Cookie Consent byPrivacyPolicies.comAu secours!! Cas d'endo défiant mes connaissances!! A moins - Eugenol

Au secours!! Cas d'endo défiant mes connaissances!! A moins que...

Gonzo k0qhwz - Eugenol
matten

10/08/2006 à 12h37

Une jeune patiente de 34 ans, douleurs lancinantes région 14-15.

Parisot a 20060725 2317 udqdz3 - Eugenol

Gonzo k0qhwz - Eugenol
matten

10/08/2006 à 12h44

Ces douleurs existent depuis plusieurs années. Douleurs de fond.
La 15 a ete dévitalisée par un autre dentiste (des beaux quartiers et travaillant dans les regles de l'art sous digue) Rien a dire sur son endo.
Je teste les dents:
-14 sensible au froid et beacoup à la percussion (tiens tiens, alors qu'elle est vivante...). Composite douteux que je décide de refaire.
-15 legerement sensible a la percussion.


Coccinelle mgl0qv - Eugenol
murielle

10/08/2006 à 12h45

Tu n'aurais pas une rétroalvéolaire de la zone pour avoir un peu plus de précision de l'image?


Gonzo k0qhwz - Eugenol
matten

10/08/2006 à 12h51

Je refais le compo sur 14 avec Ibond pour insensibiliser la dentine.

Dans l'apres midi même, la patiente appelle pour se plaindre de douleurs extrement intense depuis que l'anesthesie est partie.

Je decide de faire l'endo puisque vraisemblablement la dent était au stade de pulpite subaigüe.

Pas de probleme, les 2 canaux sont instrumentés correctement sous digue jusqu'à l'apex. et je laisse agir apres la préparation canalaire l'hypochlorite 20 minutes avant d'obturer. (la sensibilité à la percussion me fait supecter une nécrose pulpaire partielle)


Gonzo k0qhwz - Eugenol
matten

10/08/2006 à 12h52

Patientez ce soir je vous scannerai les rétros...


Gonzo k0qhwz - Eugenol
matten

10/08/2006 à 12h59

Je la revois une semaine plus tard pour retirer le cavit et poser un composite pour obturer la petite cavité d'accès.

Elle me dit que ca va un peu mieux mais que ca la lance toujours un peu.
Je lui répond qu'il est courant de sentir une sensibilité modérée une semaine après un traitement canalaire.

Je retire le cavit a la turbine, mordançage, sechage, pose de l'ibond...

La je la vois tomber en pleurs, à chaque fois que j'applique l'adhésif contre les parois de la cavité d'acces.
Elle me dit que ca lui faisait aussi mal quand je fraisais le cavit avec l'eau et le contact de la fraise contre la dentine (et je suis tres doux).


Gonzo k0qhwz - Eugenol
matten

10/08/2006 à 13h04

Je veux lui faire un test au froid mais je trouve plus la bombe.
Alors j'anesthesie pour la soulager et je finis le compo.

Je précise que je ne pense pas que la sensibilité vienne de canaux du plancher pulpaire car j'ai laissé un fond de gutta.

Non, ce sont bien les parois axiales de la cavité qui sont aussi sensibles que si la dent n'avait pas été dévitalisée...
Jamais vu ça....

Alors le fait que la dent était à l'origine sensible à la percussion me fait depuis le début suspecter une fêlure coronoradiculaire mais je n'ai rien vu.

A la radio mon traitement est nickel.
Maintenant il existe peut être un 3e canal médian...

Si la dent est toujours sensible à la rentrée, je refais l'endo, mais sinon je vois pas quoi faire (peut être un 3e canal???).
Si c'est la fêlure la dent est bonne pour l'extraction mais c'est cette sensibilité à l'adhesif qui m'etonne.


Gonzo k0qhwz - Eugenol
matten

10/08/2006 à 14h46

Voila les photos:
1- Préop avec le compo inital infiltré
2-Endo finie
3- 1 semaine apres cavit retiré + compo.

Image3 npbnep - Eugenol
Image4 xhm5l4 - Eugenol
Image2 zvqgoj - Eugenol

Grueavatar nptrc9 - Eugenol
Le Choixpeau magique

10/08/2006 à 16h53

Cette histoire est bien mystérieuse.
En admettant un éventuel diagnostic de félure, peut-on supposer que l'adhésif s'infiltrant dans la félure soit suffisant pour induire une douleur au niveau parodontal ? C'est quand même très étonnant comme truc.
Que dit l'occlusion ? Que dit le test de morsure ?
Je ne vais pas t'apporter grand chose, si ce n'est que dans ce cas, ça m'étonnerait que tu t'en tires avec un simple composite.
Tu aurais peut être intéret à mettre en sous-occlusion, et voir ce que ça donne.
Dans le bouquin de Dietschi, il rapporte un cas comme ça, où si je me souviens bien, après avoir fait compo puis couronne, la dent a droit au davier.
Bonne chance en tout cas, et bravo pour ton endo.


