Cookie Consent byPrivacyPolicies.comDites-moi, cocher fidèle, comment... - Eugenol

Dites-moi, cocher fidèle, comment...

isaïe

10/05/2006 à 23h55

... cela s'est-il produit?
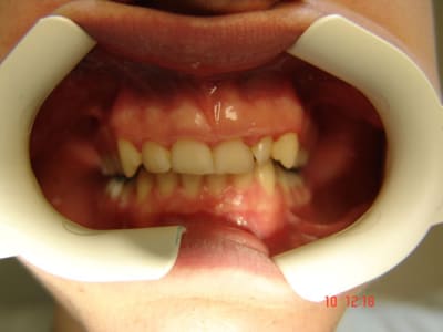
14 ans. Quel est le chemin pour arriver à ce problème occlusal? Postural? Ortodontique? Esthétique?

A3 cg9nit - Eugenol
A2 o9ifse - Eugenol
A1 olecmb - Eugenol

Cuisinier2 vnbbxx - Eugenol
jeff2

11/05/2006 à 00h13

a quoi correspond la pemiere photo a3?
est une disclusion? un repositionnment?


hum

11/05/2006 à 00h23

à quel âge faut-il agir?


isaïe

11/05/2006 à 08h12

Pour la première photo, je lui ai demandé de ne pas fermer complètement de manière à mettre en évidence la déviation du point interincisif inférieur, à noter que les freins ne sont pas alignés non plus.
Au total: supraclusion incisive, déviation point interincisif inf vers la droite, décalage entre les bords libres des incisives / canines et le plan occlusal des molaires prémolaires, déglutition dents serrées. Pas de caries. Paro+/-. Hypotonie droite (cfr épaules).
Ma question est: comment la nature nous ferait-elle ce résultat?


Cuisinier2 vnbbxx - Eugenol
jeff2

11/05/2006 à 10h25

Hum a bien posé la question "a quel age faut'il agir?"
A travers ce que j'ai apris et qu'isaie va eclairer sans doute de facon plus lumineuse.
Independemment du karma de ce garcon et de l'heriditée corporelle, ca a commence à l'accouchement.
Premiére étape d'un accouchement en position sur le dos avec lamination occipitale du crane du bébé et là déja on peut s'attendre à voir un étage inférieur en hypodevellepoment.
Reboutix aurait du intervenir, mais les parents savait pas qu'il existait.
La mére a du reprendre son travail au bout deux mois et puis on lui a dit qu'avec ses petits seins elle pourrait pas allaiter son gamin, alors elle aprofité des promotions du lait maternisé.
Du coup, le gamin n'a pas appris a respirer par le nez et n'a pas excité ses bourgeons temporaux.
Reboutix aurait pu intervenir, mais la mutuelle rembourse pas les osteos.
en quittant le bib , le gamin a été initié a la bouffe molle et au sucrerie et puis le gamin on l'emmener chez le dentiste vers 7 8ans, alors que si il avait vu Pedro vers quatre ans il aurait initié au rite balinais.
une fois que les centrales apparaissent si on est jamais intervenu, on fait une belle photo a 14 ans de ton cas


isaïe

11/05/2006 à 11h17

Trop bon !!!


Ylfwcw979cz1jnx9gfqeaxndiuzk - Eugenol
Algi

11/05/2006 à 12h01

Primo question importantissime: il fonctionne à droite ou pas?
sur la premiere photo il semble que on a un quasi articulé inversé au niveau de la 45, la 11 est plus usée que la 21 mais la 13 est quasi intacte (trés longue mais normal à 14 ans)et donc je dirais qu'il mastique à droite et seulement à droite.

Donc pour ma part:

1/ chercher à eliminer les interferences "avé les bras"
2/ éventuellement meulages planas pour rééquilibrer les AFMP
3/ recherche potentielle cause psychologique parallélement à traitement par SB.


isaïe

11/05/2006 à 13h55

Effectivement, il fonctionne à droite.
Le traitement sera probablement orthodontique avec une technique... disons... appropriée.
Si on arrive à imaginer un modèle de fonctionnement ou plutôt de dysfonctionnement musculaire qui permette d'expliquer cette configuration, on pourrait peut-être intervenir de façon précoce en modifiant les forces en cause (c'est le quand intervenir de Humb).
Est-il possible que la mastication unilatérale puisse à elle seule amener la déviation?
Et si cette mastication est unilatérale droite, pourquoi s'est-elle installée, alors qu'il n'y a pas eu de problème carieux justifiant un réflexe d'évitement?
Et pourquoi la supraclusion? Serait-elle en rapport avec la mastication unilatérale. Pourquoi ces deux "mouvements"?



orthojls

11/05/2006 à 16h29

Où est sa langue ? sa vision binoculaire est elle équilibrée ? en deux mots qu'est ce qui tire de travers sur le dur ?
Quand à la lamination accouchementale !!! c'est de la croyance ostéo. je préfère de très loin les bébés qui ont un eustress crânien à la naissance que les bébés "césarienne"


