Cookie Consent byPrivacyPolicies.comcas archi multi disciplinaire - Eugenol

cas archi multi disciplinaire

Image odged8 - Eugenol
ploc

16/09/2006 à 12h53

pas assez de hauteur pr prévoir un renfort ds le bridge pro,style tiges qui existent de différent diamétre et qu'on noie ds la résine(saignée,tige coupée à la longueur adéquate,résine par dessus) pr renforcer au niveau des pts de faiblesse?

une mauvaise idée?


Image19 iebot6 - Eugenol
athos

16/09/2006 à 12h56

et si justement tes renforts se trouvent aux endroits a evider hein? hmmm? hein?...


alhoun

16/09/2006 à 12h59

non, bonne idée, c'est prévu sur le bridge provisoire II
dans quinze jours, pose des implants mandibulaires, et on pourra attaquer la dv tranquillement.
pour l'instant, je suis sur la hauteur post traumatisme


alhoun

16/09/2006 à 20h52

juste une précision concernant le bridge pro: en guise de renfort, ce seront des fibres de kevlar noyées dans la résine


Squash u44zd8 - Eugenol
steph

16/09/2006 à 21h30

C'est sans doute mieux pour disperser les contraintes du bridge que le fil jonc que j'utilise.
Mais ta gestion du cas me plait, ne pas précipiter les choses pour évaluer au mieux cicatrisation gingivale et DV.
Je suis preneur des photos du bridge II.


Grueavatar nptrc9 - Eugenol
Le Choixpeau magique

18/09/2006 à 18h53

Les fils de kevlar, ça se trouve toujours chez les maquettistes ou il y a des voies plus traditionnelles pour s'en procurer ?


alhoun

18/09/2006 à 19h10

je ne sais pas, c'est mon prothésiste qui s'en occupe, je lui poserai la question.


carole

19/09/2006 à 01h04

dis, tu veux pas aller plus vite que la cicatrisation... on en peut plus..on veut voir la suite!!! ;)

big respect...c' est bien joli tout ça....

bon, pour les photos, il faut quand meme qu'on cause!!! lol


Squash u44zd8 - Eugenol
steph

19/09/2006 à 02h31

J'ai cru que tu le dirais jamais!!!!!


alhoun

19/09/2006 à 10h51

elle est quand même pas mal la dernière, non?
ce sont des réglages corses...


Logo vuaztn - Eugenol
mac

19/09/2006 à 11h30

alhoun Ecrivait:
-------------------------------------------------------

> ce sont des réglages corses...


juste la dernière, les autres je cautionne pas...


carole

19/09/2006 à 22h20

mouais, sur la dernière, on sait au moins où tu as fait la mise au point... sur la moustache ;) oups....

mais voui, yadumieuuuuuu.....rrararalalala, faut toujours vous rassurer...il fait des trucs de ouf pour nous rendre jaloux et nous faire réver, et hop, grace à la petite bidouille photographie, on le coince, et il nous croit!!!

il n' y a pas à dire....on est des vrais méchants, car avec un tel traitement, ça méritait un photographe...j' en ai honte d' avoir fait des photos réussies de compos à 2 balles...allez , hop, du voodoo et je te transfert ma capa en photo macro endobuccale ;) (je précise, parce que pour les photos de famille...je suis nulle...et pour les photos d' amis....ba, j' ai pas d' amis ;)


Squash u44zd8 - Eugenol
steph

20/09/2006 à 01h09

Pourquoi tout toujours aux mêmes?
Moi j'en veux bie nun peu aussi de ta capacité photo machin.


Cuisinier2 vnbbxx - Eugenol
jeff2

20/09/2006 à 10h42

Le Choixpeau magique Ecrivait:
> Les fils de kevlar, ça se trouve toujours chez les maquettistes ou il y a des voies plus traditionnelles pour s'en procurer ?

Perso il fut un temps dans ma vie ou j'en utiliser des centaines de metres par an, je faisais mes cordes d'arc avec, je pense qu'on doit toujours en trouver dans les magasins d'archerie



003 penrd2 - Eugenol
Cingulum

24/09/2006 à 16h35

je suis le fil... trés interessant.


Pour les photos si vous faites un study group je suis partant ;), je vais avoir un peu de temps bientot...;)


carole

25/09/2006 à 11h24

study group photo à capbreton à la terrasse d' un café, avec TD à la clef lors d' une virée improvisée sur le bord de mer ;) non?


annickromand

25/09/2006 à 17h01

perso j'ai demandé un bout de corde marine dans une boutique d'accastillage: c'est du kevlar et avec mes 10 cm de corde je pourrais...faire plusieurs carrières! c'est hyper pratique, je fais des contentions de bloc incisivo canin mandibulaire, le dernier patient de ce matin va enfin se payer des implants, après 4 ans de maintien avec ce sytème corde marine + compo pas
cher, pas compliqué à installer, et pas de crainte de rater, à ce prix là, on peut recommencer et tout et tout, rien que du bon!!


alhoun

25/09/2006 à 20h16

la suite ce soir, 3 implants en 36 et 37...

Implants 36 37 clbner - Eugenol

Image19 iebot6 - Eugenol
athos

25/09/2006 à 20h32

pffff...je suis vraiment nullissime, j'en vois que deux...


alhoun

25/09/2006 à 20h36

parce que le pilier mésial est plus petit et masqué. vendredi je prends une vue occlusale...
rien que pour nathos....


Pa050055 igyagy - Eugenol
mark

25/09/2006 à 21h00

oooh ouiii encooore!

et merci.


Image19 iebot6 - Eugenol
athos

25/09/2006 à 21h07

alhoun Ecrivait:
-------------------------------------------------------> rien que pour nathos....


c'est vrai dis, suis ton nathos hein ?!...


alhoun

26/09/2006 à 11h28

:):)


Pa050055 igyagy - Eugenol
mark

26/09/2006 à 15h30

:(





non, j'déconne! chuis même pas jaloux :)


alhoun

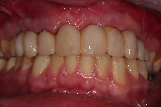
16/10/2006 à 19h25

voilà, ça prend forme.
deuxième bridge provisoire.
j'ai sous-estimé le décalage de la 22, on y réfléchit.
je laisse mûrir complètement comme ça, et on verra à la fin si on fait de la mucco gingivale.
le patient est très content et s'en fout.
semaine prochaine: endos, compos et inlays....

Provisoire2  tloahq - Eugenol
Sourire plkk70 - Eugenol

1...567...