Cookie Consent byPrivacyPolicies.comhelp,sos,à pédo,implanto et xxx de bon conseil - Eugenol

help,sos,à pédo,implanto et xxx de bon conseil

al

16/11/2006 à 17h16

à ploc : bien sûr que ç'est à faire sur pulpe non nécrosée

à stéphane : c'est une excellente question, je te remercie de l'avoir posée. tu veux pas nous faire une petite recherche là-dessus ? parceque moi j'en sais rien.

d'ailleurs pour répondre à une question d'annie dans un autre fil, comment savoir ce qui relève de l'efficacité éventuelle du laser, ça s'appelle une recherche multicentrique, avec comparaison d'un échantillon témoin. c'est aussi simple (sic) que celà.


Grueavatar nptrc9 - Eugenol
Le Choixpeau magique

18/11/2006 à 16h28

Stéphane Ecrivait:
-------------------------------------------------------
> A ton avis, le pont il est lie au Laser ou au MTA
> ? ... ou les deux ?

On va dire que le laser a joué le même rôle que les horreurs mutagènes qu'on colle habituellement dans le but de "fixer". J'ai bon ?


Image odged8 - Eugenol
ploc

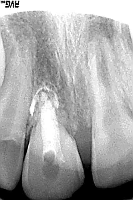
14/03/2007 à 21h25

radio ce jour

aucune inflammation
acune douleur
aucune mobilité

pour mémoire le ttt MTA date de novembre

il me semble que la rhizalyse continue?

Mta mudmwq - Eugenol
Lee roy mars 07 matzp3 - Eugenol

catrose

15/03/2007 à 01h03


j'ai l'impression aussi,mais les angles de radio varient
tests de vitalite sur les 21-22?


Image odged8 - Eugenol
ploc

15/03/2007 à 01h11

RAS pr 21 et 22

le pb est effectivement d'avoir la mme angulation
je demanderai une pano en mai


200106 10150128247663588 709988587 6466236 5598391 n d7mksb - Eugenol
hallboy

15/03/2007 à 02h02

5 mois, pas de mobilité, pas de douleur.

Tout aurait pu se casser la gueule 15 jours aprés.
Et comparer les Rx...???!!

Pas de contention avec les colaterales?


Image odged8 - Eugenol
ploc

15/03/2007 à 02h28



pas de contention puisqu'en cas d'ankylose aussi appelée resorption de remplacement,les lacunes de résorption sont comblées par du tissu osseux,donc ça ne bouge pas et il n'y a pas d'inflammation

n'est ce pas catrose? :)

comparer les radios ce serait interessant pr mesurer la racine mais exactement la mme angulation et qu'elles soient superposables me parait relever de l'utopie
en ts cas,je ne sais pas comment faire...
d'ailleurs si qq'un sait,you're welcome pr le tuyau


200106 10150128247663588 709988587 6466236 5598391 n d7mksb - Eugenol
hallboy

15/03/2007 à 02h52

Vi, mais si moins de force appliquées ( ou miuex reparties ) est ce que la resorption se ralenti??


024 vownvo - Eugenol
annie

15/03/2007 à 05h00

Puique on tourne tout ce que je dis en dérision,je vais faire tres fort!
l'ingression des dents? comment et quel déplacement maximum peut on obtenir?
parce que dans un cas comme celui la si on pouvait tailler la couronne en forme de racine,tout ingresser et faire une dent sur pivot ensuite,je sens que ce ne doit pas être possible mais,bon,une idée comme une autre!


delmo

15/03/2007 à 15h31

apres lecture du fil, bon courage!

la fonte radiculaire et l'ankylose s'accompagnant normalement d'os de substitution, je laisserais faire desormais la nature jusqu'au terme du processus ( a t on vraiment le choix?) pour un implant bien plus tard

le probleme que j'y verrais serait plutot comment garder ou menager la place pour le site a implanter, en effet les radios montre que l'extrusion a amené la ligne de plus grand contours au dela de la limite de blocage des dents voisines, ce qui pourrait laisser une inquietude, mais il paraitrait (dans un autre fil) que les mainteneurs d'espace ne servent a rien, alors l'implanto se debrouillera...alhoun se debrouille toujours de toute maniere


Image odged8 - Eugenol
ploc

04/05/2007 à 01h27


contrôle hier:RAS
semble t'il?

par contre,tjours pas de réponse au chaud et au froid sur 12 21 22
pas de lésion visible
pas de signes cliniques

wait and see?(ça m'embête de me lancer ds des endos dt je ne suis pas sûre qu'elles soient justifiées)





Image odged8 - Eugenol
ploc

04/05/2007 à 20h32

oubli réparé

Mai 2007 hypqup - Eugenol
Mai 2007  21  lei4bk - Eugenol

bjc

06/05/2007 à 23h49

cher delmo,

« il paraitrait (dans un autre fil) que les mainteneurs d'espace ne servent a rien » (dixit delmo)

Si je peux me permettre, qu’est-ce qui te pousse à adhérer à cette opinion ?


