Cookie Consent byPrivacyPolicies.comAppareil photo numérique - Eugenol

Appareil photo numérique

Ali

09/01/2005 à 19h26

growler a écrit:
-------------------------------------------------------
> ci joint des photos toutes prises au format VGA
> (résolution la plus faible de l'appareil)et sans
> flash (scialytique ou lumiere du jour)
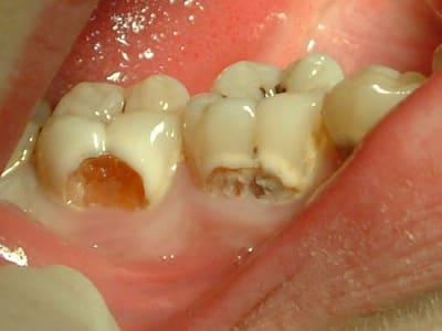
Suite au sujet que j'ai lancé, j'ai suivi les conseils de Growler et me suis procuré le FixePix 7000. Je suis pas déçu du résultat car certaines photos buccales sont superbes ; Cependant j'aimerai savoir sur quels règlages Growler prend ses photos et surtout si il ne se sert que de la lumière du scialytique. Actuellement quand je suis trop près du sujet à photographier, je cache la lumière du scialytique avec l'objectif et il y a une part d'ombre dans la photo. Peut-être Growler peut-il me répondre en privé pour ne pas encombrer le sujet ?. Merci d'avance.





cyberquenottes

09/01/2005 à 23h08

> Peut-être Growler peut-il me répondre en privé >pour ne pas encombrer le sujet ?. Merci >d'avance.


pas question

on veut tout savoir

et en plus on attends les photos de Dublin qui a achete sur les conseils de Growler

un FinePix S 7000 ????????



Blason dql7mj - Eugenol
growler

11/01/2005 à 00h25

hello,

je reste en mode programme, résolution vga (ça permet d'avoir un cliché directement au format mail), mode super macro comme décrit ci dessus et je me sers du scialytique. Quand je suis assez près il suffit d'orienter le scialytique à 45 degrés par rapport à l'axe de prise de vue et ainsi je n'ai jamais d'ombre portée.
De plus lorsque la lumière du scialytique arrive avec un angle sur le sujet cela lui donne un peu plus de "relief".

En mode super macro en zoomant au max on peut faire de très gros plans avec la lentille frontale à 5 cm de la dent (mais en pratique, pour la plupart des clichés l'objectif se situe à 15 cm)
j ai songé au début acquérir un éclairage annulaire à leds mais finalement je n'en vois plus l'utilité.
j'utilise aussi des miroirs photo ecarte joue qui me permettent de réfléchir la lumière du scialytique sur les zones dégagées par ce même miroir.


Si j'ai un peu de temps je vous joins ces jours ci quelques autres clichés.

@+



Blason dql7mj - Eugenol
growler

11/01/2005 à 19h50

un cliché avec la lumiere du scialytique:
ici la lentille frontale est à 10 cm du sujet
(et l'écarteur n'est autre que mon doigt)

04120803 nohmup - Eugenol

alhoun

11/01/2005 à 20h08

salut grow
vraiment chouette. moi j'utilise le dental eye et je scanne les diapos. mais j'ai un coolpix 4300, tu crois que je pourrai m'en servir comme toi?
@+


diplodocusmaximus

11/01/2005 à 21h35

Bah oui, les coolpix sont parmis les meilleurs compact macro du marché.


alhoun

11/01/2005 à 22h05

alors il faut vraiment que j'épluche la notice! @+


003 penrd2 - Eugenol
Cingulum

11/01/2005 à 22h24

Alors pour apporter mon humble caillou à cet édifice. J'utilise depuis plus d'un an un Eos 300D (reflex numérique) + Objectif 100mm Macro + Flash Macro canon. Je trouve que c'est ce qu'il y a à ce jour de plus performant pour:
-Le respect de la balance des blancs.
-La vitesse de prise de vue
-La qualité de l'éclairage
-La possibilité en macro.

