Cookie Consent byPrivacyPolicies.comEt maintenant - Eugenol

Et maintenant

ZORBECA

14/05/2006 à 18h08

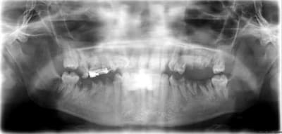
Jeune maman de 21 ans vue en urgence (36) terrorisée!

Que faut-il faire:

-Lire les études de Yana
-Faire le test du bras
-ou des meulages sélectifs
-appliquer de la bétadine
-prier que tout se rétablisse :)
-bien sûr ne pas oublier la digue, le laser, les loupes, le microscope de phase, et le super microscope.

Lfl yzts4v - Eugenol

Grueavatar nptrc9 - Eugenol
Le Choixpeau magique

14/05/2006 à 18h40

L'outil le plus utile dans un premier temps va être un bon élévateur.
Penser également à faire arrêter la drogue et/ou les bains de bouche au coca.


024 vownvo - Eugenol
annie

14/05/2006 à 20h07

21ans,........;sénilité precoce!


Image19 iebot6 - Eugenol
athos

14/05/2006 à 20h11

vaudrait encore mieux que ce soit toi qui allaites Zorbec!


Squash u44zd8 - Eugenol
steph

14/05/2006 à 21h01

Comment peut-elle penser que le dentiste lui fera plus mal que ce qu'elle a déjà subi?


débutante

14/05/2006 à 21h13

je veux bien savoir comment tu abordes ça, les propositions de remplacement etc...


al

14/05/2006 à 23h12

des comme ça on en a tous vu dans nos cabinet.

pour ce qui me concerne, j'ai une technique de base simple, pour tester la motivation.
j'envoie faire un bilan long cône, qui me parait de toutes façons, absolument nécessaire et indispensable.
si la personne revient avec, on est sur la bonne voie.
ensuite séance établissement du plan de traitement, puis séance établissement du devis.
si la personne est toujours là, on peut considérer qu'on est sur la bonne voie.
pour les extractions, c'est multiple sous ag, par le stomato du coin.

mais commencer à soigner alors que la personne en est à sa nième déclaration la main sur le coeur, que "maintenant je suis décidé(e) docteur" sans être sur de sa motivation, je ne fais pas. j'ai un principe de base, maintes fois exprimé sur ce site : je ne tiens pas plus aux dents de mes patients qu'ils n'y tiennent eux mêmes. par contre je suis prêt à donner le meilleur de moi-même, à un patient qui montre qu'il a réellement envie de se faire soigner.

c'est mon avis de praticien pragmatique, et je le partage avec moi-même.


S8ysxdzhdqgw00w4q6m07a5d47q2 - Eugenol
didier72

14/05/2006 à 23h19

lapadoué a parfaitement résumé la situation et est dans le vrai...
malheureusement.

et al aussi. C'est mon avis et je le partage.

Des cas comme ça, ce n'est malheureusement pas rare.


Image odged8 - Eugenol
ploc

15/05/2006 à 01h37

extractions par quadrant(sous AG , l'orl souvent expéditif et n'anticipant pas sur une cicatrisation
osseuse, soit ds le but implant ou mme PAP, JE Préfère les faire moi mme):j'appelle ça "faire le ménage" ts les 15jours, et entre temps petit soin ou DE et controle hygiène pr ne pas perdre le contact
j'évite au contraire le plan de traitement prothétique avec devis(pr le patient) car:
-ne pas décourager le patient
-cela me permets de mieux le cerner pr proposer la solution la plus adaptée(mental et financière)une fois la mise en confiance établie

SOUVENT, j'arrive à aller au bout du ttt mais patient fatigant car à porter psycho


ameli

15/05/2006 à 19h57

21 ans et enceinte !
Bin, mon Zorbeca, tu les prends de + en + jeunes ...

Vire moi ça en 2 fois, ça devrait se soulever tout seul, ces racines. Traîne pas trop, parce qu'elle va changer d'avis. Te fais pas d'illusions, les implants c'est pas la peine d'y penser : elle s'en fout, donc toi aussi.
Des couronnes pour servir d'appui au stellite, ça ira aussi.


Pa050055 igyagy - Eugenol
MARK

15/05/2006 à 20h41

La culpabiliser, l'humilier, la mettre au pied du mur, provoquer l'électrochoc sans lui laisser déballer ses excuses bidons, en contrant ses faux arguments et lui faisant avouer sa négligence, puis lui donner une première chance:
- extractions et contrôle de l'hygiène alimentaire et bucco dentaire.
Deuxième chance:
- rendez-vous longs pour traitements canalaires et reconstitutions

Si pas de suivi prophyllactique,
Si un seul RDV manqué ou pas décommandé 48h avant:
à DEGAGER!
Pas de séance de rattrapage.

Dans ce cas, je commence à penser à un plan de traitement lorsque le patient a manifesté son intérêt pour en avoir un, et seulement après qu'il m'ait donné la preuve de sa "conversion" par ses permières assiduités.

Je sais, quelquefois il lâchera prise en cours de route, ou dès le premier devis.
Mais j'aurai fait ma part d'effort dans un premier geste pour le traiter, tout en le convainquant.

La brebis égarée, à coup de pied au cul, dans la bergerie! Non de D...!


ZORBECA

15/05/2006 à 20h47

annie Ecrivait:
-------------------------------------------------------
> 21ans,........;sénilité precoce!


J'appelle cela le quart-monde dentaire, je ne me fais aucune illusion, mais ça m'attriste.

