Cookie Consent byPrivacyPolicies.com22 bis ? - Eugenol

22 bis ?

bigzac

26/05/2006 à 00h35

J'aurais pu exposer mon probleme dans les " Cas cliniques ", mais ça aurait fait anectodique a côté du patient d'alhoun, et puis là, il se trouve que c'est plus pour moi un casse-tête administratif que technique.
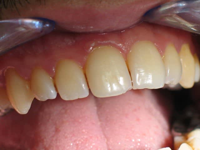
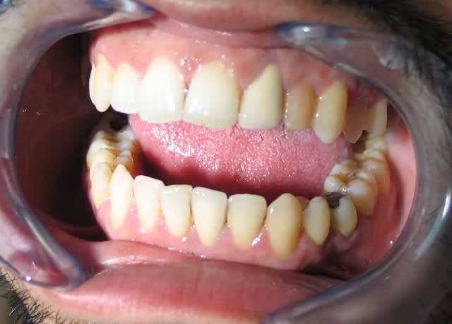
Je résume le cas en quelques phrases : je récupère ce patient il y a deux ans environ, avec une infection récidivante au niveau de 22, et ce depuis plusieurs années. Il a déja subi sans résultats différentes interventions chirurgicales au maxillaire (résections, gingivectomies,...). Le point de départ de ses problèmes étant traumatique, il s'est en fait retrouvé un beau jour avec une nécrose de 31, de 22 et de cette fameuse dent surnuméraire que j'ai appelé commodément pour mon dossier 22 bis. Je reprends simplement le traitement endodontique de ces dents, et il se trouve que tous les symptômes disparaissent. Il y a quelques mois, après avoir surveillé une bonne année, je réalise les CCM sur 22 et 31. Le patient veut maintenant faire la même chose sur la 22 bis, ce qui est normal car celle-ci s'est maintenant bien colorée.
Et c'est là que mon problème intervient : mon logiciel Logos ne me permet pas de "créer" cette dent surnuméraire, ni de la nommer de quelque façon que ce soit. Je peux donc encore moins codifier ma CCM et la télétransmettre !
Quelqu'un a-t'il déja été confronté à un tel cas de dent surnuméraire ?
Je ne peux pas envoyer une FSE avec encore la 22, ça passerait difficilement si peu de temps après l'autre.
Qu'en penses-tu améli ?
Ai-je droit à un seul SPR 50 pour les 2 ?
Dois-je dénoncer le patient à sa mutuelle afin qu'il paye une surprime bien méritée ?
J'attends vos avis, incisifs surement, sur mon problème.

22 bis rwwk5x - Eugenol

solene

26/05/2006 à 00h44

Téléphone à ton dentiste conseil et demande lui une confirmation par écrit si il t'autorise à codifier un SPR 50.


GROSDEG

26/05/2006 à 11h48

extraction + implant immediat avec couronne codifiée spr 30 : pas de probleme avec la secu


S8ysxdzhdqgw00w4q6m07a5d47q2 - Eugenol
gai-luron

26/05/2006 à 11h54

j'ai déjà eu ce "problème" avec une 21 bis, ou 11 bis au choix, 3 incisives centrales qu'il fallait couronner. J'avais appelé le CDConseil qui m'avait demandé de lui fournir la radio (c'était encore l'époque des demandes d'entente), il n'y avait eu aucun problème. Mais il ny avait pas à l'époque de logiciel de gestion, ni de télétrans, donc je ne peux te répondre sur ce point précis.
Mais la couronne avait été acceptée et remboursée.


Image19 iebot6 - Eugenol
athos

26/05/2006 à 11h56

fais exceptionnellement une feuille papier, adresse azu controle dentaire avec photo et radio, ils feront ce qu'il faut


Avatar transparent iqadnc - Eugenol
adhoc

26/05/2006 à 12h21

De meme les hémisections avec reconstitutions et les cas atypiques, feuille papier, comme athos!


Img 1392 s73srk - Eugenol
Guttaman

26/05/2006 à 14h49

Et pourquoi pas simplement un blanchiment interne ?


ameli

26/05/2006 à 16h05

J'ai eu le même cas il y a quelques années, mais pour des ext ! Ca fait curieux d'indiquer 2 fois la 22 (moi, c'était 12, et le même patient avait 2 18 !) pour le même acte, mais pourquoi pas ?
Il y a toujours la possibilité que la feuille soit interceptée et envoyée au DC, mais il suffit de pouvoir démontrer l'acte réalisé. Donc, la radio datée et identifiée est indispensable et l'affaire sera classée sans suite.
Si, au niveau télétrans, la FS est rejetée(ça, je n'en sais rien), il faudra donc mettre ces actes sur des feuilles séparées.
En résumé, pas de soucis, juste prévoir une éventuelle explication du cas.


bigzac

27/05/2006 à 00h06

Merci pour vos conseils.
Je crois que c'est la solution de GROSDEG qui me parait la plus appropriée d'un point de vue de la nomenclature.
En tout cas, c'est peut-être notre avenir ce genre de patient : avec toutes les obligations qu'on nous impose et la hausse des cotisations d'urssaf qui va nous tomber bientôt sur le coin de la gueule, ce serait bien d'avoir plus de dents à traiter sur chaque patient.
J'ai tout lu Axel Kahn et je vais donc essayer de lui prélever quelques cellules épithéliales, de mettre ça en culture dans mon autoclave à 37 °C, avec en plus quelques colonies de streptococcus mutans, et si ça marche, je sauverais la profession en réussissant le premier clonage humain reproductif !
Je vous tiens au courant.


Avatar jt8tlq - Eugenol
bogenom

27/05/2006 à 00h34

et le blanchiment interne alors????


treets

30/05/2006 à 00h06

Bigzac disait :

"En tout cas, c'est peut-être notre avenir ce genre de patient : avec toutes les obligations qu'on nous impose et la hausse des cotisations d'urssaf qui va nous tomber bientôt sur le coin de la gueule, ce serait bien d'avoir plus de dents à traiter sur chaque patient."

ouep ! une fois, j'me suis retrouvé avec un patient qui avait 4 prémolaires par cadran supérieur. et ben, on fait comment les gens de la nomenclature ???


bigzac

30/05/2006 à 15h31

Bon, ça n'a pas été facile mais j'ai réussi à obtenir un clone avec une latérale surnuméraire. C'est pas du "reproductif" à 100 % mais c'est déja pas mal !

Clone aohfqy - Eugenol