Cookie Consent byPrivacyPolicies.comcas archi multi disciplinaire - Eugenol

cas archi multi disciplinaire

Logo vuaztn - Eugenol
mac

16/06/2006 à 16h40

et non, y en a qui bossent!


alhoun

16/06/2006 à 16h55

c'est pas l'heure de la sieste?


Logo vuaztn - Eugenol
mac

16/06/2006 à 17h41

m'en parle pas j'ai fini la sieste et je sais pas quoi faire en attendant l'apéro.


Images eb1m5g - Eugenol
tonio

16/06/2006 à 17h44

alhoun Ecrivait:
-------------------------------------------------------
> donc, j'ai un problème.
> la 22 est très enfoncée dans son alvéole, elle
> n'est pas fracturée, et silencieuse cliniquement.
> je pensais tricher avec une facette. mais je vais
> avoir un souci de ligne de collet.
> donc, traitement ortho après pose des implants? si
> oui, lequel?
> et je me demande carrément si je ne vais pas faire
> sauter 22 et 12, pour avoir quelque chose
> d'homogène.
> pas évident.



pourquoi ne pas faire sauter en plus 11 et 21 dans ce cas???
Il semble qu'il y ait une lésion sur la 11 (ou artefact?)

As tu fait sauter la 13?

Parce que soit tu décides de garder les 5 antérieures, soit tu les vires.

Mais phychologiquement, ça risque d'être super dur pour le patient si tu vires tout non?
Une chir paro esthétique n'est elle pas possible???


alhoun

16/06/2006 à 18h02

11 et 21 sautent de toute façon.
je pensais garder les deux latérales.
après, en garder une.
ensuite aucune.
le ménage, quoi!


catrose

16/06/2006 à 18h45

bon,plus rien a coller,le desert..
finalement j'aurais pu rester a la plage

si jamais tu decides de garder les laterales,envoie des retros:sur la pano,luxation sur la 12?la 22 intrusee?pas assez clair
mais de toute maniere il faudra des ancrages(mini-vis ou implantaires)


alhoun

16/06/2006 à 18h47

salut catrose,
je t'envoie la pano d'après extractions, elle est parlante.
c'était bien, la plage?


alhoun

16/06/2006 à 18h53

voilà

Pano2 lztpwe - Eugenol

1 eugenol dmj5np - Eugenol
Dancha

16/06/2006 à 19h16

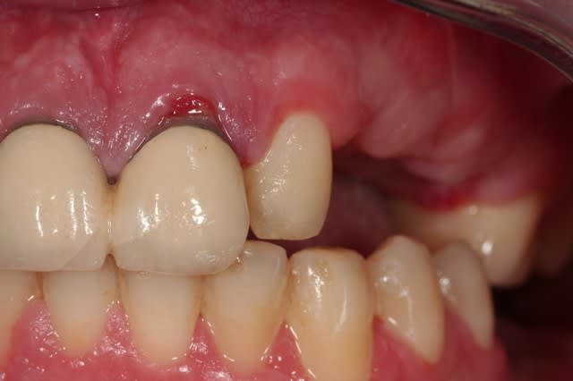
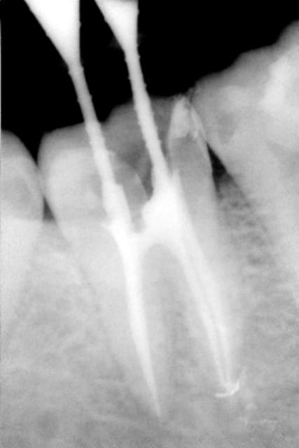
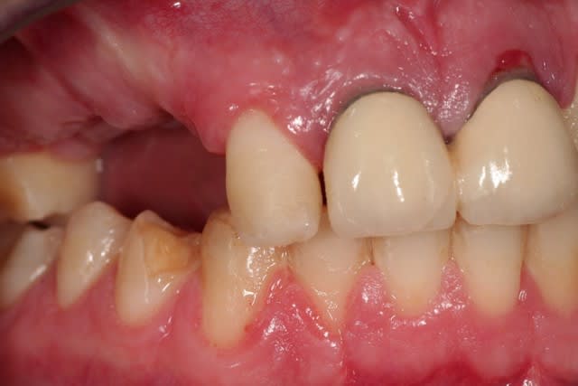
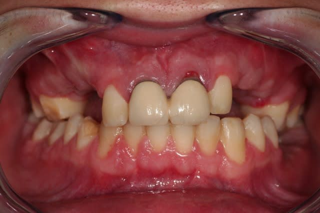
Si tu avais une photo du sourire, des dents antérieures de face et des rétroalvéolaires des incisives supérieures, ce sera sympa. D'autre part, la 22 a-t-elle un son normal à la percussion ? Merci d'avance.

Daniel


al

16/06/2006 à 19h18

finalement t'avais raison, y avait pas besoin de crier...


