Cookie Consent byPrivacyPolicies.comLes aligneurs de dents et les réducteurs de tête. - Eugenol

Les aligneurs de dents et les réducteurs de tête.

say say

13/01/2007 à 14h31

BJC, en lisant vos échanges on a l'impression que c'est toi qui n'a pas d'arguments. Encore une fois, il n'y a aucune attaque perso dans tous ce qui est dit. Mais lorsqu'on affirme des choses il faut pouvoir justifier.
Personne ne remet en doute tes compétences, dans ton domaine, nous voulons juste être convaincue. Donc voir des cas et lire des arguements scientifiques qui soient recevables. Et pas ton éternel discours préfabriqué que tu ressorts à chaque fois, on l'a lu une fois, nous ne sommes pas complétement idiots donc va plus loin.


Zorto

13/01/2007 à 15h49

je ne peux qu'approuver ce que dir say say. arrête de nous servir tes sempiternels arguments préfabriqués et montre nous du concret. montre nous des cas et pas toujours le même baratin qu'on connait par coeur.


limlim

13/01/2007 à 17h07

http://www.oc-j.com/2-99/hilgersfr.htm

Article interessant.


limlim

13/01/2007 à 17h45

Pour moi dans tout ce debat,je crois a la convergeance entre les techniques.Damon fait du Begg sans le savoir.

http://cite-dentaire.africa-web.org/Orth_conception.htm


bjc

14/01/2007 à 12h41

Bonjour,

Quand on fait de l’arc rond, on fait du Fauchard sans le savoir.
Et quand on fait de l’arc quadrangulaire, on fait de l’Angle sans le savoir.

Mais ! Il y a autant de différences entre les arcs de cette époque et les arcs actuels à force constante, qu’entre une flèche et une fusée. (Newton doit se retourner dans sa tombe)

Les sites de Damon-systeme ont disparus. Je comprends mieux les critiques : « éternel discours préfabriqué que tu ressorts à chaque fois, »
Je vais essayer d’illustrer, mais ne comptez sur moi pour vous faire un cours.

@+ Bjc.


bjc

14/01/2007 à 20h25

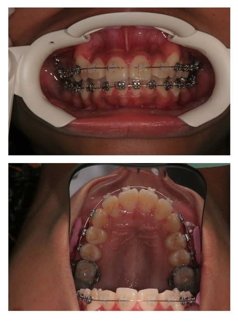
Deux cas en cours.

8 mois 1 h76zlf - Eugenol

bjc

14/01/2007 à 20h28

Un peu plus délicat. (les diablesses)

S.c - Eugenol

Zorto

14/01/2007 à 21h03

des alignements, toujours des alignements. ça, on sait tous faire. j'espère que tu auras autre chose à nous montrer.


Zorto

14/01/2007 à 21h05

"les diablesses", on les déjà vues. tu nous les as déjà montrées, c'est pas nouveau.


Image odged8 - Eugenol
ploc

14/01/2007 à 21h23

Zorto Ecrivait:
-------------------------------------------------------
> des alignements, toujours des alignements.

pas tout compris ds l'odf...
que fait on d'autre?
tu pourrais me montrer,zorto stp un de tes cas?
tu désalignes? pour quoi faire?



bjc

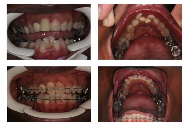
14/01/2007 à 22h12

Si vous y tenez, mais le plus difficile est fait.

