Cookie Consent byPrivacyPolicies.comcas archi multi disciplinaire - Eugenol

cas archi multi disciplinaire

al

22/05/2006 à 15h29

alhoun Ecrivait:
-------------------------------------------------------
> eh oui, une femme, un trousseau.

qui tu veux trousser ? retrousse ta chemlse et remet toi au boulot, au lieu de dire des conneries :)


alhoun

22/05/2006 à 15h56

dans le petit bois...


Image19 iebot6 - Eugenol
athos

22/05/2006 à 18h31

gaffe aux droits d'auteur annie, le formun est public, m'est avis que tu vas etre zappée...pis t'avais dit qu'on raconterait pas.


alhoun

22/05/2006 à 19h09

annie Ecrivait:

>
> Pour t'eviter de passer pour un petit sadique
>
>


je crois bien que c'est trop tard, annie.


024 vownvo - Eugenol
annie

22/05/2006 à 19h11

alhoun Ecrivait
> >
> >
>
>
> je crois bien que c'est trop tard, annie.

me reprocherais tu de ne pas avoir été assez rapide pour intervenir?



024 vownvo - Eugenol
annie

22/05/2006 à 19h17

athos Ecrivait:
-------------------------------------------------------
> gaffe aux droits d'auteur annie, le formun est
> public, m'est avis que tu vas etre zappée...pis
> t'avais dit qu'on raconterais pas.

pas de risque d'être emprisonnée quand même!
excuse moi de t'avoir troublé Athos avec ces suggestions,quand je vois le formum,et l'heure du thé décalée,je n'ose imaginer cette émotion!!!



alhoun

22/05/2006 à 19h20

non annie, ce n'est pas ta célérité qui est en cause, c'est l'état du sujet.


024 vownvo - Eugenol
annie

22/05/2006 à 21h15

athos Ecrivait:
-------------------------------------------------------
> gaffe aux droits d'auteur annie, le formun est
> public, m'est avis que tu vas etre zappée...pis
> t'avais dit qu'on raconterait pas.


T'es comme Amibien,Athos,tu prevois,tu anticipes,pas sitot écrit, sitot zappé,je l'ai copié sur google,je pensais que la diffusion était libre
heureusement,j'ai frisé la correctionnelle!!
tant pis pour ceux qui n'ont pas lu,alhoun passera donc pour un petit sadique et en plus il confirme,résultat,c'était pas la peine que je me décarcasse


ZORBECA

22/05/2006 à 21h21

annie Ecrivait:
-------------------------------------------------------
>
>
>
> T'es comme Amibien,Athos,tu prevois,tu
> anticipes,

Sacré compliment : "comme Amibien" Pas mieux!



Image19 iebot6 - Eugenol
athos

22/05/2006 à 21h56

ah annie...tendre annie...c'était bien beau mais interdit...t'as réveillé un modo!!!
parleplus bas car il pourrait bien t'entendre
ce monde n'est plus fait pour tes paroles tendres
ce monde n'est
plus fait pour nous
ils diraient simplement que nous sommes fous
parle plus bas
mais parle encore...


024 vownvo - Eugenol
annie

22/05/2006 à 21h59

la Athos,c'est tres joli,si c'est de toi,ce que je crois,heureusement pas de risque de zapping!


Image19 iebot6 - Eugenol
athos

22/05/2006 à 22h01

bah...j'aimerais bien mais c'est de la paraphrase...........................................................................................donc pas zappable!!!


024 vownvo - Eugenol
annie

22/05/2006 à 22h06

qui qui donc en est l'auteur que tu as paraphrasé?


Image19 iebot6 - Eugenol
athos

22/05/2006 à 22h41

je sais plus!!!


024 vownvo - Eugenol
annie

23/05/2006 à 00h08

peu importe apres tout,le tout était de s'en souvenir,et personne ne sachant qui c'était ,tu as eu l'honneteté de dire que ce n'était pas de toi!


