Cookie Consent byPrivacyPolicies.comedentée à 13 ans - Eugenol

edentée à 13 ans

Img 1744 z0evts - Eugenol
dumaille

05/07/2006 à 21h46

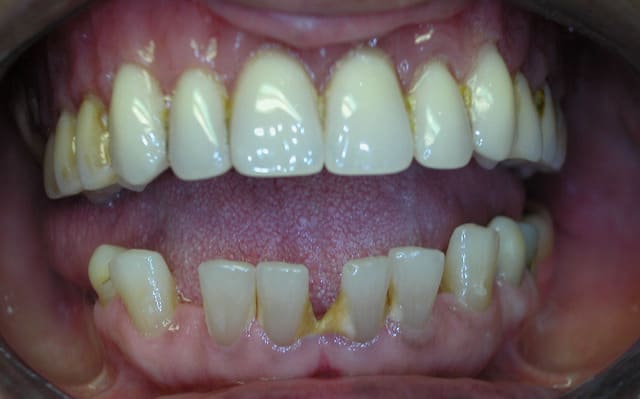
Patiente de 65 ans d'origine americaine.
Elle a été édenté complétement au maxillaire et quelques dents à la mandibule à l'age de 13 ans par un dentiste aux usa.
Elle a été biensure traumatisée.
Elle souhaite une prothése maxillaire plus esthétique que sa PTA actuelle et surtout sans palais.
Pour la mandibule elle ne veut rien de mobile.
Vos suggestions mes amis:

Dscn0427 x2wnub - Eugenol
Dscn0429 eu8cqw - Eugenol
Dscn0434 dwtt52 - Eugenol
Dscn0439 wdq5ze - Eugenol

Img 1744 z0evts - Eugenol
dumaille

05/07/2006 à 21h48

et egalement:

Dscn0443 io48z8 - Eugenol
Dscn0453 jgtsva - Eugenol

Richard

05/07/2006 à 22h38

all on four
demande à Carole c'est une pro


Img 1744 z0evts - Eugenol
dumaille

05/07/2006 à 22h42

je bosse sur ankylos, donc pas de all machin.
Par contre je pense faire 4 implants en avant des sinus avec une prothèse telescopée(syncone).
D'autre avis ou remarques?


dr.demolay

05/07/2006 à 22h52

Sacrée langue

observe bien le plan d'occlusion, et la cinematique afin de ne pas avoir de mouvement de bascule sur tes telescope, en claire réhabilite le bas aussi, sinon garde ta philosophie telescopique elle n' a pas d'égale dans ce genre de cas mis à part evidament comblement bilateral etc...
allez les bleus


Img 1744 z0evts - Eugenol
dumaille

05/07/2006 à 23h53

je crois que les mouvement de bascule avec des telescopes bien repartis n'existent pas. De toute façon, il est evident qu'il s'agit d'une reabilitation globale integrant biensur les notions statiques mais surtout dynamique de la patiente.
D'ailleurs à la mandibule comment gerer(ou pas) tous les diastemes qui se sont créer suite aux extrac precoces?


Imagescanx9uel x9b7id - Eugenol
newone'

06/07/2006 à 00h30

Bon courage!
Beaucoup de psy sur ce coup la!
Une candidate idéale aux implants zygomatiques, non? (Il lui ferai très bien ca aux USA!)
A moins qu'elle accepte une greffe sinusienne.

Pourquoi pas tenter compromis (dentiste pas magicien!) PT max (+/- implants) avec palais métal pour transmission de température. Et Implant + fix a la mandibule.
Et un peu d'ortho, éventuellement.


dr.demolay

06/07/2006 à 01h04

à part l'ortho je ne vois pas les diasteme c'est le top galère en PA, ORTHO definitivement


Img 1744 z0evts - Eugenol
dumaille

06/07/2006 à 01h10

He les gas, à 65 ans, traumatisé par les dentistes, vous vous feriez appareiller pour de l'ortho?


1 eugenol dmj5np - Eugenol
Dancha

06/07/2006 à 12h11

Réponse à ta question posée dans le forum "ODF" à propos de ce cas, "combien de temps ?.." :
Je dirais, à vue de nez, 9 mois avec un système dans ce genre là : http://www.eugenol.com/eugenol/read.php?4,142157
Daniel


Avatar transparent iqadnc - Eugenol
adhoc

06/07/2006 à 14h06

Petit rappel historico-dentaire; se rappeler les etats unis unis a cette époque en plein anticommunisme, en pleine psychose oslérienne, en plein esthétisme tweediste où les stars se faisaient extraire des molaires pour le profil wasp.
Donc,a t on le droit de juger l'Histoire et les modes?
Les gens oublient vite.


