Cookie Consent byPrivacyPolicies.comOTP - Eugenol

OTP

Dr - Eugenol
JeRis

21/08/2006 à 12h48

... j'ai profité de mes vacances _dernier jour aujourd'hui :((_ pour numériser ma collection d'OTP.

... premier cas: décharge de pistolet à grenaille dans le visage! (règlement de comptes entre toxicos)
Il faut dire qu'on soigne de drôles de pistolets chez nous!


... si vous aussi vous avez des OTP un peu particuliers ... postez!

M - Eugenol

Utilisateur anonyme

21/08/2006 à 12h53

Celà lui a t'il mis du plomb dans la cervelle au moins?





Excuse je m'éclipse !!


Dr - Eugenol
JeRis

21/08/2006 à 12h55

... c'est ça, va bosser! ;)


Dr - Eugenol
JeRis

21/08/2006 à 12h56

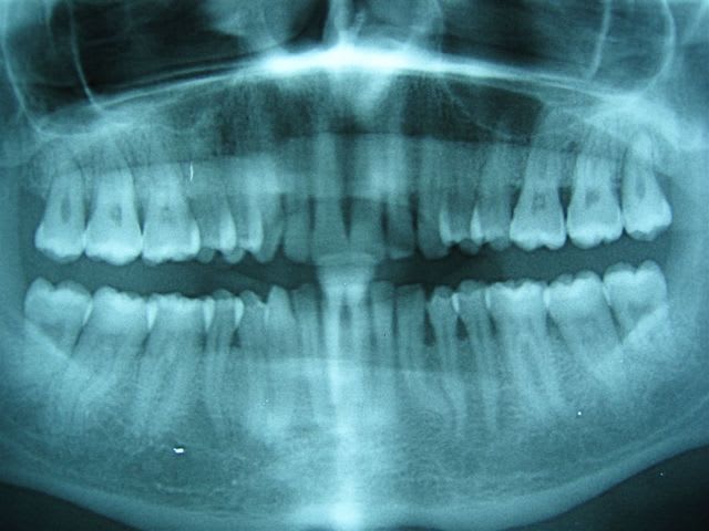
... si vous savez compter ...

B - Eugenol

Dr - Eugenol
JeRis

21/08/2006 à 12h59

... dépassements de pâte ou de cônes d'argent ... même combat!

B - Eugenol

Dr - Eugenol
JeRis

21/08/2006 à 13h04

... racines zarbi!

B - Eugenol

Dr - Eugenol
JeRis

21/08/2006 à 13h09

... ganglion calcifié

L - Eugenol

Dr - Eugenol
JeRis

21/08/2006 à 16h59

... c'est grave Docteur?

106  3  a7dww2 - Eugenol

Dr - Eugenol
JeRis

21/08/2006 à 17h00

... un oubli

W - Eugenol

Avatar transparent iqadnc - Eugenol
adhoc

21/08/2006 à 17h04

Beau cas d'intégration osseuse!!


Gaudi parc guell lezard  ntokms - Eugenol
lezard

25/08/2006 à 14h26

JeRis,tu bosses à coté d'une centrale nuclaire ou une piste d'atterrissage d'OVNI ??


Pa050055 igyagy - Eugenol
mark

25/08/2006 à 16h35

J'ai bien aimé les ganglions de l'avant dernière, bien qu'ils eussent gagné à être un peu plus induré, surtout le droit, ...
Ce dont on ne se rend pas bien compte à l'image. Mais pour nous en faire part encore eut-il fallu que tu le susses..


Dr - Eugenol
JeRis

25/08/2006 à 21h16

lezard Ecrivait:
-------------------------------------------------------
> JeRis,tu bosses à coté d'une centrale nuclaire ou
> une piste d'atterrissage d'OVNI ??


... tu sais, quand tu fais dans le "social" tu vois des trucs t'as pas idée!
Tu as déjà vu une PPA dont le crochet (la dent correspondante est absente depuis longtemps) est incarné et tient dans son logement qu'il s'est crée dans la lèvre inférieure?
Une diapneusie de la taille d'une noix?
Une communication bucco-nasale due à une "succion caoutchouc" d'un CH?
Une greffe intra-buccale avec des poils qui poussent dessus?
Un CH réparé à l'époxy/fibre de verre?
UN CH fracturé et recousu avec du fil?
Une dent tombée remplacée par un bout de cheville blanche à béton coincée pour faire comme si?
Des dents explosées à la pince multiprise, les patient voulant les extraires eux-mêmes?
Des couronnes ou des dents à tenon recollées à la cyano?
Des foyers avec fistulisation cutannée?
Une patiente taouée (tatouage maison avec de l'encre de Bic et une aiguille, comme en taule) sur un coup de pied "JOHNNY" et sur l'autre "SYLVIE"?
Des toxicos tapineuses avec des bras pleins de croûtes de sang à cause des fix?
Des tatouages tribaux de gencive?
Un patient avec 5 piercings, seulement dans la langue? ... je ne te parle pas du reste.
De petits ou jeunes asiatiques, africains, avec TOUTES les dents cariées à ras de gencive?
Des gosses avec les cheveux qui bougent tout seuls?
Des patients qui ne se brossent JAMAIS les dents?
Des patients qui sentent tellement fort que tu fais les extractions en apnée?
Des patients qui vont te cracher dans ton lavabo après les soins?
Une patiente de + de 140 Kg qui t'explose ton fauteuil?
Une CMU tapineuse pour un CH/CB gratuit qui fait 5 aller et 5 retours en taxi à 300 francs (à l'époque) un trajet?
Un jeune bohémien trachéotomisé non appareillé, que tu lui vois le fond des poumons (suite de bagarre au couteau?)?


