Cookie Consent byPrivacyPolicies.comCher Dancha, - Eugenol

Cher Dancha,

bjc

16/09/2006 à 01h18

Bonsoir,

Voici un cas que j’envisage de traiter, tout au moins au départ, je dirais à la Dancha.
C'est-à-dire sans matériel O.D.F.

Que proposerais tu ?

+ Bjc.


Pano pzisnn - Eugenol

1 eugenol dmj5np - Eugenol
Dancha

16/09/2006 à 15h07

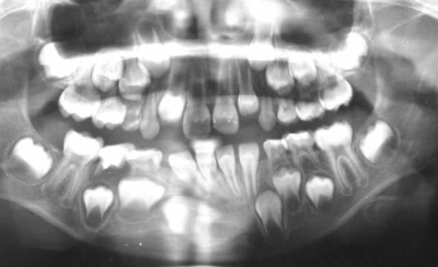
D'abord de refaire une bonne panoramique...


Image odged8 - Eugenol
ploc

16/09/2006 à 16h02

Dancha Ecrivait:
-------------------------------------------------------
> D'abord de refaire une bonne panoramique...


constructif...............dans la perte de temps
puis cette radio n'était pas si bonne
mais aucune remarque........
plus tolérants? les autres



http://www.eugenol.com/eugenol/file.php?4,file=5177


bjc

16/09/2006 à 23h21

Bonjour,

Pardonne moi,je ne te savais pas si bien équipé.
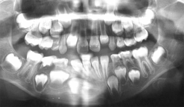
Aussi voici la pano au maximum de définition permis par Eugenol.

@+ Bjc.

Pano bagpd1 - Eugenol

Imagescanx9uel x9b7id - Eugenol
newone'

17/09/2006 à 02h37

Le capitaine a changé.

Et l'équipage s'est réduit.

Mais il y a fort a parier que ce ne soit juste qu'un enfant pas sage...


bjc

17/09/2006 à 04h17

Et le moussaillon a trouvé ?

@+ Bjc.


bjc

17/09/2006 à 12h08

Cher Newone,

Bien reçu ton MP.
Bravo, tu as trouvé. Je suis impressionné, j’aurais pensé que la solution viendrait de quelqu’un de plus expérimenté.

C’est quand tu veux !

@+ Bjc.



kri

19/11/2006 à 09h15

Si ces messieurs Specialistes pouvaient nous aider car le petit omnipraticien que je suis n'a pas compris la finalité


1 eugenol dmj5np - Eugenol
Dancha

19/11/2006 à 19h06

.. le petit orthodontiste que je suis n'a pas compris non plus.. Y a-t-il vraiment quelque chose à comprendre ?

Daniel


bjc

21/11/2006 à 10h19

"Y a-t-il vraiment quelque chose à comprendre ?"

Il y a surtout qq. chose à voir, quelque chose d’anormal ! qui est du domaine du polyclinicien.
Quoi ?

@+ Bjc.


Avatar transparent iqadnc - Eugenol
adhoc

21/11/2006 à 11h29

A part une possible (a confirmer) carie sur 26.???











bjc

21/11/2006 à 12h02

Salut,

Cette Rx. n’est pas normale. Il y a qq. chose qui cloche.
Qq. chose que la nature ne sait pas faire.
Comme si une rose se mettait à parler.

Je viens juste de rentrer hier soir. Comme ce post me semblait abandonné, il faut que je retrouve au cab. le cas de mon petit choux.

@+ Bjc.


Avatar transparent iqadnc - Eugenol
adhoc

21/11/2006 à 13h58

Contraste tres élevé?déformations en bas à droite due a un mouvement du pitchoune? Allez, dis nous ce qui parait clocher, bjc, allez!!!!!


bjc

21/11/2006 à 15h12

Salut,

Eh oui, t’as trouvé Adhoc.
Ploc aussi, ainsi que Newone.
Ces incisives Inf. en cors de chasse c’est pas normal !
J’ai demandé une autre Pano. Le pitchoun a dérapé sur la cale Rx. Interincisive.
Je recherche la 2° Rx.

@+ Bjc.