Img 1744 z0evts - Eugenol
dumaille

06/07/2006 à 15h46

adhoc Ecrivait:
-------------------------------------------------------
> Petit rappel historico-dentaire; se rappeler les
> etats unis unis a cette époque en plein
> anticommunisme, en pleine psychose oslérienne, en
> plein esthétisme tweediste où les stars se
> faisaient extraire des molaires pour le profil
> wasp.
> Donc,a t on le droit de juger l'Histoire et les
> modes?
> Les gens oublient vite.
>

Peut etre mais la patiente n'a toujours pas compris pourquoi on lui a fait ça ,l'age de 13 ans, et elle en veut aussi beaucoup à sa mère qui a laissé faire.
Donc oui la patiente a le droit d'etre traumatisée par un un acte qui lui a boulversé sa vie, et ceux quelque soit les modes!
Mais la question n'est pas là, comment faire pour la reconcilier avec sa bouche.


Amibien

20/07/2006 à 21h52

quel bel os !!!!!!!!!!!!!!!!!!!!!!!!!!!!!!!


Img 1744 z0evts - Eugenol
dumaille

21/07/2006 à 01h44

Amibien Ecrivait:
-------------------------------------------------------
> quel bel os !!!!!!!!!!!!!!!!!!!!!!!!!!!!!!!


arret donc de tae marrer :D et repond a mon MP


Amibien

21/07/2006 à 03h52

non je suis sérieux !!! j'ai répondu vite, j'étais pressé, un resto avec huit confrères et une consoeur, mais maintenant je continue...

si patiente motivée,
1) paro, facile
2) a t'elle les moyens ?
3) set up prothétique
4) scanner avec set up en place
5) prise de décision en quantifiant les facteurs de risques (voir liste exhaustive conseillée)
6) ortho, bien évidemment mais facile
7) greffe sinus gauche attendre neuf mois puis implanter de 25 à 27, greffer le sinus droit et poser en même temps les implants de 17 à 24 en se servant d'un guide préparé sur un logiciel utilisant les données scanner




Img 1744 z0evts - Eugenol
dumaille

21/07/2006 à 10h35

alors justement, est que tu penses qu'il faut faire l'ortho avant d'implanter à la mandibule ou pluot s'aider avec les implants?


Amibien

21/07/2006 à 13h20

dumaille Ecrivait:
-------------------------------------------------------
> alors justement, est que tu penses qu'il faut
> faire l'ortho avant d'implanter à la mandibule ou
> pluot s'aider avec les implants?


tu vas commencer l'ortho avec les dents dont tu disposes en veillant à ne pas perdre l'ancrage et en modifiant l'occlusion de la prothèse au fur et à mesure, tu poses les implants sur base de ton étude scanner et set up prothétique et quand tu peux mettre en charge tes piliers implantaires tu recours naturellement à ces ancrages providentiels pour terminer l'ortho...


yann7

26/07/2006 à 19h59

le protocole syncone au maxillaire, c 'est pas sur 6 implants?


Img 1744 z0evts - Eugenol
dumaille

27/07/2006 à 16h30

le fabricant preconise effectivement sur 6 implants, mais les italiens le pratique avec succés sur 4 et moi j'en ai fait un cas sur 5 au maxillaire et la retention est trop forte.


docdent

27/07/2006 à 17h50

Amibien Ecrivait:

>
> tu vas commencer l'ortho avec les dents dont tu
> disposes en veillant à ne pas perdre l'ancrage et
> en modifiant l'occlusion de la prothèse au fur et
> à mesure, tu poses les implants sur base de ton
> étude scanner et set up prothétique et quand tu
> peux mettre en charge tes piliers implantaires tu
> recours naturellement à ces ancrages providentiels
> pour terminer l'ortho...


Comment présenter un cas complexe comme un traitement simple? Demandez à Amibien!


gerard

14/08/2006 à 11h25

bonjour mr dumaille.
vu tes photos , j'ai l'impression d'avoir affaire à une patiente présentant une biproalvéolie et surtout une pulsion linguale tres forte ( on devine meme la langue sur la photo de face). donc pour le traitement à mon humble avis
1/bien vérifier les fonctions en particulier
la déglutition avant de démarrer le traitement
2/ en implanto pas de 1 temps pour ne pas avoir des implants qui se ramassent des forces laterales 1500fois par jour chaque fois qu'elle avale.
3/ on peut se dire vu la pano qu' a 65 ans ma foi la paro n'est pas si mal vu l'historique de cette dame.donc pourquoi ne pas conserver les axes actuels, greffe d'apposition et x implants latéraux en bas pour finir ce cas.
4/ d'accord avec amibien en haut, maintenant vu la ligne du sourire haute, du bridge sur pilotis version qui vous voulez avec fausse gencive plutot que des dents de cheval en ceram je pense que tout le monde sera d'accord la dessus.
peut etre revoir la dvo vu la tension des levres en occlusion ?
ce qui serait bien maintenant c'est que tu nous postes TA solution dans qq temps, merci d'avance.
tres amicalement, gerard