Cookie Consent byPrivacyPolicies.comj'adore mes confrères - Eugenol

j'adore mes confrères

al

12/05/2006 à 13h19

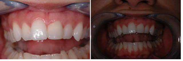
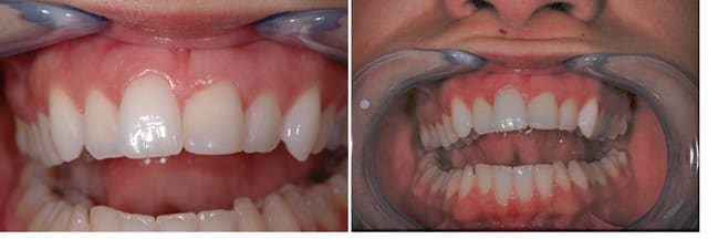
Patiente 21 ans, problèmes esthétiques liés à une 21 compositée et sur compositée suite à choc il y a dix ans.

A vu 3 confrères depuis aout dernier.

A exposé son problème et demandé si pas possibilité de facette.

Réponses du premier : non ça gène pas, c'est vous qui faites une fixation

deuxième : non c'est une couronne qu'il faut, mais ça va se voir à cause du liseré métallique

troisième, lui a refait son composite !

questions, et c'est moi qui les pose :

facettes connaissent pas ? céramo céramique connaissent pas ? rectification de la ligne des collets connaissent pas ?

finalement j'adore mes confrères. continuez comme ça chers amis, et je vais plus savoir ou caser mes jolies patientes à problème esthétique.

Teix rlcjp2 - Eugenol

Avatar transparent iqadnc - Eugenol
adhoc

12/05/2006 à 13h33

"deuxième : non c'est une couronne qu'il faut, mais ça va se voir à cause du liseré métallique"

al, une jolie couronne en or pour éliminer la ligne cervicale métallique, tu as oublié cette possibilité, pffff... Y'en a , faut tout leur dire!
Elle est mignonne?


Coeur n9py1g - Eugenol
patvat

12/05/2006 à 13h43

c est peut etre une patiente integriste avec tchador grillagé


al

12/05/2006 à 13h43

un canon, un peu jeune, mais un canon.

j'oubliais pour le troisième confrère et néanmoins consoeur, à défaut du reste, stratification des composites, connait pas plus...


Grueavatar nptrc9 - Eugenol
Le Choixpeau magique

12/05/2006 à 17h15

Je me suis permis d'allumer la lumière ;)

Que comptes tu faire ? On aurait bien envie de mettre un petit coup de bistouri à la 21, mais jusqu'où ? (est-ce qu'il serait raisonnable de greffer la 11 pour faire un compromis ?).
Est-il possible de recréer un profil d'émergence plus apical avec une facette ?

Bien sûr, on veut aussi voir la suite :)

Teix2 mhabuk - Eugenol

Squash u44zd8 - Eugenol
steph

13/05/2006 à 01h30

J'adore les formes des dents de ta patiente, typiquement féminin, pas trop rond ni trop globuleux.
Un coup de bistouri et une facette semble appropriés mais que fais-tu de 23 si sa demande est d'ordre esthétique?


Image 4 lrchtq - Eugenol
Alain

13/05/2006 à 01h56

et la 11, elle a quoi? c'est du à la tof? elle me semble d'une teinte différente avec un état de surface plus brillant que le reste de la denture...


al

13/05/2006 à 15h05

lapadoué Ecrivait:
-------------------------------------------------------
> Al,
> ton joli cas présenté est-il un cas résolu??
> Je serais très intéressée de voir comment.
> La patiente a-t-elle suivi?
> et par quoi tu as commencé?
> alignement, gingivoplastie, facette, ...
> Résultat à 10 ans??

non justement, c'est un cas à résoudre. mais qui est résolvable simplement, comme je l'indiquais, par une gingivoplastie, et une facette.


> Sinon, si c'est juste pour nous dire qu'on est
> nul, moi je le savais déjà...

je dis simplement que trois praticiens coup sur coup dans la même année, qui ne traitent pas sa demande, alors que la demande est traitable, ça m'interpelle. c'est surtout ça que j'ai voulu dire.

mais maintenant que j'ai publié l'avant, je me mets un point d'honneur de publier ce que j'en ferai.
donc première étape, ce sera la chir plastique, ensuite la facette.

et puis ensuite rendez-vous dans dix ans, même jour même heure...


al

13/05/2006 à 15h06

Alain Ecrivait:
-------------------------------------------------------
> et la 11, elle a quoi? c'est du à la tof? elle me
> semble d'une teinte différente avec un état de
> surface plus brillant que le reste de la
> denture...

la 11 elle a rien de particulier. c'est la tof...


S8ysxdzhdqgw00w4q6m07a5d47q2 - Eugenol
didier72

13/05/2006 à 16h08

al Ecrivait:
> et puis ensuite rendez-vous dans dix ans, même
> jour même heure...


même endroit?


faouz

13/05/2006 à 20h02

patvat Ecrivait:
-------------------------------------------------------
> c est peut etre une patiente integriste avec
> tchador grillagé


stop j'en peux plus! T'en as encore des bonnes comme ça? Parce que moi je me roule par terre... Vivement la prochaine!


faouz

13/05/2006 à 20h07

Al,
1) La fracture dentaire est elle importante? Pourquoi pas un "simple" compo stratifié + gingivoplastie?
2) As tu regardé à quoi est du le pb gingival bien localisé?


