Cookie Consent byPrivacyPolicies.comj'adore mes confrères - Eugenol

j'adore mes confrères

Flaschcode adresse site cabinet  bsizag - Eugenol
dentissimo

08/06/2006 à 15h06

attention quand même de ne pas vouloir donner du caviar au prix des oeufs de lompe...ce n'est pas ça qui est demandé par la déontologie....
je n'ai jamais été acharné du fric.... mais j'ai su devenir attentif aux frais....malheureusement souvent sans se rejoindre ... ça se rapproche...


al

08/06/2006 à 15h11

tu n'as qu'à reprendre tous mes posts sur le sujet, je n'ai jamais rien dit d'autre.
sur ce cas, je ne prétends pas faire du caviar, je ne suis pas touati moi, mais une qualité honnête à un prix correct.
mais c'est très gentil à toi de considérer que je suis devenu vendeur de beluga. ça me flatte beaucoup.


Ylfwcw979cz1jnx9gfqeaxndiuzk - Eugenol
Algi

13/06/2006 à 14h15

Pour info puisqu'on a abordé l'ortho....

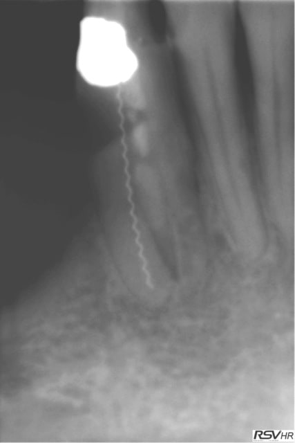
Quid de la mandibule? Elle serait pas en classe II avec une supra cette patiente? Quid aussi de son occlusion?

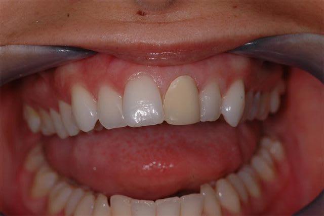
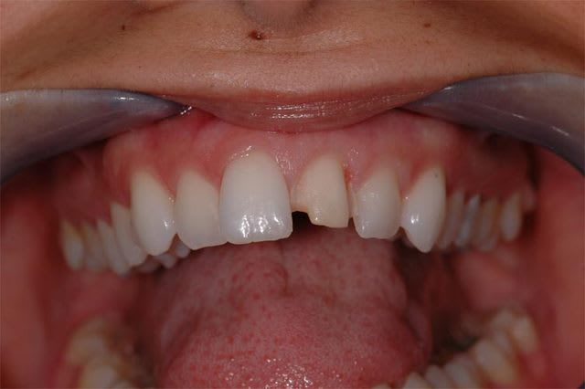
Je sais je suis un emmerdeur mais bon... perso non seulement j'essaie de pratiquer le tact et mesure (dur dur quand y'a pas de "mesure" avec mes CMU...)mais j'essaie aussi de répondre à des demandes non formulées comme par exemple remettre cette bouche en état (le probléme de l'alignement des collets et de la forme de la dent étant un des éléments à traiter).

Tu lui a fait "les bras" à cette petite? Pense à le faire quand tu régleras finement son occlusion aprés la pose de sa facette.


al

04/12/2006 à 14h17

j'ai pas fait les bras à cette petite, mais je lui ai fait sa facette.

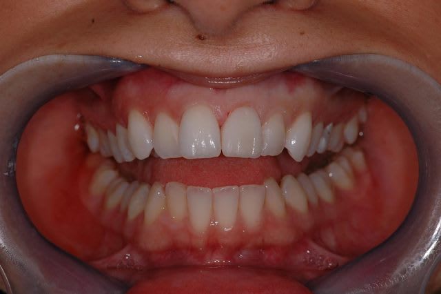
donc voici en presque en direct live le cas terminé...

Teix 3 vzo1ck - Eugenol
Teix 2 gtmefl - Eugenol
Teix 1 picouo - Eugenol
Teix0 cxzxma - Eugenol

Gonzo k0qhwz - Eugenol
matten

05/12/2006 à 01h38

Bravo al.

