Cookie Consent byPrivacyPolicies.comSupraclusion incisive, vraie ou fausse? - Eugenol

Supraclusion incisive, vraie ou fausse?

Picture1111 zburnd - Eugenol
saidkholoki

30/11/2006 à 08h55

Voila à la demande de bjc et pour que ma reponse soit constructive je présente une méthode simple et fiable pour faire le diagnostic différentiel entre les vraies et les fausses supraclusions valables surtout chez des sujets jeunes de moins de 14-15 ans. Chez des adultes il faut voir autre chose pour évaluer la perte de DV articulaire.
Examen clinique:
1- Marche d'escalier entre les bords libres des incisives et les secteurs latéraux à chercher. Si la marche est au niveau max il s'agit de vrai supra, si la marche est à l'arcade inf il s'agit plutôt d'infra.
2- Dans le cas de fusse supra l'espace libre intermolaire est plus importante et la hauteur des couronnes cliniques des dents latérales inférieures est réduite
3- Chercher l'interposition linguale latérale car c'est l'origine du problème
4- Evaluer la longueur de la lèvre sup, la ligne de la lèvre sup au repos et au sourire, par rapport au bord libre de l'incisive sup, car cela peut influencer notre choix thérapeutique
Examen des moulages:
1- Attention encore une fois à la marche
2- Evaluer la constriction transversale des arcades alveolo-dentaires due à l'absence de l'appui linguale
3- Evaluer la courbe de Spee et la position du bord libre des incisives inf par rapport au plan occlusal
Examen radiologique et céphalométrique:
1- Le cas présente des valeurs exagérées dans le sens brachy due à la rotation ant de la mandibule
2- Les signes structuraux de la mandibule ne sont pas cohérents avec les valeurs céphalométrique qui montrent une typologie plutôt favorable
3- Le plan occlusal de Ricketts passe assez loin du point Xi
4- Le bord libre de i passe très haut pour plan occlusal
5- La VTO et les superpositions peuvent portes confusion car nous voyons une ingression des i or en réalité il faut egresser les secteurs latéraux inf.
Voila comment je vois les choses pour réfléchir avant d'agir. Bien avidement je peux faire des erreurs et passer à cote dans certains cas mais passer en revue touts ces points je réduits au max les possibilités d'erreur.
J'attends vos remarques et vos questions car chez nous on ne fait pas la rétention des informations


bjc

30/11/2006 à 18h34

T’as rien oublié ?


Picture1111 zburnd - Eugenol
saidkholoki

30/11/2006 à 20h27

Peut etre bien a chacun ses defaut, en ce qui me concerne j'ai le memoire tres court. Tu peux merappeler la suite! merci


limlim

30/11/2006 à 21h14

Ca y est.... Said se prend pour Bjc qui se prend pour Dancha, je comprends de moins en moins ce qui s'ecrit sur ce forum.

Je vais demander au moderateur de creer 2 forums ODF , un pour ceux qui sont intelligents et un autre pour ceux qui croient qu'ils sont intelligents.Avec pour seul juge Adhoc.


200106 10150128247663588 709988587 6466236 5598391 n d7mksb - Eugenol
hallboy

30/11/2006 à 22h20

Adhoc est probablement le gars le plus sympa, competent et unanimement apprecié du forum, toutes categories confondues. Et tu voudrais qu'en + il dise: " Euh,non toi je t'aime bien mais tu crois seulement que tu es intelligent; d'ailleurs tu t'es vautré grave a l'enigme booléenne!! Mais à titre personnel, je t'aime bien; pour les comme toi j'ai fait un mini forum d'ODF "

Je crois pas qu'il voudra. Il est vraiment intelligent.


bjc

30/11/2006 à 22h52

Saïd est sympa !


bjc

01/12/2006 à 00h29

Saïd,

Tu as oublié :
Le montage sur articulateur en axe charnière réel

@+ Bjc.


