Tous les forums
celui là, il est pas banal !
17/10/2004 à 15h16
Ce n'est pas un cas difficil, avec nos moyens actuels.
Ce serait plutôt un cas spéctaculaire.
Bon dégagement chirurgical, bon traitement O.D.F. Et le tour est joué, bien sur il faudra du temps.
18/10/2004 à 02h04
En effet, bjc , cas intéressant par son aspect spectaculaire.
2 tete-beche, le 69 du dentaire.
Blague a part, tete beche impose a mon avis un dispositif de départ exploitant action et réaction.
La technique arc droit est ici impossible , on mobiliserait les autres dents par mouvement extreme.
Je pensais a utiliser pour ces tete beche un ressort qui exploiterait sa force de détente pour le couple de dents.
J'ai fait un petit dessin en piece jointe.
D'abord tres tres souple (12) puis 14.
Apres OK on peut baguer , et adopter la technique de son choix.
18/10/2004 à 14h08
Adhoc,
Ton système de double momment est astucieux, mais il faudrait le faire, non pas en occlusal, mais en lingual comme un arc de base, pour éviter des Mv. parasites dus à la mastication ou à la langue.
Ceçi dit, il néçessite un dégagement osseux en vestibulaire pour coller les tubes. Or tu risque fort d'avoir besoin de cet os plus tard, une fois tes dents redréssées.
D'autre part, tu n'auras aucun controle dans le sens sagittal.
Puisque celà à l'air de t'intéresser, je te laisse chercher un peu.
18/10/2004 à 18h34
BJC, comment faire sans degagement osseux?
En plus j'ai bien peur que les tubes collés ne tiennent pas et necessitent plutot des bagues classiques.
Pas de controle dans le sens sagittal, c'est vrai, mais des que les couronnes sont degagees on passe en arc.
Je pensais auusi a utiliser des elastics verticaux pour limiter les mouvements parasites d'ingression.
J'attends d'autres solutions!!!
18/10/2004 à 18h51
L'arc droit est possible et même souhaitable...
Pour le haut avec mise en place de la canine incluse...
Pour le bas, rester avec arc rond très souple juste pour guider les "6" qui seraient tractées par une mécanique élastique très douce, tendue entre ces dents et deux mini implants "léone" posés perpendiculairement à l'axe de la traction entre les canines et prémolaires maxillaires...
Je pense que les "7" sont trop mal positionnées et cela risque de ne pas fonctionner pour ces dents-là...
Peut-être après avoir redressé les "6"...?
Bon, mais comme je ne suis qu'un sombre crétin, faîtes en ce que vous voulez, après tout c'est pas moi qui vais le faire ce putain de beau traitement...
18/10/2004 à 19h19
Amibien, la solution implantaire comme pilier de redressement n'est pas bete du tout.mais comme tu le dis impossible pour les 7.
Arc droit en haut avec élastics , ok .
Un beau traitement global.
Ou évidemment pas d'ortho et implants 6 et7 (avec extractions, il s'entend!!).
18/10/2004 à 19h27
Je l'attendais celle là! Il n'en rate pas une pour faire le paon, l'ami qui vous veut du bien.
Faire compliqué, c'est facil, c'est faire simple qui est difficil.
18/10/2004 à 19h46
je ne connais strictement rien à l'ortho, mais à tout hasard: amibien, sombre crétin...
18/10/2004 à 20h28
Bjc a écrit:
-------------------------------------------------------
> Je l'attendais celle là! Il n'en rate pas une pour
> faire le paon, l'ami qui vous veut du bien.
>
> Faire compliqué, c'est facil, c'est faire simple
> qui est difficil.
>
Bjc, si tu te relis tu verras que c'est toi qui commence à dévier, sauf ton respect.
Il me semble avoir lu certains internautes se plaindre de la lourdeur de nos posts.
J'interviens simplement et toi tu recommences avec l'ironie mal placée.
En quoi suis-je un paon ? Ce que je propose est très simple à mettre en place. Un mini implant Léone se pose en deux minutes...!!! au tournevis à main !!!! beaucoup plus vite que tes ressorts dont l'action reste très hypothétique car une fois les deux dents un peu remontées, que fais-tu ?
Avec les mini implants tu as des ancrages très fort qui ne bougent pas !!!! et le patient peut changer lui-même les élastiques facilement tandis que ton système, pardon mais il me semble qu'il va le bouffer...