Je lui ai filé la trouille pour sa fille.

Et dire que nous sommes en 2006!


Image19 iebot6 - Eugenol
athos

15/05/2006 à 20h52

a part son....truc, en haut a droite, elle n'a jamais eu aucun soins en bouche?


ZORBECA

15/05/2006 à 20h58

athos Ecrivait:
-------------------------------------------------------
> a part son....truc, en haut a droite, elle n'a
> jamais eu aucun soins en bouche?


Je l'ai vue vendredi AM...

A suivre (peut-être)..


ZORBECA

17/05/2006 à 15h28

athos Ecrivait:
-------------------------------------------------------
> a part son....truc, en haut a droite, elle n'a
> jamais eu aucun soins en bouche?


La patiente a été prise en charge par ma jeune collaboratrice. RV pris chez un Chir, pour les extractions, les soins sont commencés, RV deux fois par semaine.

Est venue hier séance d'1 heure trente, satisfaite.

Le truc: un reste de traitement d'ortho.

Je suis optimiste.


docdent

23/07/2006 à 12h41

Les dernières nouvelles zorbeca?....
Je serais assez curieux de l'évolution...

Et avoue douter de la motivation de ce genre de patients...Ce cas me contredirait il?


ZORBECA

23/07/2006 à 20h06

docdent Ecrivait:
-------------------------------------------------------
> Les dernières nouvelles zorbeca?....
> Je serais assez curieux de l'évolution...
>
> Et avoue douter de la motivation de ce genre de
> patients...Ce cas me contredirait il?


Cette patient est suivie par ma collaboratrice, les extractions ont été effectuées par un exclusif, je regarde la fiche mardi et te tiens au courant de l'évolution.


docdent

24/07/2006 à 00h12

OK merci....L'expérience des autres est toujours utile!


Amibien

24/07/2006 à 14h26

un exclusif des extractions ? ça existe ?


ZORBECA

24/07/2006 à 18h52

Amibien Ecrivait:
-------------------------------------------------------
> un exclusif des extractions ? ça existe ?


Exclusif, je me suis mal exprimé,je précise, dans mon coin les gens veulent pour les dents de sagesse ou extractions multiples que ce soit fait par un stomato ou un CD spécialisé en chirurgie. Si l'on rajoute à celà l'ODF qui nous échappe, les soins de paro, les implants, prothèses sur implants, les endos difficiles... que l'on délègue, il ne restera pour les jeunes que le travail d'"hygièniste" Bac+6


colou

26/07/2006 à 17h23

je ne pense pas que accabler la patiente de reproches aiderait à la motiver. "Je n'osais pas venir vu l'état de ma bouche, j'aie honte." Il faut etre ferme c'est sur mais aussi rassurant sur la faisabilité des choses, ne pas la faire fuir devant l'ampleur de la tache. Bon courage à ta collaboratrice et c'est sympa d'arriver au bout d'un tel chantier si la patiente reste motivée.


docdent

26/07/2006 à 17h40

Ca m'est arrivé à plusieurs reprises de "remonter" des situations catas...
A la fin c'est hyper gratifiant!

Par contre il faut être réaliste : c'est loin d'être la majorité!
Encore il y a 2 mois un mec vient me voir : cata...
Je prends le temps de lui expliquer : extractions par stomato sous AG et ensuite réhabilitation par 2 stellites.
il me sort "maintenant j'ai décidé de me prendre en mains"...Ah AH Ah....
Ca doit être le devis que j'ai fait qui l'a refroidi...
Et un autre que j'ai vu il y a 6 mois : pareil à tous les niveaux...Il se foutait de la gueule de sa femme qui croyait dur comme fer qu'il ferait les travaux...
En fait il avait une racine qui lui faisait mal : une fois envoyé chez le stomato plus personne...

Depuis je prends un certain temps lors de la consult et ensuite je leur dis "c'est vous qui voyez"...
Par contre si ce mec a le malheur de vouloir venir en urgence il se trouvera un autre prat...C'est aussi simple que cela!


ZORBECA

27/07/2006 à 20h25

ZORBECA Ecrivait:
-------------------------------------------------------
> , je regarde la fiche mardi et te tiens au
> courant de l'évolution.


2 Rv annulés en juin...depuis plus de nouvelles.


Icon poker h4nm2d - Eugenol
jeff

27/07/2006 à 20h55

Dommage...

je fait aussi comme Al. Il est certain que je peux perdre certain effrayé par la lourdeur du traitement, qu'avec quelques petits soins, la confiance aurait pu s'établir...

La confiance, elle s'établit au sérieux du premier rv ( 50 min ), puis à l'explication du plan de ttt ( qui peux durer 1 h à 1 h 30 ), avec ma secrétaire.

Mais commencer des traitements que l'on ne finit pas, le RV annulé ou loupé : terminé.


docdent

27/07/2006 à 23h32

ZORBECA Ecrivait:
-------------------------------------------------------
> ZORBECA Ecrivait:
> --------------------------------------------------
> -----
> > , je regarde la fiche mardi et te tiens au
> > courant de l'évolution.
>
>
> 2 Rv annulés en juin...depuis plus de
> nouvelles.
>



Tiens tiens comme par hasard... :-))

Et ensuite elle va aller pleurer chez un autre dentiste en "jurant grand dieu" qu'elle va se mettre sérieusement à se faire soigner "cette fois ci"...

J'espère que suite à ce genre de comportement tu n'acceptes plus cette patiente à ton cabinet Zorbeca non?...


12