Les inconvénients = lourd
et le prix environ 2000-2500 € le tout...mais bon je m'en sers souvent (motivation, blanchiement, esthétique, prise de teinte, trace dans le dossier...ect...)

http://u.n.i.o.free.fr/eugenol/photo.jpg
http://u.n.i.o.free.fr/eugenol/photo1.jpg
http://u.n.i.o.free.fr/eugenol/photo2.jpg
http://u.n.i.o.free.fr/eugenol/photo3.jpg
http://u.n.i.o.free.fr/eugenol/photo4.jpg
http://u.n.i.o.free.fr/eugenol/photo5.jpg
http://u.n.i.o.free.fr/eugenol/photo6.jpg
http://u.n.i.o.free.fr/eugenol/photo7.jpg


Marc Apap

11/01/2005 à 22h37

C'est sûr que là, y a pas photo !


colza

11/01/2005 à 22h37

mais je rêve où quoi? tous ces appareils au prix que ça coûte, je ne les trouve pas très polyvalents ça ne sait faire que des photos de dents :-))


Blason dql7mj - Eugenol
growler

11/01/2005 à 23h58

avant d'acquérir le fuji 7000 j'utilisais un reflex nikon 90x avec objectif macro sigma 105 mm et flash annulaire TTL sunpack sur pellicule 200 ASA, je ne faisais pas de tirage papier mais une édition directe sur CD ROM, les résultats étaient excellents mais avec l'inconvénient d'attendre d'une part que la pellicule soit toute exposée et d'autre part le délai de 4 jours pour recevoir le CD ROM.
Comme je prends surtout souvent des clichés pour communiquer avec le labo, ces délais étaient bien embetants.
Je nái pas voulu acheter un reflex numerique en raison du cout. Pour les photos que je désire communiquer rapidement par mail à mon labo ou ceux que je fais pour avoir une "trace" d'un cas j'utilise le fuji 7000.
mais c'est sûr que si je voulais faire de la publication j'utiliserais mon réflex.
Donc tout dépend de ce que vous voulez faire de vos clichés. Depuis que j 'ai le fuji je n'hésite plus à mitrailler car c'est léger et rapidement mis en oeuvre.

L'interet d'un réflex numérique tel que celui de cingulum (tes clichés sont absolument splendides) c'est de regrouper à la fois le coté pratique du numérique (visualisation instantanée du résultat) et de permettre l'usage d'objectifs macros de grande qualité et de flash annulaires qui restent les seuls à permettre un éclairage parfait, au détriment il est vrai d'un encombrement et d'un poids supérieur.

Alhoun, pour ce qui est de ton coolpix je suis bien incapable de te dire qu'elles sont ses possibilités car je ne connais pas ce matériel, mais comme le dit diplodocus "ya pas de raison".

mais si vous ètes déja equipés en objectifs d'une marque l'acquisition d'un reflex numerique de cette marque peut etre interessante (bien vérifier auparavant la compatibilité des objectifs)

@+






carole

12/01/2005 à 01h21

growler...je vais etre vache, mais si la vue de ta photo est bien trouvée, je trouve le piqué glop, et et bruit très présent... nous sommes trèèèèèès loin des résultats dont j' ai parlé, et dont vous avez des apperçus aves mes post et ceux de cingulum....
je rapelle que le kit cingulum = 800 euro pour le 300D+400 euro pour un caillou macro+350 euro pour un flash annulaire sigma (1600 euro!) ...allez, sans rancune! :)


Amibien

12/01/2005 à 01h56

cher cingulum,

bravo pour ton travail...

la flore infragingivale ??!!! la gencive autour de ta procera reste oedématiée...as-tu le microscope ?


1 p3qrc4 - Eugenol
Bjc.

12/01/2005 à 03h26

Qui est carole ?


003 penrd2 - Eugenol
Cingulum

12/01/2005 à 08h22

vi pas glop la plaque...:( c'est une empress2 et c'est clair que la photo à 1 an montre son intégration au sens biologique du terme...:).

Mais c'est vrai que la macro ça pardonne pas. Combien de fois on se rend compte de certaine chose sur les clichés...


Amibien

12/01/2005 à 09h02

Cher cingulum,

la taille des moignons à proximité d'une gencive où se nichent des paropathogènes, surtout les spirochètes et les gros bâtonnets mobiles, le placement d'un cordonnet de "rétraction" gingivale dans ces conditions, provoquent un ensemencement plus profond de ces microbes et nous provoquons littéralement une lésion qui devient chronique avec ces beaux liserés mauves bleuâtres ...

quand je taille les dents, au préalable je noie le site dans l'isobétadine, je passe les ultrasons gentiment, l'eau oxygénée et les tirs lasers, puis je re-noie à l'isobétadine avant de placer le cordonnet...