Bx1 spw1cx - Eugenol
BX

16/06/2006 à 19h20

Les odf restent généralement scotchés sur leur rubrique et viennent rarement humer l'air du grand large.
alhoun, si tu attends d'eux une réponse, envoie une fusée éclairante au bon endroit.


alhoun

16/06/2006 à 19h23

ça y est, j'en ai rameuté deux :)
ok daniel, je vois le patient mardi et j'envoie ça.


Amibien

16/06/2006 à 20h57

alhoun Ecrivait:
-------------------------------------------------------
> hoooo? les orthoooos????


bof, les latérales devraient facilement descendre avec un arc droit même s'il te manque canine et prémolaire... le plus dur va être de coller les verrous sur les 11 et 21...




024 vownvo - Eugenol
annie

16/06/2006 à 20h58

petite question,si tu extrais pratiquement toutes les dents,a quoi bon un traitement orthodontique?
il n'y aura aucun espoir de combler les béances!


Icon poker h4nm2d - Eugenol
jeff

16/06/2006 à 22h16

Tu est sure que les centrales sont perdues ?


alhoun

17/06/2006 à 11h36

oui, hélas, les centrales sont perdues.
je réfléchis à l'intérêt éventuel de garder les latérales.
d'un côté, en les gardant, j'ai besoin de huit implants, en les supprimant, je peux me contenter de six, avec une gestoin esthétique beaucoup plus simple.


Images eb1m5g - Eugenol
tonio

17/06/2006 à 12h26

au fait, t'as vu alhoun, t'as une endo à faire sur la 47!

Et comme, je sais que tu adores ça, hi hi hi! ;)

sinon, tu me l'envoies et je te la fais ;)

et si tu ne veux pas te casser la tête, tu la vires et tu mets un implant... ;))))


alhoun

17/06/2006 à 12h36

oui, c'était galère en plus. impossible de poser la digue, dent très délabrée et ouverture très limitée, pratiquement tout à la main, j'ai quand même fini avec le protaper rouge, je ne sais pas comment!!

Endo 47 bka74j - Eugenol

alhoun

17/06/2006 à 12h44

pour la 46, c'était plus simple, mais impossible de prendre les canaux mésiaux.
de toute façon, je refais une pano après les implants.

Endo 46 czlsam - Eugenol

Images eb1m5g - Eugenol
tonio

17/06/2006 à 13h52

ben pourquoi tu dis que t'es nul en endo mon biquet!

tu t'en tires trés bien tout seul!!!

congratulations, Sir Alhoun! ;)


Images eb1m5g - Eugenol
tonio

17/06/2006 à 13h55

alhoun Ecrivait:
-------------------------------------------------------
> oui, c'était galère en plus. impossible de poser
> la digue, dent très délabrée et ouverture très
> limitée, pratiquement tout à la main, j'ai quand
> même fini avec le protaper rouge, je ne sais pas
> comment!!

dans ces d'ouverture trés limitée, c'est là aussi où j'apprécie la rotation continue:

utilise les protaper en 21 mm et monté sur un CA avec une micro-tête de type AX endo (MM), trés pratique dans ce genre de cas. C'est bien plus facile que de faire tout à la main. :)

enfin, je dis ça, mais ce n'est surement pas à moi de te donner des conseils!!! ;)



Pa050055 igyagy - Eugenol
mark

17/06/2006 à 18h57

Ah ben voilà! quand tu veux tu peux, et mieux encore!
Elles ont eu chaud les molaires! Moi qui croyais que tu faisais de l'implantologie par dépit endodontique ;) pfff! comme dirait l'autre.


Amibien

17/06/2006 à 20h32

pour mettre la digue dans ces cas difficiles il est possible de prendre un clamp avec mors larges et assez longs et pointus et de proccéder ainsi: tu spatules une dose de verre ionomère, tu décroches la digue à un des angles du clamp pour la faire glisse vers la limite du futur champ opératoire, tu déposes du verre ionomère tout en continuant à tenir la digue jusqu'à prise, ensuite tu recommences la procédure jusqu'à avoir fait le tour de la dent, la digue se trouve ainsi collée scellée sur la dent et les ferrailles sont surmontées sans qu'elle se déchire dessus...


alhoun

20/06/2006 à 16h48

les images comme prévu.
son normal à la percussion, à part les cris du patient.
non, je déconne.

Sourir idgyv3 - Eugenol
12 cbn0ed - Eugenol
22 llsypc - Eugenol

Grueavatar nptrc9 - Eugenol
Le Choixpeau magique

20/06/2006 à 18h00

Si les centrales sont asymptomatiques et de mobilité normale, est-ce que ça ne pourrait pas valoir le coup de tenter de les garder ? Tu ne voudrais pas démonter les couronnes et ré-évaluer notamment la 21 avant de tout dégager ?
La 22 semble fracturée sur la pano, mais c'est peut être un artefact, il faudrait vérifier avec une rétro, mais si c'est le cas, tu es évidemment mal barré pour une traction.
Dans tous les cas, si tu conserves la 22, surveille la pendant quelques mois avec des rétros pour t'assurer de l'absence de résorption.


1234...