Cookie Consent byPrivacyPolicies.comà Vos plumes - Eugenol

à Vos plumes

Pa050055 igyagy - Eugenol
mark

10/06/2006 à 23h30

Et puis maintenant tu sais que je n'ai pas le calme olympien d'Annie.
Alors...
... si tu ne veux pas que je te vole dans les plumes ... :))


Ylfwcw979cz1jnx9gfqeaxndiuzk - Eugenol
Algi

13/06/2006 à 13h57

Le sujet du post est "à vos plumes" et donc le palmipéde y trouve judicieusement sa place!

Si, par contre, il avait été fait mention dela douce fourrure de la loutre ou du pelage de l'ornithorinque c'eut été hors de propos et donc le modo aurait sans doute sauvagement zappé ces interventions n'ayant rien à voir avec le cas clinique présenté. :0)


Avatar jt8tlq - Eugenol
bogenom

12/07/2006 à 12h38

Merci pour vos diverses interventions
Mais la patiente n'est plus venue....


S8ysxdzhdqgw00w4q6m07a5d47q2 - Eugenol
gai-luron

12/07/2006 à 12h43

Et tu disais dans ton deuxième message:
"patiente motivée et ouverte à un beau plan de traitement global"...

Comme quoi, on n'est jamais sûr de personne...


Amibien

13/07/2006 à 03h18

n'allez pas trop vite pour clore le dossier, ça met souvent du temps, écrivez-lui pour lui expliquer ce qui serait possible dans son cas, une lettre personnalisée de vingt pages avec des photos etc... c'est souvent étonnant la suite !


Blue eye thumb medium dx1i0w - Eugenol
bill

14/07/2006 à 04h09

Amibien Ecrivait:
-------------------------------------------------------
> , une
> lettre personnalisée de vingt pages avec des
> photos



Eh, Patrick, tu crois qu'on n'a que ça à faire, on bosse nous... ;-)


Avatar jt8tlq - Eugenol
bogenom

23/01/2015 à 15h17

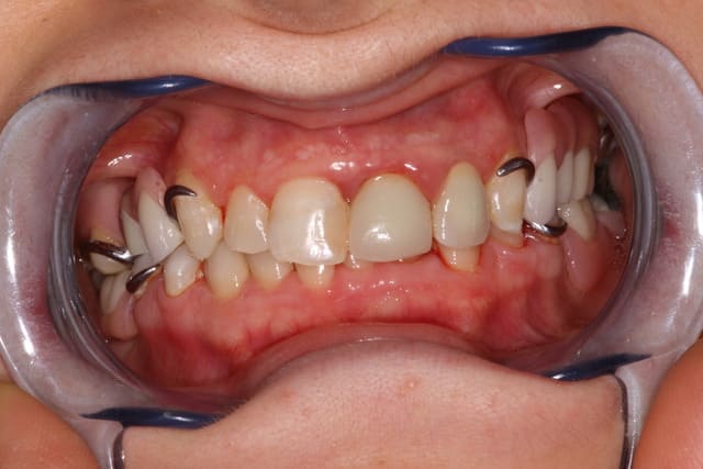
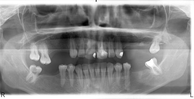
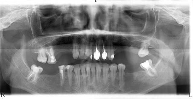
Finalement patiente revenue 8 ans plus tard et finalisée par endos, paro stellites...
Désolé je n'ai pas de belles photos de greffes osseuses comme D57 ou mes collègues implanto...
(la 22 est quasi cicatrisée pour les observateurs)


Bonne année à Tous !!

Img 0285 beu8lf - Eugenol
Img 0288 mhlfny - Eugenol
Milieu dbg11a - Eugenol
Fin ithewz - Eugenol

12