003 penrd2 - Eugenol
Cingulum

12/01/2005 à 09h51

Cher Amibien, ;)

Et moi tout simplement je ne met pas de fil. Quelques grammes de pression suffisent à rompre l'attache épithéliale. Et il est difficile de connaitre les conséquence à court et moyen terme...

Comme on peut le voir ici:
http://u.n.i.o.free.fr/eugenol/photo3.jpg

et là
http://u.n.i.o.free.fr/eugenol/photo5.jpg

Il y a une parfaite santé (si cela est possible physiologiquement...) gingivale. Je ne m'amuse pas à faire des travaux "esthétique" dans un environnement inflammé....
L'aspect bleuatre de la gencive marginale est du à la teinte trés colorée et résistante aux procédé de blanchiement interne, de la racine sous jacente, à mon grand regret...

Maintenant c'est vrai que lors du controle à A+1 le patient avait relaché son controle de plaque. MEA CULPA! :)


BX

12/01/2005 à 10h02

Pour growler: j'ai fait l'acquisition du FU.I 7000 pour ne pas le citer.

Concernant tes clichés:

L''image s'est inscrite avec l'utilisation du seul zoom optique en première intention ou tu l'as retravaillée avec le zoom optique ?

Comment évites-tu la buée ?

Tu te fais aider d'une assistante pour la tenue des miroirs et des écarteurs ?

Merci d'avance.


Blason dql7mj - Eugenol
growler

12/01/2005 à 11h19

Carole,

oui en effet le piqué n'est pas exceptionnel, comme indiqué plus haut il s'agit d'un cliché pris délibérément avec la résolution la plus basse de l'appareil (VGA soit 640 x 480 pixels c'est a dire a peu près 10 fois moins de résolution qu'en 3 millions de pixels)
J'estime que pour cette résolution, la photo est quand même exploitable pour ce que je veux en faire (archivage dans la fiche du patient ou envoi par mail directement sans manip)

Je trouve dommage que beaucoup de praticiens ne fassent jamais de photos , rebutés par la complexité ou le coût du matériel, il est prouvé qu'avec du matériel peu onéreux et simple cela devient désormais possible.

bille 1 corps dit ah le mans (oulala j suis fatigué moi!)


carole

12/01/2005 à 18h54

growler, pour une réso de 640x480, il vaut mieux avoir une camera endobuccale :) mon conseil à 2 balle: fais du 1024x768 bien compressé, l' image sera quand meme light, et bcp plus mieux ;)))


Blason dql7mj - Eugenol
growler

12/01/2005 à 20h41

pour BX,


utilisation du seul zoom optique en première intention, pour la buée je fais comme les radiologues: "ne respirez plus", une petite apnée de 5 secondes tout le monde y arrive.
En général les ecarteurs sont tenus par mon assistante mais il arrive parfois que le patient lui même s'en charge.
Pour ce qui est des miroirs c'est moi qui le tiens de la main gauche et je tiens l'appareil dans l'autre main (c'est la que la légèreté de l'appareil est vraiment appréciable)

bonne soirée

@+


Coeur n9py1g - Eugenol
patvat

14/01/2005 à 10h39

Il se peut que ce site vous aide EISA les meilleurs materiels http://www.eisa-awards.org/history/2004-2005/photo.html


BX

14/01/2005 à 14h18

For patvat : Thank you very much but we don't speak and read english very well.

So we listen growler with pleasure.

@+


carole

14/01/2005 à 17h29

le forum photim
http://www.photim.net/nci/Menu.php3
est une vrai mine d' info...à consulter!!! (in french please!)

de meme, mais en anglais aussi, il y a
http://www.pbase.com/
riche en info sur les boitier(il y a des galeries réalisées avec tous les principaux boitiers)

dans tout les cas, il faut avoir bien étalonné sa chaine graphique (et idem pour le prothé!)
voici un lien où c' est "presque" clair!
http://www.galerie-photo.com/etalonner-sa-chaine.html


BX

14/01/2005 à 18h20

So wonderful carole ( french translation of " Ah Carole " and not " Ha Carole " from athos )


1...456