Gonzo k0qhwz - Eugenol
matten

10/08/2006 à 17h16

Test morsure non significatif.
Occlusion normale avec points de contacts tres légers.


Gonzo k0qhwz - Eugenol
matten

10/08/2006 à 17h22

En fait a part le parodonte je vois pas comment du ibond pourrait faire mal sur cette dent...
Meme s'il y a un troisieme canal, la gutta recouvrait le plancher pulpaire donc le protegeait du ibond qui picotte.
Idem pour les tubuli dentinaire des parois axiales, leur direction est horizontale donc ils ne sont pas senses communiquer avec les filets radiculaires.


Coccinelle mgl0qv - Eugenol
murielle

10/08/2006 à 17h30

Et est-ce que la douleur dure continue depuis que tu as terminé le composite? As-tu eu des nouvelles de ta patiente depuis.

Ton cas de picotement (voire douleur) avec l'adhésif me rappelle une situation similaire sur une dent dévitallisée; mais cela fait un bon moment et je suis incapable de te donner les détails. Par contre, cela n'a pas eu de suite après car au dela de la reconstitution, il n'y a pas eu de douleur. C'est très bizarre et je n'arrive pas à l'expliquer non plus.


Gonzo k0qhwz - Eugenol
matten

10/08/2006 à 18h01

En fait la douleur etait déja lancinante depuis 1 an, disons avec une intensité de 4 sur 10.
-Apres compo douleur= 8 sur 10
-1 semaine apres douleur = 5 sur 10
-Apres compo ibond = 9 sur 10.
Résultat j'ai anesthésié apres avoir mis le ibond parce que ca douillait sec.


Gonzo k0qhwz - Eugenol
matten

10/08/2006 à 18h04

A la rentrée je la revois je ferai un test au froid.
Mais je penche à 80% pour une felure cachee.

Sinon il y aurait aussi la douleur de type neurogene style "membre fantôme" mais elle ne serait pas déclenchée par du ibond ou une percussion
...


Images eb1m5g - Eugenol
tonio

10/08/2006 à 23h49

quid du test de vitalité sur la 16?

quand on voit la pano, on a l'impression de voir clairement une infiltration sous l'amalgame alors que c'est beaucoup moins évident sous la rétroalvéolaire. Teste, on ne sait jamais.

Il n'est pas improbable que tu aies un 3ème canal sur la 14 mais la radio ne semble pas le mettre en évidence. J'ai le souvenir d'avoir obturer une 24 à 3 canaux et dont le 3ème canal était vraiment trés peu visible voire invisible à la radio car la racine était peu calcifiée.
Passe une sonde légérement en sous gingival du collet vestibulaire de la 14. Si tu as une forme arrondie, tu auras généralement 2 canaux, si tu sens un léger creux, cela peut être le signe de 2 canaux vestibulaires.

Je ne pense pas que ton endo soit en cause, tu as déjà fait preuve de tes qualités sur le forum.

Franchement, je suspecte la 16. Fais un test au froid et dépose l'amalgame, tu ne risques pas grand chose et tu verras peut être une félure en dessous. J'ai déjà eu la surprise. Passe une sonde dans le sillon principal et essaye de faire un petit mouvement de levier. Si douleur, tu peux suspecter une félure mésio-distale. idem pour la 14.

Quid du sondage paro sur tout le secteur?

Les PM en particulier les maxillaires sont "traitresses", on ne sait jamais ce qu'elles nous réservent.

Si les souleurs persistent, un lambeau d'exploration peut s'avérer être une option.

Pas de problème sinusien?

Voilà, ce sont les idées qui me traversent l'esprit. J'espère qu'elles pourront t'aider.

bon courage.


Avatar transparent iqadnc - Eugenol
adhoc

11/08/2006 à 00h41

Félicitations , matten , pour ton beau traitement. Au départ, je pensais comme tonio, c'est a dire à un réveil de la 16, en coincidence avec la pose de ton compo.
En regardant bien ta rétro (de tres bonne qualité), on voit quand meme aux 2/5 apicaux une petite ligne blanche horizontale faisant quand meme penser hélas à une fracture.
Peut etre essayer différents changements d'axe pour ce complément de diagnostic.


Gonzo k0qhwz - Eugenol
matten

11/08/2006 à 02h53

Concernant la suspicion de carie sur 16 d'apres la pano, c'est simplement un artefact du au filtre de renforcement des contours qui donne un burnout sous l'amalgame. La rétro montre bien qu'il n'y a pas de probleme.

16 n'a rien du tout, je ne vais pas commencer à tout dévitaliser alors quand même lol!!!!

Je vous repete que depuis le début c'est 14 qui est sensible (au froid et percussion laterale et axiale). Et ce, lors de l'examen initial avant que je ne touche à quoi que ce soit.
Chacun des gestes que j'ai executé sur 14 a augmenté les douleurs de fond.
Cette douleur elle la trainait gentillement depuis 1 an et dès que j'ai refait le compo sur 14 et que l'anesthesie est passee, une pulpite s'est déclarée. Il faudrait une sacrée coincidence pour que ce soit une autre dent la responsable...

