Cookie Consent byPrivacyPolicies.comcas archi multi disciplinaire - Eugenol

cas archi multi disciplinaire

Image19 iebot6 - Eugenol
athos

16/10/2006 à 19h35

normal qu'y soit content quand meme
manquerait plus que ça!


t42

16/10/2006 à 22h35

alhoun Ecrivait:
-------------------------------------------------------
>
> j'ai sous-estimé le décalage de la 22, on y
> réfléchit.
> je laisse mûrir complètement comme ça,

la nuit porte conseil ...
et mûrir aussi,parait il...

:):)bonne nuit alhoun

>


Images eb1m5g - Eugenol
tonio

05/12/2006 à 23h55

UP!

on voudrait des news alhoun!

tu dois bien avoir fini le cas depuis, non?


alhoun

07/12/2006 à 09h04

il est en stand by provisoire, beaucoup de déplacements, etc...

la fin du cas est prévue pour janvier.


Images eb1m5g - Eugenol
tonio

07/12/2006 à 21h13

merci!


alhoun

16/02/2007 à 16h51

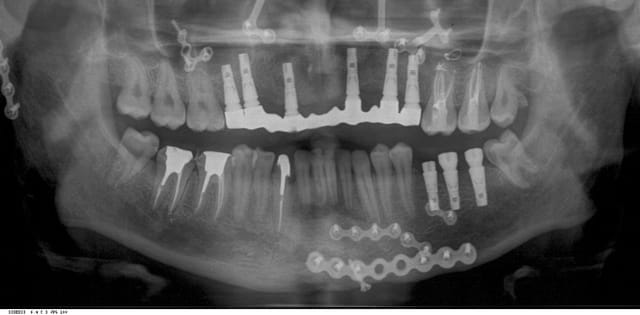
voilà, pas mal de retard sur le programme....
pano intermédiaire.
je commence les prothèses définitives dans 15 jours...
images à suivre

Pano intermédiaire qugpha - Eugenol

S8ysxdzhdqgw00w4q6m07a5d47q2 - Eugenol
gai-luron

16/02/2007 à 17h38

je peux poser une question?

De l'intérêt de la clavette? Je veux dire, il n'y en a pas l'indication dans ton cas, sur tes inlay-core molaire?


alhoun

16/02/2007 à 17h55

non, je ne pense pas.
à vrai dire, je n'en fais presque jamais, des clavettes, sauf gros délabrement.


S8ysxdzhdqgw00w4q6m07a5d47q2 - Eugenol
gai-luron

16/02/2007 à 18h51

ok merci.

joli boulot quand on compare le début et la fin...


Images eb1m5g - Eugenol
tonio

19/02/2007 à 13h50

elles sont jolies tes endos mon alhoun!!! ;-)

joli MV2 sur la 26!!! et bien visible en plus, même sur la pano!

Dis, va pas falloir trop trainer pour soigner la 38...

Juste une question concernant l'armature du bridge sur implants. On dirait qu'elle n'est pas enfoncée à fond en regard de 14-15. Image radio sans conséquence ou réalité? Possibilité de bascule?

Très joli boulot en tout cas!!!! vraiment!!!!


S8ysxdzhdqgw00w4q6m07a5d47q2 - Eugenol
gai-luron

19/02/2007 à 14h44

La réponse a peut-être été déjà donnée, j'ai pas tout relu, mais pourquoi 26 27 ont-elles été traitées? Nécrosées?


alhoun

19/02/2007 à 15h02

oui tonio, il y a en effet une bascule légère, mais c'est un bridge provisoire qui n'était pas sensé être porté si longtemps.
d'ailleurs, on peut remarquer une image douteuse sur M47, due à sa disparition dans la nature. je reprendrai ce traitement ( en HN), avant la pose des couronnes.
pour 26 et 27. de la même façon, le patient a disparu un certain temps, il avait un os en forte activité, et je crois que cela a accéléré l'egression de 26 et 27, qui est assez importante.
je voulais les ingrésser orthodontiquement , grâce aux conseils de dancha, mais le patient a voulu aller au plus vite.
dans 15 jours, on attaque les prothèses définitives.


Images eb1m5g - Eugenol
tonio

19/02/2007 à 15h16

alhoun Ecrivait:
-------------------------------------------------------
> oui tonio, il y a en effet une bascule légère,
> mais c'est un bridge provisoire qui n'était pas
> sensé être porté si longtemps.

oui, pas de soucis! Je n'oserai pas critiquer un si beau boulot. J'imagianais que c'était une pano de contrôle pour vérifier le bon enfoncement de l'armature définitive.