C'est toi qui propose compliqué.
Essaye une fois ces ancrages et tu m'en diras de nouvelles.
En plus la trousse n'est pas très chère et est fort ergonomique.
Cela étant dit, je sais que je suis un sombre crétin doublé d'un paon, mais je sais aussi que mon plan de traitement tient la route.
19/10/2004 à 01h43
Alhoun, tu sembles pourtant être qq'un d'intelligent...
Alors, stop, svp, aux attaques perso qui gonflent tout le monde et font perdre du temps à ceux qui lisent...
Je préfère que tu dises que sa solution est à ch... et que tu proposes la tienne si tu en a une, ça sera plus constructif.
Cordialement.
19/10/2004 à 02h07
Si amibien dit que ces mini implants sont tres solides , on ne peut que le croire.
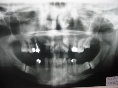
Le redressement d'emblee , au depart, en arc droit uniquement va abimer les dents piliers par effet retour, a mon avis.Sur le pano (tres net, bravo!) d'humator, on voit en plus qu'il existe une lyse osseuse de 2 a 4 mm horizontale qui ne joue pas en notre faveur de soignant.
Le plus dur est le depart, evidemment , il faut un minimun d'egression ne serait ce que pour placer les elastics sur 6. Et on perd la 7.
Pourquoi ne pas combiner nos petits trucs:
-arc droit en haut et desinclusion ortho chir de 3
-degagement chirurgical bas et pose de bague avec foureau lingual et vestibulaire.
-ressort (c moi!) a double moment inverse au tout depart, en lingual comme le preconise bjc
pour rotation 6 et 7 et elevation avec elastics verticaux
-implant (amibien) pour tirer 6
-arc droit (amibien) avec ressort simple sur l'arc pour continuer rotation de 6 et 7. Elastics a composante sup ant pour 7.
Patient hypermotivé.
3 ans minimum de traitement.
Argent
Communication, patient pret pour echec . C a dire extr 6 ,7 et implants.
19/10/2004 à 04h24
"Si amibien dit que ces mini implants sont tres solides , on ne peut que le croire. "
Non, Adhoc, croire c'est ignorer!
Dans ce cas, le Pb. majeur est l'ancrage. ON EST EN MANQUE D'ANCRAGE. D'ou ton idée de double moments de forces, mais tu rentres alors dans un système qui est le couple de forces, que mème les grands maitres redoutent à utiliser. Donc méfiance, et cherchons autre chose.
Alors, les implants comme moyen d'ancrage? L'implant est solide, il ne va pas casser, c'est l'os qui ne va pas résister. En dehors des dégats osseux, on ne va rien obtenir. Ou on a suffisament de dents comme ancrage, et un implant apportera pratiquement rien comme complément d'ancrage, en traction latérale.
BON, ET MAINTENANT.
Essayons de ne pas appliquer de recettes de cuisine, et de faire prendre le moins de risques possibles à notre éventuel patient, tout en sachant qu'il va dépenser de l'argent dans ses dent.
DE QUOI AVONS NOUS BESOIN?
- Ah!, si on avait une 49.
- Il nous faut d'abord décoller 6/7 (Adhoc l'a bien vu), avant une traction verticale qui en commencant par la 6, permettra de ne pas perdre la 7. Mais on ne connait pas l'age du patient, et donc les risques d'ankylose.
- Compte tenu de ces facteurs, il nous faut un ancrage intrinseque d'environ 6 à 9 monoradiculées. C'est à peu près ce que l'on a. ( A ce propos, il serait bon de vérifier l'image apicale sur la 45)
@+
20/10/2004 à 00h15
On pourrait aussi imaginer une barre linguale stéllite collée style Maryland, ou silanisée. Avec une poutre en extension style cantilever au dessus des 6/7 pour tracter la 6 apicalement.
Cette idée farfelue aurait au moins l'avantage de ne pas faire les dédats osseux que ferait un encrage implantaire sur lequel on sera obligé de s'appuyer pendant au moins 12 mois.
Car c'est c'est ça le Pb. On va le solliciter pendant 12 mois.
Le Pb. c'est le facteur temps.
Et tu vas le mettre ou ton ou tes implants, c'est bien beau de dire je met un implant MAIS OU?