STARSKY

01/12/2006 à 01h39

un autre element de diagnostic porte sur la quantitée de "coverbite" ou taux de recouvrement des I sup par la levre inf ,objectivé par la position du stomion au repos bouche fermée ,etiologie principale des linguoversions incisives superieures et des supras qu'elles generent (observés dans les classes 2 div2 mais egalement dans certaines classe 1 celles ci presantant alors des occlusions anterieures facon Classe 2 div2).
ce point particulier est à controler egalement en fin de traitement car si le "coverbite" n'a pas été eliminé la recidive est assurée.
Un Chapitre entier remarquable est consacré à ce "coverbite" dans le dernier ouvrage de VAN DER LINDEN je vous invite tous à le lire


Picture1111 zburnd - Eugenol
saidkholoki

01/12/2006 à 05h41

Salut bjc, et merci pour ton soutien. J'ai donne plutot ce que nous pouvons faire d'une maniere quotidienne. Le montage sur articulateur tu en connais beaucoup qui le font pour un simple diagnostic orthodontique?!!!!
Mais tu as raison de le signaler


Picture1111 zburnd - Eugenol
saidkholoki

01/12/2006 à 05h47

Bonjour limlim,
Je ne me prends pour personne et je ne comprend pas comment mon message pourrait te deranger. La question est tres importante si on ne peut pas faire la difference entre les deux situations cela pourrait avoir des consequences tres graves. Si toi tu connais la reponse peut etre d'autres pas. Peut etre tu es le plus intelligent de nous tous donc aide nous a avancer dans notre pratique orthodontique en te remerciant d'avance.


bjc

01/12/2006 à 10h07

Salut,

L’articulateur, c’était une boutade, Saïd !
Pas seulement envers toi, envers moi aussi.
J’ai été aussi mécanistique que toi, si ce n’est plus !
D’autant que l’on sait bien que les Orthos ont des lacunes en occlusion.

La solution que j’applique, laisse beaucoup plus liberté de récupération aux maxillaires.
« Le couloir physiologique de Château. »
Je sens que cette discussion va être intéressante.

@+ Bjc.



Picture1111 zburnd - Eugenol
saidkholoki

01/12/2006 à 11h34

Salut bjc,
A tes connaissance je suis essentiellement fonctionnel! Je travail enormement la reeducation fonctionnelle moi meme au cabinet, j'utilise les ecrans buccaux a fond et ca marchent, je tard le plus possible la mise en place des brackets et des arcs et je provoque au max la croissance que je consider mon moyen therapeutique le plus rapide, le plus sure, le plus stable et le moins cher!!! Les concepts peuvent avoir des noms differents mais tous les chemains menent a Rome.


bjc

03/12/2006 à 21h01

Salut Saïd,

Cela me dérange de donner la solution que je préfère, si tu as décidé de ne plus répondre.
C’est celle qu’a donné Langlade, à l’époque de la Grande Motte.
De toute manière, je l’ai également entendu de la bouche de Firaz.


bjc

05/12/2006 à 11h41

Infra-post. ou Supra-Ant. ?

Bonjour,

On ne peut pas savoir tant qu’on n’a pas fait le reformage d’arcade,
et mis en C. l.

Et là on voit si on est en Supra-Ant. ou pas.

Il m’a été dit que :
le savoir est tres cher et tres precieux pour la donner a ceux qui ne l'apprecie pas

Cher et précieux, c’est vrai, mais … …
Je crois, moi, que moins on en sait, moins on en donne.
C’est mon appréciation.

@+ Bjc.




Picture1111 zburnd - Eugenol
saidkholoki

05/12/2006 à 12h05

Salut bjc,
Tu es toujours aussi provocateur, c'est bien pour toi mais il ne faut pas depasser certaines limites pour ne pas confondre audace et arrogance. Je dis aussi, plus on parle plus on dit des conneries!! c'est mon appreciation


Lanar

05/12/2006 à 12h31

et tu pourrais rajouter, Saïd :
"la culture, c'est comme la confiture, moins on en a et plus on l'étale...".


Picture1111 zburnd - Eugenol
saidkholoki

05/12/2006 à 13h00

Merci Lanar, une belle phrase.
Je m'endors silence svp. Merci


limlim

05/12/2006 à 14h15

Salut Said le Caid ,
Tu as eu cette tres belle phrase:
"j'utilise les ecrans buccaux a fond et ca marchent"

Faut que tu nous montres qq cas sinon je dirais que tu es un peu excessif voir meme dangereux.

Concernant tes elucubrations sur la courbe de spee, personne n'est capable a ce jour de definir mathematiquement ce qu'est le plan d'occlusion c'est trop complexe,vouloir aller plus loin est un peu utopique.

