Cookie Consent byPrivacyPolicies.comLes aligneurs de dents et les réducteurs de tête. - Eugenol

Les aligneurs de dents et les réducteurs de tête.

Zorto

16/01/2007 à 15h17

mais comment donc doit-on te le demander ?


bjc

16/01/2007 à 17h02

Bon, bon.

Devant votre demande pressante de Rx.
Je vais me faire aider pour les mettre sur un site à la disposition des intervenants.
Peut être qu’après Dancha montrera les siennes.

@+ Bjc.



1 eugenol dmj5np - Eugenol
Dancha

16/01/2007 à 18h10

Tu n'avais pas tes lunettes, mon bon bjc ?
Peut-être étais-tu en vacances..

http://www.eugenol.com/eugenol/file.php?4,file=8259

http://www.eugenol.com/eugenol/file.php?4,file=8338

Daniel


Picture1111 zburnd - Eugenol
saidkholoki

16/01/2007 à 21h37

Salut les amis,
Pensez vous qu'il faut mieux que je supprime les photos de mes cas presentes sur le forum???


bjc

17/01/2007 à 00h15

Bonsoir,

Puisque vous insistez tant :
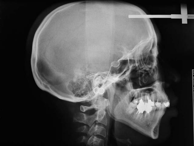
Voici les Rx. du cas adulte. Pour les photos, ce sera un peu plus tard.
J’attends le consentement écrit de ma patiente, et l’aide de pros de site.

P.S. :J’aurai pensé que la mécanique vous aurait plus intéressé.

@+ Bjc.

Pano w2euob - Eugenol
Profil cknevk - Eugenol

bjc

17/01/2007 à 00h18

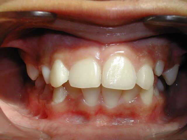
A propos, la 48 a été extraite.


024 vownvo - Eugenol
annie

17/01/2007 à 03h11

je l'ai reconnue!!


Picture1111 zburnd - Eugenol
saidkholoki

17/01/2007 à 06h00

bjc,
merci pour les radios, tu ne voulais pas les montrer pour preserver le secret medical de ton patient, mais laisser apparaitre le nom sur la radio de face ca ne pose pas de probleme!!!
Merci en tous cas en attendant la suite


200106 10150128247663588 709988587 6466236 5598391 n d7mksb - Eugenol
hallboy

17/01/2007 à 09h37

merci pour le suplement d'infos. Said, tu preferais pas de radio?
On dirait que quand tout le monde fait un pas en avant, les tetes se cognent ;)

Bjc, pour les photos, si adhoc ne peut pas t'aider ( il est bien + competent que moi ) j'essaierai de te donner un coup de main.


Picture1111 zburnd - Eugenol
saidkholoki

17/01/2007 à 11h01

Salut Hallboy, comment tu as pu sortir avec cette conclusion??? Depuis le debut j'harcelle bjc pour nous montrer ses radios avec le trace en plus car la definition des images sur le forum n'est pas extra donc un trace peut etre aussi tres utile. Par contre je crois que bjc pourrait couper les excedents de la radio au niveau de l'identification du patient.Sinon je suis encore tres attache a tous les elements diagnostiques de base au complet.
Pour ne pas cogner sa tete comme tout le monde il faut garder sa tete relevee, regarder toujours plus loin et plus haut et se demarquer des autres, c'est ce que je fais...


200106 10150128247663588 709988587 6466236 5598391 n d7mksb - Eugenol
hallboy

17/01/2007 à 11h08

moi aussi Said, c'etait juste un plaisanterie. on a la chance sur ce forum d'avoir des praticiens remarquables ( dont malheureusement je ne fais pas partie ) et les egos se frottent. Peut-etre est ce pour cela aussi qu'ils sont bien meilleurs que moi ;)


1 eugenol dmj5np - Eugenol
Dancha

17/01/2007 à 11h11

D’après l’aspect cutané du visage qu’on devine sur le téléprofil, il ne semble pas que cela soit une caucasienne. Les références habituelles sont donc faussées.
bjc, je comprends mieux pourquoi tu méprises les analyses céphalométriques habituelles : elles ne sont pas toujours adaptées aux patients que tu traites là où tu es.
Ce qui entraîne que même si tu y arrive ici, ce cas ne peut servir de référence valable pour affirmer qu’on peut tout traiter sans avulsion…

Daniel


Ylfwcw979cz1jnx9gfqeaxndiuzk - Eugenol
Algi

17/01/2007 à 11h33

Bjc tu nous fait languir là aprés nous avoir ouvert l'appetit j'avoue rester sur ma faim.

1ere question: depuis combien de temps tu utilises damon? si c'est au moins 3 ou 4 ans tu devrais avoir des cas terminés et leur deroulement à nous montrer.

