Cookie Consent byPrivacyPolicies.comPrise d'empreintes sur patient nauseeux / Kytril - Eugenol

Prise d'empreintes sur patient nauseeux / Kytril

JMG

23/11/2006 à 15h29

J ai contacte hier plusieurs de mes confreres medecins et chirurgiens pour prendre conseil.
J'ai un patient avec des reflexes nauseux qui empeche toute prise d'empreintes Apres reflexion Il me propose de faire un essai avec les types de produits anti emetiques qu on utilise en cancerologie lors de chimiotherapie .leur mode d action est un effet anti serotonine comme les anti depresseurs de nouvelle generation.pour l instant le choix s est porte sur le Kytril a cause de son peu d effets secondaires .
Avez vous deja eu des cas similaires? ou avez vous deja utilisé le Kytril .

Bien cordialement


raoul

24/11/2006 à 08h36

Un sujet qui date du mois d’Avril. Voici le link.

http://www.eugenol.com/eugenol/read.php?11,148132,148166#msg-148166

Re: Antovomitif
Envoyé par: raoul
Date: Ven 14 avril 2006 10:02:47
TITITE Ecrivait:
-------------------------------------------------------
> Quel médicament prescrivez-vous chez les patients
> à réflexe nauséeux avant prise d'empreinte.
> Merci


Moi j’utilise une méthode qui marche à tous les coups
Faire asseoir ton patient le plus droit possible avec la tête penchée en avant. Pendant la prise de l’empreinte, faire respirer par le nez très lentement. Appuyer sur les épaules, peut aussi interrompre le réflexe.
Essaye toujours les antinauseeux tel que Primperan, mais attention surtout avec les patients qui se rendent au rendez vous en voiture, pas accompagné !


JMG

24/11/2006 à 11h11

a propos d'anti nauseeux , connais tu qq qui a deja essaye le Kytril ? cela donne t'il de bon resultats ?
Le primperan est inoperant ...J'ai vu sur certain site que les produits antironflement donnaient de bons resulats aussi ? qq a t'il deja essaye ?
Je dois voir le patient mardi prochain et je cherche une solution .
Cordialement


Coeur n9py1g - Eugenol
patvat

24/11/2006 à 11h47

si alginate xantalgin pose au dernier moment en &à secondes meme position anterieure mais gel anesthesique sur voile du palais avant ET COMMENCER PAR EMP DU BAS bien sur plus complique pour fixe demander PEI tres peu invasif


raoul

24/11/2006 à 22h29

JMG Ecrivait:
-------------------------------------------------------
> a propos d'anti nauseeux , connais tu qq qui a
> deja essaye le Kytril ? cela donne t'il de bon
> resultats ? ....


Granisetron c’est le nom générique en OZ. Ca bloque le serotonin qui cause le vomissement et les nausées. Mais trop d’effets secondaires ; Faiblesse, constipation, diarrhée, anxiété et la liste continue


Marque a3 orange fyvhyq - Eugenol
Marc Apap

24/11/2006 à 22h56

JMG, quel type de prothèse envisages-tu pour ton patient ? (et donc, quel type d'empreinte)


JMG

25/11/2006 à 00h27

Merci Marc ,
J'envisage de mettre des couronnes et suivant l'avis du patient, des implants sup/inf
( problème sinus très fins en sup ).Reste surtout le problème d'empreintes car il serait nécessaire sup et inf total .As tu des suggestions ?
Cordialement


crapouille

25/11/2006 à 00h46

Les empreintes sectorielles en mordu sont plus facilement tolérées que les empreintes totales.


Marque a3 orange fyvhyq - Eugenol
Marc Apap

25/11/2006 à 00h58

On peut utiliser des matériaux à prise très rapide.
Sur une patiente nauséeuse,j'ai récemment fait une CCM sur une prémo sup à partir d'une empreinte selon la méthode Perfectim (Morita), mais en utilisant le blue jet bite de chez Coltène qui durcit en 30 secondes. Cette première empreinte, très rigide et sans porte empreinte a été rebasée avec le même produit. Mais on peut utiliser un light également.
C'est peu conventionnel,pas académique et certains éléments ne sont pas enregistrés, mais on fait avec ce qu'on a. Evidemment, cette méthode est limitée à une,voire deux courounnes contigues.


Marque a3 orange fyvhyq - Eugenol
Marc Apap

25/11/2006 à 00h58

Deux empreintes en Perfectim

Perfectim 01 wfmpob - Eugenol
Perfectim02 k1hodh - Eugenol

JMG

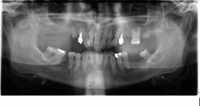
25/11/2006 à 13h15

Voila la pano.
Le cas est difficile car le patient presente une edantation sup et inferieur prononcée. Une prise d'empreinte sectorielle dans ce cas peut elle prendre en compte les parametres suffisants pour la pose de protheses ainsi que les infos necessaires a leur realisation? Quelles sont vos idées
Cordialement


JMG

25/11/2006 à 13h20

la pano

Pano izemdq - Eugenol

raoul

25/11/2006 à 21h59

N’oublie surtout pas l’aspect psychique. Donne a ta patiente 2 porte empreintes en plastique a emporter chez elle pour ‘ s’habituer’ a leur présence en bouche.
Le jour de la prise d’empreinte faite comme j’ai suggéré plus haut.
Recommence s’il le faut, elle finira par coopérer.


