que tu n'ais obturé qu'une partie.


Audi tt 2007 jzsdts - Eugenol
sbire

29/04/2006 à 23h26

sauf si trois canaux


Utilisateur anonyme

29/04/2006 à 23h47

demain, c'est dimanche.
annie, tu as sûrement des choses à me montrer.


024 vownvo - Eugenol
annie

30/04/2006 à 00h52

al Ecrivait:
-------------------------------------------------------
> jamais vu une couronne débordante donner une
> fistule. pour une raison simple, c'est que ça
> provoque une poche ouverte, et donc pas besoin de
> fistule.

j'ai dit "ce problème" est ce sûr qu'il y a une fistule ? il parle d'une cavité béante entre la 5 et la 6 !!!!!!!




024 vownvo - Eugenol
annie

30/04/2006 à 00h53

Osis Ecrivait:
-------------------------------------------------------
> demain, c'est dimanche.
> annie, tu as sûrement des choses à me montrer.


si tu veux bien dévelloper!


Utilisateur anonyme

30/04/2006 à 01h41

dévelloper sur une couronne débandante sans fut'fut..al ? j'en ai plein les poches.
fistule (latin fistula: canal) dit trajet. demain, dimanche le mystère de la cavité néoformée fermée pour cause de limites iatrogènes.


024 vownvo - Eugenol
annie

30/04/2006 à 02h02

à quelle heure on commence?


tybot

30/04/2006 à 03h00

j' ai eu un cas similaire sur 12 avec fistule vestibulaire entre deux dents et pareil que toi je pensais à fêlure...lambeau d'exploration n'a rien montré...l'endo était bonne...pb paro?...j'ai surfacé + AB(la patiente a pb santé)...et c revenu...l'extraction à montrer fracture verticale sens mésio-distal lié probablement à un tenon trop court....bon courage


Squash u44zd8 - Eugenol
steph

30/04/2006 à 15h05

tybot Ecrivait:
-------------------------------------------------------

l'extraction à montrer fracture verticale
> sens mésio-distal lié probablement à un tenon trop
> court

Tu peux préciser?
J'arrive pas à visualiser.


azerty

30/04/2006 à 15h19

le pepin est au niveau du 1/3 moyen. la couronne n'est pas plus débordante que celle des copains.
ce que j'ai vu en decollant la gencive est qu'il y a une cavité beante en 5 et6.
dire que j'ai repris le ttmt avant de reposer une couronne qui avant étati en acier.
une fois posée, rien durant 1,5 ans, puis merde maintenant.
le schmilblick n'est pas plus avancé.malheuresement.


azerty

30/04/2006 à 15h21

le pepin est au 1/3 moyen. je ne crois pas au defaut d'ajustage. dire que j'avais repris le ttmt car il étati pas top avant...


Utilisateur anonyme

30/04/2006 à 16h52

lapadoué Ecrivait:
-------------------------------------------------------
> [...] sans doute dû à un petit tassement
> alimentaire entre 25 et 26,la fistule a disparu
> après renfort du point de contact.

??, le mystère reste entier. je n'ai encore jamais vu de spaghetti sortir d'une fistule.
http://www.med.univ-rennes1.fr/uv/snfcp/enseignement/imagerie/ftmc/05-1.htm


Pa050055 igyagy - Eugenol
MARK

30/04/2006 à 16h54

Je crains le pire: 2 canaux vestibulaires, comme le laisse supposer l'orientation du tiers coronaire du canal partiellement obturé, de même que sur la 4...
Cette variation anatomique est possible.
Il serait judicieux de varier les incidences sur d'autres clichés, voire même de comparer avec les homologues si par chance elle ne comportaient pas de traitement canalaire, afin de "détacher" les canxu MV et DV sur l'image en incidences distale puis mésiale, voire individualiser les apex en incidence semi-occlusale? (pardon pour la terminologie à peu-près-iste)


024 vownvo - Eugenol
annie

30/04/2006 à 19h14

osis,je crais que n'aies pas fait le bon choix professionnel,ton intérêt se porte plutot sur l'anatomie au dessous de la ceinture!


12