Tous les forums
cas archi multi disciplinaire
08/09/2006 à 22h04
alhoun Ecrivait:
-------------------------------------------------------
> vaut mieux arrêter le boulot, alors, non?
à choisir oui, c'est moins déprimant.
08/09/2006 à 22h20
OUUUCH! et merci pour la démonstration!
Question: comblement au niveau des centrales, ou mise en attente d'une solution selon cicatrisation?
08/09/2006 à 22h51
Bien vu mark, c'est ce qui m'interroge.
Je regarde la photo des provisoires et je ne vois pas de sutures, un peu à la manière des complets immédiats où on laisse la prothèse guider la cicatrisation?
08/09/2006 à 22h56
Tu avais un guide chir issu des provisoires?
J'aimerais bien connaître aussi les raisons qui t'ont poussé à tenter ce pari.
Et si carole nous fait ce study group sur la photo numérique je serais le premier inscrit (c'est sûr) mais je connais déjà le suivant.
08/09/2006 à 22h58
Comment ça se règle en occlusion?
Comme une prothèse fixée classique ou légère inocclusion le temps de la cicatrisation?
08/09/2006 à 23h02
Si il n'y a effectivement pas de sutures, tu donnes des conseils post-op particuliers?
J'imagine la phonation, la mastication ou siffler un air joyeux grâce à l'été indien.....un vrai plaisir.
09/09/2006 à 10h43
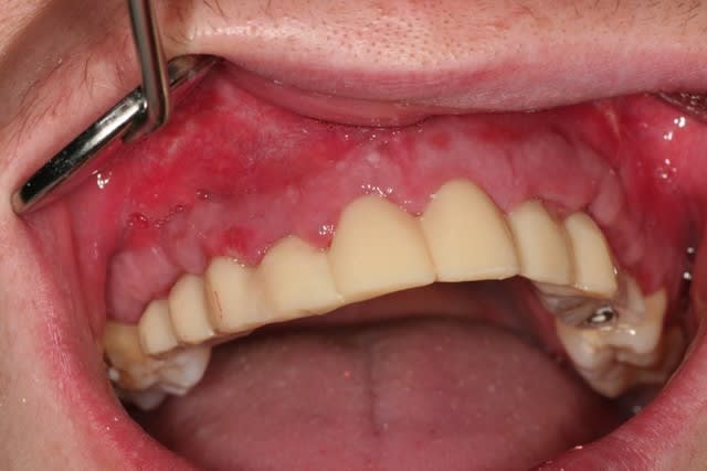
centrales: comblement bio-os. gros dégât au niveau de 21, fracture profonde, mais pas mis de membrane, je cherche juste à préserver le volume.
pas de guide chir dans ce cas, car les deux latérales sont en extraction-implantation immédiate, et pour les prémols de part et d'autre, pas très compliqué de les mettre en place.
si, il y a des sutures, en matelassier, très discrètes.
oui, je fais guider la cicatrisation par la provisoire, à 15 jours je dégagerai davantage pour permettre au tissu de granulation de prendre forme au niveau des embrasures.
là je ne suis pas en sous occ, c'est ce bridge qui soutient la dv pour l'instant. mais bon, sur six implants bien dispatchés, ça ne devrait pas poser de souci.
le calage postérieur va être restauré à partir de la semaine prochaine, il y a encore des endos et de la restau à faire.
ensuite empreinte unique pour tout le travail, haut et bas.
dans 15 jours,pose des implants à la mandibule.
pour les photos, j'ai pr^té mon appareil à la famille cet été: ils m'ont bousillé les réglages.
mac, au secours!!!
la suite au prochain épisode
10/09/2006 à 00h22
Intéressant, tu cherches délibérement une compression gingivale par les provisoires et tu règles régulièrement les contacts muqueux.
Tu penses pouvoir garder la papille entre les centrales ainsi.
Tu règles tous les 15j ou c'est au feeling?
Si on ne voit pas de sutures c'est que ça doit être des matelassiers horizontaux, provisoire par-dessus, y a pas de risques que ton bio-oss bouge sans membrane?
10/09/2006 à 10h40
mark Ecrivait:
-------------------------------------------------------
> Je suis ton cas avec beaucoup d'intérêt! ;)
Moi aussi, mais finalement j'aurais fait la même chose (extractions), la seule différence un prothèse adjoint au lieu d'implants.
Chacun son truc:)
10/09/2006 à 11h21
une fois le caillot formé, il ya peu de risque...
patient eu au téléphone hier: ça roule..
10/09/2006 à 11h25
tu dis ça en rigolant zorbec, mais c'est plutôt l'attitude majoritaire, malheureusement.
ce patient a 21 ans. il sort d'une expérience extrêmement traumatisante, les implants sont une évidence....
c'est d'ailleurs le but de ce post... comme dit au début, par marc apap notamment, ce cas n'est pas complexe en soi, mais il faut simplement savoir mettre toutes les chances du coté du patient...
10/09/2006 à 12h15
alhoun Ecrivait:
-------------------------------------------------------
> tu dis ça en rigolant zorbec, mais c'est plutôt
> l'attitude majoritaire, malheureusement.
> ce patient a 21 ans. il sort d'une expérience
> extrêmement traumatisante, les implants sont une
> évidence....
>
Non je ne dis pas cela en rigolant, car malheureusement comme tu le dis (majoritaire)c'est ce qui attend 98% des patients. Et nous somme en 2006 !!!
Actuellement je dirige une moyenne de 3 ou 4 patients par semaine pour des implants, c'est dur dur de les convaincre, mais un breton c'est têtu...
15/09/2006 à 17h33
patient vu plus tôt que prévu, fracture du bridge provisoire.
en ai profité pour enlever les fils.
tout à l'air OK.
détails et empreintes rapidement..
15/09/2006 à 22h31
Tu veux dire que toi aussi ça t'arrive ce genre de trucs....ben merde alors!!!!
C'est pas pour appuyer où ça fait mal mais où ça a pété et pourquoi?
Sur la photo les tables occlusales semblent très plates.
16/09/2006 à 11h21
bridge pro réalisé avant la chir, et rebasé pendant. l'ennui, c'est que qand tu l'évide pour qu'il prenne sa place, il se fragilise, forcément.
la fracture était située autour de l'implant en 22.
les faces occlusales sont archi plates parce que je n'ai fait aucun travail sur la dv encore, ce sera fait avec le nouveau bridge pro, dans 15 jours.