1 eugenol dmj5np - Eugenol
Dancha

21/11/2006 à 15h48

Bjc,

N’avais-je pas dit dès le départ qu’il fallait refaire cette panoramique ?
Tu m’as fait alors traiter de non constructif et d’intolérant par Ploc..
J’avoue ne pas bien comprendre…

Daniel


bjc

21/11/2006 à 16h05

La Pano. était bonne, nette, contrastée, rien à dire.
Maintenant, si tu veux avoir raison, tu as raison.


Image odged8 - Eugenol
ploc

21/11/2006 à 16h58

Dancha Ecrivait:
-------------------------------------------------------
>
> Tu m’as fait alors traiter de non constructif et
> d’intolérant par Ploc..
> J’avoue ne pas bien comprendre…


mais encore capable d'avoir des avis seule
et pas vestale.........


biz, daniel
>


1 eugenol dmj5np - Eugenol
Dancha

21/11/2006 à 17h08

.. j'avais cru que tu étais téléguidée... comme il m'avait semblé l'autre jour que bjc s'était trompé et avait pris ton identité à la place de la sienne (je ne sais plus dans quelle discussion c'était)..
Mille excuses, Ploc...

Daniel


kri

21/11/2006 à 17h16

Bref ca ne nous dis pas ce qui se passe au niveau de cette 43


1 eugenol dmj5np - Eugenol
Dancha

21/11/2006 à 17h17

bjc Ecrivait:
-------------------------------------------------------
> La Pano. était bonne, nette, contrastée, rien à
> dire.
..

Tu es sérieux ?

Mais arrêtons cette discussion, elle est puérile et stérile.

Daniel


Image odged8 - Eugenol
ploc

21/11/2006 à 17h32

pardonné
excuses acceptées
continuez à vous amusez


1 eugenol dmj5np - Eugenol
Dancha

21/11/2006 à 19h05

bjc Ecrivait:
-------------------------------------------------------
> La Pano. était bonne, nette, contrastée, rien à
> dire.
..

J’avais l’intention d’arrêter cette discussion, mais je n’ai pas résisté à réaliser une petite expérience… et j’ai montré à mes deux assistantes présentes au cabinet ce soir (que j’ai formées pour faire les télés et les panos ici ) la panoramique en question.
Je leur ai demandé ce qu’elles pensaient du cliché (sans émettre aucun commentaire moi-même).
Les réactions ont été :
- c’est pas une vraie, elle est truquée !
- c’est pas bon, je ne la sors pas (on fait du numérique au cabinet, ce qui explique l’expression) !
- mauvais réglage de l’appareil !
- mauvaise qualité !
- à refaire, on ne voit pas grand-chose !

Dois-je en conclure que les critères de qualité ne sont pas les mêmes pour tout le monde ?

Daniel


bjc

21/11/2006 à 19h25

Pov mec.


Avatar transparent iqadnc - Eugenol
adhoc

21/11/2006 à 19h50

Superglue sur la cale pour nos petits qui ont la bougeotte!


Pov mec

22/11/2006 à 11h26

bjc Ecrivait:
-------------------------------------------------------
> La Pano. était bonne, nette, contrastée, rien à
> dire.
..

Cette pano appelle deux critiques :
La première est liée aux paramètres physiques du cliché. On ne voit aucun détail sur les couronnes des dents qui paraissent laiteuses, de même que certaines parties osseuses sont excessivement blanches.
Ceci vient d’un mauvais réglage du générateur.
On sait qu’une image trop blanche ou trop noire provient des mA (quantité d’électrons émis) et que le contraste est donné par les kV (puissance pour traverser les tissus).
Je suggérais donc dans un premier temps de diminuer les mA, puis d’essayer de diminuer les kV.
La seconde est liée à la position du sujet. Une image agrandie des dents signe une position trop en arrière du patient, une image rétrécie signe une position trop en avant. Comme les dents ont ici une différence de taille importante dans un secteur intermédiaire, la probabilité d’un déplacement du sujet pendant la rotation du générateur est importante.
Cela dit, il n’y a aucune certitude quand à la position de 43 qui pourrait tout à fait être dans une position ectopique.
Cette radio n’a donc aucune valeur et on ne peut ici faire aucun diagnostic.

Daniel


12