Cookie Consent byPrivacyPolicies.comcas archi multi disciplinaire - Eugenol

cas archi multi disciplinaire

alhoun

22/05/2006 à 10h36

pas le temps de faire des commentaires ce matin, je balance le cas, et lâchez vous

Pano l vsp40p - Eugenol
Img 0145 fdqyh3 - Eugenol
Img 0146 xgzzcq - Eugenol
Img 0147 pmutoz - Eugenol

alhoun

22/05/2006 à 10h38

and....

Img 0148 yafyip - Eugenol
Img 0149 atwin7 - Eugenol

Images eb1m5g - Eugenol
tonio

22/05/2006 à 11h16

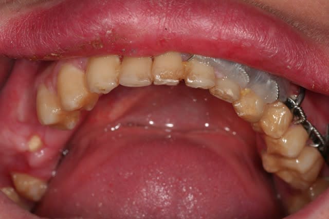
OH LA VACHE!!!!

Cette patiente doit souffrir à mort! C'en est presque inhumain!

Quelles sont les raisons de cette boucherie??? accident de la route?

Déjà, j'espère pour ta patiente que tu lui a viré toutes les ligatures. Si oui, elle a du te remercier chaudement...


Images eb1m5g - Eugenol
tonio

22/05/2006 à 11h24

C'est parce que je vois les PM cassées en biseau que je pense à un AVP, avec un choc d'impact sous le menton. Déjà eu ce cas mais pas si amoché quand même...

penses tu pouvoir garder 14-15 et 37?
Parce que le reste du bloc antérieur ainsi que la 36 me semble bon pour la poubelle: lésions sur 11-21. 12?


Images eb1m5g - Eugenol
tonio

22/05/2006 à 11h29

Wahou! j'avais pas fais gaffe à la fracture du condyle droit en 3 morceaux... l'AVP se confirme... Ah moins que ce soit son mari avec une batte de base ball???

Pas de fracture au noveau de l'ATM droite???


Logo vuaztn - Eugenol
mac

22/05/2006 à 11h31

.


Images eb1m5g - Eugenol
tonio

22/05/2006 à 11h41

MDR!!!


Image19 iebot6 - Eugenol
athos

22/05/2006 à 12h01

bon courage alhoun, au moins dans ses miseres le patient est entre les meilleures mains...
que lui est il arrivé? un marteau de Tel Aviv?


Marque a3 orange fyvhyq - Eugenol
Marc Apap

22/05/2006 à 12h11

Bon, elle ou il est pété(e) de tous les côtés. Mais l'os va sans doute se réparer. En tous cas, le point favorable, c'est que ce n'est pas un terrain carieux.
Donc, de la réhabilitation pure et dure sans risque de dégradation par la suite (sauf paro ?).
Courage surtout au patient, pour le temps que ça va prendre, mais je suis sûr que le résultat sera aussi satisfaisant que possible.


alhoun

22/05/2006 à 13h05

donc, effectivement, un gros choc avec fractures multiples. effectivement marco, c'est un cas long mais qui n'a rien de sorcier en soi, je l'ai posté parce qu'il étendu et impressionnant.
ce cas n'est pas encore réalisé, je vous le livre brut de décoffrage, et j'espère le mener à bout et partager les différentes étapes sur le site.
je n'ai rien entrepris pour l'instant parce que l'ouverture buccale est très limitée, et je voudrais que le maxillo débarrasse le patient de toute la ferraille avant de commencer.
pour l'instant j'en suis à concevoir une approche, et je bute sur 36 et 37: endo + élongation + ccm, ou alors extraction? je crois que la 36 va sauter, mais 37 m'embête.
autre chose qui m'embête, c'est d'être obligé d'attendre la dépose des mini-plaques avant de pouvoir implanter 23 , 24 et 13.
athos, les marteaux, y en a des très bien ici! :)

prochain rendez-vous le 29 Mai.


fin de l'épisode.


Pa050055 igyagy - Eugenol
mark

22/05/2006 à 13h11

Ben avait raison: ABS, GPS, ASR, DSG rien ne vaut de bons airbags

de quoi mettre tous les services de sécurité sur les dents (le bordel, aux portiques électroniques!)

