Cookie Consent byPrivacyPolicies.comA vos appareils photos - Eugenol

A vos appareils photos

rere

03/06/2006 à 13h35

Bonjours a tous, je lance ce nouveau sujet pour vous faire part de quelques photos insolites ou etranges de ma petite experience en cabinet ( 5 ans).

Je suis sur une petite commune de 10 000 habitants comme collab à cote de Lyon.

Le fait de partager nos photos me semble etre une bonne idee pour se rassurer, rigoler ou bien meme se "former".

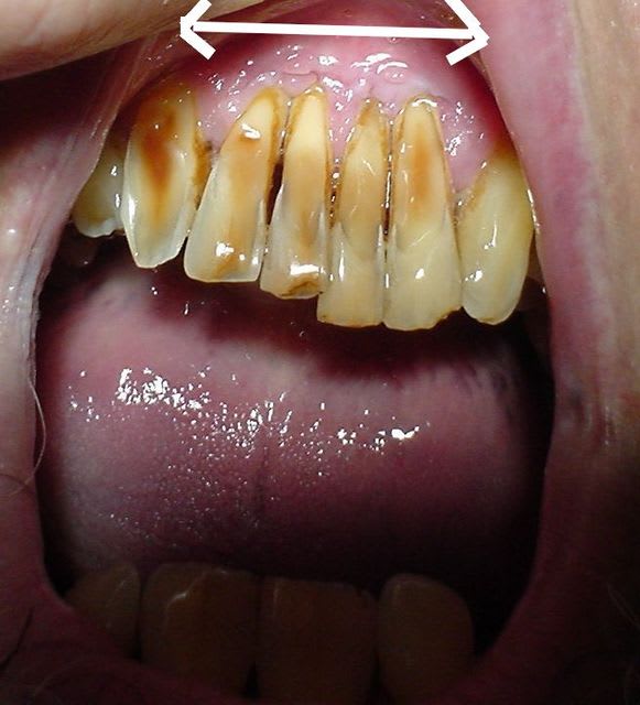
Je commence avec ma premiere photo
A vous de jouer...

Dents ant lmifmh - Eugenol

rere

03/06/2006 à 13h45

Nouvelle photo ...

11 bvdkwg - Eugenol

rere

03/06/2006 à 13h53

Cette fois ci un patient agé de 84 ans venant consulter ( envoyé par son generaliste) pour oedeme des levres sup et inf homolaterales. La face int de la joue presente elle aussi un oedeme.
Apres plusieurs recherches et en discutant avec un ORL (ma cousine) on conclue a un zona du V3 qui d'apres elle est assez rare...


rere

03/06/2006 à 13h56

j'ai oublié les photos.


rere

03/06/2006 à 13h56

Pb avec les photos ...

Zona du v3 sjqftr - Eugenol
Zona du v3 vue interne fen0f8 - Eugenol

Kanye

03/06/2006 à 14h11

Je le savais que j'aurais pas du prendre dentaire... Snif!


GROSDEG

03/06/2006 à 14h20

Tu travailles au zoo?


Dr - Eugenol
JeRis

03/06/2006 à 20h38

... une canine inf extraite à mon chat; elle était mobile et se mettait de travers ... il ne pouvait plus fermer la gueule!

Img 0760 erycol - Eugenol

cyberquenottes

03/06/2006 à 20h52

j'espère que t'avais mis des gants en cotte de maille


Dr - Eugenol
JeRis

03/06/2006 à 21h07

... les chats "savent" que tu les soignes et que c'est pour leur bien; en général ça se passe pas trop mal.


Grueavatar nptrc9 - Eugenol
Le Choixpeau magique

03/06/2006 à 21h52

JeRis Ecrivait:
-------------------------------------------------------
> ... les chats "savent" que tu les soignes et que
> c'est pour leur bien; en général ça se passe pas
> trop mal.

C'est aussi ce que ma mère a dit quand elle a retiré la patte de notre chat qui l'avait coincé dans la machine à coudre (ouch)


Pa050055 igyagy - Eugenol
mark

04/06/2006 à 12h21

Le Choixpeau magique Ecrivait:
>
> C'est aussi ce que ma mère a dit quand elle a
> retiré la patte de notre chat qui l'avait coincé
> dans la machine à coudre (ouch)
>


Le chat botté voulait se faire des bas?


Dr - Eugenol
JeRis

04/06/2006 à 12h58

... Tartre!

Img 0773 epoaau - Eugenol
Img 0774 ptxjdi - Eugenol
Img 0775 nl3sa3 - Eugenol

Dr - Eugenol
JeRis

04/06/2006 à 13h01

... Jumelles

Img 0814 e9otck - Eugenol
Img 0815 wqbjjh - Eugenol

canard59

04/06/2006 à 13h01

Superbes photos ............;


Dr - Eugenol
JeRis

04/06/2006 à 13h04

... Dents de sagesse!

Img 0847 l4ptvz - Eugenol
Img 0848 ibghy2 - Eugenol
Img 0850 fkwcdc - Eugenol

Dr - Eugenol
JeRis

04/06/2006 à 13h07

... suite

Img 0851 kgu4cv - Eugenol
Img 0852 dnpz2r - Eugenol

Utilisateur anonyme

04/06/2006 à 13h09

JeRis Ecrivait:
-------------------------------------------------------
> ... Tartre!

A quand le dentifirice à l'antikal?


Dr - Eugenol
JeRis

04/06/2006 à 13h12

... Mes dents à moi!!!
Une 4 (traitement ortho) + des 8!

Img 0762 v9n7bx - Eugenol
Img 0763 cmngbo - Eugenol
Img 0764 dfeybd - Eugenol

Dr - Eugenol
JeRis

04/06/2006 à 13h18

... suite ... ça ne passe plus!


S8ysxdzhdqgw00w4q6m07a5d47q2 - Eugenol
gai-luron

04/06/2006 à 13h27

la 851 est phénoménale...


Dr - Eugenol
JeRis

04/06/2006 à 13h31

gai-luron Ecrivait:
-------------------------------------------------------
> la 851 est phénoménale...


... la 852 est la même 8 vue des apex.



rere

04/06/2006 à 14h26

kyste ...

Kyste vorobl - Eugenol

Dr - Eugenol
JeRis

04/06/2006 à 18h54

... ajustage!!!

Le travail de mon chef! ;-)

Img 0769 yeolkj - Eugenol
Img 0770 ezbyep - Eugenol

024 vownvo - Eugenol
annie

04/06/2006 à 19h28

et a la sonde et examen clinique tout allait bien?
dommage que l'on ne puisse pas prendre des photos sous cet angle en bouche pour assurer le bon ajustage !


12