Cuisinier2 vnbbxx - Eugenol
jeff2

11/05/2006 à 16h33

orthojls Ecrivait:
> Quand à la lamination accouchementale !!! c'est de la croyance ostéo.
on voit que tu es limite dans tes connaissances, ce ne sont pas des osteos qui ont parlé de cela, mais bien des CD et pas des moindre
Va relire Delaire et Deshayes


Ylfwcw979cz1jnx9gfqeaxndiuzk - Eugenol
Algi

11/05/2006 à 18h34

Un exemple de "pourquoi":

Lau., 10 ans et 3 mois.
amélogenése imparfaite 11/41,36+++,26+++,16++, la 46 est intacte, deviation mandibulaire à droite, fonctionne à droite, supra.

11/41: taches blanches crayeuses au mitan de la face vestibulaire.
36,26 et 16 avec grosses lesions carieuses occlusales.

retraction gauche 1,5cm bouche fermée, 1/2 cm avec boucle d'oreille bouche ouverte à confirmer, epaule droite + basse que la gauche aprés marche (aggravé sans coton interposé entre les dents).

ici: maman me déclare que Lau a été trés malade vers 4 ans et pense que les demineralisations sont la conséquence de la prise d'antibio à forte dose à cette époque.

Si oui pourquoi alors pas d'atteinte de 21 et 31???? Pourquoi la 46 est intacte????

Décodage: fonctionne à droite, atteinte de 11 et 41 (on laisse de coté les molaires pour l'instant)... je pense dans mon fort intérieur que l'image du pére est abimée (11 et 41 qui symbolisent l'image paternelle, idéale (11) et le ressenti par rapport au pére réel (41) sont "tachées") et que d'autre part ce pére est absent ou resenti comme absent, ce qui impose à L. d'aller manger à droite, le coté de ce pére absent, ceci signant une recherche d'affection et de reconnaissance de ce coté;

Je pose la question et la maman me déclare s'être séparée du pére alors que L. avait 4 ans....

Je vous laisse à votre reflexion.


S8ysxdzhdqgw00w4q6m07a5d47q2 - Eugenol
didier72

11/05/2006 à 18h39

juste une question: d'où sors-tu que le père, c'est 11 et 41?


Ylfwcw979cz1jnx9gfqeaxndiuzk - Eugenol
Algi

11/05/2006 à 18h43

De mon experience et des cours de dentosophie entre autres.

Je sais que selon certains auteurs (une en particulier) la 11 est symbolique de la mére mais ce n'est pas ce qui ressort de mon experience.

De toute façon la 36 est à décoder aussi et sans doute que ça amenera à parler de la maman, comme ça pas de jaloux.


S8ysxdzhdqgw00w4q6m07a5d47q2 - Eugenol
didier72

11/05/2006 à 18h48

autre question: l'iridologie, par exemple, est-elle une "science" fiable selon toi?

Je veux juste par là savoir si toutes ces "sciences" ont la même valeur à tes yeux, car cela va un peu dans le même sens, non?


isaïe

11/05/2006 à 18h55

Juste une question pour orthojls.
Comment par la langue expliquer la déviation mandibulaire vers la droite?


Ylfwcw979cz1jnx9gfqeaxndiuzk - Eugenol
Algi

11/05/2006 à 19h01

Aucune experience en irido et donc pas d'avis si ce n'est que fait par un therapeute compétent c'est sans doute bien.

Le fond de la question est: "tout est dans tout"..... ça j'en suis sur.

Ce que ça veut dire: je connais des gens qui bossent sur les oreilles, sur le crane ou le sacrum, des ostéos et des acupuncteurs. D'autres bossent dans le ressenti pur, sur les chakras ou à d'autres niveaux; d'autres encore utilisent avec bonheur l'aromathérapie (un psy décoiffant entre autres, qui traite des schyzophrénies avec du tea tree et bosse aussi en moratherapie...), ne pas oublier l'homéo.... On aura une pensée pour les semelles proprioceptives, les aimants et les soins par champs magnétiques (trés forts les russes pour ça et ce ne sont pas des rigolos esotériques, de leur temps ça leur aurait valu le goulag).

On peut aussi citer la medecine ayurvedique et sans doute plein d'autres que j'oubie ou ne connais pas.

Qu'en tirer comme leçon, de toutes ces thérapies à entrées diverses mais qui marchent? Que l'accés à l'information pour aider le patient à aller mieux n'est pas unique et que chaque therapeute trouvera des accés qui lui conviennent le plus et les patients qui vont avec (ou pas....).