Et tu peux me garantir que si je tire dessus pendant 12 mois l'os va résister. C'est une vue de l'esprit! Tu auras fait ton beurre, et ce sera de ma faute!
20/10/2004 à 02h41
Pourquoi voudrais-tu que l'os se résorbe ???
La corticale en bosse canine c'est du béton armé et ta traction de 80 grammes va faire monter les molaires.
Où placer l'implant exactement ? Il faut voir sur moulages mis en articulateur et imaginer la courbe que devra suivre le point de fixation de l'ancrage sur la dent. Le mieux pour fixer sur la la future face mésiale de la 6, un simple verrou de canine avec crochet (pour fixer l'élastique) collé et même recouvert par de la résine.
Tu trace une tangente à l'arc de cercle et à l'intersection avec la base osseuse maxillaire tu trouves l'endroit. Mais tu vas chercher à l'ancrer comme un piquet de tente et il sera donc orienté de haut en bas, de vestibulaire vers lingual et légèrement de mésial vers distal, compte tenu de ce qui se trouve en face bien entendu.
L'appui sera essentiellement cortical et c'est tout.
Tu parles d'un an... En trois mois tu es à mi-chemin, mais je ne connais pas l'âge du patient.
Forces douces, très douces au départ et regarder si les faces occlusales en regard ne vont pas empêcher la montée de la 6.
Oh que je voudrais faire ce traitement!!!!
20/10/2004 à 03h27
"Oh que je voudrais faire ce traitement!!!! "
Eh, oui, c'est tout le Pb., quitte à faire n'importe quoi.Abandonne l'articulateur, et rejette un coup d'oeuil a la Rx. et dis moi ou tu mets les implants. (dont la pérenité est plus que dicutable)
Venez dans mon cabinet, je vais vous montre ce qu'il ne faut pas faire!!!!!!!!!!!!
20/10/2004 à 04h22
Bjc, tu pousses le bouchon trop loin...
Là, c'est toi qui devient présomptueux...
Tu dévalorises le ou les confrères pour te survaloriser imaginativement...
C'est un processus tellement humain...
As-tu seulement vu de loin ou de près les implants dont je parle ?
Ce qui est proposé n'est pas n'importe quoi, au contraire, mais tu me sembles assez mal renseigné pour quelqu'un qui glisse sur les rails des données acquises de la science...
Le gougniafier n'est pas celui qu'on croit.
20/10/2004 à 14h06
Tu t'énerve mais tu n'as toujours pas dit ou tu méttais tes implants, ni envoyé la ou les photos de cicatrisation parodontale comme promis.
Je n'en suis peut-etre pas digne?
20/10/2004 à 14h51
Bjc a écrit:
-------------------------------------------------------
> Tu t'énerve mais tu n'as toujours pas dit ou tu
> méttais tes implants, ni envoyé la ou les photos
> de cicatrisation parodontale comme promis.
>
> Je n'en suis peut-etre pas digne?
Mais où vois-tu que je m'énerve, enlève ton filtre déformant et cela ira mieux...
Tu es très loin du Nirvana ou du Sartori..
Tu ne lis donc pas tous les posts ???
Pour rappel,
Où placer l'implant exactement ? Il faut voir sur moulages mis en articulateur et imaginer la courbe que devra suivre le point de fixation de l'ancrage sur la dent. Le mieux pour fixer sur la future face mésiale de la 6, un simple verrou de canine avec crochet (pour fixer l'élastique) collé et même recouvert par de la résine.
Tu trace une tangente à l'arc de cercle et à l'intersection avec la base osseuse maxillaire tu trouves l'endroit. Mais tu vas chercher à l'ancrer comme un piquet de tente et il sera donc orienté de haut en bas, de vestibulaire vers lingual et légèrement de mésial vers distal, compte tenu de ce qui se trouve en face bien entendu.
la cicatrisation parodontale, tu parles de quoi, de l'N2 ou des implants ? si c'est l'N2 j'ai pas encore acheté l'appareil photo digital et je n'ai pas de RVG alors patience...
21/10/2004 à 04h19
Nonobstant la diatribe de l'ami..., qui avec ses éxposés fumeux implicant articulateurs, tangeante et piquets de tente, ne sais toujours pas dire ou il envisagerait de mettre ses implants, je vais vous dire ce que je ferais si le patient se décidait à entreprendre un traitement.
