Cookie Consent byPrivacyPolicies.comcentrage des milieux - Eugenol

centrage des milieux

ben

20/06/2006 à 10h08

Pourtant les tests de posture réalisés après alignement des freins donnent des résultats reproductibles et probants.
Reste plus, comme pour les physiques, qu'à unifier tout ça.
Va falloir faire appel aux cordes ;))


Icon poker h4nm2d - Eugenol
jeff

22/06/2006 à 16h04

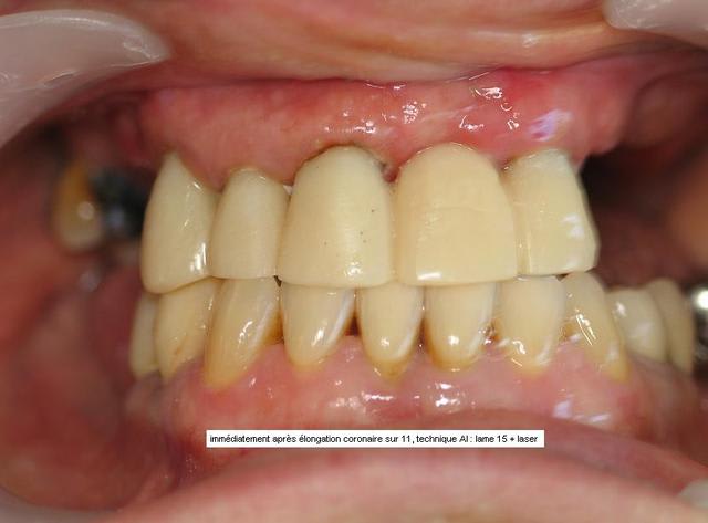
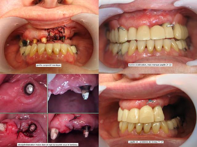
Un antre cas, pour faire plaisir à Jeff2 et montrer que le recentrage n'est pas systématique.

( malgré ce que pense Clausade ).

En fait, j'aurai pu mettre le cas en paro, à cause de la gestion de la gencive, mais je pense que le débat lui donne ça place ici.

Après avoir fait ouvrir grand, bien relaxé la patiente, elle restait dévié en ouverture max, et fermait direct en dévié : donc, j'ai choisi de reconstruire sans recentrer. ( les recentrages et propulsions que j'ai pu réalisé en technique clausade, pourtant validé en posturo, ne m'ont jamais vraiment satisfait )

J'ai augmenté la DV pour retrouver une classe 1. Mais je ne sais pas si je vais pouvoir finir ainsi ou refaire une classe 3, car même si elle me dit que tout le monde la trouve changé en mieux, elle me dit a chaque RV, qu'elle a toujours eu le menton en avant, et que ce n'est pas possible de faire autrement !

De plus , le mari trouve les dents un peu longues et avancées, donc...


A noter la gestion curieuse de l'esthétisme par mon prédécesseur !

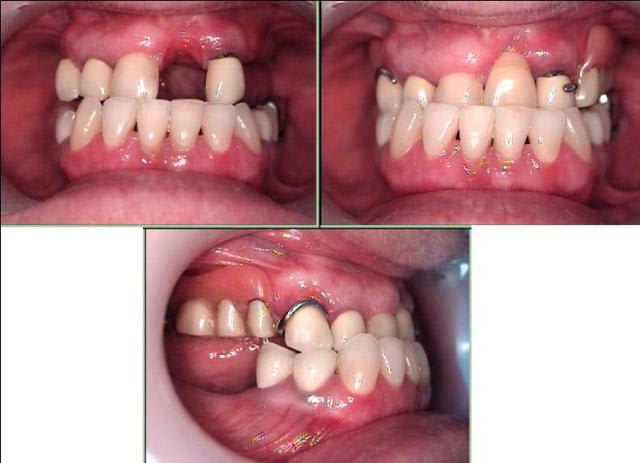
Non centrage 1 hnbho8 - Eugenol
Non centrage 2 cquz7x - Eugenol
Non centrage 3 jxi5rz - Eugenol

024 vownvo - Eugenol
annie

23/06/2006 à 02h30

la 11 étant plus étroite que la 21, tu peux gagner un bon millimètre à 1/ 1/2 sur le centrage,en augmentant sa largeur,(je ne parle que de l'esthétique)