024 vownvo - Eugenol
annie

13/05/2006 à 20h41

al Ecrivait:
-------------------------------------------------------
> Alain Ecrivait:
> --------------------------------------------------
> -----
> > et la 11, elle a quoi? c'est du à la tof? elle
> me
> > semble d'une teinte différente avec un état de
> > surface plus brillant que le reste de la
> > denture...
>
> la 11 elle a rien de particulier. c'est la tof...

heureusement que tu as posé cette question Alain,car je croyais que le problème était sur la 11,vu sa hauteur ,sa couleur etc et le problème me semblait difficile à resoudre pour aligner son collet au niveau de celui de la 21
si c'est la 21 qui est en cause les solutions me paraissent plus faciles,plus aisé de soustraire que d'ajouter


al

13/05/2006 à 21h33

faouz Ecrivait:
-------------------------------------------------------
> Al,
> 1) La fracture dentaire est elle importante?

oui. un bon tiers de la dent.

> Pourquoi pas un "simple" compo stratifié +
> gingivoplastie?

c'est le cas type d'indication de facette. il y a tout à corriger sur cette dent. non seulement la forme mais aussi la teinte. et ça la strat ne le permet pas sauf à faire une ... facette en composite. je préfère une facette céramique.


> 2) As tu regardé à quoi est du le pb gingival bien
> localisé?

classique. choc pendant la croissance. donc évolution différente de cette dent, d'avec ses voisines.



Moné

13/05/2006 à 21h44

Super cas à faire al, je vais regarder cela de près en effet:
- la gingivoplastie : bistouri électrique, laser, bistouri classique?
- combien de temps de cicatrisation?
- la facette, la provisoire, la teinte... (ne pas oublier de donner la tiente dentine)
- Combien de €, que passer en feuille de soins?


024 vownvo - Eugenol
annie

13/05/2006 à 21h57

moi je ne peux donner d'avis car sur cette photo c'est plutot la 11 qui choque plutot que la 21,même au niveau de la teinte


Dr - Eugenol
JeRis

13/05/2006 à 22h08

... si tu pouvais faire une 11 comme la 21, ce seraient 13 et 23 qui choqueraient.


024 vownvo - Eugenol
annie

13/05/2006 à 22h14

JeRis Ecrivait:
-------------------------------------------------------
> ... si tu pouvais faire une 11 comme la 21, ce
> seraient 13 et 23 qui choqueraient.

tout est relatif,je ne crois pas que cela choquerait beaucoup,moins que maintenant en tout cas


ZORBECA

14/05/2006 à 13h03

al Ecrivait:

>
> je dis simplement que trois praticiens coup sur
> coup dans la même année, qui ne traitent pas sa
> demande, alors que la demande est traitable, ça
> m'interpelle. c'est surtout ça que j'ai voulu
> dire.
>
>
Je vais défendre ces confrères qui, à mon sens, ne s'estiment pas capables de résoudre ce cas, il vaut mieux passer la main que faire n'importe quoi.

Un seul reproche qu'ils n'adressent pas à un confrère plus tendance esthétique, c'est mon cas, je ne fais pas de céramique sur dents vivantes (sait pas faire). Je connais mes limites qui sont très limitées....


al

14/05/2006 à 13h15

ZORBECA, tu défends, l'indéfendable.

Si comme tu le dis ces praticiens s'étaient contenté de passer la main, en avouant humblement leurs limites, ce qu'il faut savoir faire sans honte, je n'aurais pas trouvé celà anormal.

or ce n'est pas du tout ce qu'il a été dit à cette patiente. ils ont tous trouvé des arguments pour justifier cette mauvaise prise en charge.

et plus encore, qu'un praticien ne réponde pas, passe, deux praticiens, passe encore, mais trois !


catrose

14/05/2006 à 13h19

al,
ce qui me gene en voyant ta patiente,c'est plutot la 11 trop vestibulee et les13 et 23
c'est mon regard d'odf
mais puisqu'on est dans la demande purement esthetique ,pourquoi ne lui proposes tu pas d'abord un alignement de 3-3(methode invisalign est tres bien pour ce cas),le resultat sera optimal
et par l'alignement on peut obtenir un changement de la ligne gingivale(grace au mouvement de torque)
donc a envisager avant l'intervention


al

14/05/2006 à 13h22

Moné Ecrivait:
-------------------------------------------------------
> - la gingivoplastie : bistouri électrique, laser,
> bistouri classique?

bistouri classique. parodonte fin, le bistouri électrique est contre-indiqué, les risques de dégats incontrôlés sont considérables. quand au laser, je ne vois pas l'intérêt dans un cas pareil.

> - combien de temps de cicatrisation?

le temps qu'il faudra

> - la facette, la provisoire, la teinte... (ne pas
> oublier de donner la tiente dentine)

ça c'est pas un problème, on est en présence d'un joli A2, sans jeu de teinte intérieur particulier. provisoire ? classique en résine. à partir d'une dent du commerce. scellée provisoirement au compo liquide sans préparation préalable.

> - Combien de €, que passer en feuille de soins?

facette ? HN, chir ? HN, le tout 750 €



al

14/05/2006 à 13h26

catrose,

merci de poster pendant que je rédige d'autres réponses :)

l'odf, c'est le joker. j'y ai songé, je vais proposer.

en ouzbek oriental on dit léate, léate...


alhoun

14/05/2006 à 13h58

HN??!!!!!
ça ne semble pas très humaniste, tout ça!!


catrose

14/05/2006 à 14h04

je traduis en ouzbek occidental pour que tout le monde comprenne?
qui va piano,va sano
a propos de temps,en 3 mois max tu termines l'alignement