S8ysxdzhdqgw00w4q6m07a5d47q2 - Eugenol
gai-luron

23/05/2006 à 00h13

http://www.paroles.net/chansons/19708.htm


024 vownvo - Eugenol
annie

23/05/2006 à 01h28

merci,gai luron,mais j'avais cité un texte de Charles aznavour,et athos me dit qu'il fallait faire attention aux droits d'auteur, il a été zappé,quelle est donc la différence entre citer un texte et y faire référence en en indiquant son
site? pas compris....


S8ysxdzhdqgw00w4q6m07a5d47q2 - Eugenol
gai-luron

23/05/2006 à 10h54

ben là, il n'ya qu'un lien... mais on verra s'il saute...


Image19 iebot6 - Eugenol
athos

23/05/2006 à 10h58

simplement le site cité se dem.... avec les droits.


alhoun

13/06/2006 à 17h14

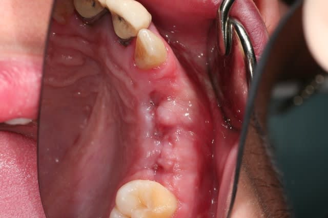
donc, des nouvelles de mon jeune patient.
extractions début de semaine dernière.
finalement, j'ai décidé d'extraire d'emblée la 37.
bien m'en a pris, elle était en mille morceaux, impossible à voir à la radion. ce qui me fait attendre le pire sur les autres molaires.
une autre découverte que je n'avions point vue: la 43 est aussi bien fracturée.
pour l'instant, mon plan de traitement est le suivant: 8 implants en haut, deux implants en bas.
endo + ccm sur 47, 46 , 45 et 43.
compos et inlays / onlays pour le reste.
j'aurai une réponse la semaine prochaine.

Img 0165 qklqp4 - Eugenol
Img 0166 nbfjbd - Eugenol
Img 0167 jgt6xa - Eugenol
Img 0169 usiuxa - Eugenol

alhoun

16/06/2006 à 13h07

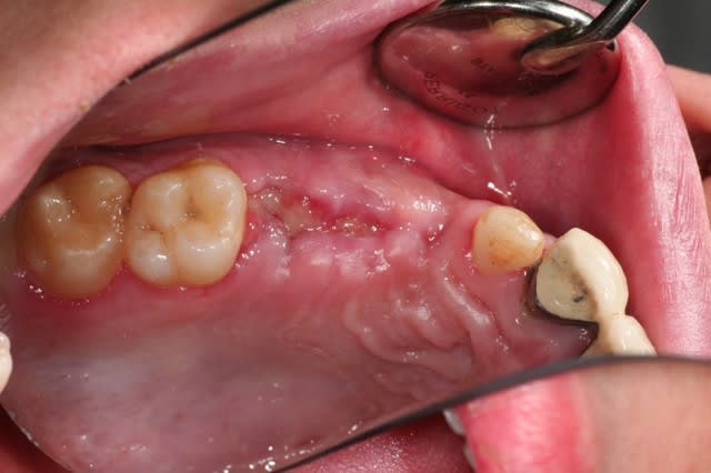
donc, j'ai un problème.
la 22 est très enfoncée dans son alvéole, elle n'est pas fracturée, et silencieuse cliniquement.
je pensais tricher avec une facette. mais je vais avoir un souci de ligne de collet.
donc, traitement ortho après pose des implants? si oui, lequel?
et je me demande carrément si je ne vais pas faire sauter 22 et 12, pour avoir quelque chose d'homogène.
pas évident.


alhoun

16/06/2006 à 16h09

hoooo? les orthoooos????


Logo vuaztn - Eugenol
mac

16/06/2006 à 16h19

y sont à la plage...


al

16/06/2006 à 16h29

alhoun Ecrivait:
-------------------------------------------------------
> hoooo? les orthoooos????

si tu cries en chuchotant, ils t'entendront pas. majuscules pour crier ...


alhoun

16/06/2006 à 16h29

et toi? tu fais pas pareil?


123...