Cookie Consent byPrivacyPolicies.comOTP - Eugenol

OTP

Avatar ow44t3 - Eugenol
Chicot

03/06/2007 à 16h39

des lithiases salivaires ?

L'OPT étant une coupe tomo, ne peut-il point y avoir des projections des sousmaxillaires à ce niveau ?


vernal

06/06/2007 à 13h05

A l'attention de Dancha

Pourquoi ne pas perforer la muqueuse palatine pour aller chercher 13 et 23 ?

C'est du fil résorbable semble-t-il. pourquoi ??

Quel est le risque de toucher les racines des molaires et pourquoi ne pas utiliser un système de bague et arc ligual en bas ??

Toujours est-il que c'est fort impressionnant. Bravo !!!


1 eugenol dmj5np - Eugenol
Dancha

06/06/2007 à 16h07

vernal Ecrivait:
-------------------------------------------------------
> A l'attention de Dancha
>
> Pourquoi ne pas perforer la muqueuse palatine pour
> aller chercher 13 et 23 ?

La perforation de la muqueuse palatine est une sécurité lorsque le chirurgien qui opère n’est pas l’orthodontiste lui-même et qu’il y a risque de décollement de l’attache fixée sur la couronne des canines. Comme c’est moi qui fais tout, je n’en ai pas besoin et je préfère garder l’intégrité des tissus. Cela marche aussi bien et il y a moins de gêne post-opératoire.

> C'est du fil résorbable semble-t-il. pourquoi ??

Non, c’est du polyester tressé non résorbable.

> Quel est le risque de toucher les racines des
> molaires et pourquoi ne pas utiliser un système de
> bague et arc ligual en bas ??

Le risque est nul car ce sont des vis très courtes.
L’avantage par rapport à un système sur bagues et arc lingual est la possibilité de traction dans tous les sens sans risque de déplacement des ancrages. Au début de ce traitement, comme la traction est horizontale, j’aurais pu effectivement prendre appui uniquement sur les molaires reliées par un arc lingual. Mais très rapidement, et surtout lorsque j’entamerai le mouvement vertical, j’aurais dû alors appareiller toute l’arcade pour empêcher les molaires de basculer en mésial. Pourquoi faire lourd quand on peut faire plus léger ?
.
> Toujours est-il que c'est fort impressionnant.
> Bravo !!!

Merci.

Daniel

PJ : dernières photos, prises la semaine dernière (le 1° juin). C’est propre. Le point blanc est une goutte de composite que j’ai collée sur le crochet inférieur gauche qui était agressif pour la muqueuse jugale.

10992 2007 06 01  sfwwkx - Eugenol

200106 10150128247663588 709988587 6466236 5598391 n d7mksb - Eugenol
hallboy

06/06/2007 à 17h46

Chapeau!!


Dr - Eugenol
JeRis

06/06/2007 à 18h06

... c'est dingue!
Clap clap!


1 eugenol dmj5np - Eugenol
Dancha

06/06/2007 à 19h06

C’est pourtant simple !
Si quelqu’un est intéressé, qu’il sache que j’ai écrit l’année dernière pour la « Revue d’ODF » un article d’introduction générale à cette technique. Je me suis aperçu qu’il avait été mis en ligne (en pdf). Je donnerai l’adresse aux confrères (uniquement aux confrères pour une question de confidentialité) qui me le demanderont en MP.

Daniel


024 vownvo - Eugenol
annie

06/06/2007 à 23h05

hallboy Ecrivait:
-------------------------------------------------------
> Chapeau!!


Enfin!!



rere

07/06/2007 à 01h11

impressionant !


bekasse

07/06/2007 à 22h21

Ooooooooooooooh!
encore!


1 eugenol dmj5np - Eugenol
Dancha

06/11/2007 à 22h42

Le 23 avril 2007,
gai-luron Ecrivait:
-------------------------------------------------------
> tu pourras nous faire suivre le cas?

Le 24 avril 2007,
hallboy Ecrivait:
-------------------------------------------------------
>..
> Comme Gai-Luron, je serais curieux de voir les
> photos.

OK
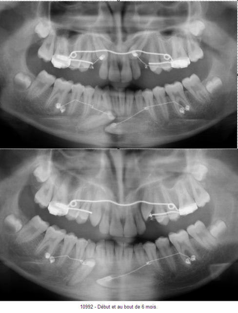
Pano du haut : 11 mai 2007
Pano du bas : 02 novembre 2007.

J'ai viré la 83 et changé la direction de la traction du fil baliste pour faire effectuer maintenant un mouvement vertical à la 43.
La 33 ne s'est pas encore déplacé, je vais augmenter l'activation de la "canne à pêche" et surtout changer l'orientation de la traction pour un mouvement vers le haut, maintenant que la couronne de 43 a laissé la place.
A l'arcade supérieure, pas de problème, c'est plus banal.

Daniel

10992 07 11 02 pbis rct8k2 - Eugenol

Avatar ow44t3 - Eugenol
Chicot

06/11/2007 à 23h52

Y'a pas, c'est chouette !

La 33 semble être une canine rebelle


Spriford

07/11/2007 à 14h55

Ouais! y'a pas!