Cookie Consent byPrivacyPolicies.comcas archi multi disciplinaire - Eugenol

cas archi multi disciplinaire

alhoun

20/02/2007 à 16h25

jure-le!


ben

20/02/2007 à 22h20

Dans ses rêves !!!


024 vownvo - Eugenol
annie

20/02/2007 à 22h58

ben Ecrivait:
-------------------------------------------------------
> Dans ses rêves !!!

oui,réalisés,même si tout n'est pas académique,j'y ai même vu un scrow post,t'as qu à voir,pano à disposition,mais quelle preuve? patient à disposition,mais quelle preuve? combien l'ai-je payé ?
contre la mauvaise foi,l'arrogance,l'insolence,la suffisance,je n'ai pas de remède,soignez vous tous seuls


faouz

20/02/2007 à 23h54

Non mais, dites donc les gars, vous allez arrêter de taquiner Annie?! T'inquiète pas Annie, je suis là...D'ailleurs le bridge complet que tu m'as fait, ça va super..;)


024 vownvo - Eugenol
annie

21/02/2007 à 00h07

oui,Faouz,merci,mais il faudra faire la pano pour vérifier!!)
A force de semer le doute,et de demander comment je gérais le suivi de mes patients,d'affirmer que les méthodes appliquées n'etaient pas bonnes,je suis satisfaite des controles que j'effectue sur d' anciens travaux,me voila rassurée,je tenais à vous rassurer aussi!
un peu hors post,mes excuses!


Térésias

21/02/2007 à 09h45

T'excuses pas, mon complêt est aussi au top, merci annie.


Pa050055 igyagy - Eugenol
mark

21/02/2007 à 21h34

salut alhoun, merci pour la suite
belles endos
beau schéma implanto
je suis plus inquiet pour le patient, il semble qu'il y ait un relâchement de sa part quant à la maintenance et à l'hygiène alimentaire.
comment expliquer autrement les caries et reprises sous inlay-cores? l'évolution me semble bien rapide que ne peut expliquer à elle seule la temporisation.
Qu'en est-il réellement en bouche?
il m'a semblé observer pas mal de plaque sur le bloc incisif inférieur

Dans l'affirmative, comment gères-tu la reprise en main du patient par lui-même au regard de ton investissement sur un pareil cas?


alhoun

21/02/2007 à 22h04

l'hygiène alimentaire?

oui, il faut un peu de tartre. je ne l'ai pas détartré depuis jui ou juillet, je ne sais plus.

les caries? je ne vois pas.


Pa050055 igyagy - Eugenol
mark

24/02/2007 à 16h17

des artefacts, sans doute.
Merci pour la suite.


alhoun

25/02/2007 à 13h05

il ya certaines dents fracturées que je n'ai pas encore réparé. c'est peut-être ça qui donne des images radio-claires.
mais je confirme, pas de caries.


024 vownvo - Eugenol
annie

25/02/2007 à 17h21

mark parle peut-être des zones paraissant radio claires entre les IC des 46 ,47 et les dents,au niveau occlusal,et de la 48 en mésial ?


ben

01/03/2007 à 11h54

Vas y alhoun, à toi.


alhoun

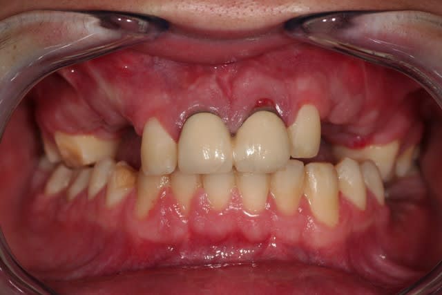
11/07/2007 à 21h10

bon, j'ai réussi à remettre la main sur le patient.
on a fait une belle série sur les deux derniers mois: ça y est, c'est fini.
pour l'anecdote: il a fondu en larmes, et moi aussi, un peu.
mac , si tu peux me faire une planche?
thanks

Vue generale déf pzjqut - Eugenol
Sourire déf poaydl - Eugenol

alhoun

11/07/2007 à 21h13

pardonnez les quelques excès de ciment!!


alhoun

11/07/2007 à 21h17

et pour ceux qui n'ont pas envie de retourner au début...

Initial eqcrc5 - Eugenol

Cuisinier2 vnbbxx - Eugenol
jeff2

11/07/2007 à 21h22

chapeau bas Alhoun!...


200106 10150128247663588 709988587 6466236 5598391 n d7mksb - Eugenol
hallboy

11/07/2007 à 23h33

veri zoli.


Logo vuaztn - Eugenol
mac

11/07/2007 à 23h43

alhoun Ecrivait:
-------------------------------------------------------

> mac , si tu peux me faire une planche?


envoie les photos.


S8ysxdzhdqgw00w4q6m07a5d47q2 - Eugenol
gai-luron

12/07/2007 à 00h18

c'est marrant, j'y pensais hier à ce post, et je voulais avoir la fin...

merci alhoun


Image odged8 - Eugenol
ploc

12/07/2007 à 00h56

clap clap
aussi beau qu'une île le soir les pieds ds le sable,au coucher du soleil,le bruit...
ah c'est vrai plus d'histoires,j'ai rendu mon tablier

il s'est racheté une voiture?


024 vownvo - Eugenol
annie

12/07/2007 à 06h45

Une question de novice,est ce parce que les couronnes de 15,24 et 25 sont sur implants qu'elles sont plus "rentrées" que les autres? impossible de récupérer le bombé de l'arcade comme avec des ceramiques sur couronnes?
je te jure alhoun, ce n'est pas une critique (beau travail) mais une information pour une non "implanteuse" (tiste?)


alhoun

12/07/2007 à 12h33

et quand bien même ce serait une critique...
non, les prémols sont dans leur position d'origine, c'est le genre de sourire qu'avait le patient...nous avons repositionné les canines par rapport à d'anciennes photos, et je crois que c'est ça qui donne cet effet.
là ou j'ai ce genre de problème, par contre, c'est en 36 et 37. malgré des extractions complètement atraumatiques, si ce mot peut être employé sur ce cas précis, il y a eu perte osseuse, et je suis légèrement lingualé.
je complèterai l'iconographie à la rentrée.


Image19 iebot6 - Eugenol
athos

12/07/2007 à 17h57

ah alhoun...reusement que t'es là, c'est chouette


Images qct94b - Eugenol
themumbly

12/07/2007 à 22h39

assurément le post de l'année


Logo vuaztn - Eugenol
mac

12/07/2007 à 22h40

themumbly Ecrivait:
-------------------------------------------------------
> assurément le post de l'année
>


y a annie en endo qui tient la corde.


1...789