Tu as collé à quoi?
Type de facette (empress, alumine, feldspathique...)?


al

05/12/2006 à 10h33

collage = superbond, avec poudre transparente.

facette feldspatique. vu l'épaisseur on a droit à une seule cuisson, donc faut pas se rater sur la teinte ou la forme.


teinte = OM2 teintier vita 3D master ! c'est dire si elle a les dents blanches la demoiselle. au départ de cas, je pensais qu'on était sur un A2, mais voila ce que donne la provisoire qui contrairement aux apparences était bien en A2.

Prov z15rvb - Eugenol

Gonzo k0qhwz - Eugenol
matten

05/12/2006 à 12h52

J'ai pas OM2 sur mon 3D Master moi!
D'ou ca sort? D'une prise de teinte numérique?

En tous cas c vrai qu'elle a l'air canon.
Aussi bien que l'italienne?.


al

05/12/2006 à 13h44

le jeux de teintes OM est à acheter séparément.

pour le collage interséance, adhésif SANS préparation de surface.

pour le reste, no comment...

Teinter om lsbwaj - Eugenol

Gaudi parc guell lezard  ntokms - Eugenol
lezard

05/12/2006 à 13h45

al Ecrivait:
-------------------------------------------------------

> mais voila ce que donne la provisoire qui
> contrairement aux apparences était bien en A2.


et la provisoire, tu la colles avec quoi pour qu'elle tienne entre les 2 seances et pour pouvoir la décoller sans trop de difficultés ?


Pa050055 igyagy - Eugenol
mark

05/12/2006 à 15h03

al Ecrivait:
-------------------------------------------------------
> collage = superbond, avec poutre apparente.
>

clap!clap!

un joli cas comme celui-ci, ça doit filer la gaule à James!

Pour la latéro-déviation, c'est trop tard?


Images eb1m5g - Eugenol
tonio

05/12/2006 à 17h10

lezard Ecrivait:
------------------------------------------------------->
>
> et la provisoire, tu la colles avec quoi pour
> qu'elle tienne entre les 2 seances et pour pouvoir
> la décoller sans trop de difficultés ?
>



C'est écrit juste au dessus de ton post...

al Ecrivait:
-------------------------------------------------------
> pour le collage interséance, adhésif SANS
> préparation de surface.


P.S pour al: joli cas +++ congratulations sir dark vador


Gaudi parc guell lezard  ntokms - Eugenol
lezard

05/12/2006 à 17h48

comme quoi les grands esprits se rencontrent, la réponse est arrivée pendant que je rédigeais mon post donc avant d'avoir eu le temps de l'envoyer


Zoe   son arriv e whwqpj - Eugenol
emma

13/12/2006 à 09h52

bravo al, on n'en attendait pas moins de toi.

c'est vrai qu'elle est canon cette jeune fille, le sourire que tu lui a rendu est magnifique, félicitation à ton prothésiste, j'espère qu'un jour je saurai en faire autant avec le CEREC;)


jfb

20/01/2007 à 10h07

superbe!!!!


Image19 iebot6 - Eugenol
athos

28/03/2007 à 15h14

moi aussi je les adore, mais des fois j'hesite, là je crois que je vais renvoyer parceque je n'arrive meme pas a savoir ce qui a été fait, un, deux, trois canaux a l'origine, ou une grosse fausse route au milieu (non quand meme), et puis meme, ensuite, elle va encore durer cette canine?

43 avis aqpcgu - Eugenol

Logo vuaztn - Eugenol
mac

28/03/2007 à 17h20

athos c'est pas bien de piquer les patients d'annie.


024 vownvo - Eugenol
annie

28/03/2007 à 21h30

mac Ecrivait:
-------------------------------------------------------
> athos c'est pas bien de piquer les patients
> d'annie.

mac,tu ne te renouvelles pas trop,c'est dommage à ton âge!!



Image19 iebot6 - Eugenol
athos

28/03/2007 à 21h38

dites donc, mac et annie, vous devriez surveiller un peu votre ecriture !!!

m'enfin quoi, si on conjugue a la premiere personne il ne faut pas mettre "ent" a la fin du verbe!! meme dans un titre ça la fiche drolement mal! pfff...

m'enfin quand meme...tsss...tsss...


024 vownvo - Eugenol
annie

28/03/2007 à 21h41

Heureusement que t'es là Athos,j'ai corrigé, l'orthographe seulement,,mac ça ne saurait tarder!!