Et aprés y'a ceux qui font sans le vouloir voireen réfutant tout ça....genre Isaie... Lui, malgré sa sainte horreur à franchir la ligne rouge, il y arrive quand même mais quoi qu'il en dise moi je sais que son ressenti (même non accepté) est trés grand.... une sorte de monsieur jourdain en quelque sorte. ;0)


S8ysxdzhdqgw00w4q6m07a5d47q2 - Eugenol
didier72

11/05/2006 à 19h04

merci de tes précisions.
C'est bien le "tout est dans tout"


isaïe

11/05/2006 à 22h53

Je ne crois pas que tout soit dans tout. Les choses ont probablement un sens mais tout n'est pas compréhensible...pour le moment.
La logique et le raisonnement ne m'ont pas montré de signification aux formes dentaires, les statistiques non plus. Mais j'avoue que j'étais absolument fermé à certaines approches qui me sont devenues incontournables, malgré ou à cause de ma bête logique.
Après Paris, je compte vous informer d'un tas de choses qui vous laisseront sans doute pantois(es), mais qui auront été proposées à l'impitoyable critique confraternelle et pesées à la balance de la froide raison française.
Fin de la parenthèse.
Orthojls, le chemin des yeux à la langue?


Djéseune

11/05/2006 à 23h14

Tu m'fais flipper Isaïe!!!
As-tu retourné ta veste?
...ou bien tes nouvelles trouvailles font partis de la logique des choses (En gros, de ta manière d'aborder l'occlusion!!!!)


Amibien

12/05/2006 à 02h43

pour se retrouver avec une telle supracclusion il faut quand même presser un max !


isaïe

12/05/2006 à 09h55

"pour se retrouver avec une telle supracclusion il faut quand même presser un max"
Hypothèse qui semble confirmée par la différence de niveau entre inc-can et mol-prém. témoignant de cette pression occlusale importante. Etant donné qu'il n'y a pas d'interposition linguale, quelqu'un a-t-il une autre vision des choses?
La situation familiale est difficile depuis une bonne dizaine d'années, c'est, avec toutes les réserves nécessaires, peut-être une cause d'augmentation du tonus musculaire général, y compris des masticateurs.
Mais pourquoi cette déviation mandibulaire à droite?


Cuisinier2 vnbbxx - Eugenol
jeff2

12/05/2006 à 13h37

isaïe Ecrivait:
> Mais pourquoi cette déviation mandibulaire à
> droite?

Faut'il revoir les lois de Planas?
une mastication unilaterale va priviligier une croissance verticale de la mandibule du cote masticatoire, alors que la croissance sera priviligiée en longueur de l'autre cote, ce qui donne cette impression de deviation du point interincisif qui n'a rien a voir avec une position antérieure d'un des condyle.
Reste le probleme, pourquoi l'enfant priviligie t'il un cote lors de sa mastication?


on peut imaginer que quand on interpose un coton ou une bande de papier articuler cela supprime le stress occlusal qui pertube la posture, que l'enfant tres tot, va eviter ce contact, si il existe, en masticant de l'autre cote?

oui mais, pourquoi un contact entre deux dents antagonistes se mettrait'il en place lorsque les dents poussent et se rencontrent? chez certains enfant et pas chez d'autre,
Pourquoi un cote plutot qu'un autre et cela que ce soit garcon ou fille?


isaïe

12/05/2006 à 15h01

La mastication unilatérale, quelques minutes par jour, peut-elle justifier la déviation? Il est difficile de dire que le patient parle unilatéralement, déglutit unilatéralement, baille unilatéralement, etc...
Ne pourrait-on pas dire, avec prudence, que la mastication unilatérale est peut-être simplement concomitante à la déviation? Et ainsi ne pas voir de lien de causalité directe?

N'aurait-on pas une hypothèse plus plausible en partant d'un fonctionnement musculaire asymétrique, mais permanent, et pas seulement à la mastication?


Ylfwcw979cz1jnx9gfqeaxndiuzk - Eugenol
Algi

12/05/2006 à 16h51

peut être une explication autre que celle de planas mais en attendant sa théorie tient la route et se verifie chaque jour avec les pistes ou les SB et se verifie par l'étude des cranes et des machoires d'avant 1870.

Etant toi même "sb"iste...


Cuisinier2 vnbbxx - Eugenol
jeff2

12/05/2006 à 17h00

isaïe Ecrivait:
> N'aurait-on pas une hypothèse plus plausible en
> partant d'un fonctionnement musculaire
> asymétrique, mais permanent, et pas seulement à la mastication?

bien sur ISaie
je vais commencer dans la couveuse a la maternite.
Vu l'influence que j'ai d'un bracelet montre sur la posture de certains patients, on peut imaginer que le bébé va vouloir s'adapter au changement de posture induite par son bracelet
un peu de délire ca fait du bien

reste aussi la nourriture, si le lait de la maman est trop salé , cela va peut etre induire une hypo homolaterale,
et puis aussi l'orientation de la lumiere dans sa chambre,
l'odeur du tapis, l'odeur du chien , la cloppe de son pére, on peut imaginer tout un ensemble de facteurs infuencant l'inhitition neuro musculaire.

Mais que fait'on de la resilience, la capacité de certains etres, tres tot a s'adapter, epouser, surfer sur le monde qui les entoure. et d'autre qui n'ont pas cette capacité et qui souffrent toute leur vie?
Putain de Karma!!!



12