Un cas à suivre (au détecteur), en tout cas, merci Alhoun.


S8ysxdzhdqgw00w4q6m07a5d47q2 - Eugenol
gai-luron

22/05/2006 à 13h21

impressionnant


ZORBECA

22/05/2006 à 13h41

gai-luron Ecrivait:
-------------------------------------------------------
> impressionnant


Je suis vraiment un "petit" CD..

Bon courage Alhoun, mais tu n'en manques pas.


alhoun

22/05/2006 à 14h00

merci zorbec.
dis tonio, pourquoi tu veux absolument que ce soit une gonzesse?
donc: jeune homme, 23 ans. accident.


Zoe   son arriv e whwqpj - Eugenol
emma

22/05/2006 à 14h03

Alhoun c'est quand tu veux si tu as besoin d'une assistante super motivée pour te seconder dans la réalisation de ce cas, ce jeune homme a frappé à la bonne porte, il a de la chance dans son malheur, quand on voit les dégats que font les accidents, on a froid dans le dos d'avoir des enfants en âge de conduire!


Images eb1m5g - Eugenol
tonio

22/05/2006 à 14h08

alhoun Ecrivait:
-------------------------------------------------------
> merci zorbec.
> dis tonio, pourquoi tu veux absolument que ce soit
> une gonzesse?
> donc: jeune homme, 23 ans. accident.


'scuse, j'avais pas fait gaffe aux poils de barbichette.

Que prévois-tu pour les PM maxillaires?

Pour la 36, je l'aurais aussi surement fait sauter. Pour la 37, je pense que je la garderais. Seule la position de la carie en mésial me géne car juxta osseuse mais en virant la 6, tu peux par la même occasion faire une plastie légère de ctte limite. Mais peut être que la 7 va te géner pour poser un implant?

Que prévois-tu pour les 4 incisives maxillaires?


alhoun

22/05/2006 à 14h10

dépose de la ferraille d'abord.
un vrai examen clinique ensuite.
pour l'instant, je prévois des vacances, à partir de ce soir.


S8ysxdzhdqgw00w4q6m07a5d47q2 - Eugenol
gai-luron

22/05/2006 à 14h11

de qaund date l'accident? la 23 a dû être "perdue" à cette occasion?

et bonnes vacances


ZORBECA

22/05/2006 à 14h22

alhoun Ecrivait:
-------------------------------------------------------
>
> pour l'instant, je prévois des vacances, à partir
> de ce soir.



Tu laisses dans le congélateur? :)


Zoe   son arriv e whwqpj - Eugenol
emma

22/05/2006 à 14h30

alhoun Ecrivait:
-------------------------------------------------------
> dépose de la ferraille d'abord.
> un vrai examen clinique ensuite.
> pour l'instant, je prévois des vacances, à partir
> de ce soir.

Seront-ce vraiment des vacances?;););)



alhoun

22/05/2006 à 14h57

tu as raison emma, ça risque d'être crevant. mais bon, tu sais, il paraît qu'il y a de bonnes fatigues.
pour le reste, tu le sais, tu as un CDI...


Zoe   son arriv e whwqpj - Eugenol
emma

22/05/2006 à 15h16

Lol comme dirait Carole!


ZORBECA

22/05/2006 à 15h16

emma Ecrivait:
-------------------------------------------------------
> Alhoun c'est quand tu veux si tu as besoin d'une
> assistante super motivée pour te seconder dans la
> réalisation de ce cas,


Connaissez vous des femmes chirurgiens (sauf CD) ?

Pas moi!

Pourquoi?


al

22/05/2006 à 15h23

ZORBECA Ecrivait:
-------------------------------------------------------
> Connaissez vous des femmes chirurgiens (sauf CD)
> ?
>
> Pas moi!
>
> Pourquoi?

parce que tu vis sur une autre planète. je peux t'en présenter au moins une dizaine dont 4 ne serait-ce qu'à l'hopital trousseau.


alhoun

22/05/2006 à 15h25

eh oui, une femme, un trousseau.


12...