2eme qusetion (et là je m'adresse à plusieurs intervenants): selon vous pas de croissance aprés 13 ans à la mandibule? selon vous pas de possibilités d'aligner sans stripper ou extraire ou reculer les molaires..... j'ai pas de cas fini fini non plus à montrer (et en plys j'ai plus d'appareil numerique) mais avec d'autres techniques on arrive à ET expanser Et aligner ET rester stable, je parle bien sûr des activateurs de soulet et besombes et des pistes de Planas.

Oilà, j'attend les reactions et vais m'arracher les doigts du cul, passer à la F...C et m'acheter un nouvel et bel appareil.

a+


bjc

17/01/2007 à 11h38

C’est tout moi !

Bon, si tu veux, je peux te les envoyer sur ton mail avec meilleure définition.

Face op1hnm - Eugenol

bjc

17/01/2007 à 11h46

Mon petit Dancha,

Je ne méprise rien ni personne. Ce mot n’est pas de mon vocabulaire
Je répète : la Rx. n’est pas mon Dieu !


bjc

17/01/2007 à 12h09

Cher Algi,

Eh non, malheureusement je n’ai pas de photos en cours de mes débuts en Devil. (ou très peu)
Je n’avais pas le canon actuel, et de toute manière, je passais tellement de temps à recoller ou à débloquer les D2 que j’étais perpétuellement en retard. Je n’aurai jamais eu le temps !

Comme tu l’as remarqué, ce n’est pas du Bk. Damon sur les photos.
Ce sont les miens. C’est à partir du moment ou mes protos ont été faciles à utiliser que je me suis équipé du canon avec flash annulaire.
Pour maîtriser ce superbe appareil qu’est le 350, il m’a fallu 6 mois.

Il existe d’autres systèmes.
Mais comme je suis un paresseux, j’utilise celui qui marche le mieux, le plus vite, et le moins contraignant actuellement. (à mon avis)
Ceci dit, s’il en arrive un plus facile, et je suis sur que cela viendra, je suis preneur

@+ Bjc.


Ylfwcw979cz1jnx9gfqeaxndiuzk - Eugenol
Algi

17/01/2007 à 13h57

Donc des cas menés de A à Z t'en as ou pas??? Et si t'en a pas tu penses pouvoir nous en montrer quand?

a+


bjc

17/01/2007 à 15h48

Cher Algi,

Un cas comme ça ?

Debut t7ekky - Eugenol
Fin z2xytc - Eugenol

Zorto

17/01/2007 à 20h23

bjc, c'est vraiment tout ce que tu peux montrer ?
tu n'as pas un seul cas vraiment terminé ?
et avec des radios avant et après ?


bjc

17/01/2007 à 21h23

Tu t’appelle Algi ?
Très mal élevé !
Je pars en vacances.


Zorto

17/01/2007 à 23h19

bjc Ecrivait:
-------------------------------------------------------
> Tu t’appelle Algi ?
> Très mal élevé !
..

non, je ne m'appelle pas algi. lorsque qu'il a dit "tu penses pouvoir nous en montrer quand? ", il a bien dit "nous en montrer" et non pas "m'en montrer".
très mal embouché !


Ylfwcw979cz1jnx9gfqeaxndiuzk - Eugenol
Algi

18/01/2007 à 10h39

Bjc tu es joueur.... un cas terminé c'est pour moi débagué, photos avant aprés et surtout photos (et radios si cela peut aider les autres), donc surtout disons 2 ou 3 ans aprés dépose des bagues et SANS contention. Là on pourra parler de cas fini et d cas stable.

Si je me suis mis à l'ortho fonctionnelle c'est bien pasque pour moi les cas dits "terminés" par une contention ou qui recidivent dés la dépose des bagues sont des echecs.... c'est bien beau d'aligner les dents (et encore heureux si en plus quand on a pas reduit les têtes) mais encore faut-il que cela fonctionne durablement et de façon stable.

Je disais que tu m'avais mis l'eau à la bouche car j'avais enfin le pressentiment qu'une technique MB pouvait être compatible avec la fonction (le truc de dire que des dents avaient bougé là où tu ne les attendais pas sans pour autant se mettre n'importe comment est pour moi un indice trés trés interressant).

D'autre part les pistes de planas et les SB c'est bien mais c'est terriblement contraignant pour le patient et terriblement chronophage pour le praticien (faut passer des heures à remotiver ces sales chiards qui veulent pas faire leurs exercices (sans parler des parents qui rechignent à payer les semestres mais ne s'investissent pas dans l'accompagnement de leurs minots)).

Bref ton truc avait l'air ET efficace selon ma philosophie de l'ODF ET plus simple à pratiquer (du moisn me laissant une autre porte de sortie que d'adresser mes echecs par manque de cooperartion à un aligneur de dents-reducteur de t^étes).