Coeur n9py1g - Eugenol
patvat

26/11/2006 à 14h03

dis lui d en avaler un par jour


annickromand

27/11/2006 à 18h23

En plus de tous les conseils judicieux que tu as reçus, achète chez ton pharmacien de la xylocaïne visqueuse à 2%, avant de prendre tes empreintes pose sur sa langue un doigt de gel et demande lui de le répartir partout en bouche, cela suffit bien souvent à tout régler.


Images qct94b - Eugenol
themumbly

01/12/2006 à 17h19

tout à fait annickromand
bain de bouche avec xylocaine visqueuse diluée dans un peu d'eau , c'est nickel il te casse plus les pieds avec ses haut le coeur dégoûtants

SURTOUT prévenir pas d'alimentation (liquide ou solide )durant les 3 heures aprés l'intervention car risque de fausse route par disparition du réflexe salivaire


Michel4 ve7g1x - Eugenol
chabit

30/10/2007 à 23h20

Salut,
j'utilise un truc qui fonctionne à 90%. L'accupuncture. Si tu n'as pas d'aiguille acier adéquate, tu peux utiliser comme je le fais souvent une sonde canalaire. C'est avec ces sondes de section triangulaire qu'on repérais les entrée de canaux. Elles sont longues (70mm) et très fines. Après avoir demandé au patient s'il veut bien qu'on recourre à cette méthode naturelle et tout et tout (aspect psy non négligeable) tu piques ta sonde sous le nez avec un petit mouvement de rotation entre les doigts. Tu n'embroches pas la lèvre à peine un mm de pénétration. Avec un bout d'Urgopore tu scotches l'aiguille qui lui retombe devant la bouche et tu as le champs libre immédiatement. Un autre point se situe dans la zone de la fosette mentonière mais est plus difficile à repérer.C'est indolore (une petite sensation) sans effet secondaire et quand ça marche ton patient te voit avec un autre oeil. Quand ça ne marche pas c'est parceque tu as loupé le point (la zone fait 1.5 à 2mm au carré)mais le patient pense toujours que ça vient de lui (docteur, ces trucs là ça ne marche jamais avec moi !) Ne le dissuade pas et reste toujours sûr de toi, il n'y a aucun risque pour personne

Photo005 tytjzu - Eugenol
Photo006 vri9kd - Eugenol

Mon avatar msn jgkit1 - Eugenol
Ewing

02/01/2008 à 22h34

T'es mieux avec tes lunettes !!!


Michel4 ve7g1x - Eugenol
chabit

02/01/2008 à 22h57

Là je les ai gardées mais on ne les voit pas. Bonne année à tous

001 knovpj - Eugenol
002 tqvbv6 - Eugenol
003 wji3nx - Eugenol

Michel4 ve7g1x - Eugenol
chabit

02/01/2008 à 22h59

Impossible de joindre plus d'une image

001 qaermv - Eugenol
002 uook9g - Eugenol

Michel4 ve7g1x - Eugenol
chabit

02/01/2008 à 23h00

Suite

001 egrsce - Eugenol

Cuisinier2 vnbbxx - Eugenol
jeff2

03/01/2008 à 20h51

qu'est ce qui vous emepêche d'avoir des aiguilles d'accu a usage unique, et en plus le mentonnier fonctionne plein pot.


Michel4 ve7g1x - Eugenol
chabit

04/01/2008 à 11h32

Rien si ce n'est de ne pas avoir prévu. Au même titre que le tournevis cruxi pour le micro, la clé de 12 pour l'unit et l'Opinel pour la pizza de midi ! On ne pas toujours tout avoir sous la main c'est tout.


Amibien

23/01/2008 à 22h10

s'il a sa 11 tu lui demandes d'évoquer sa peur puis tu tapes gentiment la 11 avec un miroir, s'il n'a pas de 11 tu plantes un pivot dans l'os de la 11 sous anesthésie locale tu fais comme décrit plus haut puis tu enlèves le pivot. Tu pourras ensuite faire son empreinte. Sans blaguer.


Dsc 0022 zyz4bz - Eugenol
Fred

29/01/2008 à 14h55

Aujourd'hui j'ai fait la totale pour une patiente chez qui je ne pouvais même pas essayer le porte empreinte
Homéopathie
Acupuncture
Gel de xylo

J'ai même pu refaire l'empreinte du haut que j'avais merdée

Un régal, elle en redemandait presque

MERCI pour tous vos conseils

Merci eugénol


12