Image odged8 - Eugenol
ploc

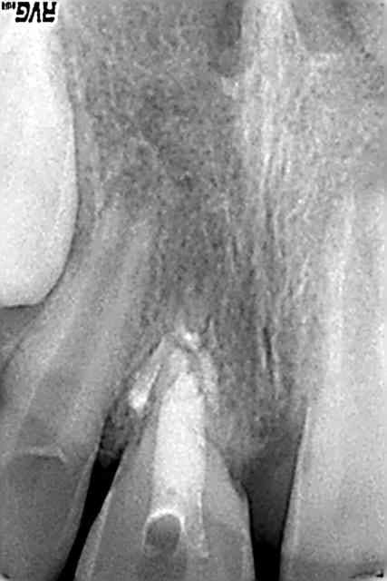
22/08/2007 à 21h07

à un an
âge de l'enfant : 9ans

la rhyzalyse de 11 semble bloquée par le ttt au MTA,ouf!(angle prévu incessamment sous peu ne vs inquiétez pas)
12 répond aux tests
mais...
21:
au froid,il a une sensation de chaleur...?
apex tjours pas fermé
qd faut y aller,faut y aller,à cette apexification?
ou je remets un cierge ?(ou autre incantation ou prière: si qq'un a qqe chose qui marche,je suis preneuse :je deteste tenter d'induire une fermeture apicale aléatoire)

suggestions,avis....
merci

Lee roy - Eugenol
Controle 11 aout 07 owg55n - Eugenol

Image odged8 - Eugenol
ploc

14/09/2007 à 18h05

rappel:choc avec expulsion et réimplantation de 11 en aoôut 2006 en milieu hospitalier
il a mainteant 9 ans et 5 mois

ankylose :ok, rien de nouveau

mes questions: les incisives du bas?
qu'en pensez vous?
il n'a pas de retard dentaire qd on regarde les autres dents mais les apex ne st pas fermés et les racines courtes surtout 31 41

ankyloses aussi?
aucun signes cliniques,repondent au froid

heeeeeeeeeeeeelp

Radio 28 aout 2007  medium  aeayfe - Eugenol

catrose

16/09/2007 à 16h40

les incisives du bas:je ne crois pas que tu doives t'inquieter(touchees lors de la chute?),les apex sont presque a maturite,comme pour le haut
pour la longueur des racines,une pano n'est pas toujours le meilleur document
si vraiment tu veux eliminer le doute,une retro te sera plus utile

le maxillaire:quelque part(ou est passe le post?) dancha te proposait extraction de la centrale et fermeture orthodontique,maquillage des laterales etc..
voir si les bases squelettiques,les rapports intermax et le profil encouragent vers cette voie

sinon,en cas de perte de l'incisive,on parle de plus en plus d'implant provisoire,sans attendre 18 ans,evitant l'attirail des mainteneurs d'espace
mais la pour mieux nous expliquer ,il faudrait que viennent s'egarer en pedo des implantologues a l'ame sensible et genereuse...!


alhoun

16/09/2007 à 17h42

catrose Ecrivait:
il faudrait que
> viennent s'egarer en pedo des implantologues a
> l'ame sensible et genereuse...!


ce qui s'appelle tout simplement un miracle!!


Avatar transparent iqadnc - Eugenol
adhoc

17/09/2007 à 18h40

Wait and see; que veux tu faire de plus, ploc, a part préparer psych. le jeune et les parents au futur implant dans X années?


Image odged8 - Eugenol
ploc

17/09/2007 à 19h49

alhoun Ecrivait:
-------------------------------------------------------
> catrose Ecrivait:
> il faudrait que
> > viennent s'egarer en pedo des implantologues a
> > l'ame sensible et genereuse...!>
> ce qui s'appelle tout simplement un miracle!!

parles nous des micro-implants stp
à quel âge?
cela permet il reellement de conserver de l'os ds le sens transversal?



Image odged8 - Eugenol
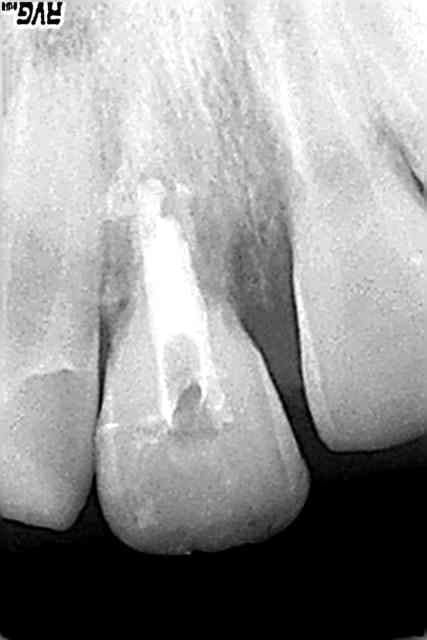
ploc

02/07/2008 à 00h04

dernières radios
11 pas de changement semble t'il:pourvu que cela dure
21 l'apex se ferme malgré un MTA qui aurait pu aller un poil plus loin

mais sniff je n'en verrais pas plus:il part à La Reunion
patvat si tu le récupères,merci de mettre la suite

21 dernière syllrr - Eugenol

12