Re-bref, j'attend beaucoup de toi et je pense que, à priori, devil c'est bien mais effectivement je voudrais voir des cas menés de bout en bout avec quelques années de recul pour mieux savoir.

Je réitére donc ma question: montre nous des cas finis, sur moulages si t'as pas de photos du patient, je t'en voudrai pas, moi non plus j'ai pas beaucoup d'iconographie "en live", surtout suivie.


Picture1111 zburnd - Eugenol
saidkholoki

18/01/2007 à 11h57

Je suis desole de dire que nous somme toujours entrain de tourner autour de probleme et non pas s'attaquer au reel probleme. Pensez vous que les bk Demon ont vraiement un avantage par rapport aux autres? Est-ce que vraiement un fil .012 dans des brackets synergy par exemple avec ligatures centrales seulemnt ne donne pas les meme effets? Je pense que ca se ressemble beaucoup. Donc nous pouvons eviter les extractions avec n'importe quelle methodes et avec n'importe quel systeme MB, des le moment on accepte ce concept presevateur et on a les moyens pour les eviter.
Je suis d'accord pour dire stop aux reducteurs de tetes, je suis d'accord pour dire que chaque dent a une fonction, si elle est la c'est pour remplir une fonction bien precise qu'on connait parfaitement cette fonction ou pas, bref une dent est tres noble pour etre sacrifiee et mutilee. Mais peut on dire que les extractions sont finies pour toujours, peut-on affirmer ceci avec une stabilite a long terme? Et si l'encombrement est maitrise comment faire dans les cas de classe II dentaire ou la croissance n'a pas de role a jouer ou chez un adulte avec une croissance finie?
Les etudes statistiques peuvent donner la reponse la plus exacte dans qqs annees, peut etre!!
Une chose primordiale a prendre en consideration: Dans toutes les etudes statistiques qui parlent d'extraire ou pas, de stabilite ou de recidive ne donnent aucune idee sur le contexte fonctionnel du cas avant, pendant et apres le traitement. D'autre part quel concept occlusal le praticien adopte? Quelle etait la qualite des finitions occlusales du cas.
J'ai classe personnellement ces finitions occlusales en 20 points selon le concept bioprogressif et je suis certain que tres peu d'orthodontistes meritent une note de plus de 14 ou 15 pour l'ensemble de leurs cas, et je n'en fais pas partie malheureusement!
Donc pour resumer parfois , meme souvent, le probleme ne vient pas du systeme utilise mais du praticien qui applique le systeme.
Pour faire une etude serieuse il faut mettre un protocole bien solide, de se mettre en groupe de travail en appliquant a la lettre ce protocole et avoir des documents de haute qualite avant pendant et apres le travail. C'est la seule facon pour justifier, critiquer, developper et approuver un systeme.
Le forum peut etre un moyen extra ordinaire pour ce type de travail.
Un dernier point a propos du system Demon, il n'existe pas avec les informations Bio progressives!!! Savez vous pourquoi? A suivre


bjc

18/01/2007 à 14h21

Bonjour,

A vous deux, vous avez exprimé (en mieux) ce que je pensais il y a 4-5 ans.
On pourrait peut être devenir constructif ?

1°) Oui il y a d’autres système à friction presque nulle.
Le Synergie, par exemple. Séduisant intellectuellement. Je l’ai employé.
Difficile de ne ligaturer que deux plots sur les 4/5, encore plus sur 4/5 inférieures.
Long, peu pratique.
De plus en plus délicat au fur et à mesure que la dimension de l’arc augmente. Mais faisable.
Le Damon : trop de jeu avec un 0.014 x 0.025. Perte de contrôle.
C’est bien ce qui a été à l’origine des
Bk. inter-actifs : inconvénient : à partir du 0.014 x 0.025 ou 0.016 x 0.025 on retombe
dans les frictions de 125 gr.
Or, c’est à partir de ces diamètres que l’on commence l’expansion.
Voilà à peu près où on en est.

EXPANSION OU EXTRACTION, ce qui explique la contention.

@+ Bjc.




Picture1111 zburnd - Eugenol
saidkholoki

18/01/2007 à 15h20

bjc ecrit :EXPANSION OU EXTRACTION, ce qui explique la contention.

Je pense plutot Expansion ou Extraction en fonction du cas, car la contention est obligatoire pour tous les cas pour des raisons histologiques il ne faut pas oublier ceci.
Tous les cas ne peuvent pas supporter une expansion extreme. D'ou l'importance de l'etude du cas, une etude COMPLETE et pousee au max.
plots centraux sur les brackets synergy ce n'est pas dificile quand on a le coup de main, sur les 4 et 5 inf si tu le prend avec le crochet il n'y a pas de plus facile. A suivre
Said


12345...