7 semaines  1 cl5ghv - Eugenol

say say

14/01/2007 à 22h20

Ploc,
il y a une différence entre aligner des dents et conduire une thérapeutique ODF. Dans ODF, il a orthopédie ce qui veut dire que un traitement ODF n'est complet que quand les dents sont alignées, évidemment, mais aussi qu'au niveau basal (osseux, articulaires...)il y a un bon équilibre.
Par exemple, tu peux avoir un alignement des milieux dentaires sup et inf (en ICM), avec une mauvaise position de la mandibule en ICM. Dans ce cas tu risque d'entrainer des douleurs et une détérioration d'une des deux ATM, celle qui est "comprimée". (remarque : à l'ouverture si le problème n'est pas figé par la fin de la croissance, il y a un léger décentrage pas complet car les muscles sont contractés)
Le plus souvent au niveau clinique tu peux le remarquer car tu as effectivement tes milieux de dentures alignés mais les freins médians sup et inf eux ne le sont pas. ce signe clinique peux également traduire non pas un mauvais "centrage" mandibulaire mais une croissance assymétrique, si à l'ouverture pas de recentrage même partiel constaté dans ce cas là c'est beaucoup plus embétant...
Bref, l'ortho ce n'est pas que les dents, ce que BJC semble avoir compris (puisqu'il parle de Chateau à tout bout de champs) mais qu'il ne semble pas appliquer car il ne nous montre que des alignements de .... dents. sans jamais de radio qu'il conteste d'ailleurs.
Ca fait beaucoup de contradiction avec toi même tout ça BJC.


say say

14/01/2007 à 22h37

En parlant de freins... pdt que j'écrivais le post précédents BJC envoyait une photo sur laquelle, semble-t-il, les freins médians sup et inf ne sont pas centrés, quoique ce n'est pas sûr, le décalage est faible, contrairement aux milieux interincisifs centrés...


bjc

14/01/2007 à 22h42

J’ai retrouvé :

http://www.ormco.com/index/damon


Zorto

14/01/2007 à 23h04

t'as trouvé quoi ?
des traitements complets et documentés ?
où donc, sur ce site ?


Zorto

14/01/2007 à 23h13

bjc, on a compris que tu n'étais pas capable d'expliquer la magie des bk damon. on a compris aussi que tu étais enthousiasmé par cette technique. on aimerait simplement voir des cas complets et pas seulement des alignements.
ploc me reproche de te faire des reproches et me dit de présenter moi-même des cas. j'en montrerais si ça sortait de l'ordinaire. je ne vois, moi, aucun intérêt à montrer ce que tout le monde peut faire.
mais moi, je ne fais pas cocorico tout le temps en disant "voici une méthode miracle, mais je ne ne peux rien vous expliquer".


Picture1111 zburnd - Eugenol
saidkholoki

15/01/2007 à 20h03

Coucou c'est encore moi, je suis desole pour cette periode de repis pour bjc, car j'avais un probleme de connection sur le forum, mais je vois que les autres n'ont pas laisser de chance pour notre ami bjc de se reposer vraiement. Les cas presentes pour la unieme fois montre un travail d'alignement extra ordinaire, d'ou la profession aligneur de dents, mais je voudrais tout simplement voir les photos profil de ce patient avant et apres ainsi que les radios de profil c'est juste par curiosite!!!
Il est certain qu'aligner les dents c'est une partie de la profession mais le reste est encore plus interessant. En attendant la suite avec impatience....


bjc

15/01/2007 à 20h53

Cher Saïd,

Je m’amuse sur nonol. Si à travers ce délassement, j’intéresse quelques confrères j’en suis ravi.
Ta demande de photos de visage en cours de traitement est intéressante. Je vais demander au patient une autorisation, car ce forum est ouvert aux particuliers.

Mon travail de fond est, en plus des photos, sur (et avec) les radios (scanner) pour objectiver l’épaisseur d’os et les torques.
CELA PROMET DE BELLES EMPOIGNADES !

Pas de répit pour Bjc.


bjc

15/01/2007 à 22h00

"On demande des photos au DEBUT du ttt, puisque tu dis toi même que c'est l'esthétique qui guide le choix du traitement, et après en fin de ttt si tu y arrives... "

Toutes tes demandes devraient être satisfaites sur le site dont j’ai donné les coordonnées.
Un petit éffort ma poule!