> d'ailleurs, on peut remarquer une image douteuse
> sur M47, due à sa disparition dans la nature. je
> reprendrai ce traitement ( en HN), avant la pose
> des couronnes.

Oui, dommage car le traitement est radiologiquement très satisfaisant. Dommage qu'il soit resté dans la nature avec son cavit. Bon courage por déposer ton IC... ;-)


> pour 26 et 27. de la même façon, le patient a
> disparu un certain temps, il avait un os en forte
> activité, et je crois que cela a accéléré
> l'egression de 26 et 27, qui est assez
> importante.
> je voulais les ingrésser orthodontiquement , grâce
> aux conseils de dancha, mais le patient a voulu
> aller au plus vite.
> dans 15 jours, on attaque les prothèses
> définitives.


Tu nous posteras les photos, je suis sûr que ce sera très joli.

Dernière question: tes prises de teinte sont toujours très réussies. Qui procéde au schéma de teinte? toi? ton protho ou les deux? Bref, comment procèdes-tu?

merci!


alhoun

19/02/2007 à 15h19

pour les teintes, je ne sais pas, j'en ai déjà parlé: j'ai l'oeil, que veux-tu,

;)


Images eb1m5g - Eugenol
tonio

19/02/2007 à 17h21

alhoun Ecrivait:
-------------------------------------------------------
> pour les teintes, je ne sais pas, j'en ai déjà
> parlé: j'ai l'oeil, que veux-tu,
>
> ;)

oui, enfin, tu as aussi l'oeil pour repérer les jolies filles... ;-)

quel teintier Vita classical? 3D Master? autre?

perso, tientier personnalisé dont les échantillons de céramique sont montés sur une mini-palette de peintre avec tous les échantillons de dentine, les principaux incisaux (du transparent au translucide) et les colorants de sillons. C'est ce que j'ai trouvé de plus fiable et qui permet de faire les céramiques les plus jolies.
Dans le cas d'une dent avec une teinte homogéne du collet au bord libre, je demande une teinte "désaturée", c'est un mix de poudre de dentine et d'incisal du plus bel effet (avec un couche d'incisal par dessus évidemment). voilou, c'est au cas où cela pourrait t'intéresser... :)


alhoun

19/02/2007 à 18h38

tout m'intéresse tonio.
je finirai même endo exclusif, va savoir!
;)


alhoun

19/02/2007 à 18h48

tonio Ecrivait:
-------------------------------------------------------

>
> joli MV2 sur la 26!!!




mais non, c'est une perf, demande à annie.

Perforation ddgr6g - Eugenol

024 vownvo - Eugenol
annie

19/02/2007 à 19h16

Quand même j'espère pour toi et pour eux que tu ne les perfores pas toutes !
bon,tu sais implanter ça sert!

hou! j'ai oublié les smileys!


ben

20/02/2007 à 09h56

Pour toi c'est inutile, tu crois quand même pas quon te prend au sérieux !!!


alhoun

20/02/2007 à 10h38

un aperçu de l'état de la muqueuse sur les implants à la mandibule.

Tissus mous ak3ivk - Eugenol

bloumbloum

20/02/2007 à 10h58

bravo!)


200106 10150128247663588 709988587 6466236 5598391 n d7mksb - Eugenol
hallboy

20/02/2007 à 11h05

bloubloumlike!!


Logo vuaztn - Eugenol
mac

20/02/2007 à 11h30

je veux pas faire le rabat-joie mais t'as des trous dans ta muqueuse....


alhoun

20/02/2007 à 11h52

tiens, salut bloumbloum, ça fait un bail, et merci.
merci à hallboy aussi.
quant au persifleur.....


024 vownvo - Eugenol
annie

20/02/2007 à 16h19

ben Ecrivait:
-------------------------------------------------------
> Pour toi c'est inutile, tu crois quand même pas
> quon te prend au sérieux !!!

oui tu as raison ben de ne croire que ce que tu vois
Désolée je n'ai pas d'appareil photo,mais toi,on attend toujours
Je viens de recevoir la pano d'une patiente à qui j'ai fait un bridge complet il y a 15 ans,toutes les dents sont dévitalisées le moins sérieusement du monde par mes mauvais soins,et coup de bol,aucune pêche,le bridge tient ,pas de problèmes paro,si une pêche sur une molaire du bas,qe je n'ai pas traitée
je dois vraiment avoir une bonne étoile,pourvu que ça dure!


1...6789