A Athos: le trait que tu veux me montrer n'est je crois qu'une simple trabéculation osseuse (le trait est radioopaque, alors une fracture est radioclaire et de toutes les facons une felure est invisible à la radio)
Quand bien même felure il y aurait a cet endroit, on devrait voir au moins un épaississement ligamentaire.


Gonzo k0qhwz - Eugenol
matten

11/08/2006 à 03h03

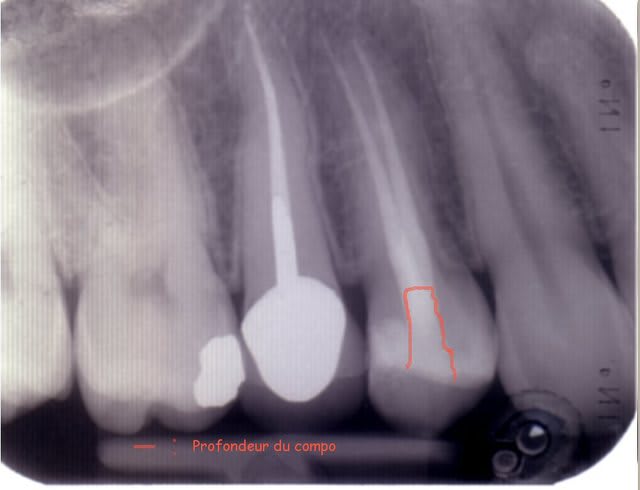
Je vais vous envoyer une nouvelle photo ou je vous montre les limites du compo que j'ai posé aujourd'hui en remplacement du cavit et les douleurs atroces (ndl patiente) qui sont apparues lors du massage avec Ibond préalablement).
Vous remarquerez que ces parois badigeonnées sont strictement supra-osseuses.

Sondage Paro j'ai pas essayé mais bonne idée.
Sinus RAS.
Je l'ai anesthesié a l'apex de 14 comme elle avait vraiment mal, et ca a soulagé tout de suite donc 16 à exclure !

Image3 i8hiyp - Eugenol

Images eb1m5g - Eugenol
tonio

11/08/2006 à 03h26

si tu as un sondage ponctuel, ton diagnostic de félure sera avéré.

De toute façon, laisse faire le temps, si elle est vraiment félée, les cuspides de ta dent s'ouvriront comme un fleur...

Sinon, peut être faudrait-il tailler la dent et poser une provisoire pour encercler les parois pui surveillance.

regarde le post "dent félée verticalement" que j'avais posté. Guttaman m'avait sorti un passage du pathways of the pulp.


Images eb1m5g - Eugenol
tonio

11/08/2006 à 03h28

tiens, j'ai fait la recherche pour toi.

http://www.eugenol.com/eugenol/read.php?8,42962


Gonzo k0qhwz - Eugenol
matten

11/08/2006 à 11h33

Je revois la patiente fin septembre.
Je ne pense pas faire taille plus provisoire.
Elle n'est pas genee pour macher de ce cote m'a t elle dit.
La douleur est la en bruit de fond c'est tout.
On va se diriger vers l'implant à mon avis snif.

Enfin on verra bien ce qui arrivera d'ici la!


Image odged8 - Eugenol
ploc

11/08/2006 à 16h56

idée bricolage:
cercler la dent avec bague de Cu ou bague d'ODF ajustée scellée ,ce qui l'empeche de s'écarter si felure
et si soulagement:aide au diagnostic felure et lui permet d'attendre plus confortablement l'extraction


tournesol

12/08/2006 à 02h47

Canal secondaire latéral non obturé me semble etre la solution la plus plausible.Non ?


Gonzo k0qhwz - Eugenol
matten

12/08/2006 à 17h31

Un canal latéral en situation intracoronaire?!
Certes tout peut exister mais quand même c'est rare qu'un canal pulpaire sorte au niveau de l'email non? ;-)


Gonzo k0qhwz - Eugenol
matten

27/10/2006 à 06h35

En fait la patiente n'est jamais revenue chez moi apres les grandes vacances.
Elle est retournee chez sa dentiste habituelle qui lui a juste dit que je n'aurais rien dû faire et que j'ai deconné grave.
Sympa l'esprit confraternel.
La dentiste est en vacances, c'est moi qui me tape sa patiente qui a mal et elle trouve a redire.
Elle lui a dit qu'elle supposait aussi depuis longtemps une felure sur la dent.
Tout ce qu'elle a trouvé pour la soulager c'est de lui faire une gouttiere. Enfin ca a surtout du servir a soulager le porte feuille de la patiente $$$$$$.

Sinon je vois de temps en temps le petit ami de cette patiente qui me dit que la sensibilité est toujours la.

Voila c'etait juste pour vous tenir au courant.


12