"par ailleurs, souviens toi qu'il existe des moyens pour cacher une partie du visage: des petits rectangles par exemple!"

Ces caches sont valables dans le cas de présentations entre professionnels.
Or, il se trouve que nonol est ouvert aux
particuliers. So !







024 vownvo - Eugenol
annie

16/01/2007 à 01h12

elles sont vraiment ridicules ces caches,juste pour le principe,car avec ou sans l'identification est kif kif!!


Picture1111 zburnd - Eugenol
saidkholoki

16/01/2007 à 05h27

Medames et messieurs les eugenoliens,
Pour la cent cinquantieme fois notre cher ami bjc promet de nous montrer ces fameux cas avec les documents complets, photos, radios et plus de scanner!!! Je vous invite a reserver vos places en avant premiere en 2012 car le chef d'oeuvre va sortir au public en 2018.
Pour ne pas heurter la sensibilite du public en dehors des eugenoliens cette presentation sera avec: visages caches, dents caches et sans radiox pour ne pas trouver des similitudes entre les cas presentes et les dents de qquns des spectateurs, de son fils, de sa voisine ou de sa chevre!!! Bref cela va etre blanc sur blanc mais ca promet d'une superbe empoignade, un film d'horreur quoi! attention aux ames sensibles...


bjc

16/01/2007 à 12h51

Oh non, plutôt franche rigolade.
Pas rancunier le Caïd,


200106 10150128247663588 709988587 6466236 5598391 n d7mksb - Eugenol
hallboy

16/01/2007 à 13h02

A peine rentré de vacances, voila que je radote: si on pouvait au moins avoir une paire de maquettes face profil pour avoir une idée de l'occlusion en bout de piste?

pour les photos, il existe des serveurs distants comme les albums Google: on peut ensuite transmettre les liens par mp a ceux qui sont intervenus sur le sujet ( ce qui ne represente pas une foule considerable ) et eliminer le fichier une semaine ou 2 plus tard.

ex

http://picasaweb.google.fr/philippemiras/Maldives

tous ceux qui apparaissent sur ces photos m'ont assurés ne pas faire de procés.

PS pour cela, il faut une adresse Google, ce qui en veulent peuvent me contacter par mp.

PPS: il y a d'autres systemes equivalents que Adhoc doit surement connaitre.

PPS: En tous cas felicitations a tous pour vos performances ( je suis ebloui ) mais quitte a avoir de la viande moins fraiche , pour vos cas extreme, ( je pense a celui de Dancha par ex ) pourquoi ne pas attendre et les presenter avec un an de recul et de façon plus bettonée?? ( RX maquettes photos et out le tralala??? )


Zorto

16/01/2007 à 14h48

bjc Ecrivait:
-------------------------------------------------------
> "On demande des photos au DEBUT du ttt, puisque tu
> dis toi même que c'est l'esthétique qui guide le
> choix du traitement, et après en fin de ttt si tu
> y arrives... "
>
> Toutes tes demandes devraient être satisfaites sur
> le site dont j’ai donné les coordonnées.
> Un petit éffort ma poule!

on aimerait bien voir qlq chose sur ce site, dis-nous donc à quel endroit


> "par ailleurs, souviens toi qu'il existe des
> moyens pour cacher une partie du visage: des
> petits rectangles par exemple!"
>
> Ces caches sont valables dans le cas de
> présentations entre professionnels.
> Or, il se trouve que nonol est ouvert aux
> particuliers. So !
>

et ce cas que tu as montré avec des caches ? lapadoué vient précisément de redonner l'adresse (merci lapadoué, je n'ai pas ta mémoire d'éléphant), c'est bien toi qui l'a mis ici, non ?

vas-tu encore te défiler longtemps ?



bjc

16/01/2007 à 15h10

"vas-tu encore te défiler longtemps ?"

Qu’en termes galants ces chose là sont dites !


1234...