Je prefere nettement l'approche de bjc qui est beaucoup plus realiste devant la complexite du systeme, il fait de frequente reevaluation en cours de traitement.


Picture1111 zburnd - Eugenol
saidkholoki

06/12/2006 à 09h23

Bonjour limlim,
je vais repondre ata question car mon sujet etait anterieur a ma decision de me retirer du forum donc je dois apporter une reponse a cela.
D'une part j'ai dit evaluer la courbe de Spee ce qui veut dire tout simplement evaluer son impmoyenne ou trop plate. Ceci sera completer par l'etude de la position du borb libre de l'incisive inf par rapport au plan occlusal de Ricketts, passant par les surfaces occlusales de 6, 5 et 4 et sans regarder les bords libres des incisives comme celui utilise dans la plupart de technique d'arc droit. Une chose est sure des le moment qu'on utilise un arc continu pour finir nos traitement la courbe de Spee est diminuee pour ne pas dire aplati, et l'occlusion de fin de traitement actif n'est la meme de fin de contention n'est la meme en post contention. L'occlusion va s'assoir et s'adapter aux demandes physiologiques, fonctionnelles et anatomiques de chaque cas, a condition que nos fins de traitement repondent a certains criteres de qualite fonctionnelle, occlusale, articulaire et esthetique.
Quant a evaluer le siege du probleme supra vraie ou infra, il faut que cela soit fait avant la recuperation de classe I, car l'ordre chronologique du deverrouillage dentaire est transversal d'abord, vertical ensuite et sagittal enfin. Donc on est oblige de decider assez tot d'ou vient le probleme pour prendre les moyens therapeutiques necessaires en fonction de cela. Je donne un exemple: si le cas presente une typologie defavorable avec une supra vraie et je place un arc continu seul qui va ingresser mes incisives, mais il va egresser les secteurs lateraux je risque d'aggraver ma typologie vertical. L'usage d'un arc de base d'ingression doit etre decide des le debut pour ingresser les incisives sans provoquer l'egression des dents laterales. Par contre il est vrai que mon evaluation du probleme doit etre permanente tout au long du cas et en cas d'erreure il n'y a que les imbeciles qui ne change pas d'avis.Pour repondre a la proposition de bjc, en realite je ne vois pas comment le montage pourrait nous aider a faire le diagnostic differentiel, j'attends qu'on m'explique!?
Pour les cas traites par ecrans je prepare un ou deux cas qui seront envoyes sur le forum des que possible, pour qu'on me traite pas de dangereux!!


ELN

06/12/2006 à 10h15

Rq: moyen memo technique pour se souvenir de la chronologie;
-T V A
-Transversal, Vertical, Antero posterieur.


Picture1111 zburnd - Eugenol
saidkholoki

06/12/2006 à 10h18

Cette methodologie est la mienne je te signale. Je suis le premier a le dire au cis.., pendant mes cours mais c'est bien de le signaler merci


Picture1111 zburnd - Eugenol
saidkholoki

06/12/2006 à 10h20

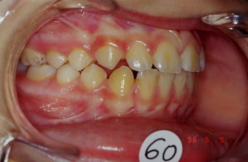
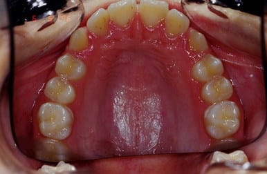
voici le 1er cas
Biproalveolie

1 a7nson - Eugenol
2 aijzeq - Eugenol
3 kwoluy - Eugenol
4 vduups - Eugenol

Picture1111 zburnd - Eugenol
saidkholoki

06/12/2006 à 10h24

Cas n 1 suite
QH + Reeducation + Ecran buccal c'est tout
Desole les photos n'ont pas suivi je recommence


Picture1111 zburnd - Eugenol
saidkholoki

06/12/2006 à 10h31

Cas 1 suite

5 rgkioo - Eugenol
6 ju9t9x - Eugenol
7 grbeiz - Eugenol

Picture1111 zburnd - Eugenol
saidkholoki

06/12/2006 à 10h42

cas 1 suite et fin
Noter la fermeture des diastemes infer. sans aucune mecanique

8 dbuaqe - Eugenol
9 m9mh9t - Eugenol