... mais aussi des patient(e)s qui te baisent les mains à la pose de leur prothèse, qui t'invitent pour le couscous ou le mariage de la fille (j'y étais ... folklo!), qui te gavent de loukoums, de dattes, de patisseries maison, de vins algériens et turcs ...





Dr - Eugenol
JeRis

25/08/2006 à 21h19

mark Ecrivait:
-------------------------------------------------------
> J'ai bien aimé les ganglions de l'avant dernière,
> bien qu'ils eussent gagné à être un peu plus
> induré, surtout le droit, ...
> Ce dont on ne se rend pas bien compte à l'image.
> Mais pour nous en faire part encore eut-il fallu
> que tu le susses..


... c'est mon assistante ... je vais refaire la photo avec les ganglions indurés et sucés ... pour ton plaisir ;)


Avatarfac v6b7jd - Eugenol
QµEvT1

26/08/2006 à 15h50

jeRIS vous travaillez ou ?
lol
à la fac on a quelques cas ds le mm genre ;) lol


Dr - Eugenol
JeRis

26/08/2006 à 19h05

... à la sécu, mais parfois j'ai l'impression de travailler à la Cour des Miracles ... ou à Sidi Bel Abbes.
En plus de vingt ans, dans mon cabinet de 25m², j'ai fait le tour du quart et du tiers monde.


Dr - Eugenol
JeRis

16/09/2006 à 11h42

... comptez

Nl 1 ar0gah - Eugenol

Dr - Eugenol
JeRis

05/10/2006 à 20h21

... comptez ... les cônes d'argent!

W - Eugenol

Tilc

06/10/2006 à 01h10

http://www.gacd.com/product.asp?catalog%5Fname=gacd&category%5Fname=300002648&PUID=500001223
Tiens je suis sur que cest a cause de lui qu on en trouve encore ..


Dr - Eugenol
JeRis

06/10/2006 à 08h44

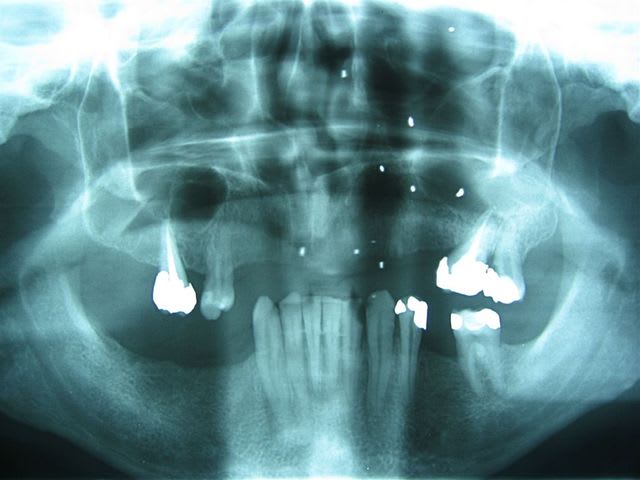
... patiente née en 1946, endos datant d'une quarantaine d'années ... et pas de foyer ... la nature est bonne :)

Par contre pour sortir ces m*rdes, c'est la galère, ça casse très facilement.

Img 0781 ztvgyb - Eugenol
Img 0782 wd4112 - Eugenol

Pascale

08/10/2006 à 02h52

Ta deuxième photo fait penser aux implants transfixiants de Samy Sandhaus... La preuve que ça marche...


Dr - Eugenol
JeRis

24/03/2007 à 11h32

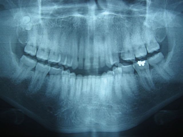
... il a 27 ans.

U - Eugenol

S8ysxdzhdqgw00w4q6m07a5d47q2 - Eugenol
gai-luron

24/03/2007 à 11h46

c'est toi qui t'y colles?


Dr - Eugenol
JeRis

24/03/2007 à 11h49

... on fait ça à plusieurs: ortho, stomato, implanto peut-être.
Le gosse a l'air motivé.


024 vownvo - Eugenol
annie

24/03/2007 à 16h00

la chevauchée fantastique!