Vu les risques d'ankylose, je ferais un 1° plan de traitement avec réevaluation à 6 mois. (pour le bas, car le haut ne pose pas de Pb. majeur, sauf si on inclu un implant)
Je le justifierais de la manière suivante:
- Je remplace la "49" par un appui rétrotubérositaire.
- Je m'appui sur le bloc antérieur par une gouttiere thermoformée qui va jusqu'à ces appuis postérieurs, et je dégage largement l'espace au dessus des parties coronnaires de 6/7.
- je dégage les tissus mous en occlusal pour avoir accès aux couronnes des dents sur lesquelles je colle un téton de traction. Ce qui m'évite tout dégagement osseux en V. et en L. qui pourrait ocasionner une perte osseuse que je regretterai plus tard.
Sur la partie occlusale de la gouttiére je fais un ou des trous, par lesquels vont passer des élastiques qui auront été acrochés à ces tétons, et qui seront mis en traction.
Je suis en appui 49/44, le raisonnement est valable pour le coté opposé.
Controle Rx.: Ou ça bouge, ou ça ne bouge pas. Si ça bouge, c'est gagné, si ça ne bouge pas, il faudra reéssayer après avoir meulé les faces occlusales de 6/7, et avoir prévenu son patient des conséquences de cet acte sur la conservation de la vitalité pulpaire.
Je ne vous ai pas tout dit, j'ai surement oublié des choses, mais c'est le principe.
@+
21/10/2004 à 09h21
OUAAAAAAHHHHH
Et ça c'est pas fumeux ???!!!
Appui sur une 49 virtuelle, oubli de la 39, gouttière avec élastiques, le patient ne pourra pas l'enlever pendant six mois pour nettoyer...
oh oh oh oh oh
et il parlait de faire simple....
oh oh oh oh oh
21/10/2004 à 14h35
Algi; avoue que ton ami se ridiculise tout seul!
Je crois que je vais suivre ton conseil, et sortir de ma pharmacie ma vieille boite de sulfate de mépris.
1°) Il est évident que ce qui valable pour l'appui du trigone que j'ai appellé, pour m'amuser la, "49" est valable pour les deux cotés.
2°) Un élastique n'est actif que 3 jours au maximum. C'est pourquoi dans les cas ou on met des élastiques intermaxillaires, on donne à l'enfant des sachets d'élastiques pour qu'il les change tous les jours, pas seulement pour l'hygiène. Module de Young, loi de Muller, E.t.c...
Il n'est donc pas question de sceller, ni encore moins de coller cette gouttière, que l'on devra déposer toutes les semaines pour changer les élastiques, car le patient ne pourra pas le faire lui mème. A cette occasion, on verifiera l'hygiene. De toute manière, si on avait la chance d'avoir des élastiques qui gardent leurs qualitées dans le temps, on pourrait, oui on pourrait, sceller la gouttière pendant un maximum de 6 mois, voir les travaux d'Amoric.
3°) Je m'attendais plutôt à d'autres questions du genre: Comment bloquer l'élastique sur l'extrados de la gouttière?
Je pense que les gouttières peuvent ètre un complément au système Bagues-Bks. , et je voulais en donner un éxemple.
@+
21/10/2004 à 16h35
Cher Bjc,
Décidément, tu n'arrêtes pas d'utiliser des noms d'oiseau pour parler de moi...
Tu te moques, je me moque...
Sois sérieux et je le serai...
Ton système a l'inconvénient d'être lourd et tu n'es pas sûr que l'enfant va porter l'appareil.
De plus les élastiques ne vont pas garder trois jours la même résistance et cela va faire une traction yo yo.
As-tu pensé à la mastication ?
Le système dont je parle a l'avantage d'être moins encombrant, et demande moins de travail à l'enfant.
Au lieu d'y mettre des élastiques on peut y placer des ressorts et tu vois ton patient chaque semaine pour trois minutes.
La traction sera non stop et toujours identique.
Au fait, je viens d'acquérir le dernier CANON Power Shot G6, de quoi photographier ce que j'ai promis de t'envoyer.(la meilleure marque)
Allez un bon mouvement, cesse avec les noms d'oiseau, sinon c'est toi qui vas te rendre ridicule.